JavaScript is disabled in your browser. Please enable JavaScript to view this website.
AB314092

Anti-ZEB1 antibody [BLR217K] - BSA free

Be the first to review this product! Submit a review

|

(0 Publication)

Rabbit Recombinant Monoclonal ZEB1 antibody. Suitable for Flow Cyt, ICC, IHC-P, IP, WB and reacts with Human, Mouse samples. Immunogen corresponding to Synthetic Peptide within Human ZEB1 aa 750-800.

View Alternative Names

AREB6, TCF8, ZEB1, Zinc finger E-box-binding homeobox 1, NIL-2-A zinc finger protein, Negative regulator of IL2, Transcription factor 8, TCF-8

9 Images
Immunohistochemistry (Formalin/PFA-fixed paraffin-embedded sections) - Anti-ZEB1 antibody [BLR217K] - BSA free (AB314092)
  • IHC-P

Supplier Data

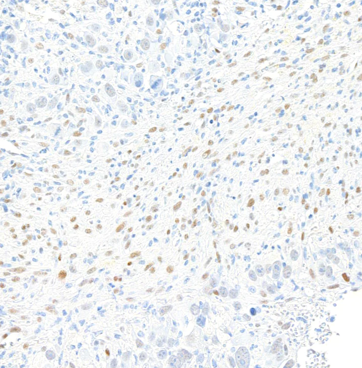
Immunohistochemistry (Formalin/PFA-fixed paraffin-embedded sections) - Anti-ZEB1 antibody [BLR217K] - BSA free (AB314092)

Detection of human ZEB1 by immunohistochemistry. Sample : FFPE section of glioblastoma. Antibody : Rabbit anti-ZEB1 recombinant monoclonal antibody [BLR217K] (A700-217). Secondary : HRP-conjugated goat antirabbit IgG.

Immunocytochemistry - Anti-ZEB1 antibody [BLR217K] - BSA free (AB314092)
  • ICC

Supplier Data

Immunocytochemistry - Anti-ZEB1 antibody [BLR217K] - BSA free (AB314092)

Detection of human ZEB1 by immunocytochemistry. Sample : FFPE section of RKO cells. Antibody : Rabbit antiZEB1 recombinant monoclonal antibody [BLR217K] (A700-217). Secondary : HRP-conjugated goat antirabbit IgG.

Flow Cytometry - Anti-ZEB1 antibody [BLR217K] - BSA free (AB314092)
  • Flow Cyt

Supplier Data

Flow Cytometry - Anti-ZEB1 antibody [BLR217K] - BSA free (AB314092)

Detection of human Zeb1 (shaded) in Jurkat cells by flow cytometry. Antibody : Rabbit anti-Zeb1 recombinant monoclonal [BLR217K] (A700-217) or isotype control (unshaded). Secondary : 650-conjugated goat anti-rabbit IgG.

Immunoprecipitation - Anti-ZEB1 antibody [BLR217K] - BSA free (AB314092)
  • IP

Supplier Data

Immunoprecipitation - Anti-ZEB1 antibody [BLR217K] - BSA free (AB314092)

Samples : Whole cell lysate (1.0 mg per IP reaction; 5% of IP loaded) from 293T cells prepared using NETN lysis buffer. Antibodies : Rabbit anti-ZEB1 recombinant monoclonal antibody [BLR217K] (A700-217) used for IP at 6 µl/mg lysate. ZEB1 was also immunoprecipitated by a second antibody against a different epitope of ZEB1 (A301-922A). For blotting immunoprecipitated ZEB1, A700-217 was used at 1 : 1000. Chemiluminescence with an exposure time of 30 seconds.

false

Immunocytochemistry - Anti-ZEB1 antibody [BLR217K] - BSA free (AB314092)
  • ICC

Supplier Data

Immunocytochemistry - Anti-ZEB1 antibody [BLR217K] - BSA free (AB314092)

Detection of mouse ZEB1 by immunocytochemistry. Sample : FFPE section of ND7/23 cells. Antibody : Rabbit anti-ZEB1 recombinant monoclonal antibody [BLR217K] (A700-217-1). Secondary : HRPconjugated goat anti-rabbit IgG (A120-501P).

Flow Cytometry - Anti-ZEB1 antibody [BLR217K] - BSA free (AB314092)
  • Flow Cyt

Supplier Data

Flow Cytometry - Anti-ZEB1 antibody [BLR217K] - BSA free (AB314092)

Detection of mouse Zeb1 (shaded) in EL4 cells by flow cytometry. Antibody : Rabbit anti-Zeb1 recombinant monoclonal [BLR217K] (A700-217) or isotype control (unshaded). Secondary : 650-conjugated goat anti-rabbit IgG.

