JavaScript is disabled in your browser. Please enable JavaScript to view this website.
AB325556

Anti-Zika virus envelope protein E antibody [EPR30864-521]

Be the first to review this product! Submit a review

|

(0 Publication)

Rabbit Recombinant Monoclonal POLG antibody. Suitable for WB, IHC-P, ICC/IF and reacts with Transfected cell lysate - Zika virus (isolate ZIKV/Human/French Polynesia/10087PF/2013), Transfected cell line - Zika virus (isolate ZIKV/Human/French Polynesia/10087PF/2013) samples.

View Alternative Names

Genome polyprotein

4 Images
Immunohistochemistry (Formalin/PFA-fixed paraffin-embedded sections) - Anti-Zika virus envelope protein E antibody [EPR30864-521] (AB325556)
  • IHC-P

Lab

Immunohistochemistry (Formalin/PFA-fixed paraffin-embedded sections) - Anti-Zika virus envelope protein E antibody [EPR30864-521] (AB325556)

Immunohistochemical analysis of paraffin-embedded (A) HEK-293T (human embryonic kidney epithelial cell) transfected with a Zika virus envelope protein E expression vector containing a His tag cell pellet (B) HEK-293T transfected with an empty expression vector containing a His tag cell pellet tissue labeling Zika virus envelope protein E with ab325556 at 1/5000 (0.107 µg/ml) dilution, followed by a ready to use LeicaDS9800 (Bond™ Polymer Refine Detection).

Positive staining on (A) HEK-293T (human embryonic kidney epithelial cell) transfected with a Zika virus envelope protein E expression vector containing a His tag cell pellet. No staining on (B) HEK-293T transfected with an empty expression vector containing a His tag cell pellet.

The primary antibody was incubated for 30 mins at room temperature.

The immunostaining was performed on a Leica Biosystems BOND® RX instrument

Counterstained with Hematoxylin.

Secondary antibody only control : Secondary antibody is a ready to use LeicaDS9800 (Bond™ Polymer Refine Detection).

Heat mediated antigen retrieval was performed with Tris-EDTA buffer (pH 9.0, Epitope Retrieval Solution2) for 20 mins

Immunocytochemistry/ Immunofluorescence - Anti-Zika virus envelope protein E antibody [EPR30864-521] (AB325556)
  • ICC/IF

Lab

Immunocytochemistry/ Immunofluorescence - Anti-Zika virus envelope protein E antibody [EPR30864-521] (AB325556)

Immunofluorescent analysis of 4% Paraformaldehyde-fixed, 0.1% TritonX-100 permeabilized 293T (human embryonic kidney epithelial cell) transfected with an empty vector containing a myc tag
293T transfected with a Virus Zika virus envelope protein E expression vector containing a myc tag

293T transfected with a Tick-borne encephalitis virus envelope protein E expression vector containing a myc tag

293T cells transfected with a Yellow fever virus envelope protein E expression vector containing a myc tag

293T transfected with a Dengue virus type 4 envelope protein E expression vector containing a myc tag

293T transfected with a Dengue virus type 3 envelope protein E expression vector containing a myc tag

293T transfected with a Virus Japanese encephalitis virus envelope protein E expression vector containing a myc tag

293T transfected with a West Nile virus envelope protein E expression vector containing a myc tag cells labelling Zika virus envelope protein E with ab325556 at 1/1000 (0.534 µg/ml) dilution , followed by ab150081 Goat Anti-Rabbit IgG H&L (Alexa Fluor® 488) preadsorbed antibody at 1/1000 dilution (Green).

Confocal image showing cytoplasmic staining in 293T cells transfected with a Virus Zika virus envelope protein E expression vector containing a myc tag (shown in green), and no staining in 293T cells tranfected with empty vector, Tick-borne encephalitis virus envelope protein E, Yellow fever virus envelope protein E, Dengue virus type 4 envelope protein E, Dengue virus type 3 envelope protein E, Virus Japanese encephalitis virus envelope protein E or West Nile virus envelope protein E expression vectors containing a myc tag. The counterstain was observed in magenta. Nuclear DNA was labelled with DAPI (shown in blue). Image was taken with a confocal microscope (Leica-Microsystems, TCS SP8).

