JavaScript is disabled in your browser. Please enable JavaScript to view this website.
AB181451

Anti-ZEB1 antibody [2A8A6]

Be the first to review this product! Submit a review

|

(25 Publications)

Mouse Monoclonal ZEB1 antibody. Suitable for Flow Cyt, WB, IHC-P, ICC/IF and reacts with Human, Recombinant fragment - Human samples. Cited in 25 publications. Immunogen corresponding to Recombinant Fragment Protein within Human ZEB1 aa 950 to C-terminus.

View Alternative Names

AREB6, TCF8, ZEB1, Zinc finger E-box-binding homeobox 1, NIL-2-A zinc finger protein, Negative regulator of IL2, Transcription factor 8, TCF-8

9 Images
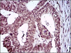
Immunohistochemistry (Formalin/PFA-fixed paraffin-embedded sections) - Anti-ZEB1 antibody [2A8A6] (AB181451)
  • IHC-P

Supplier Data

Immunohistochemistry (Formalin/PFA-fixed paraffin-embedded sections) - Anti-ZEB1 antibody [2A8A6] (AB181451)

Immunohistochemical analysis of paraffin-embedded Human cervical cancer tissue labeling ZEB1 with ab181451 at 1/200 dilution.

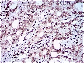
Immunohistochemistry (Formalin/PFA-fixed paraffin-embedded sections) - Anti-ZEB1 antibody [2A8A6] (AB181451)
  • IHC-P

Supplier Data

Immunohistochemistry (Formalin/PFA-fixed paraffin-embedded sections) - Anti-ZEB1 antibody [2A8A6] (AB181451)

Immunohistochemical analysis of paraffin-embedded Human rectum cancer tissue labeling ZEB1 with ab181451 at 1/200 dilution.

Flow Cytometry - Anti-ZEB1 antibody [2A8A6] (AB181451)
  • Flow Cyt

Supplier Data

Flow Cytometry - Anti-ZEB1 antibody [2A8A6] (AB181451)

Flow cytometric analysis of HeLa cells labeling ZEB1 (green) with ab181451 at 1/200 dilution. Negative control (red).

Immunocytochemistry/ Immunofluorescence - Anti-ZEB1 antibody [2A8A6] (AB181451)
  • ICC/IF

Supplier Data

Immunocytochemistry/ Immunofluorescence - Anti-ZEB1 antibody [2A8A6] (AB181451)

Immunofluorescence analysis of HeLa cells labeling ZEB1 (green) with ab181451 at 1/200 dilution. Blue : DRAQ5 fluorescent DNA dye. Red : Actin filaments have been labeled with Alexa Fluor-555 phalloidin.

Western blot - Anti-ZEB1 antibody [2A8A6] (AB181451)
  • WB

Lab

Western blot - Anti-ZEB1 antibody [2A8A6] (AB181451)

Lane 1 : Wild-type HAP1 whole cell lysate (20 μg)
Lane 2 : ZEB1 knockout HAP1 whole cell lysate (20 μg)

Lanes 1 - 2 : Merged signal (red and green). Green - ab181451 observed at 200 kDa. Red - loading control, ab181602, observed at 37 kDa.

ab181451 was shown to recognize ZEB1 in wild-type HAP1 cells as signal was lost at the expected MW in ZEB1 knockout cells. Additional cross-reactive bands were observed in the wild-type and knockout cells. Wild-type and ZEB1 knockout samples were subjected to SDS-PAGE. ab181451 and ab181602 (Rabbit anti-GAPDH loading control) were incubated overnight at 4°C at 1/500 dilution and 1/20000 dilution respectively. Blots were developed with Goat anti-Mouse IgG H&L (IRDye® 800CW) preabsorbed ab216772 and Goat anti-Rabbit IgG H&L (IRDye® 680RD) preabsorbed ab216777 secondary antibodies at 1/20000 dilution for 1 hour at room temperature before imaging.