Immunohistochemistry (Formalin/PFA-fixed paraffin-embedded sections) - Anti-ZEB1 antibody [BLR217K] - BSA free (AB314092)
  • IHC-P

Supplier Data

Immunohistochemistry (Formalin/PFA-fixed paraffin-embedded sections) - Anti-ZEB1 antibody [BLR217K] - BSA free (AB314092)

Detection of mouse ZEB1 by immunohistochemistry Sample : FFPE section of mouse Renca tumor. Antibody : Rabbit anti-ZEB1 recombinant monoclonal antibody [BLR217K] (A700-217). Secondary : HRP-conjugated goat anti-rabbit IgG.

Western blot - Anti-ZEB1 antibody [BLR217K] - BSA free (AB314092)
  • WB

Supplier Data

Western blot - Anti-ZEB1 antibody [BLR217K] - BSA free (AB314092)

Samples : Whole cell lysate (10 µg) from Jurkat, HeLa, RKO, Hep-G2, and HEK293T cells prepared using NETN lysis buffer. Antibody : Rabbit anti-ZEB1 recombinant monoclonal antibody [BLR217K] (A700-217) used at 1 : 1000. Secondary : HRP-conjugated goat anti-rabbit IgG. Chemiluminescence with an exposure time of 30 seconds. Lower Panel : Rabbit anti-COPB2 antibody.

All lanes:

Western blot - Anti-ZEB1 antibody [BLR217K] - BSA free (ab314092) at 1/1000 dilution

Lane 1:

Jurkat Whole cell lysate at 10 µg

Lane 2:

HeLa Whole cell lysate at 10 µg

Lane 3:

RKO Whole cell lysate at 10 µg

Lane 4:

Hep-G2 Whole cell lysate at 10 µg

Lane 5:

HEK293T Whole cell lysate at 10 µg

Secondary

All lanes:

HRP-conjugated goat anti-rabbit IgG

false

Western blot - Anti-ZEB1 antibody [BLR217K] - BSA free (AB314092)
  • WB

Supplier Data

Western blot - Anti-ZEB1 antibody [BLR217K] - BSA free (AB314092)

Samples : Whole cell lysate (10 µg) from NIH 3T3, CT26, and CH27 cells prepared using NETN lysis buffer. Antibody : Rabbit antiZEB1 recombinant monoclonal antibody [BLR217K] (A700-217) used at 1 : 1000. Secondary : HRP-conjugated goat anti-rabbit IgG. Chemiluminescence with an exposure time of 3 minutes. Lower Panel : Rabbit anti-COPB2 antibody.

All lanes:

Western blot - Anti-ZEB1 antibody [BLR217K] - BSA free (ab314092) at 1/1000 dilution

Lane 1:

NIH 3T3 Whole cell lysate at 10 µg

Lane 2:

CT26 Whole cell lysate at 10 µg

Lane 3:

CH27 Whole cell lysate at 10 µg

Secondary

All lanes:

HRP-conjugated goat anti-rabbit IgG

false

Key facts

Host species

Rabbit

Clonality

Monoclonal

Clone number

BLR217K

Isotype

IgG

Carrier free

No

Reacts with

Human, Mouse

Applications

IHC-P, Flow Cyt, WB, IP, ICC

applications

Immunogen

Synthetic Peptide within Human ZEB1 aa 750-800. The exact immunogen used to generate this antibody is proprietary information.

P37275

Reactivity data

{ "title": "Reactivity Data", "filters": { "stats": ["", "Species", "Dilution Info", "Notes"], "tabs": { "all-applications": {"fullname" : "All Applications", "shortname": "All Applications"}, "FlowCyt" : {"fullname" : "Flow Cytometry", "shortname":"Flow Cyt"}, "ICC" : {"fullname" : "Immunocytochemistry", "shortname":"ICC"}, "IHCP" : {"fullname" : "Immunohistochemistry (Formalin/PFA-fixed paraffin-embedded sections)", "shortname":"IHC-P"}, "IP" : {"fullname" : "Immunoprecipitation", "shortname":"IP"}, "WB" : {"fullname" : "Western blot", "shortname":"WB"} }, "product-promise": { "all": "all", "testedAndGuaranteed": "tested", "guaranteed": "expected", "predicted": "predicted", "notRecommended": "not-recommended" } }, "values": { "Human": { "FlowCyt-species-checked": "testedAndGuaranteed", "FlowCyt-species-dilution-info": "", "FlowCyt-species-notes": "<p></p>", "ICC-species-checked": "testedAndGuaranteed", "ICC-species-dilution-info": "", "ICC-species-notes": "<p></p>", "IHCP-species-checked": "testedAndGuaranteed", "IHCP-species-dilution-info": "", "IHCP-species-notes": "<p></p>", "IP-species-checked": "testedAndGuaranteed", "IP-species-dilution-info": "", "IP-species-notes": "<p></p>", "WB-species-checked": "guaranteed", "WB-species-dilution-info": "", "WB-species-notes": "" }, "Mouse": { "FlowCyt-species-checked": "testedAndGuaranteed", "FlowCyt-species-dilution-info": "", "FlowCyt-species-notes": "<p></p>", "ICC-species-checked": "testedAndGuaranteed", "ICC-species-dilution-info": "", "ICC-species-notes": "<p></p>", "IHCP-species-checked": "testedAndGuaranteed", "IHCP-species-dilution-info": "", "IHCP-species-notes": "<p></p>", "IP-species-checked": "guaranteed", "IP-species-dilution-info": "", "IP-species-notes": "", "WB-species-checked": "testedAndGuaranteed", "WB-species-dilution-info": "", "WB-species-notes": "<p></p>" } } }

