JavaScript is disabled in your browser. Please enable JavaScript to view this website.
AB254954

Anti-ZDHHC7 antibody

Be the first to review this product! Submit a review

|

(1 Publication)

Rabbit Polyclonal ZDHHC7 antibody. Suitable for IHC-P, ICC/IF and reacts with Human samples. Cited in 1 publication. Immunogen corresponding to Recombinant Fragment Protein within Human Palmitoyltransferase ZDHHC7 aa 1-50.

View Alternative Names

Palmitoyltransferase ZDHHC7, Acyltransferase ZDHHC7, Zinc finger DHHC domain-containing protein 7, DHHC-7, ZDHHC7

7 Images
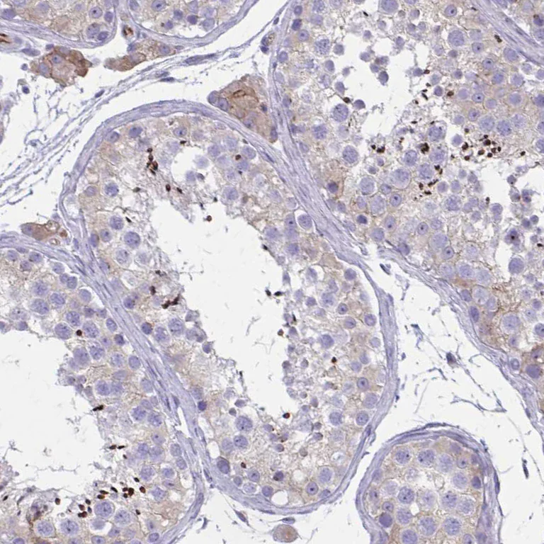
Immunohistochemistry (Formalin/PFA-fixed paraffin-embedded sections) - Anti-ZDHHC7 antibody (AB254954)
  • IHC-P

Supplier Data

Immunohistochemistry (Formalin/PFA-fixed paraffin-embedded sections) - Anti-ZDHHC7 antibody (AB254954)

Paraffin-embedded human testis tissue stained for ZDHHC7 using ab254954 at 1/200 dilution in immunohistochemical analysis.

Moderate cytoplasmic positivity in cells in seminiferous ducts.

Perform heat mediated antigen retrieval with citrate buffer pH 6 before commencing with IHC staining protocol.

Immunohistochemistry (Formalin/PFA-fixed paraffin-embedded sections) - Anti-ZDHHC7 antibody (AB254954)
  • IHC-P

Supplier Data

Immunohistochemistry (Formalin/PFA-fixed paraffin-embedded sections) - Anti-ZDHHC7 antibody (AB254954)

Paraffin-embedded human ovary tissue stained for ZDHHC7 using ab254954 at 1/200 dilution in immunohistochemical analysis.

Strong membranous and cytoplasmic positivity in follicle cells.

Perform heat mediated antigen retrieval with citrate buffer pH 6 before commencing with IHC staining protocol.

Immunohistochemistry (Formalin/PFA-fixed paraffin-embedded sections) - Anti-ZDHHC7 antibody (AB254954)
  • IHC-P

Supplier Data

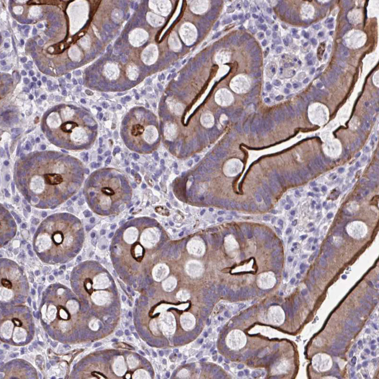
Immunohistochemistry (Formalin/PFA-fixed paraffin-embedded sections) - Anti-ZDHHC7 antibody (AB254954)

Paraffin-embedded human small intestine tissue stained for ZDHHC7 using ab254954 at 1/200 dilution in immunohistochemical analysis.

Strong positivity in apical membrane and cytoplasm in glandular cells.

Perform heat mediated antigen retrieval with citrate buffer pH 6 before commencing with IHC staining protocol.

Immunocytochemistry/ Immunofluorescence - Anti-ZDHHC7 antibody (AB254954)
  • ICC/IF

Unknown

Immunocytochemistry/ Immunofluorescence - Anti-ZDHHC7 antibody (AB254954)

PFA fixed, Triton X-100 permeabilized Hep G2 (Human liver hepatocellular carcinoma cell line) cells labeling ZDHHC7 using ab254954 at 4µg/ml (green) in ICC/IF.