A. 293T (human embryonic kidney epithelial cell) transfected with an empty vector containing a myc tag

B. 293T transfected with a Virus Zika virus envelope protein E expression vector containing a myc tag

C. 293T transfected with a Tick-borne encephalitis virus envelope protein E expression vector containing a myc tag

D. 293T cells transfected with a Yellow fever virus envelope protein E expression vector containing a myc tag

E. 293T transfected with a Dengue virus type 4 envelope protein E expression vector containing a myc tag

F. 293T transfected with a Dengue virus type 3 envelope protein E expression vector containing a myc tag

G. 293T transfected with a Virus Japanese encephalitis virus envelope protein E expression vector containing a myc tag

H. 293T transfected with a West Nile virus envelope protein E expression vector containing a myc tag

ab223894 Anti-Myc tag mouse monoclonal antibody (Alexa Fluor® 594) was used to counterstain tubulin at 1/100 dilution (Magenta). The Nuclear counterstain was DAPI (Blue).

Secondary antibody only control : Secondary antibody is ab150081 Goat Anti-Rabbit IgG H&L (Alexa Fluor® 488) preadsorbed at 1/1000 dilution.

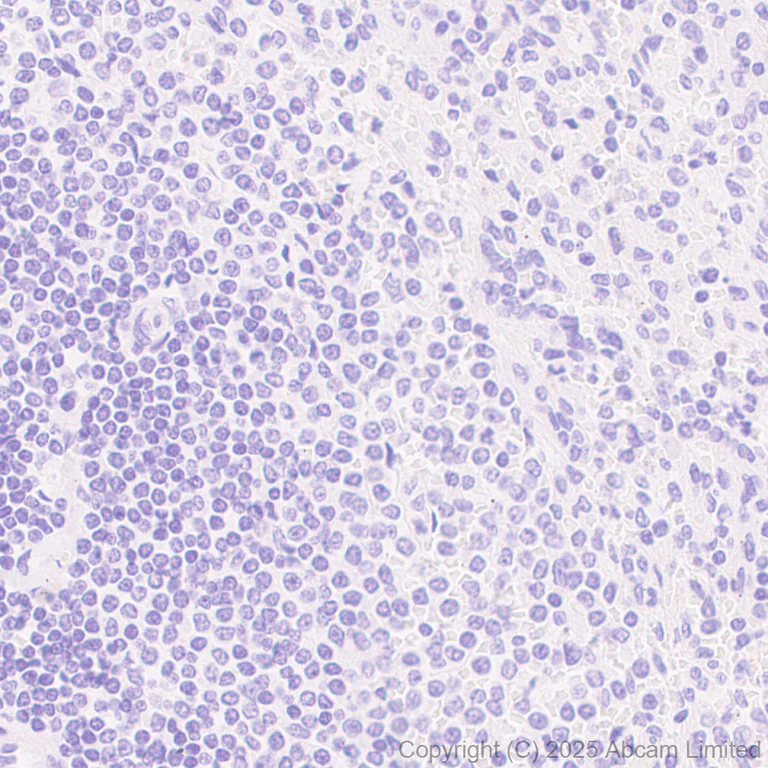
Immunohistochemistry (Formalin/PFA-fixed paraffin-embedded sections) - Anti-Zika virus envelope protein E antibody [EPR30864-521] (AB325556)
  • IHC-P

Lab

Immunohistochemistry (Formalin/PFA-fixed paraffin-embedded sections) - Anti-Zika virus envelope protein E antibody [EPR30864-521] (AB325556)

Immunohistochemical analysis of paraffin-embedded Human spleen tissue labeling Zika virus envelope protein E with ab325556 at 1/5000 (0.107 µg/ml) dilution, followed by a ready to use LeicaDS9800 (Bond™ Polymer Refine Detection).

Negative control : No staining on human spleen.

The primary antibody was incubated for 30 mins at room temperature.

The immunostaining was performed on a Leica Biosystems BOND® RX instrument

Counterstained with Hematoxylin.

Secondary antibody only control : Secondary antibody is a ready to use LeicaDS9800 (Bond™ Polymer Refine Detection).

Heat mediated antigen retrieval was performed with Tris-EDTA buffer (pH 9.0, Epitope Retrieval Solution2) for 20 mins

Western blot - Anti-Zika virus envelope protein E antibody [EPR30864-521] (AB325556)
  • WB

Lab

Western blot - Anti-Zika virus envelope protein E antibody [EPR30864-521] (AB325556)

Blocking and diluting buffer and concentration : 5% NFDM/TBST.