Product details

REACH authorisation
Abcam has not and does not intend to apply for the REACH Authorisation of customers' uses of products that contain European Authorisation list (Annex XIV) substances.
It is the responsibility of our customers to check the necessity of application of REACH Authorisation, and any other relevant authorisations, for their intended uses.

Properties and storage information

Form
Liquid
Storage buffer
pH: 7.8 - 8.6 Preservative: 0.09% Sodium azide Constituents: 98% Borate buffered saline
Shipped at conditions
Blue Ice
Appropriate short-term storage duration
Up to 12 months
Appropriate short-term storage conditions
+4°C
Appropriate long-term storage conditions
+4°C

Supplementary information

This supplementary information is collated from multiple sources and compiled automatically.

ZEB1 also known as δEF1 is a zinc finger E-box-binding homeobox protein with a molecular weight of approximately 124 kDa. It acts as a transcription factor and plays an important role in the regulation of gene expression by binding to specific DNA sequences. ZEB1 is mainly expressed in epithelial and mesenchymal cells and is involved in a variety of developmental processes during embryogenesis. Its broad expression pattern reflects its versatile function in different tissues and cell types.
Biological function summary

ZEB1 modulates cellular differentiation and identity by repressing and activating target genes. This protein is particularly notable for its involvement in the epithelial-to-mesenchymal transition (EMT) an important biological process for development and wound healing. ZEB1 doesn't act alone; it forms complexes with other transcription factors and co-repressors such as SMAD and CtBP enhancing its regulatory reach. Through these interactions ZEB1 influences cell adhesion molecules and cytoskeletal components facilitating cell motility and invasion.

Pathways

ZEB1 is integral to the TGF-β signaling pathway influencing cellular responses to growth factors. It also intersects with the Wnt signaling pathway linking it to cellular proliferation and differentiation. Through these pathways ZEB1 interacts with other significant proteins including β-catenin and SMAD proteins which collaboratively regulate gene expression that affects cell phenotype and behavior.

The dysregulation of ZEB1 is associated with a variety of pathological conditions including cancer and fibrotic diseases. In cancer ZEB1 contributes to tumor progression and metastasis by promoting EMT a process that enables epithelial cells to acquire mesenchymal traits enhancing their migratory capabilities. This mechanism links ZEB1 to the expression of vimentin and the suppression of E-cadherin important markers in cancer prognosis. Additionally in fibrotic disorders ZEB1's interaction with TGF-β signaling promotes pathological tissue remodeling impacting fibrosis development in organs like the liver and lungs.

Product protocols

For this product, it's our understanding that no specific protocols are required. You can visit:

Target data

Acts as a transcriptional repressor. Inhibits interleukin-2 (IL-2) gene expression. Enhances or represses the promoter activity of the ATP1A1 gene depending on the quantity of cDNA and on the cell type. Represses E-cadherin promoter and induces an epithelial-mesenchymal transition (EMT) by recruiting SMARCA4/BRG1. Represses BCL6 transcription in the presence of the corepressor CTBP1. Positively regulates neuronal differentiation. Represses RCOR1 transcription activation during neurogenesis. Represses transcription by binding to the E box (5'-CANNTG-3'). In the absence of TGFB1, acts as a repressor of COL1A2 transcription via binding to the E-box in the upstream enhancer region (By similarity).
See full target information ZEB1

Product promise

We are committed to supporting your work with high-quality reagents, and we're here for you every step of the way. In the unlikely event that one of our products does not perform as expected, you're protected by our Product Promise.
For full details, please see our Terms & Conditions

Please note: All products are 'FOR RESEARCH USE ONLY. NOT FOR USE IN DIAGNOSTIC OR THERAPEUTIC PROCEDURES'.

For licensing inquiries, please contact partnerships@abcam.com