JavaScript is disabled in your browser. Please enable JavaScript to view this website.
AB203829

Anti-ZEB1 antibody [EPR17375]

3

(3 Reviews)

|

(150 Publications)

Anti-ZEB1 antibody [EPR17375] (ab203829) is a rabbit monoclonal antibody detecting ZEB1 in Western Blot, Flow Cytometry (Intra), Flow Cytometry, IHC-P, ICC/IF. Suitable for Human.

- KO validated for confirmed specificity
- Biophysical QC for unrivalled batch-batch consistency
- Over 100 publications

View Alternative Names

AREB6, TCF8, ZEB1, Zinc finger E-box-binding homeobox 1, NIL-2-A zinc finger protein, Negative regulator of IL2, Transcription factor 8, TCF-8

8 Images
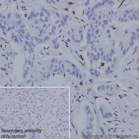
Immunohistochemistry (Formalin/PFA-fixed paraffin-embedded sections) - Anti-ZEB1 antibody [EPR17375] (AB203829)
  • IHC-P

Supplier Data

Immunohistochemistry (Formalin/PFA-fixed paraffin-embedded sections) - Anti-ZEB1 antibody [EPR17375] (AB203829)

Immunohistochemical analysis of paraffin-embedded Human breast carcinoma tissue labeling ZEB1 with ab203829 at 1/100 dilution, followed by Goat Anti-Rabbit IgG H&L (HRP) (ab97051) at 1/500 dilution. Nuclear staining on Human breast carcinoma tissue is observed. Counter stained with Hematoxylin.

Secondary antibody only control : Used PBS instead of primary antibody, secondary antibody is Goat Anti-Rabbit IgG H&L (HRP) (ab97051) at 1/500 dilution.

Perform heat mediated antigen retrieval with Tris/EDTA buffer pH 9.0 before commencing with IHC staining protocol.

Immunocytochemistry/ Immunofluorescence - Anti-ZEB1 antibody [EPR17375] (AB203829)
  • ICC/IF

Supplier Data

Immunocytochemistry/ Immunofluorescence - Anti-ZEB1 antibody [EPR17375] (AB203829)

Immunofluorescent analysis of 4% paraformaldehyde-fixed, 0.1% Triton X-100 permeabilized HeLa (Human epithelial cells from cervix adenocarcinoma) cells labeling ZEB1 with ab203829 at 1/250 dilution, followed by Goat anti-rabbit IgG (Alexa Fluor® 488) (ab150077) secondary antibody at 1/1000 dilution (green). Confocal image showing nuclear staining on HeLa cell line. The nuclear counter stain is DAPI (blue). Tubulin is detected with ab7291 (anti-Tubulin mouse mAb) at 1/1000 dilution and ab150120 (Alexa Fluor® 594 Goat anti-Mouse secondary) at 1/1000 dilution (red).

The negative controls are as follows :
-ve control 1 : ab203829 at 1/250 dilution followed by ab150120 (Alexa Fluor® 594 Goat anti-Mouse secondary) at 1/1000 dilution.
-ve control 2 : ab7291 (anti-Tubulin mouse mAb) at 1/1000 dilution followed by ab150077 (Alexa Fluor® 488 Goat Anti-Rabbit IgG H&L) at 1/1000 dilution.

Flow Cytometry (Intracellular) - Anti-ZEB1 antibody [EPR17375] (AB203829)
  • Flow Cyt (Intra)

Unknown

Flow Cytometry (Intracellular) - Anti-ZEB1 antibody [EPR17375] (AB203829)

Intracellular Flow Cytometry analysis of HeLa cells labelling ZEB1 with ab203829 at 1/1000 (red). Cells were fixed with 4% paraformaldehyde and permeabilized with 90% methanol. An Alexa Fluorr® 488-conjugated goat anti-rabbit IgG (1/2000) was used as the secondary antibody. Black - Isotype control, rabbit monoclonal IgG. Blue - Unlabelled control, cells without incubation with primary and secondary antibodies.

