JavaScript is disabled in your browser. Please enable JavaScript to view this website.
AB325790

Anti-Zfp281/ZNF281 antibody [EPR30593-518]

  • RabMAb
  • Recombinant
  • 20ul selling size
  • Advanced Validation
  • What is this?

Be the first to review this product! Submit a review

|

(0 Publication)

Rabbit Recombinant Monoclonal Zfp281/ZNF281 antibody. Suitable for IP, ICC/IF, IHC-P, WB, ChIP-seq and reacts with Human, Mouse samples.

View Alternative Names

GZP1, ZBP99, ZNF281, Zinc finger protein 281, GC-box-binding zinc finger protein 1, Transcription factor ZBP-99, Zinc finger DNA-binding protein 99

16 Images
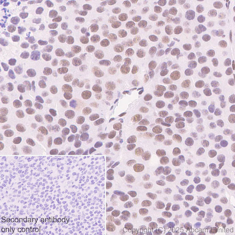
Immunohistochemistry (Formalin/PFA-fixed paraffin-embedded sections) - Anti-Zfp281/ZNF281 antibody [EPR30593-518] (AB325790)
  • IHC-P

Lab

Immunohistochemistry (Formalin/PFA-fixed paraffin-embedded sections) - Anti-Zfp281/ZNF281 antibody [EPR30593-518] (AB325790)

Immunohistochemical analysis of paraffin-embedded Human tonsil tissue labeling Zfp281/ZNF281 with ab325790 at 1/100 dilution, followed by a ready to use LeicaDS9800 (Bond™ Polymer Refine Detection).

Positive staining in human tonsil.

The primary antibody was incubated for 30 mins at room temperature.

The immunostaining was performed on a Leica Biosystems BOND® RX instrument

Counterstained with Hematoxylin.

Secondary antibody only control : Secondary antibody is a ready to use LeicaDS9800 (Bond™ Polymer Refine Detection).

Heat mediated antigen retrieval was performed with Tris-EDTA buffer (pH 9.0, Epitope Retrieval Solution2) for 20 mins

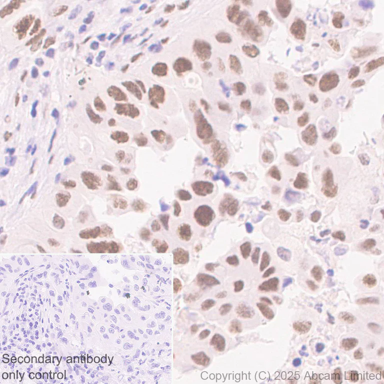
Immunohistochemistry (Formalin/PFA-fixed paraffin-embedded sections) - Anti-Zfp281/ZNF281 antibody [EPR30593-518] (AB325790)
  • IHC-P

Lab

Immunohistochemistry (Formalin/PFA-fixed paraffin-embedded sections) - Anti-Zfp281/ZNF281 antibody [EPR30593-518] (AB325790)

Immunohistochemical analysis of paraffin-embedded Human ovarian cancer tissue labeling Zfp281/ZNF281 with ab325790 at 1/100 dilution, followed by a ready to use LeicaDS9800 (Bond™ Polymer Refine Detection).

Positive staining in human ovarian cancer.

The primary antibody was incubated for 30 mins at room temperature.

The immunostaining was performed on a Leica Biosystems BOND® RX instrument

Counterstained with Hematoxylin.

Secondary antibody only control : Secondary antibody is a ready to use LeicaDS9800 (Bond™ Polymer Refine Detection).

Heat mediated antigen retrieval was performed with Tris-EDTA buffer (pH 9.0, Epitope Retrieval Solution2) for 20 mins

Immunocytochemistry/ Immunofluorescence - Anti-Zfp281/ZNF281 antibody [EPR30593-518] (AB325790)
  • ICC/IF

Lab

Immunocytochemistry/ Immunofluorescence - Anti-Zfp281/ZNF281 antibody [EPR30593-518] (AB325790)

Immunofluorescent analysis of 4% Paraformaldehyde-fixed, 0.1% TritonX-100 permeabilized 293T (human embryonic kidney epithelial cell) cells labelling Zfp281/ZNF281 with ab325790 at 1/50 (10.48 µg/ml) dilution , followed by ab150081 Goat Anti-Rabbit IgG H&L (Alexa Fluor® 488) preadsorbed antibody at 1/1000 dilution (Green).

