JavaScript is disabled in your browser. Please enable JavaScript to view this website.
AB128180

Anti-ZCH11 antibody

Be the first to review this product! Submit a review

|

(1 Publication)

Rabbit Polyclonal ZCH11 antibody. Suitable for IHC-P and reacts with Mouse, Human samples. Cited in 1 publication. Immunogen corresponding to Synthetic Peptide within Human TUT4 aa 250-300.

View Alternative Names

KIAA0191, ZCCHC11, TUT4, Terminal uridylyltransferase 4, TUTase 4, Zinc finger CCHC domain-containing protein 11

2 Images
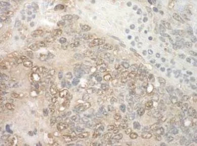
Immunohistochemistry (Formalin/PFA-fixed paraffin-embedded sections) - Anti-ZCH11 antibody (AB128180)
  • IHC-P

Unknown

Immunohistochemistry (Formalin/PFA-fixed paraffin-embedded sections) - Anti-ZCH11 antibody (AB128180)

ab128180, at 1/250 dilution, labelling ZCH11 in formalin-fixed, paraffin-embedded Human prostate carcinoma tissue by immunohistochemistry followed by DAB staining.

Immunohistochemistry (Formalin/PFA-fixed paraffin-embedded sections) - Anti-ZCH11 antibody (AB128180)
  • IHC-P

Unknown

Immunohistochemistry (Formalin/PFA-fixed paraffin-embedded sections) - Anti-ZCH11 antibody (AB128180)

ab128180, at 1/250 dilution, labelling ZCH11 in formalin-fixed, paraffin-embedded Mouse teratoma tissue by immunohistochemistry followed by DAB staining.

Key facts

Host species

Rabbit

Clonality

Polyclonal

Isotype

IgG

Carrier free

No

Reacts with

Mouse, Human

Applications

IHC-P

applications

Immunogen

Synthetic Peptide within Human TUT4 aa 250-300. The exact immunogen used to generate this antibody is proprietary information.

Q5TAX3

Reactivity data

{ "title": "Reactivity Data", "filters": { "stats": ["", "Species", "Dilution Info", "Notes"], "tabs": { "all-applications": {"fullname" : "All Applications", "shortname": "All Applications"}, "IHCP" : {"fullname" : "Immunohistochemistry (Formalin/PFA-fixed paraffin-embedded sections)", "shortname":"IHC-P"} }, "product-promise": { "all": "all", "testedAndGuaranteed": "tested", "guaranteed": "expected", "predicted": "predicted", "notRecommended": "not-recommended" } }, "values": { "Human": { "IHCP-species-checked": "testedAndGuaranteed", "IHCP-species-dilution-info": "1/100 - 1/500", "IHCP-species-notes": "<p></p> Perform heat-mediated antigen retrieval with citrate buffer pH 6 before commencing with IHC staining protocol." }, "Mouse": { "IHCP-species-checked": "testedAndGuaranteed", "IHCP-species-dilution-info": "1/100 - 1/500", "IHCP-species-notes": "<p></p> Perform heat-mediated antigen retrieval with citrate buffer pH 6 before commencing with IHC staining protocol." }, "Chimpanzee": { "IHCP-species-checked": "predicted", "IHCP-species-dilution-info": "", "IHCP-species-notes": "" }, "Chinese hamster": { "IHCP-species-checked": "predicted", "IHCP-species-dilution-info": "", "IHCP-species-notes": "" }, "Dog": { "IHCP-species-checked": "predicted", "IHCP-species-dilution-info": "", "IHCP-species-notes": "" }, "Ferret": { "IHCP-species-checked": "predicted", "IHCP-species-dilution-info": "", "IHCP-species-notes": "" }, "Gorilla": { "IHCP-species-checked": "predicted", "IHCP-species-dilution-info": "", "IHCP-species-notes": "" } } }

Properties and storage information

Form
Liquid
Purification technique
Affinity purification Immunogen
Storage buffer
pH: 6.8 - 7.4 Preservative: 0.09% Sodium azide Constituents: 99% Tris buffered saline, 0.1% BSA
Shipped at conditions
Blue Ice
Appropriate short-term storage duration
1-2 weeks
Appropriate short-term storage conditions
+4°C
Appropriate long-term storage conditions
+4°C
Storage information
Avoid freeze / thaw cycle

Supplementary information

This supplementary information is collated from multiple sources and compiled automatically.