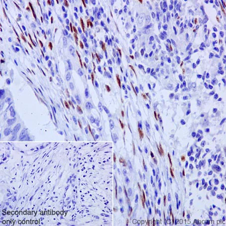
Immunohistochemistry (Formalin/PFA-fixed paraffin-embedded sections) - Anti-ZEB1 antibody [EPR17375] (AB203829)
  • IHC-P

Supplier Data

Immunohistochemistry (Formalin/PFA-fixed paraffin-embedded sections) - Anti-ZEB1 antibody [EPR17375] (AB203829)

Immunohistochemical analysis of paraffin-embedded Human cervix carcinoma tissue labeling ZEB1 with ab203829 at 1/100 dilution, followed by Goat Anti-Rabbit IgG H&L (HRP) (ab97051) at 1/500 dilution. Nuclear staining on Human cervix carcinoma tissue is observed. Counter stained with Hematoxylin.

Secondary antibody only control : Used PBS instead of primary antibody, secondary antibody is Goat Anti-Rabbit IgG H&L (HRP) (ab97051) at 1/500 dilution.

Perform heat mediated antigen retrieval with Tris/EDTA buffer pH 9.0 before commencing with IHC staining protocol.

Western blot - Anti-ZEB1 antibody [EPR17375] (AB203829)
  • WB

Lab

Western blot - Anti-ZEB1 antibody [EPR17375] (AB203829)

Blocking and diluting buffer and concentration : 5% NFDM/TBST.

All lanes:

Western blot - Anti-ZEB1 antibody [EPR17375] (ab203829) at 1/500 dilution

Lane 1:

MDA-MB231 (Human breast adenocarcinoma epithelial cell)whole cell lysates at 20 µg

Lane 2:

SKOV3 (Human ovarian cancer epithelial cell) whole cell lysates at 20 µg

Lane 3:

MCF7 (Human breast adenocarcinoma epithelial cell)whole cell lysates at 20 µg

Lane 4:

A549 (Human lung carcinoma epithelial cell) whole cell lysates at 20 µg

Lane 5:

Human Ovary lysates at 20 µg

Secondary

All lanes:

Western blot - Goat Anti-Rabbit IgG H&L (HRP) (<a href='/en-us/products/secondary-antibodies/goat-rabbit-igg-h-l-hrp-ab97051'>ab97051</a>) at 1/20000 dilution

Predicted band size: 124 kDa

Observed band size: 200 kDa

false

Exposure time: 3min

Western blot - Anti-ZEB1 antibody [EPR17375] (AB203829)
  • WB

Lab

Western blot - Anti-ZEB1 antibody [EPR17375] (AB203829)

Lane 1 : Wild-type HAP1 whole cell lysate (20 μg)
Lane 2 : ZEB1 knockout HAP1 whole cell lysate (20 μg)
Lane 3 : HeLa whole cell lysate (20 μg)

Lanes 1 - 3 : Merged signal (red and green). Green - ab203829 observed at 200 kDa. Red - loading control, ab9484, observed at 37 kDa.

ab203829 was shown to specifically react with ZEB1 in wild-type HAP1 cells as signal was lost in ZEB1 knockout cells. Wild-type and ZEB1 knockout samples were subjected to SDS-PAGE. ab203829 and ab9484 (Mouse anti-GAPDH loading control) were incubated overnight at 4°C at 1/1000 and 1/20000 dilution respectively. Blots were developed with Goat anti-Rabbit IgG H&L (IRDye® 800CW) preabsorbed ab216773 and Goat anti-Mouse IgG H&L (IRDye® 680RD) preabsorbed ab216776 secondary antibodies at 1/20000 dilution for 1 hour at room temperature before imaging.

Lane 1:

Western blot - Anti-ZEB1 antibody [EPR17375] (ab203829)

Lanes 2 - 3:

Western blot - Anti-ZEB1 antibody [EPR17375] - BSA and Azide free (<a href='/en-us/products/primary-antibodies/zeb1-antibody-epr17375-bsa-and-azide-free-ab228986'>ab228986</a>) at 1/1000 dilution

Lane 1:

Wild-type HAP1 whole cell lysate at 20 µg

Lane 2:

ZEB1 knockout HAP1 whole cell lysate at 20 µg

Lane 3:

HeLa whole cell lysate at 20 µg

Predicted band size: 124 kDa

false

Western blot - Anti-ZEB1 antibody [EPR17375] (AB203829)
  • WB

Supplier Data

Western blot - Anti-ZEB1 antibody [EPR17375] (AB203829)

Blocking/Dilution buffer : 5% NFDM/TBST.