This antibody does not cross-react with overexpressed envelope protein E from Tick-borne encephalitis virus, Yellow fever virus, Dengue virus type 4, Dengue virus type 3, Japanese encephalitis virus, West Nile virus.

In Western blot, Anti-6X His tag® antibody [EPR20547] - ChIP Grade (ab213204) (1 : 5000)(15-300KDa);Anti-GAPDH antibody [EPR16891] - Loading Control (ab181602) (1 : 200000) (36KDa).

All lanes:

Western blot - Anti-Zika virus envelope protein E antibody [EPR30864-521] (ab325556) at 1/1000 dilution

Lane 1:

293T cells transfected with an empty vector containing a his-tag, whole cell lysate at 20 µg

Lane 2:

293T cells transfected with a Virus Zika virus envelope protein E expression vector containing a his-tag, whole cell lysate at 20 µg

Lane 3:

293T cells transfected with a Tick-borne encephalitis virus envelope protein E expression vector containing a his-tag, whole cell lysate at 20 µg

Lane 4:

293T cells transfected with a Yellow fever virus envelope protein E expression vector containing a his-tag, whole cell lysate at 20 µg

Lane 5:

293T cells transfected with a Dengue virus type 4 envelope protein E expression vector containing a his-tag, whole cell lysate at 20 µg

Lane 6:

293T cells transfected with a Dengue virus type 3 envelope protein E expression vector containing a his-tag, whole cell lysate at 20 µg

Lane 7:

293T cells transfected with a Japanese encephalitis virus envelope protein E expression vector containing a his-tag, whole cell lysate at 20 µg

Lane 8:

293T cells transfected with a West Nile virus envelope protein E expression vector containing a his-tag, whole cell lysate at 20 µg

Secondary

All lanes:

Western blot - Goat Anti-Rabbit IgG H&L (HRP) (<a href='/en-us/products/secondary-antibodies/goat-rabbit-igg-h-l-hrp-ab97051'>ab97051</a>) at 1/100000 dilution

Observed band size: 51 kDa,15-300 kDa,36 kDa

false

Exposure time: 15s

Key facts

Host species

Rabbit

Clonality

Monoclonal

Clone number

EPR30864-521

Isotype

IgG

Carrier free

No

Reacts with

Zika virus (isolate ZIKV/Human/French Polynesia/10087PF/2013)

Applications

IHC-P, WB, ICC/IF

applications

Immunogen

The exact immunogen used to generate this antibody is proprietary information.

Reactivity data

{ "title": "Reactivity Data", "filters": { "stats": ["", "Species", "Dilution Info", "Notes"], "tabs": { "all-applications": {"fullname" : "All Applications", "shortname": "All Applications"}, "WB" : {"fullname" : "Western blot", "shortname":"WB"}, "IHCP" : {"fullname" : "Immunohistochemistry (Formalin/PFA-fixed paraffin-embedded sections)", "shortname":"IHC-P"}, "ICCIF" : {"fullname" : "Immunocytochemistry/ Immunofluorescence", "shortname":"ICC/IF"} }, "product-promise": { "all": "all", "testedAndGuaranteed": "tested", "guaranteed": "expected", "predicted": "predicted", "notRecommended": "not-recommended" } }, "values": { "Transfected cell line - Zika virus (isolate ZIKV/Human/French Polynesia/10087PF/2013)": { "WB-species-checked": "notRecommended", "WB-species-dilution-info": "", "WB-species-notes": "", "IHCP-species-checked": "testedAndGuaranteed", "IHCP-species-dilution-info": "1/5000", "IHCP-species-notes": "<p></p> Perform heat-mediated antigen retrieval with Tris/EDTA buffer pH 9.0 before commencing with IHC staining protocol.", "ICCIF-species-checked": "testedAndGuaranteed", "ICCIF-species-dilution-info": "1/1000", "ICCIF-species-notes": "<p></p>" }, "Transfected cell lysate - Zika virus (isolate ZIKV/Human/French Polynesia/10087PF/2013)": { "WB-species-checked": "testedAndGuaranteed", "WB-species-dilution-info": "1/1000", "WB-species-notes": "<p></p>", "IHCP-species-checked": "notRecommended", "IHCP-species-dilution-info": "", "IHCP-species-notes": "", "ICCIF-species-checked": "notRecommended", "ICCIF-species-dilution-info": "", "ICCIF-species-notes": "" }, "Zika virus (isolate ZIKV/Human/French Polynesia/10087PF/2013)": { "WB-species-checked": "predicted", "WB-species-dilution-info": "", "WB-species-notes": "", "IHCP-species-checked": "predicted", "IHCP-species-dilution-info": "", "IHCP-species-notes": "", "ICCIF-species-checked": "predicted", "ICCIF-species-dilution-info": "", "ICCIF-species-notes": "" } } }

