JavaScript is disabled in your browser. Please enable JavaScript to view this website.
AB303480

Anti-ZEB1 antibody [EPR26184-63]

  • BOND RX™ Validated
  • 20ul selling size
  • RabMAb
  • Recombinant
  • KO Validated
  • What is this?

Be the first to review this product! Submit a review

|

(4 Publications)

Rabbit Recombinant Monoclonal ZEB1 antibody. Suitable for WB, Dot, IHC-P and reacts with Human, Mouse, Rat, Recombinant full length protein - Mouse samples. Cited in 4 publications.

View Alternative Names

AREB6, TCF8, ZEB1, Zinc finger E-box-binding homeobox 1, NIL-2-A zinc finger protein, Negative regulator of IL2, Transcription factor 8, TCF-8

6 Images
Immunohistochemistry (Formalin/PFA-fixed paraffin-embedded sections) - Anti-ZEB1 antibody [EPR26184-63] (AB303480)
  • IHC-P

Supplier Data

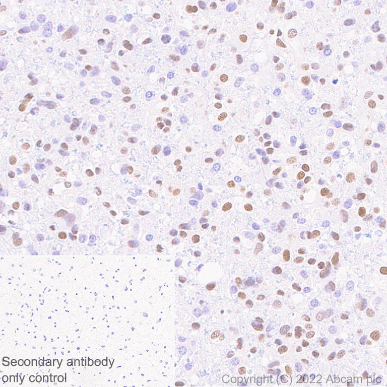
Immunohistochemistry (Formalin/PFA-fixed paraffin-embedded sections) - Anti-ZEB1 antibody [EPR26184-63] (AB303480)

Immunohistochemical analysis of paraffin-embedded A wild-type HAP1 (H tissue labeling ZEB1 with ab303480 at 1/4000 dilution (0.13 μg/mL), followed by a ready to use LeicaDS9800 dilution (BOND™ Polymer Refine Detection). Nuclear staining on (A) Wild-type HAP1 cell pellet, no staining is observed on (B) ZEB1 knockout HAP1 cell pellet. The section was incubated with ab303480 for 30 mins at room temperature. The immunostaining was performed on a Leica Biosystems BOND® RX instrument. Counterstained with Hematoxylin.

Secondary antibody only control : Secondary antibody is a ready to use LeicaDS9800 dilution (BOND™ Polymer Refine Detection).

Heat mediated antigen retrieval with Citrate buffer (pH 6.0, epitope retrieval solution 1) for 20 mins was used.

Immunohistochemistry (Formalin/PFA-fixed paraffin-embedded sections) - Anti-ZEB1 antibody [EPR26184-63] (AB303480)
  • IHC-P

Supplier Data

Immunohistochemistry (Formalin/PFA-fixed paraffin-embedded sections) - Anti-ZEB1 antibody [EPR26184-63] (AB303480)

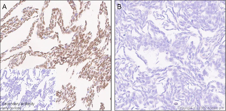
Immunohistochemical analysis of paraffin-embedded Human astrocytoma tissue labeling ZEB1 with ab303480 at 1/8000 (0.065 ug/ml) followed by a ready to use LeicaDS9800 (Bond™ Polymer Refine Detection) was used. Nuclear staining on human astrocytoma (PMID : 28945795). The section was incubated with ab303480 for 30 mins at room temperature.The immunostaining was performed on a Leica Biosystems BOND® RX instrument Counterstained with Hematoxylin. Secondary antibody only control : Secondary antibody is a ready to use LeicaDS9800 (Bond™ Polymer Refine Detection).Heat mediated antigen retrieval with Citrate buffer (pH 6.0, epitope retrieval solution 1) for 20 mins

Immunohistochemistry (Formalin/PFA-fixed paraffin-embedded sections) - Anti-ZEB1 antibody [EPR26184-63] (AB303480)
  • IHC-P

Supplier Data

Immunohistochemistry (Formalin/PFA-fixed paraffin-embedded sections) - Anti-ZEB1 antibody [EPR26184-63] (AB303480)

Immunohistochemical analysis of paraffin-embedded Human colon tissue labeling ZEB1 with ab303480 at 1/8000 (0.065 ug/ml) followed by a ready to use LeicaDS9800 (Bond™ Polymer Refine Detection) was used. Nuclear staining on stromal cells of human colon (PMID : 26057751). The section was incubated with ab303480 for 30 mins at room temperature.The immunostaining was performed on a Leica Biosystems BOND® RX instrument Counterstained with Hematoxylin. Secondary antibody only control : Secondary antibody is a ready to use LeicaDS9800 (Bond™ Polymer Refine Detection).Heat mediated antigen retrieval with Citrate buffer (pH 6.0, epitope retrieval solution 1) for 20 mins

