JavaScript is disabled in your browser. Please enable JavaScript to view this website.
AB245283

Anti-ZEB1 antibody

Be the first to review this product! Submit a review

|

(7 Publications)

Rabbit Polyclonal ZEB1 antibody. Suitable for IHC-P, IP, WB and reacts with Mouse, Human samples. Cited in 7 publications. Immunogen corresponding to Synthetic Peptide within Human ZEB1 aa 1050 to C-terminus.

View Alternative Names

AREB6, TCF8, ZEB1, Zinc finger E-box-binding homeobox 1, NIL-2-A zinc finger protein, Negative regulator of IL2, Transcription factor 8, TCF-8

4 Images
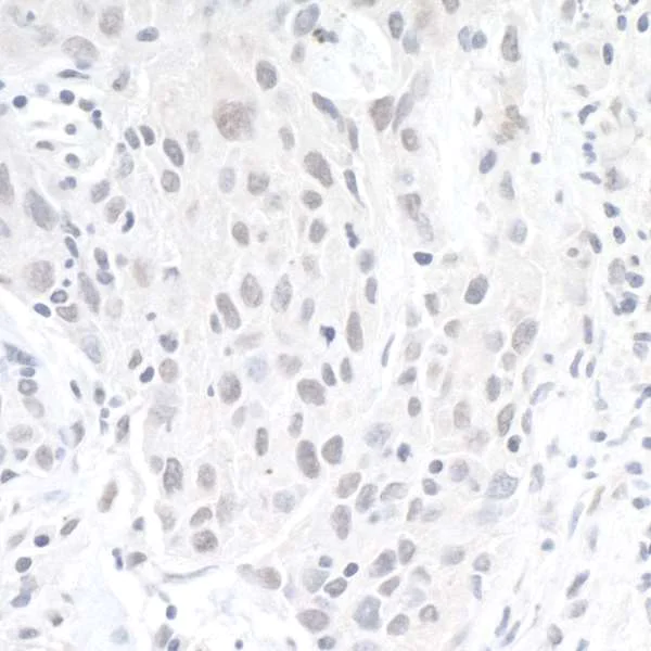
Immunohistochemistry (Formalin/PFA-fixed paraffin-embedded sections) - Anti-ZEB1 antibody (AB245283)
  • IHC-P

Supplier Data

Immunohistochemistry (Formalin/PFA-fixed paraffin-embedded sections) - Anti-ZEB1 antibody (AB245283)

Formalin-fixed, paraffin-embedded human breast carcinoma tissue stained for ZEB1 using ab245283 at 1/1000 dilution in immunohistochemical analysis.

Detection : DAB staining.

Immunoprecipitation - Anti-ZEB1 antibody (AB245283)
  • IP

Supplier Data

Immunoprecipitation - Anti-ZEB1 antibody (AB245283)

ZEB1 was immunoprecipitated from HeLa (human epithelial cell line from cervix adenocarcinoma) whole cell lysate (1 mg for IP, 20% of IP loaded) with ab245283 at 3 μg per reaction. Western blot was performed from the immunoprecipitate using ab245283 at 0.4 μg/ml.

Lane 1 : ab245283 IP in HeLa whole cell lysate.
Lane 2 : Control IgG IP in HeLa whole cell lysate.

Detection : Chemiluminescence with exposure time of 30 seconds.

Lysates prepared in NETN buffer.

All lanes:

Immunoprecipitation - Anti-ZEB1 antibody (ab245283)

Predicted band size: 124 kDa

true

Exposure time: 30s

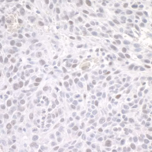
Immunohistochemistry (Formalin/PFA-fixed paraffin-embedded sections) - Anti-ZEB1 antibody (AB245283)
  • IHC-P

Supplier Data

Immunohistochemistry (Formalin/PFA-fixed paraffin-embedded sections) - Anti-ZEB1 antibody (AB245283)

Formalin-fixed, paraffin-embedded mouse colon carcinoma tissue stained for ZEB1 using ab245283 at 1/1000 dilution in immunohistochemical analysis.

Detection : DAB staining.

Western blot - Anti-ZEB1 antibody (AB245283)
  • WB

Supplier Data

Western blot - Anti-ZEB1 antibody (AB245283)

Lysates prepared in NETN buffer.

