JavaScript is disabled in your browser. Please enable JavaScript to view this website.
AB324145

Anti-Zfp57 antibody [EPR28485-527]

  • RabMAb
  • Recombinant
  • 20ul selling size
  • Advanced Validation
  • What is this?

Be the first to review this product! Submit a review

|

(0 Publication)

Rabbit Recombinant Monoclonal ZFP57 antibody. Suitable for Dot, ChIP-seq, IP, IHC-P, WB and reacts with Synthetic peptide - Mouse, Mouse samples.

View Alternative Names

Zinc finger protein 57, Zfp-57, Zfp57

9 Images
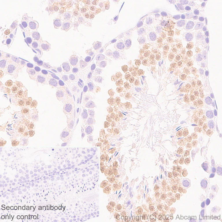
Immunohistochemistry (Formalin/PFA-fixed paraffin-embedded sections) - Anti-Zfp57 antibody [EPR28485-527] (AB324145)
  • IHC-P

Supplier Data

Immunohistochemistry (Formalin/PFA-fixed paraffin-embedded sections) - Anti-Zfp57 antibody [EPR28485-527] (AB324145)

Immunohistochemical analysis of paraffin-embedded Mouse testis tissue labeling Zfp57 with ab324145 at 1/50 (10.04 ug/ml) dilution, followed by a ready to use Rabbit specific IHC polymer detection kit HRP/DAB (ab209101).

Positive staining on mouse testis (PMID : 8120052). The section was incubated with ab324145 for 30 mins at room temperature.
The immunostaining was performed on a Leica Biosystems BOND® RX instrument

Counterstained with Hematoxylin.

Secondary antibody only control : Secondary antibody is a ready to use Rabbit specific IHC polymer detection kit HRP/DAB (ab209101).

Heat mediated antigen retrieval was performed with Tris-EDTA buffer (pH 9.0, Epitope Retrieval Solution2) for 20 mins

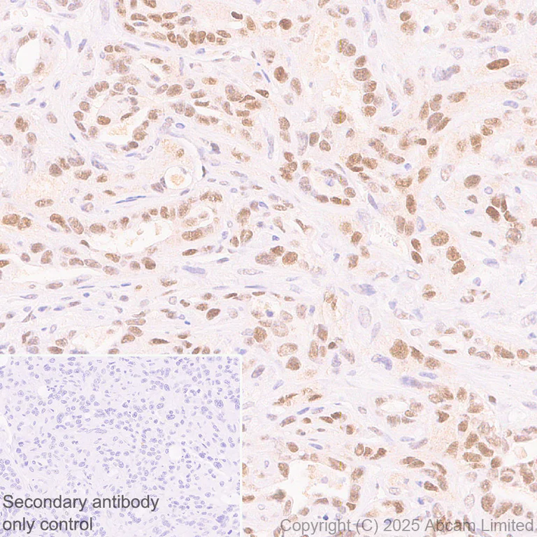
Immunohistochemistry (Formalin/PFA-fixed paraffin-embedded sections) - Anti-Zfp57 antibody [EPR28485-527] (AB324145)
  • IHC-P

Supplier Data

Immunohistochemistry (Formalin/PFA-fixed paraffin-embedded sections) - Anti-Zfp57 antibody [EPR28485-527] (AB324145)

Immunohistochemical analysis of paraffin-embedded Mouse pancreas carcinoma tissue labeling Zfp57 with ab324145 at 1/50 (10.04 ug/ml) dilution, followed by a ready to use Rabbit specific IHC polymer detection kit HRP/DAB (ab209101).

Positive staining on mouse pancreas carcinoma. The section was incubated with 324145 for 30 mins at room temperature.
The immunostaining was performed on a Leica Biosystems BOND® RX instrument

Counterstained with Hematoxylin.

Secondary antibody only control : Secondary antibody is a ready to use Rabbit specific IHC polymer detection kit HRP/DAB (ab209101).