Confocal image showing nuclear staining in 293T cell line(shown in green). The counterstain was observed in magenta. Nuclear DNA was labelled with DAPI (shown in blue). Image was taken with a confocal microscope (Leica-Microsystems, TCS SP8).

ab7291 Anti-alpha Tubulin mouse monoclonal antibody was used to counterstain tubulin at 1/1000 dilution (Magenta). The Nuclear counterstain was DAPI (Blue).

-ve control 1 : ab325790 at 1/50 dilution, followed by ab150120 at 1/1000 dilution.-ve control 2 : ab7291 at 1/1000 dilution, followed by ab150081 at 1/1000 dilution.

Immunoprecipitation - Anti-Zfp281/ZNF281 antibody [EPR30593-518] (AB325790)
  • IP

Lab

Immunoprecipitation - Anti-Zfp281/ZNF281 antibody [EPR30593-518] (AB325790)

Zfp281/ZNF281 was immunoprecipitated from 0.35 mg U-2 OS (human bone osteosarcoma epithelial cell) whole cell lysate with ab325790 at 1/30 dilution (2µg in 0.35mg lysates). Western blot was performed on the immunoprecipitate using ab325790 at 1/1000 dilution. VeriBlot for IP secondary antibody(HRP)(ab131366) was used at 1/5000 dilution.

Lane 1 : U-2 OS (human bone osteosarcoma epithelial cell) whole cell lysate
Lane 2 : ab325790 IP in U-2 OS (human bone osteosarcoma epithelial cell) whole cell lysate
Lane 3 : Rabbit monoclonal IgG (ab172730) instead of ab325790 in U-2 OS whole cell lysate

Blocking and dilution buffer and concentration : 5% NFDM/TBST.

Exposure time : 41 seconds.

To minimize protein degradation, lysates were made fresh.

All lanes:

Immunoprecipitation - Anti-Zfp281/ZNF281 antibody [EPR30593-518] (ab325790) at 1/1000 dilution

Lane 1:

U-2 OS (human bone osteosarcoma epithelial cell) whole cell lysate at 10 µg

Lane 2:

ab325790 at 1/30 IP in U-2 OS (human bone osteosarcoma epithelial cell) whole cell lysate

Lane 3:

Rabbit monoclonal IgG (<a href='/en-us/products/primary-antibodies/rabbit-igg-monoclonal-epr25a-isotype-control-ab172730'>ab172730</a>) instead of ab325790 in U-2 OS whole cell lysate

Secondary

All lanes:

Immunoprecipitation - VeriBlot for IP Detection Reagent (HRP) (<a href='/en-us/products/reagents/veriblot-for-ip-detection-reagent-hrp-ab131366'>ab131366</a>) at 1/5000 dilution

Observed band size: 100 kDa

false

Exposure time: 41s

ChIP-sequencing - Anti-Zfp281/ZNF281 antibody [EPR30593-518] (AB325790)
  • ChIP-seq

Lab

ChIP-sequencing - Anti-Zfp281/ZNF281 antibody [EPR30593-518] (AB325790)

Chromatin was prepared from U-2 OS cells. Cells were fixed with 1% formaldehyde for 10 minutes. ChIP was performed with 5 x 10^6 cells and 4 µg of ab325790 [EPR30593-518]. ChIP DNA was sequenced on the Illumina NovaSeq 6000 to a depth of 30 million reads. The Input control is also shown.

ChIP-sequencing - Anti-Zfp281/ZNF281 antibody [EPR30593-518] (AB325790)
  • ChIP-seq

Lab

ChIP-sequencing - Anti-Zfp281/ZNF281 antibody [EPR30593-518] (AB325790)

Chromatin was prepared from U-2 OS cells. Cells were fixed with 1% formaldehyde for 10 minutes. ChIP was performed with 5 x 10^6 cells and 4 µg of ab325790 [EPR30593-518]. ChIP DNA was sequenced on the Illumina NovaSeq 6000 to a depth of 30 million reads. The Input control is also shown.