All lanes:

Western blot - Anti-ZEB1 antibody (ab245283) at 0.1 µg/mL

Lane 1:

HeLa (human epithelial cell line from cervix adenocarcinoma) whole cell lysate at 15 µg

Lane 2:

HEK-293T (human epithelial cell line from embryonic kidney transformed with large T antigen) whole cell lysate at 15 µg

Lane 3:

Jurkat (human T cell leukemia cell line from peripheral blood) whole cell lysate at 15 µg

Lane 4:

TCMK-1 (mouse kidney epithelial cell line) whole cell lysate at 15 µg

Lane 5:

NIH/3T3 (mouse embryo fibroblast cell line) whole cell lysate at 15 µg

Predicted band size: 124 kDa

false

Exposure time: 3min

Key facts

Host species

Rabbit

Clonality

Polyclonal

Isotype

IgG

Carrier free

No

Reacts with

Mouse, Human

Applications

IHC-P, WB, IP

applications

Immunogen

Synthetic Peptide within Human ZEB1 aa 1050 to C-terminus. The exact immunogen used to generate this antibody is proprietary information.

P37275

Reactivity data

{ "title": "Reactivity Data", "filters": { "stats": ["", "Species", "Dilution Info", "Notes"], "tabs": { "all-applications": {"fullname" : "All Applications", "shortname": "All Applications"}, "IHCP" : {"fullname" : "Immunohistochemistry (Formalin/PFA-fixed paraffin-embedded sections)", "shortname":"IHC-P"}, "IP" : {"fullname" : "Immunoprecipitation", "shortname":"IP"}, "WB" : {"fullname" : "Western blot", "shortname":"WB"} }, "product-promise": { "all": "all", "testedAndGuaranteed": "tested", "guaranteed": "expected", "predicted": "predicted", "notRecommended": "not-recommended" } }, "values": { "Human": { "IHCP-species-checked": "testedAndGuaranteed", "IHCP-species-dilution-info": "1/200 - 1/1000", "IHCP-species-notes": "<p></p> Perform heat-mediated antigen retrieval with citrate buffer pH 6 before commencing with IHC staining protocol.", "IP-species-checked": "testedAndGuaranteed", "IP-species-dilution-info": "2-5 µg/mg of lysate", "IP-species-notes": "<p></p>", "WB-species-checked": "testedAndGuaranteed", "WB-species-dilution-info": "1/2000 - 1/10000", "WB-species-notes": "<p></p>" }, "Mouse": { "IHCP-species-checked": "testedAndGuaranteed", "IHCP-species-dilution-info": "1/200 - 1/1000", "IHCP-species-notes": "<p></p> Perform heat-mediated antigen retrieval with citrate buffer pH 6 before commencing with IHC staining protocol.", "IP-species-checked": "guaranteed", "IP-species-dilution-info": "", "IP-species-notes": "", "WB-species-checked": "testedAndGuaranteed", "WB-species-dilution-info": "1/2000 - 1/10000", "WB-species-notes": "<p></p>" } } }

Properties and storage information

Form
Liquid
Purification technique
Affinity purification Immunogen
Purification notes
ab245283 was affinity purified using an epitope specific to ZEB1 immobilized on solid support.
Storage buffer
pH: 6.8 - 7.4 Preservative: 0.09% Sodium azide Constituents: Tris buffered saline, 0.1% BSA
Shipped at conditions
Blue Ice
Appropriate short-term storage duration
1-2 weeks
Appropriate short-term storage conditions
+4°C
Appropriate long-term storage conditions
+4°C
Aliquoting information
Upon delivery aliquot
Storage information
Avoid freeze / thaw cycle

Supplementary information

This supplementary information is collated from multiple sources and compiled automatically.

ZEB1 also known as δEF1 is a zinc finger E-box-binding homeobox protein with a molecular weight of approximately 124 kDa. It acts as a transcription factor and plays an important role in the regulation of gene expression by binding to specific DNA sequences. ZEB1 is mainly expressed in epithelial and mesenchymal cells and is involved in a variety of developmental processes during embryogenesis. Its broad expression pattern reflects its versatile function in different tissues and cell types.
Biological function summary

ZEB1 modulates cellular differentiation and identity by repressing and activating target genes. This protein is particularly notable for its involvement in the epithelial-to-mesenchymal transition (EMT) an important biological process for development and wound healing. ZEB1 doesn't act alone; it forms complexes with other transcription factors and co-repressors such as SMAD and CtBP enhancing its regulatory reach. Through these interactions ZEB1 influences cell adhesion molecules and cytoskeletal components facilitating cell motility and invasion.

Pathways

ZEB1 is integral to the TGF-β signaling pathway influencing cellular responses to growth factors. It also intersects with the Wnt signaling pathway linking it to cellular proliferation and differentiation. Through these pathways ZEB1 interacts with other significant proteins including β-catenin and SMAD proteins which collaboratively regulate gene expression that affects cell phenotype and behavior.

