JavaScript is disabled in your browser. Please enable JavaScript to view this website.
AB228986

Anti-ZEB1 antibody [EPR17375] - BSA and Azide free

Be the first to review this product! Submit a review

|

(5 Publications)

Rabbit Recombinant Monoclonal ZEB1 antibody. Carrier free. Suitable for WB, ICC/IF, Flow Cyt (Intra), IHC-P and reacts with Human samples. Cited in 5 publications.

View Alternative Names

AREB6, TCF8, ZEB1, Zinc finger E-box-binding homeobox 1, NIL-2-A zinc finger protein, Negative regulator of IL2, Transcription factor 8, TCF-8

6 Images
Flow Cytometry (Intracellular) - Anti-ZEB1 antibody [EPR17375] - BSA and Azide free (AB228986)
  • Flow Cyt (Intra)

Unknown

Flow Cytometry (Intracellular) - Anti-ZEB1 antibody [EPR17375] - BSA and Azide free (AB228986)

Intracellular flow Cytometry analysis of HeLa (human cervix adenocarcinoma) cells labeling ZEB1 with purified ab203829 at 1/50 dilution (10ug/mL) (red). Cells were fixed with 4% paraformaldehyde and permeabilised with 90% methanol. A Goat anti rabbit IgG (Alexa Fluor® 488) at 1/2000 dilution was used as the secondary antibody. Rabbit monoclonal IgG (Black) was used as the isotype control, cells without incubation with primary antibody and secondary antibody (Blue) were used as the unlabeled control.

This data was developed using the same antibody clone in a different buffer formulation containing PBS, BSA, glycerol, and sodium azide (ab203829).

Flow Cytometry (Intracellular) - Anti-ZEB1 antibody [EPR17375] - BSA and Azide free (AB228986)
  • Flow Cyt (Intra)

Unknown

Flow Cytometry (Intracellular) - Anti-ZEB1 antibody [EPR17375] - BSA and Azide free (AB228986)

Intracellular Flow Cytometry analysis of HeLa cells labelling ZEB1 with ab203829 at 1/1000 (red). Cells were fixed with 4% paraformaldehyde and permeabilized with 90% methanol. An Alexa Fluor� 488-conjugated goat anti-rabbit IgG (1/2000) was used as the secondary antibody. Black - Isotype control, rabbit monoclonal IgG. Blue - Unlabelled control, cells without incubation with primary and secondary antibodies.

This data was developed using the same antibody clone in a different buffer formulation containing PBS, BSA, glycerol, and sodium azide (ab203829).

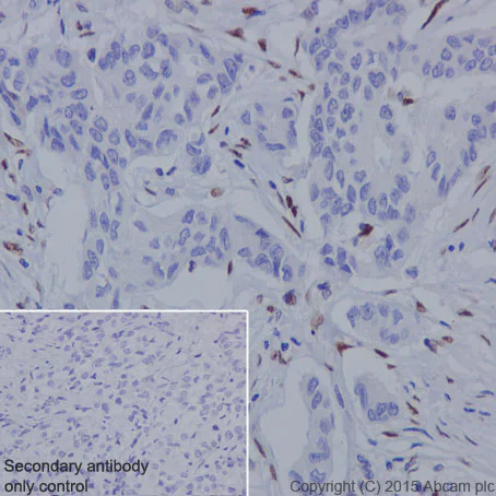
Immunohistochemistry (Formalin/PFA-fixed paraffin-embedded sections) - Anti-ZEB1 antibody [EPR17375] - BSA and Azide free (AB228986)
  • IHC-P

Supplier Data

Immunohistochemistry (Formalin/PFA-fixed paraffin-embedded sections) - Anti-ZEB1 antibody [EPR17375] - BSA and Azide free (AB228986)

This IHC data was generated using the same anti-ZEB1 antibody clone, EPR17375, in a different buffer formulation (cat# ab203829).

