JavaScript is disabled in your browser. Please enable JavaScript to view this website.
AB276129

Anti-ZEB1 antibody [BLR102H]

Be the first to review this product! Submit a review

|

(7 Publications)

Rabbit Recombinant Monoclonal ZEB1 antibody. Suitable for IP, WB, Flow Cyt and reacts with Human, Mouse samples. Cited in 7 publications. Immunogen corresponding to Synthetic Peptide within Human ZEB1 aa 1050 to C-terminus.

View Alternative Names

AREB6, TCF8, ZEB1, Zinc finger E-box-binding homeobox 1, NIL-2-A zinc finger protein, Negative regulator of IL2, Transcription factor 8, TCF-8

5 Images
Flow Cytometry - Anti-ZEB1 antibody [BLR102H] (AB276129)
  • Flow Cyt

Supplier Data

Flow Cytometry - Anti-ZEB1 antibody [BLR102H] (AB276129)

Flow cytometry overlay histogram of 4% formaldehyde fixed Jurkat cells permeabilized with 90% methanol labeling human Zeb1 with ab276129 at 1 µl per 1 x 10^6 cells (shaded) compared with a Isotype control (unshaded). Secondary antibody details : DyLight® 488-conjugated goat anti-rabbit IgG (ab96883).

Immunoprecipitation - Anti-ZEB1 antibody [BLR102H] (AB276129)
  • IP

Supplier Data

Immunoprecipitation - Anti-ZEB1 antibody [BLR102H] (AB276129)

ZEB1 was immunoprecipitated from 20 μl/mg HEK-293T whole cell lysate, prepared using NETN lysis buffer. ab276129 was used for IP at 1 : 1000 (Lane 1). Control IgG (Lane 2).

Chemiluminescence with an exposure time of 30 seconds.

All lanes:

Immunoprecipitation - Anti-ZEB1 antibody [BLR102H] (ab276129)

Predicted band size: 124 kDa

false

Western blot - Anti-ZEB1 antibody [BLR102H] (AB276129)
  • WB

Supplier Data

Western blot - Anti-ZEB1 antibody [BLR102H] (AB276129)

Chemiluminescence with an exposure time of 30 seconds.

Lower Panel : Rabbit anti-COPB2 antibody

All lanes:

Western blot - Anti-ZEB1 antibody [BLR102H] (ab276129) at 1/1000 dilution

Lane 1:

GaMG whole cell lysate at 50 µg

Lane 2:

Jurkat whole cell lysate at 50 µg

Lane 3:

HEK-293T whole cell lysate at 50 µg

Lane 4:

RKO whole cell lysate at 50 µg

Lane 5:

MCF-7 whole cell lysate at 50 µg

Lane 6:

A549 whole cell lysate at 50 µg

Lane 7:

K562 whole cell lysate at 50 µg

Lane 8:

HeLa whole cell lysate at 50 µg

Secondary

All lanes:

HRP-conjugated goat anti-rabbit IgG

Predicted band size: 124 kDa

false

Western blot - Anti-ZEB1 antibody [BLR102H] (AB276129)
  • WB

Supplier Data

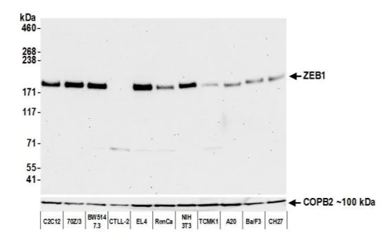
Western blot - Anti-ZEB1 antibody [BLR102H] (AB276129)

Chemiluminescence with an exposure time of 30 seconds.

Lower Panel : Rabbit anti-COPB2 antibody.

All lanes:

Western blot - Anti-ZEB1 antibody [BLR102H] (ab276129) at 1/1000 dilution

Lane 1:

C2C12 whole cell lysate at 50 µg

Lane 2:

70Z/3 whole cell lysate at 50 µg

Lane 3:

BW5147.3 whole cell lysate at 50 µg

Lane 4:

CTLL-2 whole cell lysate at 50 µg

Lane 5:

EL4 whole cell lysate at 50 µg

Lane 6:

RenCa whole cell lysate at 50 µg

Lane 7:

NIH/3T3 whole cell lysate at 50 µg

Lane 8:

TCMK-1 whole cell lysate at 50 µg

Lane 9:

A20 whole cell lysate at 50 µg

Lane 10:

Ba/F3 whole cell lysate at 50 µg

Lane 11:

CH27 whole cell lysate at 50 µg

Secondary

All lanes:

HRP-conjugated goat anti-rabbit IgG

Predicted band size: 124 kDa

false

Western blot - Anti-ZEB1 antibody [BLR102H] (AB276129)
  • WB

CiteAb

Western blot - Anti-ZEB1 antibody [BLR102H] (AB276129)

ZEB1 western blot using anti-ZEB1 antibody [BLR102H] ab276129. Publication image and figure legend from You, W., Azuma, K., et al., 2024, Sci Rep, PubMed 39020017.

ab276129 was used in this publication in western blot. This may not be the same as the application(s) guaranteed by Abcam. For a full list of applications guaranteed by Abcam for ab276129 please see the product overview.