The dysregulation of ZEB1 is associated with a variety of pathological conditions including cancer and fibrotic diseases. In cancer ZEB1 contributes to tumor progression and metastasis by promoting EMT a process that enables epithelial cells to acquire mesenchymal traits enhancing their migratory capabilities. This mechanism links ZEB1 to the expression of vimentin and the suppression of E-cadherin important markers in cancer prognosis. Additionally in fibrotic disorders ZEB1's interaction with TGF-β signaling promotes pathological tissue remodeling impacting fibrosis development in organs like the liver and lungs.

Product protocols

For this product, it's our understanding that no specific protocols are required. You can visit:

Target data

Acts as a transcriptional repressor. Inhibits interleukin-2 (IL-2) gene expression. Enhances or represses the promoter activity of the ATP1A1 gene depending on the quantity of cDNA and on the cell type. Represses E-cadherin promoter and induces an epithelial-mesenchymal transition (EMT) by recruiting SMARCA4/BRG1. Represses BCL6 transcription in the presence of the corepressor CTBP1. Positively regulates neuronal differentiation. Represses RCOR1 transcription activation during neurogenesis. Represses transcription by binding to the E box (5'-CANNTG-3'). In the absence of TGFB1, acts as a repressor of COL1A2 transcription via binding to the E-box in the upstream enhancer region (By similarity).
See full target information ZEB1

Publications (7)

Recent publications for all applications. Explore the full list and refine your search

Journal of translational medicine 21:882 PubMed38057853

2023

GATA6-AS1 suppresses epithelial-mesenchymal transition of pancreatic cancer under hypoxia through regulating SNAI1 mRNA stability.

Applications

Unspecified application

Species

Unspecified reactive species

Yunhui Zhou,Xinyi Zhou,Qiwen Ben,Ningning Liu,Jiahui Wang,Yongpeng Zhai,Yichen Bao,Lin Zhou

Journal of cellular and molecular medicine 27:1179-1191 PubMed36988055

2023

Insulin-like growth factor 1 ameliorates pre-eclampsia by inhibiting zinc finger E-box binding homeobox 1 by up-regulation of microRNA-183.

Applications

Unspecified application

Species

Unspecified reactive species

Weisi Lai,Ling Yu

Journal of cellular and molecular medicine 24:13196-13207 PubMed32996684

2020

Remifentanil up-regulates HIF1α expression to ameliorate hepatic ischaemia/reperfusion injury via the ZEB1/LIF axis.

Applications

Unspecified application

Species

Unspecified reactive species

Rongsheng Zhou,Shuang Li,Xiaopeng Mei,Tao Jiang,Qiang Wang

Cell biochemistry and function 38:1069-1078 PubMed32390141

2020

LncRNA TUG1 facilitates proliferation, invasion and stemness of ovarian cancer cell via miR-186-5p/ZEB1 axis.

Applications

Unspecified application

Species

Unspecified reactive species

Fu-Liang Zhan,Chun-Fang Chen,Mei-Zhen Yao

Cell death & disease 10:932 PubMed31804461

2019

CircRNA hsa_circ_0074834 promotes the osteogenesis-angiogenesis coupling process in bone mesenchymal stem cells (BMSCs) by acting as a ceRNA for miR-942-5p.

Applications

Unspecified application

Species

Unspecified reactive species

Zhengxiao Ouyang,Tingting Tan,Xianghong Zhang,Jia Wan,Yanling Zhou,Guangyao Jiang,Daishui Yang,Xiaoning Guo,Tang Liu

Journal of experimental & clinical cancer research 38:366 PubMed31429770

2019

A central role for MeCP2 in the epigenetic repression of miR-200c during epithelial-to-mesenchymal transition of glioma.

Applications

Unspecified application

Species

Unspecified reactive species

Erbao Bian,Xueran Chen,Yadi Xu,Xinghu Ji,Meng Cheng,Hongliang Wang,Zhiyou Fang,Bing Zhao

Life sciences 233:116692 PubMed31351967

2019

Circular RNA hsa_circ_0007059 restrains proliferation and epithelial-mesenchymal transition in lung cancer cells via inhibiting microRNA-378.

Applications

Unspecified application

Species

Unspecified reactive species

Shunji Gao,Yanyan Yu,Lu Liu,Jun Meng,Guifang Li
View all publications

Product promise

We are committed to supporting your work with high-quality reagents, and we're here for you every step of the way. In the unlikely event that one of our products does not perform as expected, you're protected by our Product Promise.
For full details, please see our Terms & Conditions

Please note: All products are 'FOR RESEARCH USE ONLY. NOT FOR USE IN DIAGNOSTIC OR THERAPEUTIC PROCEDURES'.

For licensing inquiries, please contact partnerships@abcam.com