ChIP-sequencing - Anti-Zfp281/ZNF281 antibody [EPR30593-518] (AB325790)
  • ChIP-seq

Lab

ChIP-sequencing - Anti-Zfp281/ZNF281 antibody [EPR30593-518] (AB325790)

Chromatin was prepared from U-2 OS cells. Cells were fixed with 1% formaldehyde for 10 minutes. ChIP was performed with 5 x 10^6 cells and 4 µg of ab325790 [EPR30593-518]. ChIP DNA was sequenced on the Illumina NovaSeq 6000 to a depth of 30 million reads. The Input control is also shown.

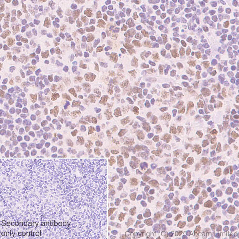
Immunohistochemistry (Formalin/PFA-fixed paraffin-embedded sections) - Anti-Zfp281/ZNF281 antibody [EPR30593-518] (AB325790)
  • IHC-P

Lab

Immunohistochemistry (Formalin/PFA-fixed paraffin-embedded sections) - Anti-Zfp281/ZNF281 antibody [EPR30593-518] (AB325790)

Immunohistochemical analysis of paraffin-embedded Mouse breast cancer tissue labeling Zfp281/ZNF281 with ab325790 at 1/100 dilution, followed by a ready to use LeicaDS9800 (Bond™ Polymer Refine Detection).

Positive staining in mouse breast cancer.

The primary antibody was incubated for 30 mins at room temperature.

The immunostaining was performed on a Leica Biosystems BOND® RX instrument

Counterstained with Hematoxylin.

Secondary antibody only control : Secondary antibody is a ready to use LeicaDS9800 (Bond™ Polymer Refine Detection).

Heat mediated antigen retrieval was performed with Citrate buffer (pH 6.0, Epitope Retrieval Solution 1) for 20 mins

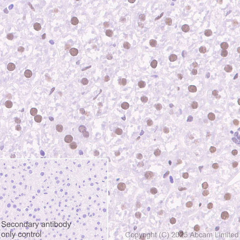
Immunohistochemistry (Formalin/PFA-fixed paraffin-embedded sections) - Anti-Zfp281/ZNF281 antibody [EPR30593-518] (AB325790)
  • IHC-P

Lab

Immunohistochemistry (Formalin/PFA-fixed paraffin-embedded sections) - Anti-Zfp281/ZNF281 antibody [EPR30593-518] (AB325790)

Immunohistochemical analysis of paraffin-embedded Mouse liver tissue labeling Zfp281/ZNF281 with ab325790 at 1/100 dilution, followed by a ready to use LeicaDS9800 (Bond™ Polymer Refine Detection).

Positive staining in mouse liver.

The primary antibody was incubated for 30 mins at room temperature.

The immunostaining was performed on a Leica Biosystems BOND® RX instrument

Counterstained with Hematoxylin.

Secondary antibody only control : Secondary antibody is a ready to use LeicaDS9800 (Bond™ Polymer Refine Detection).

Heat mediated antigen retrieval was performed with Citrate buffer (pH 6.0, Epitope Retrieval Solution 1) for 20 mins

Immunocytochemistry/ Immunofluorescence - Anti-Zfp281/ZNF281 antibody [EPR30593-518] (AB325790)
  • ICC/IF

Lab

Immunocytochemistry/ Immunofluorescence - Anti-Zfp281/ZNF281 antibody [EPR30593-518] (AB325790)

Immunofluorescent analysis of 4% Paraformaldehyde-fixed, 0.1% TritonX-100 permeabilized NIH/3T3 (mouse embryonic fibroblast) cells labelling Zfp281/ZNF281 with ab325790 at 1/50 (10.48 µg/ml) dilution , followed by ab150081 Goat Anti-Rabbit IgG H&L (Alexa Fluor® 488) preadsorbed antibody at 1/1000 dilution (Green).

Confocal image showing nuclear staining in NIH/3T3 cell line(shown in green). The counterstain was observed in magenta. Nuclear DNA was labelled with DAPI (shown in blue). Image was taken with a confocal microscope (Leica-Microsystems, TCS SP8).

ab7291 Anti-alpha Tubulin mouse monoclonal antibody was used to counterstain tubulin at 1/1000 dilution (Magenta). The Nuclear counterstain was DAPI (Blue).