Immunohistochemistry (Formalin/PFA-fixed paraffin-embedded sections) - Anti-ZEB1 antibody [EPR26184-63] (AB303480)
  • IHC-P

Supplier Data

Immunohistochemistry (Formalin/PFA-fixed paraffin-embedded sections) - Anti-ZEB1 antibody [EPR26184-63] (AB303480)

Immunohistochemical analysis of paraffin-embedded Rat cerebrum tissue labeling ZEB1 with ab303480 at 1/8000 (0.065 ug/ml) followed by a ready to use LeicaDS9800 (Bond™ Polymer Refine Detection) was used. Nuclear staining on rat cerebrum. The section was incubated with ab303480 for 30 mins at room temperature.The immunostaining was performed on a Leica Biosystems BOND® RX instrument Counterstained with Hematoxylin. Secondary antibody only control : Secondary antibody is a ready to use LeicaDS9800 (Bond™ Polymer Refine Detection).Heat mediated antigen retrieval with Citrate buffer (pH 6.0, epitope retrieval solution 1) for 20 mins

Immunohistochemistry (Formalin/PFA-fixed paraffin-embedded sections) - Anti-ZEB1 antibody [EPR26184-63] (AB303480)
  • IHC-P

Supplier Data

Immunohistochemistry (Formalin/PFA-fixed paraffin-embedded sections) - Anti-ZEB1 antibody [EPR26184-63] (AB303480)

Immunohistochemical analysis of paraffin-embedded Mouse colon tissue labeling ZEB1 with ab303480 at 1/8000 (0.065 ug/ml) followed by a ready to use LeicaDS9800 (Bond™ Polymer Refine Detection) was used. Nuclear staining on stromal cells of mouse colon (PMID : 31366457). The section was incubated with ab303480 for 30 mins at room temperature.The immunostaining was performed on a Leica Biosystems BOND® RX instrument Counterstained with Hematoxylin. Secondary antibody only control : Secondary antibody is a ready to use LeicaDS9800 (Bond™ Polymer Refine Detection).Heat mediated antigen retrieval with Citrate buffer (pH 6.0, epitope retrieval solution 1) for 20 mins

Dot Blot - Anti-ZEB1 antibody [EPR26184-63] (AB303480)
  • Dot

Supplier Data

Dot Blot - Anti-ZEB1 antibody [EPR26184-63] (AB303480)

Dot blot analysis of ZEB1 using ab303480 at 1 : 1000 (0.52 ug/ml) followed by a Goat Anti-Rabbit IgG, (H+L), Peroxidase conjugated (ab97051) at 1 : 100,000 dilution. Exposure time : 180 seconds Blocking and diluting buffer and concentration : 5% NFDM/TBST

  • Carrier free

    Anti-ZEB1 antibody [EPR26184-63] - BSA and Azide free

Key facts

Host species

Rabbit

Clonality

Monoclonal

Clone number

EPR26184-63

Isotype

IgG

Carrier free

No

Reacts with

Human, Mouse, Rat

Applications

IHC-P, Dot, WB

applications

Immunogen

The exact immunogen used to generate this antibody is proprietary information.