Fer-1 suppresses EMT-induced upregulation in the expressions of fibronectin and ZEB1 in ARPE-19 cells. (A) Representative western blot images of fibronectin (FN1), ZEB1, and inner control GAPDH. (B) Quantification adjusted to GAPDH of the western blot images, and comparisons among the four groups. (C) Relative mRNA levels of fibronectin and ZEB1 in the four groups. Data is presented by mean ± SD; n = 3 per group; **P ≤ 0.01, ****P ≤ 0.0001, ns not significant.

false

Key facts

Host species

Rabbit

Clonality

Monoclonal

Clone number

BLR102H

Isotype

IgG

Carrier free

No

Reacts with

Mouse, Human

Applications

WB, Flow Cyt, IP

applications

Immunogen

Synthetic Peptide within Human ZEB1 aa 1050 to C-terminus. The exact immunogen used to generate this antibody is proprietary information.

P37275

Reactivity data

{ "title": "Reactivity Data", "filters": { "stats": ["", "Species", "Dilution Info", "Notes"], "tabs": { "all-applications": {"fullname" : "All Applications", "shortname": "All Applications"}, "IP" : {"fullname" : "Immunoprecipitation", "shortname":"IP"}, "WB" : {"fullname" : "Western blot", "shortname":"WB"}, "FlowCyt" : {"fullname" : "Flow Cytometry", "shortname":"Flow Cyt"} }, "product-promise": { "all": "all", "testedAndGuaranteed": "tested", "guaranteed": "expected", "predicted": "predicted", "notRecommended": "not-recommended" } }, "values": { "Human": { "IP-species-checked": "testedAndGuaranteed", "IP-species-dilution-info": "", "IP-species-notes": "<p>20 μl/mg lysate</p>", "WB-species-checked": "testedAndGuaranteed", "WB-species-dilution-info": "1/1000", "WB-species-notes": "<p></p>", "FlowCyt-species-checked": "testedAndGuaranteed", "FlowCyt-species-dilution-info": "1 µL for 10^6 Cells", "FlowCyt-species-notes": "<p></p>" }, "Mouse": { "IP-species-checked": "guaranteed", "IP-species-dilution-info": "", "IP-species-notes": "", "WB-species-checked": "testedAndGuaranteed", "WB-species-dilution-info": "1/1000", "WB-species-notes": "<p></p>", "FlowCyt-species-checked": "guaranteed", "FlowCyt-species-dilution-info": "", "FlowCyt-species-notes": "" } } }

Product details

REACH authorisation
Abcam has not and does not intend to apply for the REACH Authorisation of customers' uses of products that contain European Authorisation list (Annex XIV) substances.
It is the responsibility of our customers to check the necessity of application of REACH Authorisation, and any other relevant authorisations, for their intended uses.

This product is sold under License from Bethyl Laboratories, Inc.

Properties and storage information

Form
Liquid
Purity
Tissue culture supernatant
Storage buffer
pH: 8.2 Preservative: 0.09% Sodium azide Constituents: 98% Borate buffered saline, 0.1% BSA
Shipped at conditions
Blue Ice
Appropriate short-term storage duration
1-2 weeks
Appropriate short-term storage conditions
+4°C
Appropriate long-term storage conditions
+4°C
Aliquoting information
Upon delivery aliquot
Storage information
Avoid freeze / thaw cycle

Supplementary information

This supplementary information is collated from multiple sources and compiled automatically.

ZEB1 also known as δEF1 is a zinc finger E-box-binding homeobox protein with a molecular weight of approximately 124 kDa. It acts as a transcription factor and plays an important role in the regulation of gene expression by binding to specific DNA sequences. ZEB1 is mainly expressed in epithelial and mesenchymal cells and is involved in a variety of developmental processes during embryogenesis. Its broad expression pattern reflects its versatile function in different tissues and cell types.
Biological function summary

ZEB1 modulates cellular differentiation and identity by repressing and activating target genes. This protein is particularly notable for its involvement in the epithelial-to-mesenchymal transition (EMT) an important biological process for development and wound healing. ZEB1 doesn't act alone; it forms complexes with other transcription factors and co-repressors such as SMAD and CtBP enhancing its regulatory reach. Through these interactions ZEB1 influences cell adhesion molecules and cytoskeletal components facilitating cell motility and invasion.

Pathways

ZEB1 is integral to the TGF-β signaling pathway influencing cellular responses to growth factors. It also intersects with the Wnt signaling pathway linking it to cellular proliferation and differentiation. Through these pathways ZEB1 interacts with other significant proteins including β-catenin and SMAD proteins which collaboratively regulate gene expression that affects cell phenotype and behavior.