-ve control 1 : ab325790 at 1/50 dilution, followed by ab150120 at 1/1000 dilution.-ve control 2 : ab7291 at 1/1000 dilution, followed by ab150081 at 1/1000 dilution.

ChIP-sequencing - Anti-Zfp281/ZNF281 antibody [EPR30593-518] (AB325790)
  • ChIP-seq

Lab

ChIP-sequencing - Anti-Zfp281/ZNF281 antibody [EPR30593-518] (AB325790)

Chromatin was prepared from NIH/3T3 cells. Cells were fixed with 1% formaldehyde for 10 minutes. ChIP was performed with 5 x 10^6 cells and 4 µg of ab325790 [EPR30593-518]. ChIP DNA was sequenced on the Illumina NovaSeq 6000 to a depth of 30 million reads. The Input control is also shown.

Immunoprecipitation - Anti-Zfp281/ZNF281 antibody [EPR30593-518] (AB325790)
  • IP

Lab

Immunoprecipitation - Anti-Zfp281/ZNF281 antibody [EPR30593-518] (AB325790)

Zfp281/ZNF281 was immunoprecipitated from 0.35 mg NIH/3T3 (mouse embryonic fibroblast) whole cell lysate with ab325790 at 1/30 dilution (2µg in 0.35mg lysates). Western blot was performed on the immunoprecipitate using ab325790 at 1/1000 dilution. VeriBlot for IP secondary antibody(HRP)(ab131366) was used at 1/5000 dilution.

Lane 1 : NIH/3T3 (mouse embryonic fibroblast) whole cell lysate
Lane 2 : ab325790 IP in NIH/3T3 (mouse embryonic fibroblast) whole cell lysate
Lane 3 : Rabbit monoclonal IgG (ab172730) instead of ab325790 in NIH/3T3 whole cell lysate

Blocking and dilution buffer and concentration : 5% NFDM/TBST.

Exposure time : 58 seconds.

To minimize protein degradation, lysates were made fresh.

All lanes:

Immunoprecipitation - Anti-Zfp281/ZNF281 antibody [EPR30593-518] (ab325790) at 1/1000 dilution

Lane 1:

NIH/3T3 (mouse embryonic fibroblast) whole cell lysate at 10 µg

Lane 2:

ab325790 at 1/30 IP in NIH/3T3 (mouse embryonic fibroblast) whole cell lysate

Lane 3:

Rabbit monoclonal IgG (<a href='/en-us/products/primary-antibodies/rabbit-igg-monoclonal-epr25a-isotype-control-ab172730'>ab172730</a>) instead of ab325790 in NIH/3T3 whole cell lysate

Secondary

All lanes:

Immunoprecipitation - VeriBlot for IP Detection Reagent (HRP) (<a href='/en-us/products/reagents/veriblot-for-ip-detection-reagent-hrp-ab131366'>ab131366</a>) at 1/5000 dilution

Observed band size: 100 kDa

false

Exposure time: 58s

ChIP-sequencing - Anti-Zfp281/ZNF281 antibody [EPR30593-518] (AB325790)
  • ChIP-seq

Lab

ChIP-sequencing - Anti-Zfp281/ZNF281 antibody [EPR30593-518] (AB325790)

Chromatin was prepared from NIH/3T3 cells. Cells were fixed with 1% formaldehyde for 10 minutes. ChIP was performed with 5 x 10^6 cells and 4 µg of ab325790 [EPR30593-518]. ChIP DNA was sequenced on the Illumina NovaSeq 6000 to a depth of 30 million reads. The Input control is also shown.

ChIP-sequencing - Anti-Zfp281/ZNF281 antibody [EPR30593-518] (AB325790)
  • ChIP-seq

Lab

ChIP-sequencing - Anti-Zfp281/ZNF281 antibody [EPR30593-518] (AB325790)

Chromatin was prepared from NIH/3T3 cells. Cells were fixed with 1% formaldehyde for 10 minutes. ChIP was performed with 5 x 10^6 cells and 4 µg of ab325790 [EPR30593-518]. ChIP DNA was sequenced on the Illumina NovaSeq 6000 to a depth of 30 million reads. The Input control is also shown.