ZCH11 also known as Zinc Finger C2H2 11 is a protein that mechanically functions as a transcription factor. It has a molecular mass of approximately 72 kDa. ZCH11 is expressed in various tissues with higher levels observed in the liver and brain. This protein contains zinc finger motifs which help it bind to specific DNA sequences allowing it to influence the transcription of target genes.
Biological function summary

ZCH11 plays an important role in regulating gene expression impacting cellular differentiation and development. It acts as an important element in cellular processes and is often part of larger protein complexes that collaborate to control transcription. Through its function as a transcription factor ZCH11 contributes to the maintenance of cellular homeostasis and is essential for normal cellular function.

Pathways

ZCH11 is actively involved in the Wnt signaling and cell cycle regulation pathways. In the Wnt signaling pathway ZCH11 interacts with proteins such as β-catenin influencing gene expression related to cell proliferation and differentiation. In the context of cell cycle regulation ZCH11 interacts with cyclins and cyclin-dependent kinases ensuring proper progression through various phases of the cell cycle.

ZCH11 has connections to colorectal cancer and neurodegenerative diseases. Abnormal expression of ZCH11 may lead to the dysregulation of the Wnt signaling pathway contributing to the development of colorectal cancer. In neurodegenerative diseases ZCH11 may alter neuronal gene expression potentially leading to disease progression. In these cases ZCH11 shows relationships with proteins like APC (adenomatous polyposis coli) in cancer and tau protein in neurodegenerative conditions.

Product protocols

For this product, it's our understanding that no specific protocols are required. You can visit:

Target data

Uridylyltransferase that mediates the terminal uridylation of mRNAs with short (less than 25 nucleotides) poly(A) tails, hence facilitating global mRNA decay (PubMed : 25480299, PubMed : 31036859). Essential for both oocyte maturation and fertility. Through 3' terminal uridylation of mRNA, sculpts, with TUT7, the maternal transcriptome by eliminating transcripts during oocyte growth (By similarity). Involved in microRNA (miRNA)-induced gene silencing through uridylation of deadenylated miRNA targets. Also functions as an integral regulator of microRNA biogenesis using 3 different uridylation mechanisms (PubMed : 25979828). Acts as a suppressor of miRNA biogenesis by mediating the terminal uridylation of some miRNA precursors, including that of let-7 (pre-let-7), miR107, miR-143 and miR-200c. Uridylated miRNAs are not processed by Dicer and undergo degradation. Degradation of pre-let-7 contributes to the maintenance of embryonic stem (ES) cell pluripotency (By similarity). Also catalyzes the 3' uridylation of miR-26A, a miRNA that targets IL6 transcript. This abrogates the silencing of IL6 transcript, hence promoting cytokine expression (PubMed : 19703396). In the absence of LIN28A, TUT7 and TUT4 monouridylate group II pre-miRNAs, which includes most of pre-let7 members, that shapes an optimal 3' end overhang for efficient processing (PubMed : 25979828). Adds oligo-U tails to truncated pre-miRNAS with a 5' overhang which may promote rapid degradation of non-functional pre-miRNA species (PubMed : 25979828). May also suppress Toll-like receptor-induced NF-kappa-B activation via binding to T2BP (PubMed : 16643855). Does not play a role in replication-dependent histone mRNA degradation (PubMed : 18172165). Due to functional redundancy between TUT4 and TUT7, the identification of the specific role of each of these proteins is difficult (By similarity) (PubMed : 16643855, PubMed : 18172165, PubMed : 19703396, PubMed : 25480299, PubMed : 25979828). TUT4 and TUT7 restrict retrotransposition of long interspersed element-1 (LINE-1) in cooperation with MOV10 counteracting the RNA chaperonne activity of L1RE1. TUT7 uridylates LINE-1 mRNAs in the cytoplasm which inhibits initiation of reverse transcription once in the nucleus, whereas uridylation by TUT4 destabilizes mRNAs in cytoplasmic ribonucleoprotein granules (PubMed : 30122351).
See full target information TUT4

Publications (1)

Recent publications for all applications. Explore the full list and refine your search

Oncology letters 17:3211-3218 PubMed30867751

2019

MicroRNA-218 inhibits the cell proliferation and migration in clear cell renal cell carcinoma through targeting cancerous inhibitor of protein phosphatase 2A.

Applications

Unspecified application

Species

Unspecified reactive species

Ruojing Wei,Xiongjun Ye,Yawei Zhao,Ning Jia,Tongwei Liu,Wenfeng Lian,Hongjian Wei,Gang Zhang,Lijie Song
View all publications

Product promise

We are committed to supporting your work with high-quality reagents, and we're here for you every step of the way. In the unlikely event that one of our products does not perform as expected, you're protected by our Product Promise.
For full details, please see our Terms & Conditions

Please note: All products are 'FOR RESEARCH USE ONLY. NOT FOR USE IN DIAGNOSTIC OR THERAPEUTIC PROCEDURES'.

For licensing inquiries, please contact partnerships@abcam.com