Heat mediated antigen retrieval was performed with Tris-EDTA buffer (pH 9.0, Epitope Retrieval Solution2) for 20 mins

ChIP-sequencing - Anti-Zfp57 antibody [EPR28485-527] (AB324145)
  • ChIP-seq

Supplier Data

ChIP-sequencing - Anti-Zfp57 antibody [EPR28485-527] (AB324145)

Chromatin was prepared from ES-D3 [D3] cells. Cells were fixed with 1% formaldehyde for 10 minutes. ChIP was performed with 5x106 cells and 4 µg of ab324145 [EPR28485-527]. ChIP DNA was sequenced on the Illumina NovaSeq 6000 to a depth of 30 million reads. The Input control is also shown.

ChIP-sequencing - Anti-Zfp57 antibody [EPR28485-527] (AB324145)
  • ChIP-seq

Supplier Data

ChIP-sequencing - Anti-Zfp57 antibody [EPR28485-527] (AB324145)

Chromatin was prepared from ES-D3 [D3] cells. Cells were fixed with 1% formaldehyde for 10 minutes. ChIP was performed with 5x106 cells and 4 µg of ab324145 [EPR28485-527]. ChIP DNA was sequenced on the Illumina NovaSeq 6000 to a depth of 30 million reads. The Input control is also shown.

ChIP-sequencing - Anti-Zfp57 antibody [EPR28485-527] (AB324145)
  • ChIP-seq

Supplier Data

ChIP-sequencing - Anti-Zfp57 antibody [EPR28485-527] (AB324145)

Chromatin was prepared from ES-D3 [D3] cells. Cells were fixed with 1% formaldehyde for 10 minutes. ChIP was performed with 5x106 cells and 4 µg of ab324145 [EPR28485-527]. ChIP DNA was sequenced on the Illumina NovaSeq 6000 to a depth of 30 million reads. The Input control is also shown.

Western blot - Anti-Zfp57 antibody [EPR28485-527] (AB324145)
  • WB

Supplier Data

Western blot - Anti-Zfp57 antibody [EPR28485-527] (AB324145)

Blocking and diluting buffer and concentration : 5% NFDM/TBST.

Low expression : A20.

To minimize protein degradation, cells were lysed immediately after harvest and then applied to a gel and transfer membrane for Western blotting as soon as possible.

In Western blot, Anti-GAPDH antibody [EPR16891] - Loading Control (ab181602) staining at 1/200000 dilution.

All lanes:

Western blot - Anti-Zfp57 antibody [EPR28485-527] (ab324145) at 1/1000 dilution

Lanes 1 and 3:

ES-D3 [D3] (mouse blastocyst-derived embryonic stem cell) whole cell lysate at 20 µg

Lane 2:

A20 (mouse reticulum sarcoma b lymphocyte) whole cell lysate at 20 µg

Secondary

All lanes:

Western blot - Goat Anti-Rabbit IgG H&L (HRP) (<a href='/en-us/products/secondary-antibodies/goat-rabbit-igg-h-l-hrp-ab97051'>ab97051</a>) at 1/20000 dilution

Observed band size: 48 kDa,36 kDa

false

Exposure time: 180s

Western blot - Anti-Zfp57 antibody [EPR28485-527] (AB324145)
  • WB

Supplier Data

Western blot - Anti-Zfp57 antibody [EPR28485-527] (AB324145)

Blocking and diluting buffer and concentration : 5% NFDM/TBST.

Low expression : skeletal muscle(PMID : 15070898).

To minimize protein degradation, cells were lysed immediately after harvest and then applied to a gel and transfer membrane for Western blotting as soon as possible.

In Western blot, Anti-GAPDH antibody [EPR16891] - Loading Control (ab181602) staining at 1/200000 dilution.

