JavaScript is disabled in your browser. Please enable JavaScript to view this website.
AB74504

Anti-ZDHHC9 antibody

Be the first to review this product! Submit a review

|

(3 Publications)

Rabbit Polyclonal ZDHHC9 antibody. Suitable for WB, IHC-P and reacts with Human samples. Cited in 3 publications. Immunogen corresponding to Synthetic Peptide within Human ZDHHC9.

View Alternative Names

CXorf11, ZDHHC10, ZNF379, ZNF380, CGI-89, UNQ261/PRO298, ZDHHC9, Palmitoyltransferase ZDHHC9, Zinc finger DHHC domain-containing protein 9, Zinc finger protein 379, Zinc finger protein 380, DHHC-9, DHHC9

2 Images
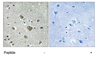
Immunohistochemistry (Formalin/PFA-fixed paraffin-embedded sections) - Anti-ZDHHC9 antibody (AB74504)
  • IHC-P

Unknown

Immunohistochemistry (Formalin/PFA-fixed paraffin-embedded sections) - Anti-ZDHHC9 antibody (AB74504)

Immunohistochemistry analysis of paraffin-embedded human brain tissue using 1/50 ab74504. Left : untreated sample. Right : sample treated with immunising peptide.

Western blot - Anti-ZDHHC9 antibody (AB74504)
  • WB

Unknown

Western blot - Anti-ZDHHC9 antibody (AB74504)

All lanes:

Western blot - Anti-ZDHHC9 antibody (ab74504) at 1/500 dilution

Lane 1:

extracts from COLO cells at 30 µg

Lane 2:

extracts from COLO cells at 30 µg with immunising peptide

Predicted band size: 41 kDa

Observed band size: 26 kDa,34 kDa,41 kDa,48 kDa

false

Key facts

Host species

Rabbit

Clonality

Polyclonal

Isotype

IgG

Carrier free

No

Reacts with

Human

Applications

WB, IHC-P

applications

Immunogen

Synthetic Peptide within Human ZDHHC9. The exact immunogen used to generate this antibody is proprietary information.

Q9Y397

Reactivity data

{ "title": "Reactivity Data", "filters": { "stats": ["", "Species", "Dilution Info", "Notes"], "tabs": { "all-applications": {"fullname" : "All Applications", "shortname": "All Applications"}, "WB" : {"fullname" : "Western blot", "shortname":"WB"}, "IHCP" : {"fullname" : "Immunohistochemistry (Formalin/PFA-fixed paraffin-embedded sections)", "shortname":"IHC-P"} }, "product-promise": { "all": "all", "testedAndGuaranteed": "tested", "guaranteed": "expected", "predicted": "predicted", "notRecommended": "not-recommended" } }, "values": { "Human": { "WB-species-checked": "testedAndGuaranteed", "WB-species-dilution-info": "1/500 - 1/1000", "WB-species-notes": "<p></p>", "IHCP-species-checked": "testedAndGuaranteed", "IHCP-species-dilution-info": "1/50 - 1/100", "IHCP-species-notes": "<p></p>" }, "Mouse": { "WB-species-checked": "predicted", "WB-species-dilution-info": "", "WB-species-notes": "", "IHCP-species-checked": "predicted", "IHCP-species-dilution-info": "", "IHCP-species-notes": "" }, "Rat": { "WB-species-checked": "predicted", "WB-species-dilution-info": "", "WB-species-notes": "", "IHCP-species-checked": "predicted", "IHCP-species-dilution-info": "", "IHCP-species-notes": "" } } }

Properties and storage information

Form
Liquid
Purification technique
Affinity purification Immunogen
Storage buffer
pH: 7.4 Preservative: 0.02% Sodium azide Constituents: PBS, 50% Glycerol (glycerin, glycerine), 0.87% Sodium chloride
Shipped at conditions
Blue Ice
Appropriate short-term storage conditions
+4°C
Appropriate long-term storage conditions
-20°C
Aliquoting information
Upon delivery aliquot
Storage information
Avoid freeze / thaw cycle

Supplementary information

This supplementary information is collated from multiple sources and compiled automatically.