All lanes:

Western blot - Anti-ZEB1 antibody [EPR17375] (ab203829) at 1/1000 dilution

All lanes:

HEK-293 (Human epithelial cell line from embryonic kidney) cell lysate at 10 µg

Secondary

All lanes:

Western blot - Goat Anti-Rabbit IgG H&L (HRP) (<a href='/en-us/products/secondary-antibodies/goat-rabbit-igg-h-l-hrp-ab97051'>ab97051</a>) at 1/50000 dilution

Predicted band size: 124 kDa

Observed band size: 200 kDa

false

Exposure time: 15s

Western blot - Anti-ZEB1 antibody [EPR17375] (AB203829)
  • WB

Supplier Data

Western blot - Anti-ZEB1 antibody [EPR17375] (AB203829)

Blocking/Dilution buffer : 5% NFDM/TBST.

All lanes:

Western blot - Anti-ZEB1 antibody [EPR17375] (ab203829) at 1/1000 dilution

All lanes:

HeLa (Human epithelial cell line from cervix adenocarcinoma) cell lysate at 10 µg

Secondary

All lanes:

Western blot - Goat Anti-Rabbit IgG H&L (HRP) (<a href='/en-us/products/secondary-antibodies/goat-rabbit-igg-h-l-hrp-ab97051'>ab97051</a>) at 1/50000 dilution

Predicted band size: 124 kDa

Observed band size: 200 kDa

false

Exposure time: 30s

Key facts

Host species

Rabbit

Clonality

Monoclonal

Clone number

EPR17375

Isotype

IgG

Carrier free

No

Reacts with

Human

Applications

Flow Cyt (Intra), IHC-P, WB, ICC/IF

applications

Immunogen

The exact immunogen used to generate this antibody is proprietary information.

Specificity

Expression levels of the target protein vary with sample type and some optimisation may be required.

Reactivity data

{ "title": "Reactivity Data", "filters": { "stats": ["", "Species", "Dilution Info", "Notes"], "tabs": { "all-applications": {"fullname" : "All Applications", "shortname": "All Applications"}, "WB" : {"fullname" : "Western blot", "shortname":"WB"}, "ICCIF" : {"fullname" : "Immunocytochemistry/ Immunofluorescence", "shortname":"ICC/IF"}, "FlowCytIntra" : {"fullname" : "Flow Cytometry (Intracellular)", "shortname":"Flow Cyt (Intra)"}, "IHCP" : {"fullname" : "Immunohistochemistry (Formalin/PFA-fixed paraffin-embedded sections)", "shortname":"IHC-P"} }, "product-promise": { "all": "all", "testedAndGuaranteed": "tested", "guaranteed": "expected", "predicted": "predicted", "notRecommended": "not-recommended" } }, "values": { "Human": { "WB-species-checked": "testedAndGuaranteed", "WB-species-dilution-info": "1/500", "WB-species-notes": "<p></p>", "ICCIF-species-checked": "testedAndGuaranteed", "ICCIF-species-dilution-info": "1/250", "ICCIF-species-notes": "<p></p>", "FlowCytIntra-species-checked": "testedAndGuaranteed", "FlowCytIntra-species-dilution-info": "1/50", "FlowCytIntra-species-notes": "<p>For unpurified use at 1/1000 dilution. <a href='/en-us/products/primary-antibodies/rabbit-igg-monoclonal-epr25a-isotype-control-ab172730'>ab172730</a> - Rabbit monoclonal IgG, is suitable for use as an isotype control with this antibody.</p>", "IHCP-species-checked": "testedAndGuaranteed", "IHCP-species-dilution-info": "1/100", "IHCP-species-notes": "<p></p>" } } }

Product details

What is this antibody validated in?
Anti-ZEB1 antibody [EPR17375] (ab203829) is a rabbit recombinant monoclonal antibody and is validated for use in Western Blot (WB), Flow Cytometry (Intra), Flow Cytometry (Flow Cyt), Immunohistochemistry (IHC-P), Immunocytochemistry/immunofluorescence (ICC/IF) in Human samples.

What is the molecular weight of ZEB1?
Anti-ZEB1 [EPR17375] (ab203829) specifically detects a band for ZEB1 (UniProt: P37275) at a molecular weight of 124kDa.

Trusted by the scientific community
Anti-ZEB1 [EPR17375] (ab203829) was first used in a scientific publication in 2015 and has been cited over 100 times in peer-reviewed journals.

Trial sizes available!
Test your antibody or perform pre-screening before committing to a larger quantity. Sold in 10µl. Discover our selection of trial-size antibodies.