Product details

Patented technology
Our RabMAb® technology is a patented hybridoma-based technology for making rabbit monoclonal antibodies. For details on our patents, please refer to RabMAb® patents.

What are the advantages of a recombinant monoclonal antibody?
This product is a recombinant monoclonal antibody, which offers several advantages including:

  • - High batch-to-batch consistency and reproducibility
  • - Improved sensitivity and specificity
  • - Long-term security of supply
  • - Animal-free batch production

For more information, read more on recombinant antibodies.

Properties and storage information

Form
Liquid
Purification technique
Affinity purification Protein A
Storage buffer
pH: 7.2 - 7.4 Preservative: 0.01% Sodium azide Constituents: PBS, 40% Glycerol (glycerin, glycerine), 0.05% BSA
Shipped at conditions
Blue Ice
Appropriate short-term storage duration
1-2 weeks
Appropriate short-term storage conditions
+4°C
Appropriate long-term storage conditions
-20°C
Aliquoting information
Upon delivery aliquot
Storage information
Avoid freeze / thaw cycle

Product protocols

For this product, it's our understanding that no specific protocols are required. You can visit:

Target data

Capsid protein C. Plays a role in virus budding by binding to the cell membrane and gathering the viral RNA into a nucleocapsid that forms the core of the mature virus particle (By similarity). During virus entry, may induce genome penetration into the host cytoplasm after hemifusion induced by the surface proteins (By similarity). Can migrate to the cell nucleus where it modulates host functions (By similarity). Inhibits the integrated stress response (ISR) in the infected cell (PubMed : 28592527).. Capsid protein C. Inhibits RNA silencing by interfering with host Dicer.. Peptide pr. Prevents premature fusion activity of envelope proteins in trans-Golgi by binding to envelope protein E at pH 6.0. After virion release in extracellular space, gets dissociated from E dimers.. Protein prM. Plays a role in host immune defense modulation and protection of envelope protein E during virion synthesis. PrM-E cleavage is inefficient, many virions are only partially matured and immature prM-E proteins could play a role in immune evasion. Contributes to fetal microcephaly in humans. Acts as a chaperone for envelope protein E during intracellular virion assembly by masking and inactivating envelope protein E fusion peptide. prM is the only viral peptide matured by host furin in the trans-Golgi network probably to avoid catastrophic activation of the viral fusion activity in acidic Golgi compartment prior to virion release.. Small envelope protein M. May play a role in virus budding. Exerts cytotoxic effects by activating a mitochondrial apoptotic pathway through M ectodomain. May display a viroporin activity.. Envelope protein E. Binds to host cell surface receptors and mediates fusion between viral and cellular membranes. Efficient virus attachment to cell is, at least in part, mediated by host HAVCR1 in a cell-type specific manner (By similarity). In addition, host NCAM1 can also be used as entry receptor (By similarity). Interaction with host HSPA5 plays an important role in the early stages of infection as well (By similarity). Envelope protein is synthesized in the endoplasmic reticulum and forms a heterodimer with protein prM. The heterodimer plays a role in virion budding in the ER, and the newly formed immature particle is covered with 60 spikes composed of heterodimers between precursor prM and envelope protein E. The virion is transported to the Golgi apparatus where the low pH causes the dissociation of PrM-E heterodimers and formation of E homodimers. PrM-E cleavage is inefficient, many virions are only partially matured and immature prM-E proteins could play a role in immune evasion (By similarity).. Non-structural protein 1. Plays a role in the inhibition of host RLR-induced interferon-beta activation by targeting TANK-binding kinase 1/TBK1. In addition, recruits the host deubiquitinase USP8 to cleave 'Lys-11'-linked polyubiquitin chains from caspase-1/CASP1 thus inhibiting its proteasomal degradation. In turn, stabilized CASP1 promotes cleavage of cGAS, which inhibits its ability to recognize