ZDHHC9 also known as DHHC9 is a protein that functions as a palmitoyltransferase catalyzing the addition of palmitate a fatty acid to cysteine residues on substrate proteins. This post-translational modification known as S-palmitoylation regulates protein stability localization and interactions. ZDHHC9 has a molecular weight of approximately 39 kDa and is widely expressed in various tissues including the brain and heart. The protein localizes to the Golgi apparatus and affects the membrane association of its substrate proteins.
Biological function summary

ZDHHC9 influences cellular signaling and protein trafficking. It forms a complex with GCP16 another subunit enhancing its palmitoylation activity. ZDHHC9 regulates the palmitoylation of proteins involved in signaling pathways such as Ras proteins. This modification affects Ras proteins' membrane localization and function impacting cellular communication and signaling events. By modulating these pathways ZDHHC9 plays a part in maintaining normal cell physiology.

Pathways

ZDHHC9 modifies signal transduction pathways like the MAPK/ERK and the NF-κB pathways. The palmitoylated proteins especially H-Ras and N-Ras are integral to these signaling pathways that control cell growth differentiation and survival. The enzyme’s activity affects the dynamic regulation of these pathways influencing how cells respond to external stimuli. By interacting with these Ras proteins ZDHHC9 indirectly impacts pathways that regulate essential cellular processes.

Mutations or dysregulation of ZDHHC9 have associations with mental retardation and X-linked cognitive impairment. These conditions relate to altered Ras signaling where ZDHHC9 mutations impact normal Ras palmitoylation and function. Moreover defects in this protein have connections to developmental abnormalities due to disruptions in signal transduction during brain development. Understanding ZDHHC9's interactions with proteins like Ras provides insight into these complex disorders and potential therapeutic targets.

Product protocols

For this product, it's our understanding that no specific protocols are required. You can visit:

Target data

Palmitoyltransferase that catalyzes the addition of palmitate onto various protein substrates, such as ADRB2, GSDMD, HRAS, NRAS and CGAS (PubMed : 16000296, PubMed : 27481942, PubMed : 37802025, PubMed : 38530158, PubMed : 38599239). The ZDHHC9-GOLGA7 complex is a palmitoyltransferase specific for HRAS and NRAS (PubMed : 16000296). May have a palmitoyltransferase activity toward the beta-2 adrenergic receptor/ADRB2 and therefore regulate G protein-coupled receptor signaling (PubMed : 27481942). Acts as a regulator of innate immunity by catalyzing palmitoylation of CGAS, thereby promoting CGAS homodimerization and cyclic GMP-AMP synthase activity (PubMed : 37802025). Activates pyroptosis by catalyzing palmitoylation of gasdermin-D (GSDMD), thereby promoting membrane translocation and pore formation of GSDMD (PubMed : 38530158, PubMed : 38599239).. (Microbial infection) Through a sequential action with ZDHHC20, rapidly and efficiently palmitoylates SARS coronavirus-2/SARS-CoV-2 spike protein following its synthesis in the endoplasmic reticulum (ER). In the infected cell, promotes spike biogenesis by protecting it from premature ER degradation, increases half-life and controls the lipid organization of its immediate membrane environment. Once the virus has formed, spike palmitoylation controls fusion with the target cell.
See full target information ZDHHC9

Publications (3)

Recent publications for all applications. Explore the full list and refine your search

Oncology letters 25:5 PubMed36419754

2022

ZDHHC9 promotes colon tumor growth by inhibiting effector T cells.

Applications

Unspecified application

Species

Unspecified reactive species

Xiaodan Chong,Lingxi Zhu,Dong Yu,Shasha Chen,Guang Wang,Qingzhuo Yu,Xianwei Ma,Jing Xu,Haitao Chen,Huazhang An

RSC chemical biology 2:192-205 PubMed34458782

2021

A peptidic inhibitor for PD-1 palmitoylation targets its expression and functions.

Applications

Unspecified application

Species

Unspecified reactive species

Han Yao,Chushu Li,Fang He,Teng Song,Jean-Philippe Brosseau,Huanbin Wang,Haojie Lu,Caiyun Fang,Hubing Shi,Jiang Lan,Jing-Yuan Fang,Jie Xu

Proceedings of the National Academy of Sciences of the United States of America 109:20473-8 PubMed23184980

2012

Capturing microRNA targets using an RNA-induced silencing complex (RISC)-trap approach.

Applications

WB

Species

Unspecified reactive species

Xiaolu A Cambronne,Rongkun Shen,Paul L Auer,Richard H Goodman
View all publications

Product promise

We are committed to supporting your work with high-quality reagents, and we're here for you every step of the way. In the unlikely event that one of our products does not perform as expected, you're protected by our Product Promise.
For full details, please see our Terms & Conditions

Please note: All products are 'FOR RESEARCH USE ONLY. NOT FOR USE IN DIAGNOSTIC OR THERAPEUTIC PROCEDURES'.

For licensing inquiries, please contact partnerships@abcam.com