Specificity confirmed
The specificity of Anti-ZEB1 antibody [EPR17375] (ab203829) has been confirmed by Western blot testing in ZEB1 Knockout HAP1 cells.

Other related products
We have a range of other formats of antibody clone [EPR17375] also available for your convenience: ab203829, Alexa Fluor® 488 - ab215964, Alexa Fluor® 647 - ab216121, Carrier free - ab228986

Patented technology
Our RabMAb® technology is a patented hybridoma-based technology for making rabbit monoclonal antibodies. For details on our patents, please refer to RabMAb® patents.

What are the advantages of a recombinant monoclonal antibody?
This product is a recombinant monoclonal antibody, which offers several advantages including:

  • - High batch-to-batch consistency and reproducibility
  • - Improved sensitivity and specificity
  • - Long-term security of supply
  • - Animal-free batch production

For more information, read more on recombinant antibodies.

Properties and storage information

Form
Liquid
Purification technique
Affinity purification Protein A
Storage buffer
pH: 7.2 - 7.4 Preservative: 0.01% Sodium azide Constituents: PBS, 40% Glycerol (glycerin, glycerine), 0.05% BSA
Shipped at conditions
Blue Ice
Appropriate short-term storage duration
1-2 weeks
Appropriate short-term storage conditions
+4°C
Appropriate long-term storage conditions
-20°C
Aliquoting information
Upon delivery aliquot
Storage information
Avoid freeze / thaw cycle

Supplementary information

This supplementary information is collated from multiple sources and compiled automatically.

ZEB1 also known as ΔEF1 is a zinc finger E-box-binding homeobox protein with a molecular weight of approximately 124 kDa. It acts as a transcription factor and plays an important role in the regulation of gene expression by binding to specific DNA sequences. ZEB1 is mainly expressed in epithelial and mesenchymal cells and is involved in a variety of developmental processes during embryogenesis. Its broad expression pattern reflects its versatile function in different tissues and cell types.
Biological function summary

ZEB1 modulates cellular differentiation and identity by repressing and activating target genes. This protein is particularly notable for its involvement in the epithelial-to-mesenchymal transition (EMT) an important biological process for development and wound healing. ZEB1 doesn't act alone; it forms complexes with other transcription factors and co-repressors such as SMAD and CtBP enhancing its regulatory reach. Through these interactions ZEB1 influences cell adhesion molecules and cytoskeletal components facilitating cell motility and invasion.

Pathways

ZEB1 is integral to the TGF-Β signaling pathway influencing cellular responses to growth factors. It also intersects with the Wnt signaling pathway linking it to cellular proliferation and differentiation. Through these pathways ZEB1 interacts with other significant proteins including Β-catenin and SMAD proteins which collaboratively regulate gene expression that affects cell phenotype and behavior.

The dysregulation of ZEB1 is associated with a variety of pathological conditions including cancer and fibrotic diseases. In cancer ZEB1 contributes to tumor progression and metastasis by promoting EMT a process that enables epithelial cells to acquire mesenchymal traits enhancing their migratory capabilities. This mechanism links ZEB1 to the expression of vimentin and the suppression of E-cadherin important markers in cancer prognosis. Additionally in fibrotic disorders ZEB1's interaction with TGF-Β signaling promotes pathological tissue remodeling impacting fibrosis development in organs like the liver and lungs.

Product protocols

For this product, it's our understanding that no specific protocols are required. You can visit:

Target data

Acts as a transcriptional repressor. Inhibits interleukin-2 (IL-2) gene expression. Enhances or represses the promoter activity of the ATP1A1 gene depending on the quantity of cDNA and on the cell type. Represses E-cadherin promoter and induces an epithelial-mesenchymal transition (EMT) by recruiting SMARCA4/BRG1. Represses BCL6 transcription in the presence of the corepressor CTBP1. Positively regulates neuronal differentiation. Represses RCOR1 transcription activation during neurogenesis. Represses transcription by binding to the E box (5'-CANNTG-3'). In the absence of TGFB1, acts as a repressor of COL1A2 transcription via binding to the E-box in the upstream enhancer region (By similarity).
See full target information ZEB1

Publications (150)

Recent publications for all applications. Explore the full list and refine your search

Oncology research 33:2379-2398 PubMed40918458

2025

Suppresses Colorectal Cancer Progression by Inhibiting Epithelial-Mesenchymal Transition via Regulation.