Western blot - Anti-Zfp281/ZNF281 antibody [EPR30593-518] (AB325790)
  • WB

Lab

Western blot - Anti-Zfp281/ZNF281 antibody [EPR30593-518] (AB325790)

Blocking and diluting buffer and concentration : 5% NFDM/TBST.

To minimize protein degradation, lysates were made fresh.

In Western blot, Anti-GAPDH antibody [EPR16891] - Loading Control (ab181602) (1 : 200000) (36KDa).

Exposure time : Lanes 1-2 : 180 seconds, lanes 3-4 : 180 seconds

All lanes:

Western blot - Anti-Zfp281/ZNF281 antibody [EPR30593-518] (ab325790) at 1/1000 dilution

Lane 1:

U-2 OS (human bone osteosarcoma epithelial cell) transfected with scrambled siRNA control whole cell lysate at 20 µg

Lane 2:

U-2 OS transfected with siRNA specifically targeting ZNF281 whole cell lysate at 20 µg

Lane 3:

HeLa (human cervical adenocarcinoma epithelial cell) whole cell lysate at 20 µg

Lane 4:

293T (human embryonic kidney epithelial cell) whole cell lysate at 20 µg

Secondary

All lanes:

Western blot - Goat Anti-Rabbit IgG H&L (HRP) (<a href='/en-us/products/secondary-antibodies/goat-rabbit-igg-h-l-hrp-ab97051'>ab97051</a>) at 1/100000 dilution

Observed band size: 100 kDa,36 kDa

false

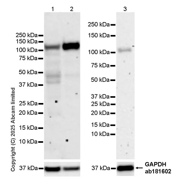
Western blot - Anti-Zfp281/ZNF281 antibody [EPR30593-518] (AB325790)
  • WB

Lab

Western blot - Anti-Zfp281/ZNF281 antibody [EPR30593-518] (AB325790)

Blocking and diluting buffer and concentration : 5% NFDM/TBST.

To minimize protein degradation, lysates were made fresh.

Lanes 1-2 are incubated with Goat Anti-Rabbit IgG, (H+L), Peroxidase conjugated (ab97051) at 1/20000 and Lane 3 is incubated with Goat Anti-Rabbit IgG, (H+L), Peroxidase conjugated (ab97051) at 1/100000.

In Western blot, Anti-GAPDH antibody [EPR16891] - Loading Control (ab181602) (1 : 200000) (36KDa).

All lanes:

Western blot - Anti-Zfp281/ZNF281 antibody [EPR30593-518] (ab325790) at 1/1000 dilution

Lane 1:

Mouse liver tissue lysate at 20 µg

Lane 2:

Mouse testis tissue lysate at 20 µg

Lane 3:

NIH/3T3 (mouse embryonic fibroblast) whole cell lysate at 20 µg

Secondary

Lanes 1 - 2:

Western blot - Goat Anti-Rabbit IgG H&L (HRP) (<a href='/en-us/products/secondary-antibodies/goat-rabbit-igg-h-l-hrp-ab97051'>ab97051</a>) at 1/20000 dilution

Lane 3:

Western blot - Goat Anti-Rabbit IgG H&L (HRP) (<a href='/en-us/products/secondary-antibodies/goat-rabbit-igg-h-l-hrp-ab97051'>ab97051</a>) at 1/100000 dilution

Observed band size: 100 kDa,36 kDa

false

Exposure time: 180s

Key facts

Host species

Rabbit

Clonality

Monoclonal

Clone number

EPR30593-518

Isotype

IgG

Carrier free

No

Reacts with

Human, Mouse

Applications

IHC-P, ICC/IF, ChIP-seq, IP, WB

applications

Immunogen

The exact immunogen used to generate this antibody is proprietary information.

