JavaScript is disabled in your browser. Please enable JavaScript to view this website.
AB154002

Anti-ZCCHC4 antibody

Be the first to review this product! Submit a review

|

(1 Publication)

Rabbit Polyclonal ZCCHC4 antibody. Suitable for IHC-P, WB, ICC/IF and reacts with Human samples. Cited in 1 publication. Immunogen corresponding to Recombinant Fragment Protein within Human rRNA N6-adenosine-methyltransferase ZCCHC4 aa 1-250.

View Alternative Names

rRNA N(6)-adenosine-methyltransferase ZCCHC4, Zinc finger CCHC domain-containing protein 4, ZCCHC4

3 Images
Immunocytochemistry/ Immunofluorescence - Anti-ZCCHC4 antibody (AB154002)
  • ICC/IF

Unknown

Immunocytochemistry/ Immunofluorescence - Anti-ZCCHC4 antibody (AB154002)

Immunofluorescent analysis of paraformaldehyde fixed A431 cells labeling ZCCHC4 with ab154002 at 1/500 dilution. Lower image costained with Hoerchst 33342.

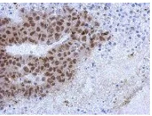
Immunohistochemistry (Formalin/PFA-fixed paraffin-embedded sections) - Anti-ZCCHC4 antibody (AB154002)
  • IHC-P

Unknown

Immunohistochemistry (Formalin/PFA-fixed paraffin-embedded sections) - Anti-ZCCHC4 antibody (AB154002)

Immunohistochemical analysis of paraffin embedded Human PC13 xenograft tissue, labeling ZCCHC4 with ab154002 antibody at 1/500 dilution.

Western blot - Anti-ZCCHC4 antibody (AB154002)
  • WB

Unknown

Western blot - Anti-ZCCHC4 antibody (AB154002)

7.5% SDS PAGE

All lanes:

Western blot - Anti-ZCCHC4 antibody (ab154002) at 1/3000 dilution

All lanes:

Jurkat whole cell lysate at 30 µg

Predicted band size: 59 kDa

false

Key facts

Host species

Rabbit

Clonality

Polyclonal

Isotype

IgG

Carrier free

No

Reacts with

Human

Applications

ICC/IF, IHC-P, WB

applications

Immunogen

Recombinant Fragment Protein within Human rRNA N6-adenosine-methyltransferase ZCCHC4 aa 1-250. The exact immunogen used to generate this antibody is proprietary information.

Q9H5U6

Reactivity data

{ "title": "Reactivity Data", "filters": { "stats": ["", "Species", "Dilution Info", "Notes"], "tabs": { "all-applications": {"fullname" : "All Applications", "shortname": "All Applications"}, "IHCP" : {"fullname" : "Immunohistochemistry (Formalin/PFA-fixed paraffin-embedded sections)", "shortname":"IHC-P"}, "WB" : {"fullname" : "Western blot", "shortname":"WB"}, "ICCIF" : {"fullname" : "Immunocytochemistry/ Immunofluorescence", "shortname":"ICC/IF"} }, "product-promise": { "all": "all", "testedAndGuaranteed": "tested", "guaranteed": "expected", "predicted": "predicted", "notRecommended": "not-recommended" } }, "values": { "Human": { "IHCP-species-checked": "testedAndGuaranteed", "IHCP-species-dilution-info": "1/100 - 1/1000", "IHCP-species-notes": "<p></p> Perform heat-mediated antigen retrieval with citrate buffer pH 6 before commencing with IHC staining protocol.", "WB-species-checked": "testedAndGuaranteed", "WB-species-dilution-info": "1/500 - 1/3000", "WB-species-notes": "<p></p>", "ICCIF-species-checked": "testedAndGuaranteed", "ICCIF-species-dilution-info": "1/100 - 1/1000", "ICCIF-species-notes": "<p></p>" } } }

Properties and storage information

Form
Liquid
Purification technique
Affinity purification Immunogen
Storage buffer
pH: 7 Preservative: 0.01% Thimerosal (merthiolate) Constituents: 20% Glycerol (glycerin, glycerine), 1.21% Tris, 0.75% Glycine
Shipped at conditions
Blue Ice
Appropriate short-term storage conditions
+4°C
Appropriate long-term storage conditions
-20°C
Aliquoting information
Upon delivery aliquot
Storage information
Avoid freeze / thaw cycle

Supplementary information

This supplementary information is collated from multiple sources and compiled automatically.

ZCCHC4 also known as zinc finger CCHC-type containing 4 is a protein that functions as a methyltransferase specifically modifying mRNA by adding a methyl group at the N6 position of adenine. It has an estimated mass of approximately 66 kDa. Expression of ZCCHC4 is observed mainly in the nucleus of cells and it is found across various human tissues indicating its widespread functional importance.
Biological function summary

The methyltransferase activity of ZCCHC4 plays an important role in post-transcriptional regulation of mRNA influencing its stability and translation efficiency. ZCCHC4 is part of a complex that also includes other proteins involved in RNA metabolism. Its function impacts gene expression by modulating the epigenetic marks on mRNA thereby altering the cellular response to different stimuli.

Pathways

ZCCHC4 contributes significantly to the epitranscriptome particularly affecting the m6A RNA methylation pathway. This modification is vital for processes like RNA splicing export and degradation. ZCCHC4 interacts with related proteins such as METTL3 and METTL14 which are core components of the m6A methyltransferase complex highlighting its integration within this regulatory network.

Alterations in ZCCHC4 expression or function associate with certain cancers including liver cancer. Dysregulation of m6A modification in which ZCCHC4 is involved contributes to tumor progression and metastasis. Research has also linked ZCCHC4 to mental disorders with evidence suggesting that abnormal mRNA methylation affects neural gene expression. ZCCHC4's interactions with proteins like ALKBH5 an m6A demethylase further illustrate its involvement in the pathogenesis of these diseases.

Product protocols

For this product, it's our understanding that no specific protocols are required. You can visit:

Target data

rRNA N6-methyltransferase that specifically methylates the adenine in position 4220 of 28S rRNA (PubMed : 30531910, PubMed : 31328227, PubMed : 31695039, PubMed : 31799605). N6-methylation of adenine(4220) in 28S rRNA is required for translation (PubMed : 30531910, PubMed : 31799605).
See full target information rRNA N6-adenosine-methyltransferase ZCCHC4

Publications (1)

Recent publications for all applications. Explore the full list and refine your search

Histology and histopathology 40:1967-1984 PubMed40704638

2025

Developmental regulation of GABA receptors and downstream molecules in the mouse brain.

Applications

Unspecified application

Species

Unspecified reactive species

Carolina Aguado,Rocío Alfaro-Ruiz,María Llanos Martínez-Poyato,Ana Esther Moreno-Martínez,Sebastián García-Madrona,Alberto Roldán-Sastre,Pablo Alonso-Gómez,Miriam Fernández,Ricardo Puertas-Avendaño,Ryuichi Shigemoto,Kirill A Martemyanov,Rafael Luján
View all publications

Product promise

We are committed to supporting your work with high-quality reagents, and we're here for you every step of the way. In the unlikely event that one of our products does not perform as expected, you're protected by our Product Promise.
For full details, please see our Terms & Conditions

Please note: All products are 'FOR RESEARCH USE ONLY. NOT FOR USE IN DIAGNOSTIC OR THERAPEUTIC PROCEDURES'.

For licensing inquiries, please contact partnerships@abcam.com