JavaScript is disabled in your browser. Please enable JavaScript to view this website.
AB254597

Anti-ZFPL1 antibody

5

(1 Review)

|

(1 Publication)

Rabbit Polyclonal ZFPL1 antibody. Suitable for IHC-P, WB, ICC/IF and reacts with Human samples. Cited in 1 publication. Immunogen corresponding to Recombinant Fragment Protein within Human ZFPL1 aa 100-300.

View Alternative Names

Zinc finger protein-like 1, Zinc finger protein MCG4, ZFPL1

8 Images
Immunohistochemistry (Formalin/PFA-fixed paraffin-embedded sections) - Anti-ZFPL1 antibody (AB254597)
  • IHC-P

Unknown

Immunohistochemistry (Formalin/PFA-fixed paraffin-embedded sections) - Anti-ZFPL1 antibody (AB254597)

Paraffin-embedded human colon tissue stained for ZFPL1 using ab254597 at 1/200 dilution in immunohistochemical analysis.

Immunohistochemistry (Formalin/PFA-fixed paraffin-embedded sections) - Anti-ZFPL1 antibody (AB254597)
  • IHC-P

Unknown

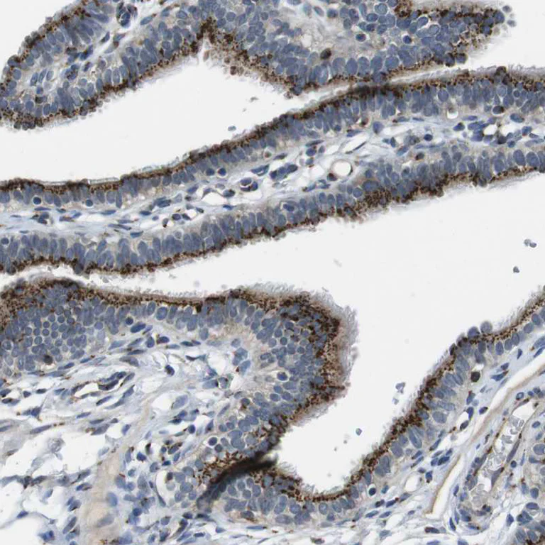
Immunohistochemistry (Formalin/PFA-fixed paraffin-embedded sections) - Anti-ZFPL1 antibody (AB254597)

Paraffin-embedded human fallopian tube tissue stained for ZFPL1 using ab254597 at 1/200 dilution in immunohistochemical analysis.

Immunohistochemistry (Formalin/PFA-fixed paraffin-embedded sections) - Anti-ZFPL1 antibody (AB254597)
  • IHC-P

Unknown

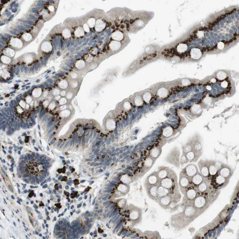
Immunohistochemistry (Formalin/PFA-fixed paraffin-embedded sections) - Anti-ZFPL1 antibody (AB254597)

Paraffin-embedded human small intestine tissue stained for ZFPL1 using ab254597 at 1/200 dilution in immunohistochemical analysis.

Immunohistochemistry (Formalin/PFA-fixed paraffin-embedded sections) - Anti-ZFPL1 antibody (AB254597)
  • IHC-P

Unknown

Immunohistochemistry (Formalin/PFA-fixed paraffin-embedded sections) - Anti-ZFPL1 antibody (AB254597)

Paraffin-embedded human testis tissue stained for ZFPL1 using ab254597 at 1/200 dilution in immunohistochemical analysis.

Immunohistochemistry (Formalin/PFA-fixed paraffin-embedded sections) - Anti-ZFPL1 antibody (AB254597)
  • IHC-P

Unknown

Immunohistochemistry (Formalin/PFA-fixed paraffin-embedded sections) - Anti-ZFPL1 antibody (AB254597)

Paraffin-embedded human pancreas tissue stained for ZFPL1 using ab254597 at 1/200 dilution in immunohistochemical analysis.

Immunocytochemistry/ Immunofluorescence - Anti-ZFPL1 antibody (AB254597)
  • ICC/IF

Unknown

Immunocytochemistry/ Immunofluorescence - Anti-ZFPL1 antibody (AB254597)

PFA fixed, Triton X-100 permeabilized A431 (Human epidermoid carcinoma cell line) cells labeling ZFPL1 using ab254597 at 4μg/ml (green) in ICC/IF.

Immunohistochemistry (Formalin/PFA-fixed paraffin-embedded sections) - Anti-ZFPL1 antibody (AB254597)
  • IHC-P

Unknown

Immunohistochemistry (Formalin/PFA-fixed paraffin-embedded sections) - Anti-ZFPL1 antibody (AB254597)

Paraffin-embedded human cerebral cortex tissue stained for ZFPL1 using ab254597 at 1/200 dilution in immunohistochemical analysis.