Reactivity data

{ "title": "Reactivity Data", "filters": { "stats": ["", "Species", "Dilution Info", "Notes"], "tabs": { "all-applications": {"fullname" : "All Applications", "shortname": "All Applications"}, "IP" : {"fullname" : "Immunoprecipitation", "shortname":"IP"}, "ICCIF" : {"fullname" : "Immunocytochemistry/ Immunofluorescence", "shortname":"ICC/IF"}, "IHCP" : {"fullname" : "Immunohistochemistry (Formalin/PFA-fixed paraffin-embedded sections)", "shortname":"IHC-P"}, "WB" : {"fullname" : "Western blot", "shortname":"WB"}, "ChIPseq" : {"fullname" : "ChIP-sequencing", "shortname":"ChIP-seq"} }, "product-promise": { "all": "all", "testedAndGuaranteed": "tested", "guaranteed": "expected", "predicted": "predicted", "notRecommended": "not-recommended" } }, "values": { "Human": { "IP-species-checked": "testedAndGuaranteed", "IP-species-dilution-info": "1/30", "IP-species-notes": "<p></p>", "ICCIF-species-checked": "testedAndGuaranteed", "ICCIF-species-dilution-info": "1/50", "ICCIF-species-notes": "<p></p>", "IHCP-species-checked": "testedAndGuaranteed", "IHCP-species-dilution-info": "1/100", "IHCP-species-notes": "<p></p> Perform heat-mediated antigen retrieval with Tris/EDTA buffer pH 9.0 before commencing with IHC staining protocol.", "WB-species-checked": "testedAndGuaranteed", "WB-species-dilution-info": "1/1000", "WB-species-notes": "<p></p>", "ChIPseq-species-checked": "testedAndGuaranteed", "ChIPseq-species-dilution-info": "4 µg", "ChIPseq-species-notes": "<p></p>" }, "Mouse": { "IP-species-checked": "testedAndGuaranteed", "IP-species-dilution-info": "1/30", "IP-species-notes": "<p></p>", "ICCIF-species-checked": "testedAndGuaranteed", "ICCIF-species-dilution-info": "1/50", "ICCIF-species-notes": "<p></p>", "IHCP-species-checked": "testedAndGuaranteed", "IHCP-species-dilution-info": "1/100", "IHCP-species-notes": "<p></p> Perform heat-mediated antigen retrieval with Tris/EDTA buffer pH 9.0 before commencing with IHC staining protocol.", "WB-species-checked": "testedAndGuaranteed", "WB-species-dilution-info": "1/1000", "WB-species-notes": "<p></p>", "ChIPseq-species-checked": "testedAndGuaranteed", "ChIPseq-species-dilution-info": "4 µg", "ChIPseq-species-notes": "<p></p>" } } }

Product details

Patented technology
Our RabMAb® technology is a patented hybridoma-based technology for making rabbit monoclonal antibodies. For details on our patents, please refer to RabMAb® patents.

What are the advantages of a recombinant monoclonal antibody?
This product is a recombinant monoclonal antibody, which offers several advantages including:

  • - High batch-to-batch consistency and reproducibility
  • - Improved sensitivity and specificity
  • - Long-term security of supply
  • - Animal-free batch production

For more information, read more on recombinant antibodies.

Properties and storage information

Form
Liquid
Purification technique
Affinity purification Protein A
Storage buffer
pH: 7.2 - 7.4 Preservative: 0.01% Sodium azide Constituents: PBS, 40% Glycerol (glycerin, glycerine), 0.05% BSA
Shipped at conditions
Blue Ice
Appropriate short-term storage duration
1-2 weeks
Appropriate short-term storage conditions
+4°C
Appropriate long-term storage conditions
-20°C
Aliquoting information
Upon delivery aliquot
Storage information
Avoid freeze / thaw cycle

Product protocols

For this product, it's our understanding that no specific protocols are required. You can visit:

Target data

Transcription repressor that plays a role in regulation of embryonic stem cells (ESCs) differentiation. Required for ESCs differentiation and acts by mediating autorepression of NANOG in ESCs : binds to the NANOG promoter and promotes association of NANOG protein to its own promoter and recruits the NuRD complex, which deacetylates histones. Not required for establishement and maintenance of ESCs (By similarity). Represses the transcription of a number of genes including GAST, ODC1 and VIM. Binds to the G-rich box in the enhancer region of these genes.
See full target information ZNF281

Product promise

We are committed to supporting your work with high-quality reagents, and we're here for you every step of the way. In the unlikely event that one of our products does not perform as expected, you're protected by our Product Promise.
For full details, please see our Terms & Conditions

Please note: All products are 'FOR RESEARCH USE ONLY. NOT FOR USE IN DIAGNOSTIC OR THERAPEUTIC PROCEDURES'.

For licensing inquiries, please contact partnerships@abcam.com