Immunohistochemistry (Formalin/PFA-fixed paraffin-embedded sections) - Anti-ZDHHC7 antibody (AB254954)
  • IHC-P

Supplier Data

Immunohistochemistry (Formalin/PFA-fixed paraffin-embedded sections) - Anti-ZDHHC7 antibody (AB254954)

Paraffin-embedded human gallbladder tissue stained for ZDHHC7 using ab254954 at 1/200 dilution in immunohistochemical analysis.

Strong membranous and cytoplasmic positivity in glandular cells.

Perform heat mediated antigen retrieval with citrate buffer pH 6 before commencing with IHC staining protocol.

Immunohistochemistry (Formalin/PFA-fixed paraffin-embedded sections) - Anti-ZDHHC7 antibody (AB254954)
  • IHC-P

Supplier Data

Immunohistochemistry (Formalin/PFA-fixed paraffin-embedded sections) - Anti-ZDHHC7 antibody (AB254954)

Paraffin-embedded human fallopian tube tissue stained for ZDHHC7 using ab254954 at 1/200 dilution in immunohistochemical analysis.

Strong positivity in cilia and membrane in glandular cells.

Perform heat mediated antigen retrieval with citrate buffer pH 6 before commencing with IHC staining protocol.

Immunohistochemistry (Formalin/PFA-fixed paraffin-embedded sections) - Anti-ZDHHC7 antibody (AB254954)
  • IHC-P

Supplier Data

Immunohistochemistry (Formalin/PFA-fixed paraffin-embedded sections) - Anti-ZDHHC7 antibody (AB254954)

Paraffin-embedded human liver tissue stained for ZDHHC7 using ab254954 at 1/200 dilution in immunohistochemical analysis.

Very weak membranous and cytoplasmic positivity in hepatocytes.

Perform heat mediated antigen retrieval with citrate buffer pH 6 before commencing with IHC staining protocol.

Key facts

Host species

Rabbit

Clonality

Polyclonal

Isotype

IgG

Carrier free

No

Reacts with

Human

Applications

ICC/IF, IHC-P

applications

Immunogen

Recombinant Fragment Protein within Human Palmitoyltransferase ZDHHC7 aa 1-50. The exact immunogen used to generate this antibody is proprietary information.

Q9NXF8

Reactivity data

{ "title": "Reactivity Data", "filters": { "stats": ["", "Species", "Dilution Info", "Notes"], "tabs": { "all-applications": {"fullname" : "All Applications", "shortname": "All Applications"}, "IHCP" : {"fullname" : "Immunohistochemistry (Formalin/PFA-fixed paraffin-embedded sections)", "shortname":"IHC-P"}, "ICCIF" : {"fullname" : "Immunocytochemistry/ Immunofluorescence", "shortname":"ICC/IF"} }, "product-promise": { "all": "all", "testedAndGuaranteed": "tested", "guaranteed": "expected", "predicted": "predicted", "notRecommended": "not-recommended" } }, "values": { "Human": { "IHCP-species-checked": "testedAndGuaranteed", "IHCP-species-dilution-info": "1/200 - 1/500", "IHCP-species-notes": "<p></p> Perform heat-mediated antigen retrieval with citrate buffer pH 6 before commencing with IHC staining protocol.", "ICCIF-species-checked": "testedAndGuaranteed", "ICCIF-species-dilution-info": "0.25-2 µg/mL", "ICCIF-species-notes": "<p>Fixation/Permeabilization: PFA/Triton X-100.</p>" } } }

Properties and storage information

Form
Liquid
Purification technique
Affinity purification Immunogen
Storage buffer
pH: 7.2 Preservative: 0.02% Sodium azide Constituents: PBS, 40% Glycerol (glycerin, glycerine)
Shipped at conditions
Blue Ice
Appropriate short-term storage duration
1-2 weeks
Appropriate short-term storage conditions
+4°C
Appropriate long-term storage conditions
-20°C
Aliquoting information
Upon delivery aliquot
Storage information
Avoid freeze / thaw cycle

Supplementary information

This supplementary information is collated from multiple sources and compiled automatically.