All lanes:

Western blot - Anti-ZEB1 antibody [2A8A6] (ab181451)

Predicted band size: 124 kDa

false

ELISA - Anti-ZEB1 antibody [2A8A6] (AB181451)
  • ELISA

Unknown

ELISA - Anti-ZEB1 antibody [2A8A6] (AB181451)
Western blot - Anti-ZEB1 antibody [2A8A6] (AB181451)
  • WB

Supplier Data

Western blot - Anti-ZEB1 antibody [2A8A6] (AB181451)

All lanes:

Western blot - Anti-ZEB1 antibody [2A8A6] (ab181451) at 1/500 dilution

Lane 1:

HEK293 cell lysate

Lane 2:

KEB1 (AA: 967-1108)-hIgGFc transfected HEK293 cell lysate

Predicted band size: 124 kDa

false

Western blot - Anti-ZEB1 antibody [2A8A6] (AB181451)
  • WB

Supplier Data

Western blot - Anti-ZEB1 antibody [2A8A6] (AB181451)

All lanes:

Western blot - Anti-ZEB1 antibody [2A8A6] (ab181451) at 1/500 dilution

All lanes:

ZEB1 recombinant protein fragment (Expected MW is 41.7 kDa)

Predicted band size: 124 kDa

false

Western blot - Anti-ZEB1 antibody [2A8A6] (AB181451)
  • WB

CiteAb

Western blot - Anti-ZEB1 antibody [2A8A6] (AB181451)

ZEB1 western blot using anti-ZEB1 antibody [2A8A6] ab181451. Publication image and figure legend from Zhao, L., Zhou, Y., et al., 2020, Aging (Albany NY), PubMed 32039833.

ab181451 was used in this publication in western blot. This may not be the same as the application(s) guaranteed by Abcam. For a full list of applications guaranteed by Abcam for ab181451 please see the product overview.

TUSC8 affects breast cancer cell metastasis through regulating the expression of epithelial–mesenchymal transition (EMT) related markers. (A) Over-expression of TUSC8 down-regulated the expression of mesenchymal related markers (ZEB1, TWIST, SNAI1 and Vimentin) in breast cancer cell lines SK-BR-3 and MDA-MB-435 by western blot. (B) Knock-down of TUSC8 up-regulated the expression of mesenchymal related markers (ZEB1, TWIST, SNAI1 and Vimentin), while down-regulated the expression of epithelial related marker (E-cadherin) in breast cancer cell lines MCF-7 and HCC1937 by western blot. The asterisks (*, **) indicate a significant difference (p < 0.05, p < 0.01) respectively.

false

Key facts

Host species

Mouse

Clonality

Monoclonal

Clone number

2A8A6

Isotype

IgG1

Carrier free

No

Reacts with

Human

Applications

Flow Cyt, ICC/IF, WB, IHC-P

applications

Immunogen

Recombinant Fragment Protein within Human ZEB1 aa 950 to C-terminus. The exact immunogen used to generate this antibody is proprietary information.

P37275

Reactivity data

{ "title": "Reactivity Data", "filters": { "stats": ["", "Species", "Dilution Info", "Notes"], "tabs": { "all-applications": {"fullname" : "All Applications", "shortname": "All Applications"}, "FlowCyt" : {"fullname" : "Flow Cytometry", "shortname":"Flow Cyt"}, "WB" : {"fullname" : "Western blot", "shortname":"WB"}, "IHCP" : {"fullname" : "Immunohistochemistry (Formalin/PFA-fixed paraffin-embedded sections)", "shortname":"IHC-P"}, "ICCIF" : {"fullname" : "Immunocytochemistry/ Immunofluorescence", "shortname":"ICC/IF"} }, "product-promise": { "all": "all", "testedAndGuaranteed": "tested", "guaranteed": "expected", "predicted": "predicted", "notRecommended": "not-recommended" } }, "values": { "Human": { "FlowCyt-species-checked": "testedAndGuaranteed", "FlowCyt-species-dilution-info": "1/200 - 1/400", "FlowCyt-species-notes": "<p><a href='/en-us/products/primary-antibodies/mouse-igg1-kappa-monoclonal-15-6e10a7-isotype-control-ab170190'>ab170190</a> - Mouse monoclonal IgG1, is suitable for use as an isotype control with this antibody.</p>", "WB-species-checked": "testedAndGuaranteed", "WB-species-dilution-info": "1/500 - 1/2000", "WB-species-notes": "<p></p>", "IHCP-species-checked": "testedAndGuaranteed", "IHCP-species-dilution-info": "1/200 - 1/1000", "IHCP-species-notes": "<p></p>", "ICCIF-species-checked": "testedAndGuaranteed", "ICCIF-species-dilution-info": "1/200 - 1/1000", "ICCIF-species-notes": "<p></p>" }, "Recombinant fragment - Human": { "FlowCyt-species-checked": "notRecommended", "FlowCyt-species-dilution-info": "", "FlowCyt-species-notes": "", "WB-species-checked": "testedAndGuaranteed", "WB-species-dilution-info": "1/500 - 1/2000", "WB-species-notes": "<p></p>", "IHCP-species-checked": "notRecommended", "IHCP-species-dilution-info": "", "IHCP-species-notes": "", "ICCIF-species-checked": "notRecommended", "ICCIF-species-dilution-info": "", "ICCIF-species-notes": "" } } }