All lanes:

Western blot - Anti-Zfp57 antibody [EPR28485-527] (ab324145) at 1/1000 dilution

Lane 1:

F9 (mouse embryonal carcinoma epithelial cell) whole cell lysate at 20 µg

Lane 2:

Mouse testis tissue lysate at 20 µg

Lane 3:

Mouse skeletal muscle tissue lysate at 20 µg

Secondary

All lanes:

Western blot - Goat Anti-Rabbit IgG H&L (HRP) (<a href='/en-us/products/secondary-antibodies/goat-rabbit-igg-h-l-hrp-ab97051'>ab97051</a>) at 1/20000 dilution

Observed band size: 48 kDa,36 kDa

false

Exposure time: 180s

Immunohistochemistry (Formalin/PFA-fixed paraffin-embedded sections) - Anti-Zfp57 antibody [EPR28485-527] (AB324145)
  • IHC-P

Supplier Data

Immunohistochemistry (Formalin/PFA-fixed paraffin-embedded sections) - Anti-Zfp57 antibody [EPR28485-527] (AB324145)

Immunohistochemical analysis of paraffin-embedded Mouse skeletal muscle tissue labeling Zfp57 with ab324145 at 1/50 (10.04 ug/ml) dilution, followed by a ready to use Rabbit specific IHC polymer detection kit HRP/DAB (ab209101).

Negative control : no staining on mouse skeletal muscle. The section was incubated with ab324145 for 30 mins at room temperature.
The immunostaining was performed on a Leica Biosystems BOND® RX instrument

Counterstained with Hematoxylin.

Secondary antibody only control : Secondary antibody is a ready to use Rabbit specific IHC polymer detection kit HRP/DAB (ab209101).

Heat mediated antigen retrieval was performed with Tris-EDTA buffer (pH 9.0, Epitope Retrieval Solution2) for 20 mins

Dot Blot - Anti-Zfp57 antibody [EPR28485-527] (AB324145)
  • Dot

Supplier Data

Dot Blot - Anti-Zfp57 antibody [EPR28485-527] (AB324145)

Dot blot analysis of Zfp57 using ab324145 at 1 : 1000 (0.502 ug/ml) followed by a Goat Anti-Rabbit IgG, (H+L), Peroxidase conjugated (ab97051) at 1 : 100,000 dilution.

Lane1 : Mouse Zfp57 peptide
Lane2 : Mouse Znf182 peptide

Exposure time : 180 seconds.

Blocking and diluting buffer and concentration : 5% NFDM/TBST.

This antibody does not cross-react with mouse Znf182 peptide by dot blot.

All lanes:

Dot Blot - Anti-Zfp57 antibody [EPR28485-527] (ab324145) at 1/1000 dilution

Lane 1:

Mouse Zfp57 peptide

Lane 2:

Mouse Znf182 peptide

Secondary

All lanes:

Dot Blot - Goat Anti-Rabbit IgG H&L (HRP) (<a href='/en-us/products/secondary-antibodies/goat-rabbit-igg-h-l-hrp-ab97051'>ab97051</a>) at 1/100000 dilution

false

Exposure time: 180s

Key facts

Host species

Rabbit

Clonality

Monoclonal

Clone number

EPR28485-527

Isotype

IgG

Carrier free

No

Reacts with

Mouse

Applications

IHC-P, Dot, IP, ChIP-seq, WB

applications

Immunogen

The exact immunogen used to generate this antibody is proprietary information.