Reactivity data

{ "title": "Reactivity Data", "filters": { "stats": ["", "Species", "Dilution Info", "Notes"], "tabs": { "all-applications": {"fullname" : "All Applications", "shortname": "All Applications"}, "WB" : {"fullname" : "Western blot", "shortname":"WB"}, "Dot" : {"fullname" : "Dot Blot", "shortname":"Dot"}, "IHCP" : {"fullname" : "Immunohistochemistry (Formalin/PFA-fixed paraffin-embedded sections)", "shortname":"IHC-P"}, "ICCIF" : {"fullname" : "Immunocytochemistry/ Immunofluorescence", "shortname":"ICC/IF"}, "FlowCytIntra" : {"fullname" : "Flow Cytometry (Intracellular)", "shortname":"Flow Cyt (Intra)"}, "IP" : {"fullname" : "Immunoprecipitation", "shortname":"IP"} }, "product-promise": { "all": "all", "testedAndGuaranteed": "tested", "guaranteed": "expected", "predicted": "predicted", "notRecommended": "not-recommended" } }, "values": { "Human": { "WB-species-checked": "testedAndGuaranteed", "WB-species-dilution-info": "1/1000", "WB-species-notes": "<p></p>", "Dot-species-checked": "guaranteed", "Dot-species-dilution-info": "", "Dot-species-notes": "", "IHCP-species-checked": "testedAndGuaranteed", "IHCP-species-dilution-info": "1/4000", "IHCP-species-notes": "<p></p>", "ICCIF-species-checked": "notRecommended", "ICCIF-species-dilution-info": "", "ICCIF-species-notes": "<p></p>", "FlowCytIntra-species-checked": "notRecommended", "FlowCytIntra-species-dilution-info": "", "FlowCytIntra-species-notes": "<p></p>", "IP-species-checked": "notRecommended", "IP-species-dilution-info": "", "IP-species-notes": "<p></p>" }, "Mouse": { "WB-species-checked": "testedAndGuaranteed", "WB-species-dilution-info": "1/1000", "WB-species-notes": "<p></p>", "Dot-species-checked": "guaranteed", "Dot-species-dilution-info": "", "Dot-species-notes": "", "IHCP-species-checked": "testedAndGuaranteed", "IHCP-species-dilution-info": "1/4000", "IHCP-species-notes": "<p></p>", "ICCIF-species-checked": "notRecommended", "ICCIF-species-dilution-info": "", "ICCIF-species-notes": "<p></p>", "FlowCytIntra-species-checked": "notRecommended", "FlowCytIntra-species-dilution-info": "", "FlowCytIntra-species-notes": "", "IP-species-checked": "notRecommended", "IP-species-dilution-info": "", "IP-species-notes": "<p></p>" }, "Rat": { "WB-species-checked": "testedAndGuaranteed", "WB-species-dilution-info": "1/1000", "WB-species-notes": "<p></p>", "Dot-species-checked": "guaranteed", "Dot-species-dilution-info": "", "Dot-species-notes": "", "IHCP-species-checked": "testedAndGuaranteed", "IHCP-species-dilution-info": "1/4000", "IHCP-species-notes": "<p></p>", "ICCIF-species-checked": "notRecommended", "ICCIF-species-dilution-info": "", "ICCIF-species-notes": "", "FlowCytIntra-species-checked": "notRecommended", "FlowCytIntra-species-dilution-info": "", "FlowCytIntra-species-notes": "", "IP-species-checked": "notRecommended", "IP-species-dilution-info": "", "IP-species-notes": "" }, "Recombinant full length protein - Mouse": { "WB-species-checked": "testedAndGuaranteed", "WB-species-dilution-info": "1/1000", "WB-species-notes": "<p></p>", "Dot-species-checked": "testedAndGuaranteed", "Dot-species-dilution-info": "1/1000", "Dot-species-notes": "<p></p>", "IHCP-species-checked": "notRecommended", "IHCP-species-dilution-info": "", "IHCP-species-notes": "", "ICCIF-species-checked": "notRecommended", "ICCIF-species-dilution-info": "", "ICCIF-species-notes": "", "FlowCytIntra-species-checked": "notRecommended", "FlowCytIntra-species-dilution-info": "", "FlowCytIntra-species-notes": "", "IP-species-checked": "notRecommended", "IP-species-dilution-info": "", "IP-species-notes": "" } } }

Product details

Patented technology
Our RabMAb® technology is a patented hybridoma-based technology for making rabbit monoclonal antibodies. For details on our patents, please refer to RabMAb® patents.

What are the advantages of a recombinant monoclonal antibody?
This product is a recombinant monoclonal antibody, which offers several advantages including:

  • - High batch-to-batch consistency and reproducibility
  • - Improved sensitivity and specificity
  • - Long-term security of supply
  • - Animal-free batch production

For more information, read more on recombinant antibodies.

Properties and storage information

Form
Liquid
Purification technique
Affinity purification Protein A
Storage buffer
pH: 7.2 - 7.4 Preservative: 0.01% Sodium azide Constituents: PBS, 40% Glycerol (glycerin, glycerine), 0.05% BSA
Shipped at conditions
Blue Ice
Appropriate short-term storage duration
1-2 weeks
Appropriate short-term storage conditions
+4°C
Appropriate long-term storage conditions
-20°C
Aliquoting information
Upon delivery aliquot
Storage information
Avoid freeze / thaw cycle

Supplementary information

This supplementary information is collated from multiple sources and compiled automatically.