Product details

This product was changed from ascites to supernatant. Lot no's high than GR224480-10 are from Tissue Culture Supernatant

Properties and storage information

Form
Liquid
Purification technique
Affinity purification Protein G
Purification notes
Purified from tissue culture supernatant.
Storage buffer
Preservative: 0.05% Sodium azide Constituents: PBS
Shipped at conditions
Blue Ice
Appropriate short-term storage duration
1-2 weeks
Appropriate short-term storage conditions
+4°C
Appropriate long-term storage conditions
-20°C
Aliquoting information
Upon delivery aliquot
Storage information
Avoid freeze / thaw cycle

Supplementary information

This supplementary information is collated from multiple sources and compiled automatically.

ZEB1 also known as δEF1 is a zinc finger E-box-binding homeobox protein with a molecular weight of approximately 124 kDa. It acts as a transcription factor and plays an important role in the regulation of gene expression by binding to specific DNA sequences. ZEB1 is mainly expressed in epithelial and mesenchymal cells and is involved in a variety of developmental processes during embryogenesis. Its broad expression pattern reflects its versatile function in different tissues and cell types.
Biological function summary

ZEB1 modulates cellular differentiation and identity by repressing and activating target genes. This protein is particularly notable for its involvement in the epithelial-to-mesenchymal transition (EMT) an important biological process for development and wound healing. ZEB1 doesn't act alone; it forms complexes with other transcription factors and co-repressors such as SMAD and CtBP enhancing its regulatory reach. Through these interactions ZEB1 influences cell adhesion molecules and cytoskeletal components facilitating cell motility and invasion.

Pathways

ZEB1 is integral to the TGF-β signaling pathway influencing cellular responses to growth factors. It also intersects with the Wnt signaling pathway linking it to cellular proliferation and differentiation. Through these pathways ZEB1 interacts with other significant proteins including β-catenin and SMAD proteins which collaboratively regulate gene expression that affects cell phenotype and behavior.

The dysregulation of ZEB1 is associated with a variety of pathological conditions including cancer and fibrotic diseases. In cancer ZEB1 contributes to tumor progression and metastasis by promoting EMT a process that enables epithelial cells to acquire mesenchymal traits enhancing their migratory capabilities. This mechanism links ZEB1 to the expression of vimentin and the suppression of E-cadherin important markers in cancer prognosis. Additionally in fibrotic disorders ZEB1's interaction with TGF-β signaling promotes pathological tissue remodeling impacting fibrosis development in organs like the liver and lungs.

Product protocols

For this product, it's our understanding that no specific protocols are required. You can visit:

Target data

Acts as a transcriptional repressor. Inhibits interleukin-2 (IL-2) gene expression. Enhances or represses the promoter activity of the ATP1A1 gene depending on the quantity of cDNA and on the cell type. Represses E-cadherin promoter and induces an epithelial-mesenchymal transition (EMT) by recruiting SMARCA4/BRG1. Represses BCL6 transcription in the presence of the corepressor CTBP1. Positively regulates neuronal differentiation. Represses RCOR1 transcription activation during neurogenesis. Represses transcription by binding to the E box (5'-CANNTG-3'). In the absence of TGFB1, acts as a repressor of COL1A2 transcription via binding to the E-box in the upstream enhancer region (By similarity).
See full target information ZEB1

Publications (25)

Recent publications for all applications. Explore the full list and refine your search

Journal of extracellular vesicles 14:e70160 PubMed40955457

2025

Epidermal Stem Cell-Derived Extracellular Vesicles Induce Fibroblasts Mesenchymal-Epidermal Transition to Alleviate Hypertrophic Scar Formation via miR-200s Inhibition of ZEB1 and 2.

Applications

Unspecified application

Species

Unspecified reactive species

Miao Zhen,Juntao Xie,Rui Yang,Lijuan Liu,Hengdeng Liu,Xuefeng He,Suyue Gao,Junyou Zhu,Jingting Li,Bin Shu,Peng Wang

Open life sciences 20:20251109 PubMed40771411

2025

Artesunate inhibits hepatocellular carcinoma cell migration and invasion through OGA-mediated -GlcNAcylation of ZEB1.