Reactivity data

{ "title": "Reactivity Data", "filters": { "stats": ["", "Species", "Dilution Info", "Notes"], "tabs": { "all-applications": {"fullname" : "All Applications", "shortname": "All Applications"}, "Dot" : {"fullname" : "Dot Blot", "shortname":"Dot"}, "ChIPseq" : {"fullname" : "ChIP-sequencing", "shortname":"ChIP-seq"}, "IP" : {"fullname" : "Immunoprecipitation", "shortname":"IP"}, "IHCP" : {"fullname" : "Immunohistochemistry (Formalin/PFA-fixed paraffin-embedded sections)", "shortname":"IHC-P"}, "WB" : {"fullname" : "Western blot", "shortname":"WB"} }, "product-promise": { "all": "all", "testedAndGuaranteed": "tested", "guaranteed": "expected", "predicted": "predicted", "notRecommended": "not-recommended" } }, "values": { "Mouse": { "Dot-species-checked": "guaranteed", "Dot-species-dilution-info": "", "Dot-species-notes": "", "ChIPseq-species-checked": "testedAndGuaranteed", "ChIPseq-species-dilution-info": "4 µg", "ChIPseq-species-notes": "<p></p>", "IP-species-checked": "testedAndGuaranteed", "IP-species-dilution-info": "1/30", "IP-species-notes": "<p></p>", "IHCP-species-checked": "testedAndGuaranteed", "IHCP-species-dilution-info": "1/50", "IHCP-species-notes": "<p></p> Perform heat-mediated antigen retrieval with Tris/EDTA buffer pH 9.0 before commencing with IHC staining protocol.", "WB-species-checked": "testedAndGuaranteed", "WB-species-dilution-info": "1/1000", "WB-species-notes": "<p></p>" }, "Synthetic peptide - Mouse": { "Dot-species-checked": "testedAndGuaranteed", "Dot-species-dilution-info": "1/1000", "Dot-species-notes": "<p></p>", "ChIPseq-species-checked": "notRecommended", "ChIPseq-species-dilution-info": "", "ChIPseq-species-notes": "", "IP-species-checked": "notRecommended", "IP-species-dilution-info": "", "IP-species-notes": "", "IHCP-species-checked": "notRecommended", "IHCP-species-dilution-info": "", "IHCP-species-notes": "", "WB-species-checked": "notRecommended", "WB-species-dilution-info": "", "WB-species-notes": "" } } }

Product details

Patented technology
Our RabMAb® technology is a patented hybridoma-based technology for making rabbit monoclonal antibodies. For details on our patents, please refer to RabMAb® patents.

What are the advantages of a recombinant monoclonal antibody?
This product is a recombinant monoclonal antibody, which offers several advantages including:

  • - High batch-to-batch consistency and reproducibility
  • - Improved sensitivity and specificity
  • - Long-term security of supply
  • - Animal-free batch production

For more information, read more on recombinant antibodies.

Properties and storage information

Form
Liquid
Purification technique
Affinity purification Protein A
Storage buffer
pH: 7.2 - 7.4 Preservative: 0.01% Sodium azide Constituents: PBS, 40% Glycerol (glycerin, glycerine), 0.05% BSA
Shipped at conditions
Blue Ice
Appropriate short-term storage duration
1-2 weeks
Appropriate short-term storage conditions
+4°C
Appropriate long-term storage conditions
-20°C
Aliquoting information
Upon delivery aliquot
Storage information
Avoid freeze / thaw cycle

Product protocols

For this product, it's our understanding that no specific protocols are required. You can visit:

Target data

Transcription regulator required to maintain maternal and paternal gene imprinting, a process by which gene expression is restricted in a parent of origin-specific manner by epigenetic modification of genomic DNA and chromatin, including DNA methylation. Acts by controlling DNA methylation during the earliest multicellular stages of development at multiple imprinting control regions (ICRs) (PubMed : 15070898, PubMed : 18854139, PubMed : 23059534, PubMed : 30602440). Acts together with ZNF445, but ZFP57 plays the predominant role in imprinting maintenance. In contrast, in humans, ZNF445 seems to be the major factor early embryonic imprinting maintenance (PubMed : 30602440). Required for the establishment of maternal methylation imprints at SNRPN locus. Acts as a transcriptional repressor in Schwann cells. Binds to a 5'-TGCCGC-3' consensus sequence and recognizes the methylated CpG within this element (PubMed : 15070898, PubMed : 18854139, PubMed : 23059534).
See full target information Zinc finger protein 57

Product promise

We are committed to supporting your work with high-quality reagents, and we're here for you every step of the way. In the unlikely event that one of our products does not perform as expected, you're protected by our Product Promise.
For full details, please see our Terms & Conditions

Please note: All products are 'FOR RESEARCH USE ONLY. NOT FOR USE IN DIAGNOSTIC OR THERAPEUTIC PROCEDURES'.

For licensing inquiries, please contact partnerships@abcam.com