Western blot - Anti-ZFPL1 antibody (AB254597)
  • WB

Supplier Data

Western blot - Anti-ZFPL1 antibody (AB254597)

Lane 1:

Western blot - Anti-ZFPL1 antibody (ab254597)

Lanes 2 - 4:

Western blot - Anti-ZFPL1 antibody (ab254597) at 0.4 µg/mL

Lane 1:

MW marker

Lane 2:

MCF7 cells transfected with the control siRNA

Lane 3:

MCF7 cells transfected with the siRNA probe 1

Lane 4:

MCF7 cells transfected with the siRNA probe 2

Predicted band size: 34 kDa

false

Key facts

Host species

Rabbit

Clonality

Polyclonal

Isotype

IgG

Carrier free

No

Reacts with

Human

Applications

WB, ICC/IF, IHC-P

applications

Immunogen

Recombinant Fragment Protein within Human ZFPL1 aa 100-300. The exact immunogen used to generate this antibody is proprietary information.

O95159

Reactivity data

{ "title": "Reactivity Data", "filters": { "stats": ["", "Species", "Dilution Info", "Notes"], "tabs": { "all-applications": {"fullname" : "All Applications", "shortname": "All Applications"}, "IHCP" : {"fullname" : "Immunohistochemistry (Formalin/PFA-fixed paraffin-embedded sections)", "shortname":"IHC-P"}, "WB" : {"fullname" : "Western blot", "shortname":"WB"}, "ICCIF" : {"fullname" : "Immunocytochemistry/ Immunofluorescence", "shortname":"ICC/IF"} }, "product-promise": { "all": "all", "testedAndGuaranteed": "tested", "guaranteed": "expected", "predicted": "predicted", "notRecommended": "not-recommended" } }, "values": { "Human": { "IHCP-species-checked": "testedAndGuaranteed", "IHCP-species-dilution-info": "1/200 - 1/500", "IHCP-species-notes": "<p></p> Perform heat-mediated antigen retrieval with citrate buffer pH 6 before commencing with IHC staining protocol.", "WB-species-checked": "testedAndGuaranteed", "WB-species-dilution-info": "0.04-0.4 µg/mL", "WB-species-notes": "<p></p>", "ICCIF-species-checked": "testedAndGuaranteed", "ICCIF-species-dilution-info": "0.25-2 µg/mL", "ICCIF-species-notes": "<p>Fixation/Permeabilization: PFA/Triton X-100.</p>" } } }

Properties and storage information

Form
Liquid
Purification technique
Affinity purification Immunogen
Storage buffer
pH: 7.2 Preservative: 0.02% Sodium azide Constituents: PBS, 40% Glycerol (glycerin, glycerine)
Shipped at conditions
Blue Ice
Appropriate short-term storage duration
1-2 weeks
Appropriate short-term storage conditions
+4°C
Appropriate long-term storage conditions
-20°C
Aliquoting information
Upon delivery aliquot
Storage information
Avoid freeze / thaw cycle

Supplementary information

This supplementary information is collated from multiple sources and compiled automatically.

ZFPL1 also known as Zinc Finger Protein-Like 1 is a protein with a mass of approximately 50 kDa. It is expressed in various tissues with noticeable presence in the testis and lungs. Functionally ZFPL1 has a C2H2-type zinc finger domain which suggests its role in DNA binding and potentially in gene regulation processes. These characteristics of ZFPL1 indicate its involvement in cellular transcriptional activities.
Biological function summary

The ZFPL1 protein plays a role in regulating gene expression. It is part of a protein complex that interacts with nuclear transcription factors influencing the expression of genes involved in cell growth and differentiation. This function highlights its importance in maintaining cellular development and adaptation by ensuring that gene expression patterns meet the cell's physiological needs.

Pathways

ZFPL1 engages in biological processes related to transcriptional regulation and the Wnt signaling pathway. It interacts with transcriptional co-regulators to modulate gene expression. The protein's relationship with other components of the Wnt pathway such as beta-catenin indicates its importance in signaling events that control cell fate decisions and proliferation. This involvement emphasizes its role in the processes that require precise orchestration of gene expression.

ZFPL1's altered function associates with certain cancer types and developmental disorders. The protein's involvement in transcriptional regulation links it to cancer pathways where alterations can lead to unchecked cell growth. Mutations or dysregulation of ZFPL1 sometimes occur in connection with proteins such as APC known to play a role in colorectal cancer. Also its role in cell differentiation might contribute to its implication in developmental disorders where proper gene expression is essential for normal cellular development.

Product protocols

For this product, it's our understanding that no specific protocols are required. You can visit:

Target data

Required for cis-Golgi integrity and efficient ER to Golgi transport. Involved in the maintenance of the integrity of the cis-Golgi, possibly via its interaction with GOLGA2/GM130.
See full target information ZFPL1

Publications (1)

Recent publications for all applications. Explore the full list and refine your search

Life science alliance 6: PubMed37604583

2023

Tumor necrosis factor mediates USE1-independent FAT10ylation under inflammatory conditions.

Applications

Unspecified application

Species

Unspecified reactive species

Leonie Schnell,Alina Zubrod,Nicola Catone,Johanna Bialas,Annette Aichem
View all publications

Product promise

We are committed to supporting your work with high-quality reagents, and we're here for you every step of the way. In the unlikely event that one of our products does not perform as expected, you're protected by our Product Promise.
For full details, please see our Terms & Conditions

Please note: All products are 'FOR RESEARCH USE ONLY. NOT FOR USE IN DIAGNOSTIC OR THERAPEUTIC PROCEDURES'.

For licensing inquiries, please contact partnerships@abcam.com