ZDHHC7 also known as Zinc Finger DHHC-Type Palmitoyltransferase 7 is an enzyme with a molecular mass of approximately 66 kDa. This protein plays an important role in the palmitoylation process which involves attaching palmitic acid to cysteine residues of target proteins. ZDHHC7 is widely expressed in various tissues including neurons liver and heart highlighting its importance in different physiological processes. This protein acts by facilitating the transfer of palmitate to substrates which can influence their localization and stability within cells.
Biological function summary

Zinc Finger DHHC-Type Palmitoyltransferase 7 influences cell signaling and membrane trafficking. It is part of a multi-protein complex that ensures the accurate delivery of proteins to cellular membranes where they perform specific functions. ZDHHC7 modifies signaling molecules impacting pathways related to growth and development. The lipid modification of proteins by ZDHHC7 can also affect cellular communication contributing to the regulation of signal transduction and vesicular transport across different cell types.

Pathways

ZDHHC7 participates in the palmitoylation pathway which is essential for the membrane association and function of many signaling proteins. The Hedgehog signaling pathway is one significant pathway where ZDHHC7 exerts its influence modulating the activity of proteins like Shh. ZDHHC7-related palmitoylation affects the Ras family of GTPases which are vital players in cell proliferation and differentiation. This activity fosters dynamic changes in the cell membrane composition aligning with various cellular reactiveness in response to environmental cues.

Abnormalities in ZDHHC7 function have been linked to Huntington's disease and cancer. Disruptions in its palmitoylation activity can lead to the mislocalization and dysfunction of proteins that are critical for neural stability and cell cycle regulation. In Huntington's disease ZDHHC7 interacts with mutant huntingtin protein which alters its normal palmitoylation pattern. In cancer abnormal ZDHHC7 expression affects proteins like oncogenic Ras enhancing oncogenesis. Understanding these interactions offers avenues for potential therapeutic strategies targeting the aberrant activity of these proteins in diseases.

Product protocols

For this product, it's our understanding that no specific protocols are required. You can visit:

Target data

Golgi-localized palmitoyltransferase that catalyzes the addition of palmitate onto various protein substrates and therefore functions in several unrelated biological processes (PubMed : 22031296, PubMed : 27380321, PubMed : 28196865). Has no stringent fatty acid selectivity and in addition to palmitate can also transfer onto target proteins myristate from tetradecanoyl-CoA and stearate from octadecanoyl-CoA (By similarity). Palmitoylates sex steroid hormone receptors, including ESR1, PGR and AR, thereby regulating their targeting to the plasma membrane and their function in rapid intracellular signaling upon binding of sex hormones (PubMed : 22031296). Palmitoylates GNAQ, a heterotrimeric G protein, regulating its dynamic localization at the plasma membrane and is thereby involved in GNAQ-dependent G protein-coupled receptor signaling pathways (PubMed : 19001095). Functions also in ligand-induced cell death by regulating the FAS signaling pathway through the palmitoylation and stabilization of the receptor at the plasma membrane (PubMed : 25301068). In epithelial cells, palmitoylates SCRIB and regulates its localization to the plasma membrane, regulating indirectly cell polarity and differentiation (PubMed : 27380321). Also palmitoylates JAM3 and promotes its expression at tight junctions and regulates its function in cell migration (PubMed : 28196865). Palmitoylates the glucose transporter GLUT4/SLC2A4 and controls the insulin-dependent translocation of GLUT4 to the plasma membrane (By similarity). In brain, could also palmitoylate SNAP25 and DLG4/PSD95 (By similarity). Could also palmitoylate DNAJC5 and regulate its localization to the Golgi membrane (By similarity). Could also palmitoylate NCDN (By similarity). May play a role in follicle stimulation hormone (FSH) activation of testicular Sertoli cells (By similarity). Activates pyroptosis by catalyzing palmitoylation of gasdermin-D (GSDMD) (By similarity).
See full target information Palmitoyltransferase ZDHHC7

Publications (1)

Recent publications for all applications. Explore the full list and refine your search

Science signaling 16:eadd2282 PubMed38051779

2023

STAT3 palmitoylation initiates a positive feedback loop that promotes the malignancy of hepatocellular carcinoma cells in mice.

Applications

Unspecified application

Species

Unspecified reactive species

Yi Jiang,Yuejie Xu,Chengliang Zhu,Guifang Xu,Lei Xu,Zijian Rao,Lixing Zhou,Ping Jiang,Sara Malik,Jingyuan Fang,Hening Lin,Mingming Zhang
View all publications

Product promise

We are committed to supporting your work with high-quality reagents, and we're here for you every step of the way. In the unlikely event that one of our products does not perform as expected, you're protected by our Product Promise.
For full details, please see our Terms & Conditions

Please note: All products are 'FOR RESEARCH USE ONLY. NOT FOR USE IN DIAGNOSTIC OR THERAPEUTIC PROCEDURES'.

For licensing inquiries, please contact partnerships@abcam.com