mitochondrial DNA release and initiate type I interferon signaling.. Non-structural protein 2A. Component of the viral RNA replication complex that recruits genomic RNA, the structural protein prM/E complex, and the NS2B/NS3 protease complex to the virion assembly site and orchestrates virus morphogenesis (By similarity). Antagonizes also the host MDA5-mediated induction of alpha/beta interferon antiviral response (By similarity). May disrupt adherens junction formation and thereby impair proliferation of radial cells in the host cortex (By similarity).. Serine protease subunit NS2B. Required cofactor for the serine protease function of NS3.. Serine protease NS3. Displays three enzymatic activities : serine protease, NTPase and RNA helicase. NS3 serine protease, in association with NS2B, performs its autocleavage and cleaves the polyprotein at dibasic sites in the cytoplasm : C-prM, NS2A-NS2B, NS2B-NS3, NS3-NS4A, NS4A-2K and NS4B-NS5. NS3 RNA helicase binds RNA and unwinds dsRNA in the 3' to 5' direction (By similarity). Inhibits the integrated stress response (ISR) in the infected cell by blocking stress granules assembly (PubMed : 28592527). Disrupts host centrosome organization in a CEP63-dependent manner to degrade host TBK1 and inhibits innate immune response (PubMed : 35793002).. Non-structural protein 4A. Regulates the ATPase activity of the NS3 helicase activity (By similarity). NS4A allows NS3 helicase to conserve energy during unwinding (By similarity). Cooperatively with NS4B suppresses the Akt-mTOR pathway and leads to cellular dysregulation (PubMed : 27524440). By inhibiting host ANKLE2 functions, may cause defects in brain development, such as microcephaly (PubMed : 30550790). Antagonizes also the host MDA5-mediated induction of alpha/beta interferon antiviral response (By similarity). Inhibits the integrated stress response (ISR) in the infected cell by blocking stress granules assembly (PubMed : 28592527).. Peptide 2k. Functions as a signal peptide for NS4B and is required for the interferon antagonism activity of the latter.. Non-structural protein 4B. Induces the formation of ER-derived membrane vesicles where the viral replication takes place (By similarity). Also plays a role in the inhibition of host RLR-induced interferon-beta production at TANK-binding kinase 1/TBK1 level (By similarity). Cooperatively with NS4A suppresses the Akt-mTOR pathway and leads to cellular dysregulation (PubMed : 27524440).. RNA-directed RNA polymerase NS5. Replicates the viral (+) and (-) RNA genome, and performs the capping of genomes in the cytoplasm (PubMed : 30951555). Methylates viral RNA cap at guanine N-7 and ribose 2'-O positions. Once sufficient NS5 is expressed, binds to the cap-proximal structure and inhibits further translation of the viral genome (By similarity). Besides its role in RNA genome replication, also prevents the establishment of a cellular antiviral state by blocking the interferon-alpha/beta (IFN-alpha/beta) signaling pathway. Mechanistically, interferes with host kinases TBK1 and IKKE upstream of interferon regulatory factor 3/IRF3 to inhibit the RIG-I pathway (By similarity). Antagonizes also type I interferon signaling by targeting STAT2 for degradation by the proteasome thereby preventing activation of JAK-STAT signaling pathway (By similarity). Mechanistically, acts as a scaffold protein to connect host ZSWIM8/CUL3 ligase complex and STAT2, leading to STAT2 degradation. Within the host nucleus, disrupts host SUMO1 and STAT2 co-localization with PML, resulting in PML degradation (PubMed : 32699085). May also reduce immune responses by preventing the recruitment of the host PAF1 complex to interferon-responsive genes (PubMed : 30550790).
See full target information Zika virus NS2B protein

Product promise

We are committed to supporting your work with high-quality reagents, and we're here for you every step of the way. In the unlikely event that one of our products does not perform as expected, you're protected by our Product Promise.
For full details, please see our Terms & Conditions

Please note: All products are 'FOR RESEARCH USE ONLY. NOT FOR USE IN DIAGNOSTIC OR THERAPEUTIC PROCEDURES'.

For licensing inquiries, please contact partnerships@abcam.com