ZEB1 also known as δEF1 is a zinc finger E-box-binding homeobox protein with a molecular weight of approximately 124 kDa. It acts as a transcription factor and plays an important role in the regulation of gene expression by binding to specific DNA sequences. ZEB1 is mainly expressed in epithelial and mesenchymal cells and is involved in a variety of developmental processes during embryogenesis. Its broad expression pattern reflects its versatile function in different tissues and cell types.
Biological function summary

ZEB1 modulates cellular differentiation and identity by repressing and activating target genes. This protein is particularly notable for its involvement in the epithelial-to-mesenchymal transition (EMT) an important biological process for development and wound healing. ZEB1 doesn't act alone; it forms complexes with other transcription factors and co-repressors such as SMAD and CtBP enhancing its regulatory reach. Through these interactions ZEB1 influences cell adhesion molecules and cytoskeletal components facilitating cell motility and invasion.

Pathways

ZEB1 is integral to the TGF-β signaling pathway influencing cellular responses to growth factors. It also intersects with the Wnt signaling pathway linking it to cellular proliferation and differentiation. Through these pathways ZEB1 interacts with other significant proteins including β-catenin and SMAD proteins which collaboratively regulate gene expression that affects cell phenotype and behavior.

The dysregulation of ZEB1 is associated with a variety of pathological conditions including cancer and fibrotic diseases. In cancer ZEB1 contributes to tumor progression and metastasis by promoting EMT a process that enables epithelial cells to acquire mesenchymal traits enhancing their migratory capabilities. This mechanism links ZEB1 to the expression of vimentin and the suppression of E-cadherin important markers in cancer prognosis. Additionally in fibrotic disorders ZEB1's interaction with TGF-β signaling promotes pathological tissue remodeling impacting fibrosis development in organs like the liver and lungs.

Product protocols

For this product, it's our understanding that no specific protocols are required. You can visit:

Target data

Acts as a transcriptional repressor. Inhibits interleukin-2 (IL-2) gene expression. Enhances or represses the promoter activity of the ATP1A1 gene depending on the quantity of cDNA and on the cell type. Represses E-cadherin promoter and induces an epithelial-mesenchymal transition (EMT) by recruiting SMARCA4/BRG1. Represses BCL6 transcription in the presence of the corepressor CTBP1. Positively regulates neuronal differentiation. Represses RCOR1 transcription activation during neurogenesis. Represses transcription by binding to the E box (5'-CANNTG-3'). In the absence of TGFB1, acts as a repressor of COL1A2 transcription via binding to the E-box in the upstream enhancer region (By similarity).
See full target information ZEB1

Publications (4)

Recent publications for all applications. Explore the full list and refine your search

Cancer cell international 25:95 PubMed40089803

2025

ZEB1 promotes the immune escape of ovarian cancer through the MCSF-CCL18 axis.

Applications

Unspecified application

Species

Unspecified reactive species

Yan-Ping Jin,Guo-Wei Li,Qian-Qian Xu,Xiao-Lan Wang

Journal of biochemical and molecular toxicology 38:e23769 PubMed39152098

2024

Cancer-associated fibroblasts derived exosomal LINC01833 promotes the occurrence of non-small cell lung cancer through miR-335-5p -VAPA axis.

Applications

Unspecified application

Species

Unspecified reactive species

Jie Chen,Jian-Jun Sun,Ya-Wen Ma,Meng-Qin Zhu,Jing Hu,Qi-Jue Lu,Zhi-Gang Cai

International archives of allergy and immunology 185:827-835 PubMed38763133

2024

MiR-150-5p Alleviates Renal Tubule Epithelial Cell Fibrosis via the Inhibition of Epithelial-Mesenchymal Transition by Targeting ZEB1.

Applications

Unspecified application

Species

Unspecified reactive species

Zhizhong Zhang,Xinyu Zhang,Xiangming Gao,Bing Fang,Shuyu Tian,Ping Kang,Yi Zhao

Plastic and reconstructive surgery 154:991-1001 PubMed37983882

2023

Knockdown of ZEB1 Inhibits Hypertrophic Scarring through Suppressing the Wnt/β-Catenin Signaling Pathway in a Mouse Model.

Applications

Unspecified application

Species

Unspecified reactive species

Rui Jin,Zhizhong Deng,Fei Liu,Lin Lu,Feixue Ding,Yirui Shen,Hayson Chenyu Wang,Mengling Chang,Zhiyou Peng,Xiao Liang
View all publications

Product promise

We are committed to supporting your work with high-quality reagents, and we're here for you every step of the way. In the unlikely event that one of our products does not perform as expected, you're protected by our Product Promise.
For full details, please see our Terms & Conditions

Please note: All products are 'FOR RESEARCH USE ONLY. NOT FOR USE IN DIAGNOSTIC OR THERAPEUTIC PROCEDURES'.

For licensing inquiries, please contact partnerships@abcam.com