JavaScript is disabled in your browser. Please enable JavaScript to view this website.
AB178512

Anti-ZIC4 antibody - C-terminal

Be the first to review this product! Submit a review

|

(1 Publication)

Rabbit Polyclonal ZIC4 antibody. C-terminal. Suitable for IHC-P and reacts with Human samples. Cited in 1 publication. Immunogen corresponding to Synthetic Peptide within Human Zinc finger protein ZIC 4 conjugated to Keyhole Limpet Haemocyanin.

View Alternative Names

Zinc finger protein ZIC 4, Zinc finger protein of the cerebellum 4, ZIC4

1 Images
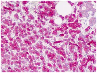
Immunohistochemistry (Formalin/PFA-fixed paraffin-embedded sections) - Anti-ZIC4 antibody - C-terminal (AB178512)
  • IHC-P

Supplier Data

Immunohistochemistry (Formalin/PFA-fixed paraffin-embedded sections) - Anti-ZIC4 antibody - C-terminal (AB178512)

Immunohistochemical analysis of ZIC4 expression in paraffin embedded, formalin fixed Human pancreas tissue using ab178512 at 10 μg/ml dilution.

Key facts

Host species

Rabbit

Clonality

Polyclonal

Isotype

IgG

Carrier free

No

Reacts with

Human

Applications

IHC-P

applications

Immunogen

Synthetic Peptide within Human Zinc finger protein ZIC 4 conjugated to Keyhole Limpet Haemocyanin. The exact immunogen used to generate this antibody is proprietary information.

Q8N9L1

Reactivity data

{ "title": "Reactivity Data", "filters": { "stats": ["", "Species", "Dilution Info", "Notes"], "tabs": { "all-applications": {"fullname" : "All Applications", "shortname": "All Applications"}, "IHCP" : {"fullname" : "Immunohistochemistry (Formalin/PFA-fixed paraffin-embedded sections)", "shortname":"IHC-P"} }, "product-promise": { "all": "all", "testedAndGuaranteed": "tested", "guaranteed": "expected", "predicted": "predicted", "notRecommended": "not-recommended" } }, "values": { "Human": { "IHCP-species-checked": "testedAndGuaranteed", "IHCP-species-dilution-info": "10 µg/mL", "IHCP-species-notes": "<p></p>" } } }

Properties and storage information

Form
Liquid
Purification technique
Affinity purification Immunogen
Storage buffer
pH: 7.4 Preservative: 0.09% Sodium azide Constituents: PBS
Shipped at conditions
Blue Ice
Appropriate short-term storage duration
1-2 weeks
Appropriate short-term storage conditions
+4°C
Appropriate long-term storage conditions
-20°C
Aliquoting information
Upon delivery aliquot
Storage information
Avoid freeze / thaw cycle

Supplementary information

This supplementary information is collated from multiple sources and compiled automatically.

ZIC4 also known as Zinc Finger Protein 4 functions as a transcription factor with a molecular weight of approximately 67 kDa. This protein contains zinc finger motifs which participate in DNA-binding. Researchers have observed ZIC4 expression in the central nervous system particularly during early vertebrate development. Its expression patterns are critical for proper central nervous system formation.
Biological function summary

ZIC4 has a significant role in the regulation of gene expression during embryonic development. It participates in controlling the transcription of genes essential for nervous system formation. ZIC4 interacts with other proteins often as part of multi-protein complexes which can impact its function. This protein’s regulation ensures the correct development of neural tissues affecting both the size and structure of the brain and spinal cord.

Pathways

Researchers position ZIC4 within critical developmental pathways such as the Hedgehog and Wnt signaling pathways. These pathways influence important processes like cell fate determination and patterning. In these pathways ZIC4 interacts with proteins like ZIC1 and ZIC3 which are also zinc finger proteins involved in similar signaling mechanisms. These interactions indicate a network of protein functions that influence early development stages.

Researchers associate ZIC4 with Dandy-Walker Malformation and Joubert Syndrome. These are developmental disorders affecting the cerebellum and other parts of the brain. In these conditions mutations or dysfunctions in ZIC4 can disrupt proper neural development leading to the symptoms seen in these syndromes. ZIC proteins like ZIC2 often show relationships in these disorders due to similar functions in neural development.

Product protocols

For this product, it's our understanding that no specific protocols are required. You can visit:

Publications (1)

Recent publications for all applications. Explore the full list and refine your search

Cancer cell international 19:44 PubMed30858761

2019

may be a new cellular target biomarker as a hypermethylation gene in human ovarian cancer.

Applications

Unspecified application

Species

Unspecified reactive species

Gui-Fang Luo,Chang-Ye Chen,Juan Wang,Hai-Yan Yue,Yong Tian,Ping Yang,Yu-Kun Li,Yan Li
View all publications

Product promise

We are committed to supporting your work with high-quality reagents, and we're here for you every step of the way. In the unlikely event that one of our products does not perform as expected, you're protected by our Product Promise.
For full details, please see our Terms & Conditions

Please note: All products are 'FOR RESEARCH USE ONLY. NOT FOR USE IN DIAGNOSTIC OR THERAPEUTIC PROCEDURES'.

For licensing inquiries, please contact partnerships@abcam.com