JavaScript is disabled in your browser. Please enable JavaScript to view this website.
AB204610

Anti-ZFP64 antibody

Be the first to review this product! Submit a review

|

(1 Publication)

Rabbit Polyclonal ZFP64 antibody. Suitable for IHC-P, ICC/IF and reacts with Human samples. Cited in 1 publication. Immunogen corresponding to Recombinant Fragment Protein within Human ZFP64 aa 450-600.

View Alternative Names

ZNF338, ZFP64, Zinc finger protein 64, Zfp-64, Zinc finger protein 338

2 Images
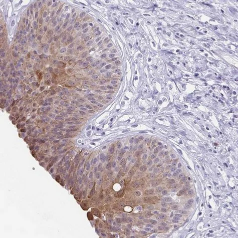
Immunohistochemistry (Formalin/PFA-fixed paraffin-embedded sections) - Anti-ZFP64 antibody (AB204610)
  • IHC-P

Supplier Data

Immunohistochemistry (Formalin/PFA-fixed paraffin-embedded sections) - Anti-ZFP64 antibody (AB204610)

Immunohistochemical analysis of paraffin-embedded Human urinary bladder tissue labeling ZFP64 with ab204610 at 1/20 dilution.

Immunocytochemistry/ Immunofluorescence - Anti-ZFP64 antibody (AB204610)
  • ICC/IF

Supplier Data

Immunocytochemistry/ Immunofluorescence - Anti-ZFP64 antibody (AB204610)

Immunofluorescent analysis of PFA-fixed, Triton X-100 permeabilized U-2 OS cells labeling ZFP64 with ab204610 at 4μg/ml (green).

Key facts

Host species

Rabbit

Clonality

Polyclonal

Isotype

IgG

Carrier free

No

Reacts with

Human

Applications

ICC/IF, IHC-P

applications

Immunogen

Recombinant Fragment Protein within Human ZFP64 aa 450-600. The exact immunogen used to generate this antibody is proprietary information.

Q9NTW7

Reactivity data

{ "title": "Reactivity Data", "filters": { "stats": ["", "Species", "Dilution Info", "Notes"], "tabs": { "all-applications": {"fullname" : "All Applications", "shortname": "All Applications"}, "IHCP" : {"fullname" : "Immunohistochemistry (Formalin/PFA-fixed paraffin-embedded sections)", "shortname":"IHC-P"}, "ICCIF" : {"fullname" : "Immunocytochemistry/ Immunofluorescence", "shortname":"ICC/IF"} }, "product-promise": { "all": "all", "testedAndGuaranteed": "tested", "guaranteed": "expected", "predicted": "predicted", "notRecommended": "not-recommended" } }, "values": { "Human": { "IHCP-species-checked": "testedAndGuaranteed", "IHCP-species-dilution-info": "1/20 - 1/50", "IHCP-species-notes": "<p></p> Perform heat-mediated antigen retrieval with citrate buffer pH 6 before commencing with IHC staining protocol.", "ICCIF-species-checked": "testedAndGuaranteed", "ICCIF-species-dilution-info": "0.25-2 µg/mL", "ICCIF-species-notes": "<p></p>" } } }

Properties and storage information

Form
Liquid
Purification technique
Affinity purification Immunogen
Storage buffer
pH: 7.2 Preservative: 0.02% Sodium azide Constituents: PBS, 40% Glycerol (glycerin, glycerine)
Shipped at conditions
Blue Ice
Appropriate short-term storage duration
1-2 weeks
Appropriate short-term storage conditions
+4°C
Appropriate long-term storage conditions
-20°C
Aliquoting information
Upon delivery aliquot
Storage information
Avoid freeze / thaw cycle

Supplementary information

This supplementary information is collated from multiple sources and compiled automatically.

ZFP64 also known as Zinc Finger Protein 64 acts as a transcription factor with a molecular mass of approximately 71 kDa. This protein contains multiple zinc finger domains and is highly expressed in various tissues including the brain liver and lymphoid tissues. ZFP64 regulates the transcription of target genes by binding to specific DNA sequences influencing gene expression patterns in cells.
Biological function summary

Zinc Finger Protein 64 is involved in critical cellular processes such as cell differentiation and proliferation. It contributes to gene regulation in the context of chromatin remodeling complexes but not as a direct component. ZFP64 plays significant roles in immune response modulation and neural development affecting both protein coding and non-coding regions of the genome. Research has shown its involvement in T-cell regulation and neuronal lineage determination.

Pathways

Zinc Finger Protein 64 plays an important role in the Wnt signaling pathway and the NF-kB signaling pathway. In the Wnt signaling pathway ZFP64 interacts with other proteins to control cellular processes such as growth and migration. In the NF-kB pathway ZFP64 cooperates with other transcription factors to regulate inflammatory responses and immune system activation interacting with proteins such as IKK and RelA in the process.

Research connects Zinc Finger Protein 64 to the development of autoimmune diseases and certain types of cancer such as leukemia. Alterations in ZFP64 expression or mutations may impact the regulation of immune genes leading to uncontrolled immune responses or tumor progression. The protein is also linked to aberrations in the activity of MYC in cancerous conditions influencing the cell cycle and apoptosis pathways.

Product protocols

For this product, it's our understanding that no specific protocols are required. You can visit:

Target data

May be involved in the regulation of mesenchymal cell differentiation through transactivation of NOTCH1 target genes.
See full target information ZFP64

Publications (1)

Recent publications for all applications. Explore the full list and refine your search

Neurotoxicity research 31:545-559 PubMed28155214

2017

RA Differentiation Enhances Dopaminergic Features, Changes Redox Parameters, and Increases Dopamine Transporter Dependency in 6-Hydroxydopamine-Induced Neurotoxicity in SH-SY5Y Cells.

Applications

Unspecified application

Species

Unspecified reactive species

Fernanda M Lopes,Leonardo Lisbôa da Motta,Marco A De Bastiani,Bianca Pfaffenseller,Bianca W Aguiar,Luiz F de Souza,Geancarlo Zanatta,Daiani M Vargas,Patrícia Schönhofen,Giovana F Londero,Liana M de Medeiros,Valder N Freire,Alcir L Dafre,Mauro A A Castro,Richard B Parsons,Fabio Klamt
View all publications

Product promise

We are committed to supporting your work with high-quality reagents, and we're here for you every step of the way. In the unlikely event that one of our products does not perform as expected, you're protected by our Product Promise.
For full details, please see our Terms & Conditions

Please note: All products are 'FOR RESEARCH USE ONLY. NOT FOR USE IN DIAGNOSTIC OR THERAPEUTIC PROCEDURES'.

For licensing inquiries, please contact partnerships@abcam.com