Immunohistochemical analysis of paraffin-embedded Human cervix carcinoma tissue labeling ZEB1 with ab203829 at 1/100 dilution, followed by Goat Anti-Rabbit IgG H&L (HRP) (ab97051) at 1/500 dilution. Nuclear staining on Human cervix carcinoma tissue is observed. Counter stained with Hematoxylin.

Secondary antibody only control : Used PBS instead of primary antibody, secondary antibody is Goat Anti-Rabbit IgG H&L (HRP) (ab97051) at 1/500 dilution.

Perform heat mediated antigen retrieval with Tris/EDTA buffer pH 9.0 before commencing with IHC staining protocol.

Immunocytochemistry/ Immunofluorescence - Anti-ZEB1 antibody [EPR17375] - BSA and Azide free (AB228986)
  • ICC/IF

Supplier Data

Immunocytochemistry/ Immunofluorescence - Anti-ZEB1 antibody [EPR17375] - BSA and Azide free (AB228986)

This ICC data was generated using the same anti-ZEB1 antibody clone, EPR17375, in a different buffer formulation (cat# ab203829).

Immunofluorescent analysis of 4% paraformaldehyde-fixed, 0.1% Triton X-100 permeabilized HeLa (Human epithelial cells from cervix adenocarcinoma) cells labeling ZEB1 with ab203829 at 1/250 dilution, followed by Goat anti-rabbit IgG (Alexa Fluor® 488) (ab150077) secondary antibody at 1/1000 dilution (green). Confocal image showing nuclear staining on HeLa cell line. The nuclear counter stain is DAPI (blue). Tubulin is detected with ab7291 (anti-Tubulin mouse mAb) at 1/1000 dilution and ab150120 (Alexa Fluor® 594 Goat anti-Mouse secondary) at 1/1000 dilution (red).

The negative controls are as follows :
-ve control 1 : ab203829 at 1/250 dilution followed by ab150120 (Alexa Fluor® 594 Goat anti-Mouse secondary) at 1/1000 dilution.
-ve control 2 : ab7291 (anti-Tubulin mouse mAb) at 1/1000 dilution followed by ab150077 (Alexa Fluor® 488 Goat Anti-Rabbit IgG H&L) at 1/1000 dilution.

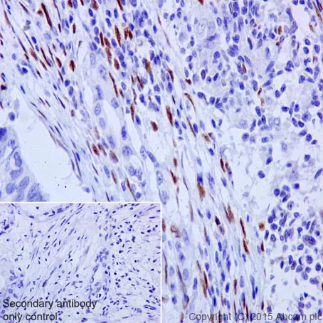
Immunohistochemistry (Formalin/PFA-fixed paraffin-embedded sections) - Anti-ZEB1 antibody [EPR17375] - BSA and Azide free (AB228986)
  • IHC-P

Supplier Data

Immunohistochemistry (Formalin/PFA-fixed paraffin-embedded sections) - Anti-ZEB1 antibody [EPR17375] - BSA and Azide free (AB228986)

Immunohistochemical analysis of paraffin-embedded Human breast carcinoma tissue labeling ZEB1 with ab203829 at 1/100 dilution, followed by Goat Anti-Rabbit IgG H&L (HRP) (ab97051) at 1/500 dilution. Nuclear staining on Human breast carcinoma tissue is observed. Counter stained with Hematoxylin.

Secondary antibody only control : Used PBS instead of primary antibody, secondary antibody is Goat Anti-Rabbit IgG H&L (HRP) (ab97051) at 1/500 dilution.

This data was developed using the same antibody clone in a different buffer formulation containing PBS, BSA, glycerol, and sodium azide (ab203829).

Perform heat mediated antigen retrieval with Tris/EDTA buffer pH 9.0 before commencing with IHC staining protocol.