Applications

Unspecified application

Species

Unspecified reactive species

Yuhang Jiang,Yijun Xu,Qi Zhu,Yingxia Wu,Zhe Wang,Shuang He,Shiyong Yu,Honggang Xiang

Scientific reports 15:31802 PubMed40877392

2025

Regulation of divergent epithelial-to-mesenchymal transition responses via the CDK4/6-USP51 pathway through ZEB1 protein stabilization.

Applications

Unspecified application

Species

Unspecified reactive species

Yuta Sakamoto,Masataka Takahashi,Hajime Nishimura,Kazuhide Watanabe,Harukazu Suzuki

BMC neuroscience 26:37 PubMed40597639

2025

Shikonin inhibits epithelial-mesenchymal transition in glioblastoma cells by upregulating p53 and promoting miR-361-5p level to suppress ZEB1 expression.

Applications

Unspecified application

Species

Unspecified reactive species

Fengying Zhang,Zhiyi Liu,Yingbin Wang,Lin Zuo,Sicong Xu,Yin Liu,Hao Liang,Yixue Xue

Scientific reports 15:20541 PubMed40593322

2025

MIR155HG promotes metastasis and cisplatin resistance of cervical cancer cells by regulating the miR-409-3p and ZEB1 axis.

Applications

Unspecified application

Species

Unspecified reactive species

Yanxia Chen,Jing Wang,Youqiang Heng,Yu Guo,Ka Ding,Cailing Ma

Cancer cell international 25:95 PubMed40089803

2025

ZEB1 promotes the immune escape of ovarian cancer through the MCSF-CCL18 axis.

Applications

Unspecified application

Species

Unspecified reactive species

Yan-Ping Jin,Guo-Wei Li,Qian-Qian Xu,Xiao-Lan Wang

Scientific reports 15:5703 PubMed39962178

2025

Knockdown of CCNB2 inhibits the tumorigenesis of gastric cancer by regulation of the PI3K/Akt pathway.

Applications

Unspecified application

Species

Unspecified reactive species

Ming Hu,Pengxian Tao,Yongfeng Wang,Chengzhang Zhu,Yuntao Ma,Xiaolong Liu,Hui Cai

Cancer science 116:710-723 PubMed39726326

2024

Single-Cell RNA Sequencing Reveals the Tumor Heterogeneity and Immunosuppressive Microenvironment in Urothelial Carcinoma.

Applications

Unspecified application

Species

Unspecified reactive species

Tianqi Lyu,Kerong Wu,Yincong Zhou,Tong Kong,Lin Li,Kaizhe Wang,Pan Fu,Pengyao Wei,Ming Chen,Jianping Zheng

Cell biochemistry and biophysics 83:1771-1783 PubMed39681812

2024

METTL3 Promotes Osteogenic Differentiation of Human Periodontal Ligament Stem Cells Under the Inflammatory Microenvironment Through the miR-141-3p/ZEB1 Axis.

Applications

Unspecified application

Species

Unspecified reactive species

Weijia Li,Adili Alimujiang

Cancer biology & therapy 25:2427415 PubMed39530604

2024

A positive feedback loop of SRSF9/USP22/ZEB1 promotes the progression of ovarian cancer.

Applications

Unspecified application

Species

Unspecified reactive species

Jing Wang,Ming Hu,Jie Min,Xin Li

Cells 13: PubMed39329736

2024

Impact of RBMS 3 Progression on Expression of EMT Markers.

Applications

Unspecified application

Species

Unspecified reactive species

Tomasz Górnicki,Jakub Lambrinow,Monika Mrozowska,Klaudia Krawczyńska,Natalia Staszko,Alicja Kmiecik,Aleksandra Piotrowska,Agnieszka Gomułkiewicz,Hanna Romanowicz,Beata Smolarz,Marzena Podhorska-Okołów,Jędrzej Grzegrzółka,Agnieszka Rusak,Piotr Dzięgiel
View all publications

Product promise

We are committed to supporting your work with high-quality reagents, and we're here for you every step of the way. In the unlikely event that one of our products does not perform as expected, you're protected by our Product Promise.
For full details, please see our Terms & Conditions

Please note: All products are 'FOR RESEARCH USE ONLY. NOT FOR USE IN DIAGNOSTIC OR THERAPEUTIC PROCEDURES'.

For licensing inquiries, please contact partnerships@abcam.com