Applications

Unspecified application

Species

Unspecified reactive species

Ying Li,Yuan Zhang,Wei Lu,Yun Chen,Xiaoling Qian

Journal of translational medicine 23:265 PubMed40038747

2025

MAZ-mediated N6-methyladenosine modification of ZEB1 promotes hepatocellular carcinoma progression by regulating METTL3.

Applications

Unspecified application

Species

Unspecified reactive species

Di Li,Li Xu,Ruyuan Liu,Zhaonv Yao,Chuanjun Zheng,Song Jin,Xuefeng Guo,Zhengbao Zhang,Shengkui Tan,Xiaonian Zhu

Cell death discovery 10:377 PubMed39181873

2024

Endogenous osteoprotegerin (OPG) represses ERα and promotes stemness and chemoresistance in breast cancer cells.

Applications

Unspecified application

Species

Unspecified reactive species

Noura N Alraouji,Dilek Colak,Falah H Al-Mohanna,Ayodele A Alaiya,Abdelilah Aboussekhra

Journal of translational medicine 20:58 PubMed35101080

2022

Circular RNA circCSPP1 promotes the occurrence and development of colon cancer by sponging miR-431 and regulating ROCK1 and ZEB1.

Applications

Unspecified application

Species

Unspecified reactive species

Jin Wang,Lei Zhou,Bingxin Chen,Zhuwen Yu,Jianglei Zhang,Zhe Zhang,Chenrui Hu,Yanjin Bai,Xiaokang Ruan,Shengjia Wang,Jun Ouyang,Airong Wu,Xin Zhao

Cancer research communications 1:106-114 PubMed36860286

2021

Dipeptidyl Peptidase (DPP)-4 Inhibitor Impairs the Outcomes of Patients with Type 2 Diabetes Mellitus After Curative Resection for Colorectal Cancer.

Applications

Unspecified application

Species

Unspecified reactive species

Akira Saito,Joji Kitayama,Hisanaga Horie,Koji Koinuma,Rie Kawashima,Hideyuki Ohzawa,Hironori Yamaguchi,Hiroshi Kawahira,Toshiki Mimura,Alan Kawarai Lefor,Naohiro Sata

Journal of Cancer 12:4626-4637 PubMed34149926

2021

HOXA5 confers tamoxifen resistance via the PI3K/AKT signaling pathway in ER-positive breast cancer.

Applications

Unspecified application

Species

Unspecified reactive species

Clara Yuri Kim,Yu Cheon Kim,Ji Hoon Oh,Myoung Hee Kim

Translational andrology and urology 10:643-653 PubMed33718067

2021

LncRNA DIO3OS regulated by TGF-β1 and resveratrol enhances epithelial mesenchymal transition of benign prostatic hyperplasia epithelial cells and proliferation of prostate stromal cells.

Applications

Unspecified application

Species

Unspecified reactive species

Yanbo Chen,Hui Xu,Chong Liu,Meng Gu,Ming Zhan,Qi Chen,Zhong Wang

Frontiers in oncology 10:583682 PubMed33363013

2020

CircRNA_ACAP2 Suppresses EMT in Head and Neck Squamous Cell Carcinoma by Targeting the miR-21-5p/STAT3 Signaling Axis.

Applications

Unspecified application

Species

Unspecified reactive species

Chuan Ma,Tingting Shi,Zhuli Qu,Aobo Zhang,Zuping Wu,Huaqiang Zhao,Haoming Zhao,Hongyu Chen

Aging 12:2974-2991 PubMed32039833

2020

Long non-coding RNA TUSC8 inhibits breast cancer growth and metastasis via miR-190b-5p/MYLIP axis.

Applications

Unspecified application

Species

Unspecified reactive species

Luqing Zhao,Yangying Zhou,Yuelong Zhao,Qingling Li,Jianhua Zhou,Yitao Mao
View all publications

Product promise

We are committed to supporting your work with high-quality reagents, and we're here for you every step of the way. In the unlikely event that one of our products does not perform as expected, you're protected by our Product Promise.
For full details, please see our Terms & Conditions

Please note: All products are 'FOR RESEARCH USE ONLY. NOT FOR USE IN DIAGNOSTIC OR THERAPEUTIC PROCEDURES'.

For licensing inquiries, please contact partnerships@abcam.com