Western blot - Anti-ZEB1 antibody [EPR17375] - BSA and Azide free (AB228986)
  • WB

Lab

Western blot - Anti-ZEB1 antibody [EPR17375] - BSA and Azide free (AB228986)

**Lanes 1 - 3 : ** Merged signal (red and green). Green - ab203829 observed at 200 kDa. Red - loading control, ab9484, observed at 37 kDa. ab203829 was shown to specifically react with ZEB1 in wild-type HAP1 cells as signal was lost in ZEB1 knockout cells. Wild-type and ZEB1 knockout samples were subjected to SDS-PAGE. ab203829 and ab9484 (Mouse anti-GAPDH loading control) were incubated overnight at 4°C at 1/1000 and 1/20000 dilution respectively. Blots were developed with Goat anti-Rabbit IgG H&L (IRDye® 800CW) preabsorbed ab216773 and Goat anti-Mouse IgG H&L (IRDye® 680RD) preabsorbed ab216776 secondary antibodies at 1/20000 dilution for 1 hour at room temperature before imaging. This data was developed using the same antibody clone in a different buffer formulation containing PBS, BSA, glycerol, and sodium azide (ab203829).

Lane 1:

Western blot - Anti-ZEB1 antibody [EPR17375] (<a href='/en-us/products/primary-antibodies/zeb1-antibody-epr17375-ab203829'>ab203829</a>)

Lanes 2 - 3:

Western blot - Anti-ZEB1 antibody [EPR17375] - BSA and Azide free (ab228986) at 1/1000 dilution

Lane 1:

Wild-type HAP1 whole cell lysate at 20 µg

Lane 2:

ZEB1 knockout HAP1 whole cell lysate at 20 µg

Lane 3:

HeLa whole cell lysate at 20 µg

Predicted band size: 124 kDa

false

Key facts

Host species

Rabbit

Clonality

Monoclonal

Clone number

EPR17375

Isotype

IgG

Carrier free

Yes

Reacts with

Human

Applications

WB, IHC-P, Flow Cyt (Intra), ICC/IF

applications

Immunogen

The exact immunogen used to generate this antibody is proprietary information.

Specificity

Expression levels of the target protein vary with sample type and some optimisation may be required.

Reactivity data

{ "title": "Reactivity Data", "filters": { "stats": ["", "Species", "Dilution Info", "Notes"], "tabs": { "all-applications": {"fullname" : "All Applications", "shortname": "All Applications"}, "WB" : {"fullname" : "Western blot", "shortname":"WB"}, "ICCIF" : {"fullname" : "Immunocytochemistry/ Immunofluorescence", "shortname":"ICC/IF"}, "FlowCytIntra" : {"fullname" : "Flow Cytometry (Intracellular)", "shortname":"Flow Cyt (Intra)"}, "IHCP" : {"fullname" : "Immunohistochemistry (Formalin/PFA-fixed paraffin-embedded sections)", "shortname":"IHC-P"} }, "product-promise": { "all": "all", "testedAndGuaranteed": "tested", "guaranteed": "expected", "predicted": "predicted", "notRecommended": "not-recommended" } }, "values": { "Human": { "WB-species-checked": "testedAndGuaranteed", "WB-species-dilution-info": "", "WB-species-notes": "<p></p> Perform heat-mediated antigen retrieval with Tris/EDTA buffer pH 9.0 before commencing with IHC staining protocol.", "ICCIF-species-checked": "testedAndGuaranteed", "ICCIF-species-dilution-info": "", "ICCIF-species-notes": "<p></p>", "FlowCytIntra-species-checked": "testedAndGuaranteed", "FlowCytIntra-species-dilution-info": "", "FlowCytIntra-species-notes": "<p><a href='/en-us/products/primary-antibodies/rabbit-igg-monoclonal-epr25a-isotype-control-low-endotoxin-azide-free-ab199376'>ab199376</a> - Rabbit monoclonal IgG (Low endotoxin, Azide free), is suitable for use as an isotype control with this antibody.</p>", "IHCP-species-checked": "testedAndGuaranteed", "IHCP-species-dilution-info": "", "IHCP-species-notes": "<p></p> Perform heat-mediated antigen retrieval with Tris/EDTA buffer pH 9.0 before commencing with IHC staining protocol." } } }