The dysregulation of ZEB1 is associated with a variety of pathological conditions including cancer and fibrotic diseases. In cancer ZEB1 contributes to tumor progression and metastasis by promoting EMT a process that enables epithelial cells to acquire mesenchymal traits enhancing their migratory capabilities. This mechanism links ZEB1 to the expression of vimentin and the suppression of E-cadherin important markers in cancer prognosis. Additionally in fibrotic disorders ZEB1's interaction with TGF-β signaling promotes pathological tissue remodeling impacting fibrosis development in organs like the liver and lungs.

Product protocols

For this product, it's our understanding that no specific protocols are required. You can visit:

Target data

Acts as a transcriptional repressor. Inhibits interleukin-2 (IL-2) gene expression. Enhances or represses the promoter activity of the ATP1A1 gene depending on the quantity of cDNA and on the cell type. Represses E-cadherin promoter and induces an epithelial-mesenchymal transition (EMT) by recruiting SMARCA4/BRG1. Represses BCL6 transcription in the presence of the corepressor CTBP1. Positively regulates neuronal differentiation. Represses RCOR1 transcription activation during neurogenesis. Represses transcription by binding to the E box (5'-CANNTG-3'). In the absence of TGFB1, acts as a repressor of COL1A2 transcription via binding to the E-box in the upstream enhancer region (By similarity).
See full target information ZEB1

Publications (7)

Recent publications for all applications. Explore the full list and refine your search

Scientific reports 14:16498 PubMed39020017

2024

The role of lipid peroxidation in epithelial-mesenchymal transition of retinal pigment epithelial cells.

Applications

WB

Species

Human

Wang You,Kunihiro Azuma,Toshiro Iwagawa,Sumiko Watanabe,Makoto Aihara,Tomoyasu Shiraya,Takashi Ueta

Cancer cell international 24:121 PubMed38555451

2024

β-hydroxybutyrate inhibits malignant phenotypes of prostate cancer cells through β-hydroxybutyrylation of indoleacetamide-N-methyltransferase.

Applications

Unspecified application

Species

Unspecified reactive species

Yifan Zhang,Yunlong Li

Acta biochimica et biophysica Sinica 56:564-575 PubMed38449391

2024

The deubiquitinase BRCC3 increases the stability of ZEB1 and promotes the proliferation and metastasis of triple-negative breast cancer cells.

Applications

Unspecified application

Species

Unspecified reactive species

Qidi Huang,Shurong Zheng,Huayan Gu,Zhi Yang,Yiqiao Lu,Xia Yu,Guilong Guo

Breast cancer (Dove Medical Press) 15:403-419 PubMed37274058

2023

Rab1A-Mediated Exosomal Sorting of miR-200c Enhances Breast Cancer Lung Metastasis.

Applications

Unspecified application

Species

Unspecified reactive species

Yuting Liu,Jie Tang,Xiaolan Qiu,Lucy A Teng,Mukesh K Sriwastva,Xuedong Han,Zhi Li,Minmin Liu,Shuangyue Liu,Dongzhu Da,Zhi Li,Linlin Zhen,Yi Ren

Molecular medicine (Cambridge, Mass.) 29:1 PubMed36604626

2023

LINC00963 promotes the malignancy and metastasis of lung adenocarcinoma by stabilizing Zeb1 and exosomes-induced M2 macrophage polarization.

Applications

Unspecified application

Species

Unspecified reactive species

Ronghang Hu,Baobin Xu,Jiajun Ma,Linfeng Li,Liming Zhang,Li Wang,Jiebo Zhu,Tao Guo,Heng Zhang,Shaoqiang Wang

International archives of allergy and immunology 184:279-290 PubMed36470235

2022

HMGA1 Aggravates Oxidative Stress Injury and Inflammatory Responses in IL-1β-Induced Primary Chondrocytes through the JMJD3/ZEB1 Axis.

Applications

Unspecified application

Species

Unspecified reactive species

Jianguo Ai,Feng Zhao,Xiaowen Zhou

Cell death & disease 12:561 PubMed34059647

2021

Targeting STAT3 signaling overcomes gefitinib resistance in non-small cell lung cancer.

Applications

Unspecified application

Species

Unspecified reactive species

Zhe Liu,Liang Ma,Yiming Sun,Wenying Yu,Xue Wang
View all publications

Product promise

We are committed to supporting your work with high-quality reagents, and we're here for you every step of the way. In the unlikely event that one of our products does not perform as expected, you're protected by our Product Promise.
For full details, please see our Terms & Conditions

Please note: All products are 'FOR RESEARCH USE ONLY. NOT FOR USE IN DIAGNOSTIC OR THERAPEUTIC PROCEDURES'.

For licensing inquiries, please contact partnerships@abcam.com