Product details

Properties and storage information

Form
Liquid
Purification technique
Affinity purification Protein A
Storage buffer
pH: 7.2 - 7.4 Constituents: PBS
Shipped at conditions
Blue Ice
Appropriate short-term storage conditions
+4°C
Appropriate long-term storage conditions
+4°C
Storage information
Do Not Freeze

Supplementary information

This supplementary information is collated from multiple sources and compiled automatically.

ZEB1 also known as δEF1 is a zinc finger E-box-binding homeobox protein with a molecular weight of approximately 124 kDa. It acts as a transcription factor and plays an important role in the regulation of gene expression by binding to specific DNA sequences. ZEB1 is mainly expressed in epithelial and mesenchymal cells and is involved in a variety of developmental processes during embryogenesis. Its broad expression pattern reflects its versatile function in different tissues and cell types.
Biological function summary

ZEB1 modulates cellular differentiation and identity by repressing and activating target genes. This protein is particularly notable for its involvement in the epithelial-to-mesenchymal transition (EMT) an important biological process for development and wound healing. ZEB1 doesn't act alone; it forms complexes with other transcription factors and co-repressors such as SMAD and CtBP enhancing its regulatory reach. Through these interactions ZEB1 influences cell adhesion molecules and cytoskeletal components facilitating cell motility and invasion.

Pathways

ZEB1 is integral to the TGF-β signaling pathway influencing cellular responses to growth factors. It also intersects with the Wnt signaling pathway linking it to cellular proliferation and differentiation. Through these pathways ZEB1 interacts with other significant proteins including β-catenin and SMAD proteins which collaboratively regulate gene expression that affects cell phenotype and behavior.

The dysregulation of ZEB1 is associated with a variety of pathological conditions including cancer and fibrotic diseases. In cancer ZEB1 contributes to tumor progression and metastasis by promoting EMT a process that enables epithelial cells to acquire mesenchymal traits enhancing their migratory capabilities. This mechanism links ZEB1 to the expression of vimentin and the suppression of E-cadherin important markers in cancer prognosis. Additionally in fibrotic disorders ZEB1's interaction with TGF-β signaling promotes pathological tissue remodeling impacting fibrosis development in organs like the liver and lungs.

Product protocols

For this product, it's our understanding that no specific protocols are required. You can visit:

Target data

Acts as a transcriptional repressor. Inhibits interleukin-2 (IL-2) gene expression. Enhances or represses the promoter activity of the ATP1A1 gene depending on the quantity of cDNA and on the cell type. Represses E-cadherin promoter and induces an epithelial-mesenchymal transition (EMT) by recruiting SMARCA4/BRG1. Represses BCL6 transcription in the presence of the corepressor CTBP1. Positively regulates neuronal differentiation. Represses RCOR1 transcription activation during neurogenesis. Represses transcription by binding to the E box (5'-CANNTG-3'). In the absence of TGFB1, acts as a repressor of COL1A2 transcription via binding to the E-box in the upstream enhancer region (By similarity).
See full target information ZEB1

Publications (5)

Recent publications for all applications. Explore the full list and refine your search

Cancer cell international 20:569 PubMed33292221

2020

LINC00152 upregulates ZEB1 expression and enhances epithelial-mesenchymal transition and oxaliplatin resistance in esophageal cancer by interacting with EZH2.

Applications

Unspecified application

Species

Unspecified reactive species

Shuyao Zhang,Wei Liao,Qinshui Wu,Xiaoshan Huang,Zhen Pan,Wang Chen,Shuyi Gu,Zuojun Huang,Yiwen Wang,Xu Tang,Shanshan Liang,Xiaoyan Zhang,Yun Chen,Shuang Chen,Wanying Chen,Yi Jiang,Chen Chen,Guodong Qiu

Cell biology international 44:2438-2449 PubMed32808728

2020

ACTA2-AS1 suppresses lung adenocarcinoma progression via sequestering miR-378a-3p and miR-4428 to elevate SOX7 expression.

Applications

Unspecified application

Species

Unspecified reactive species

Kangtai Ying,Ling Wang,Guangyan Long,Chan Lian,Zhe Chen,Wei Lin

OncoTargets and therapy 13:1159-1170 PubMed32103984

2020

LncRNA PCAT6 Accelerates the Progression and Chemoresistance of Cervical Cancer Through Up-Regulating ZEB1 by Sponging miR-543.

Applications

Unspecified application

Species

Unspecified reactive species

Zhongping Ma,Guanghua Gu,Weikang Pan,Xiaoxiang Chen

Cells 9: PubMed31861383

2019

Disruption of Cancer Metabolic SREBP1/miR-142-5p Suppresses Epithelial-Mesenchymal Transition and Stemness in Esophageal Carcinoma.

Applications

Unspecified application

Species

Unspecified reactive species

Chih-Ming Huang,Chin-Sheng Huang,Tung-Nien Hsu,Mao-Suan Huang,Iat-Hang Fong,Wei-Hwa Lee,Shao-Cheng Liu

BMC cancer 19:1157 PubMed31779593

2019

LINC01128 expedites cervical cancer progression by regulating miR-383-5p/SFN axis.

Applications

Unspecified application

Species

Unspecified reactive species

Yi Hu,Yan Ma,Jie Liu,Yanlin Cai,Mengmeng Zhang,Xiaoling Fang
View all publications

Product promise

We are committed to supporting your work with high-quality reagents, and we're here for you every step of the way. In the unlikely event that one of our products does not perform as expected, you're protected by our Product Promise.
For full details, please see our Terms & Conditions

Associated Products

Select an associated product type
Alternative Product
Primary Antibodies

AB155249

Anti-ZEB1 antibody

primary-antibodies

zeb1-antibody-ab155249

0

(0 reviews)

Alternative Product
Primary Antibodies

AB180905

Anti-ZEB1 antibody [OTI3G6] - N-terminal

primary-antibodies

zeb1-antibody-oti3g6-n-terminal-ab180905

4

(3 reviews)

Alternative Product
Primary Antibodies

AB124512

Anti-ZEB1 antibody

primary-antibodies

zeb1-antibody-ab124512

0

(1 reviews)

Alternative Product
Primary Antibodies

AB181451

Anti-ZEB1 antibody [2A8A6]

primary-antibodies

zeb1-antibody-2a8a6-ab181451

0

(0 reviews)

Alternative Product
Primary Antibodies

AB87280

Anti-ZEB1 antibody

primary-antibodies

zeb1-antibody-ab87280

4

(5 reviews)

Alternative Product
Primary Antibodies

AB81972

Anti-ZEB1 antibody

primary-antibodies

zeb1-antibody-ab81972

1

(2 reviews)

Alternative Product
Primary Antibodies

AB245283

Anti-ZEB1 antibody

primary-antibodies

zeb1-antibody-ab245283

0

(0 reviews)

Alternative Version
Primary Antibodies

AB215964

Alexa Fluor® 488 Anti-ZEB1 antibody [EPR17375]

primary-antibodies

alexa-fluor-488-zeb1-antibody-epr17375-ab215964

0

(0 reviews)

Alternative Version
Primary Antibodies

AB216121

Alexa Fluor® 647 Anti-ZEB1 antibody [EPR17375]

primary-antibodies

alexa-fluor-647-zeb1-antibody-epr17375-ab216121

0

(0 reviews)

Please note: All products are 'FOR RESEARCH USE ONLY. NOT FOR USE IN DIAGNOSTIC OR THERAPEUTIC PROCEDURES'.

For licensing inquiries, please contact partnerships@abcam.com