JavaScript is disabled in your browser. Please enable JavaScript to view this website.
AB314900

Anti-Zinc finger antiviral protein antibody [EPR28538-63] - BSA and Azide free

Be the first to review this product! Submit a review

|

(0 Publication)

Rabbit Recombinant Monoclonal Zinc finger antiviral protein antibody. Carrier free. Suitable for IHC-P, Flow Cyt (Intra), WB, ICC/IF and reacts with Human, Rat samples.

View Alternative Names

ZC3HDC2, PRO1677, ZC3HAV1, Zinc finger CCCH-type antiviral protein 1, ADP-ribosyltransferase diphtheria toxin-like 13, Inactive Poly [ADP-ribose] polymerase 13, Zinc finger CCCH domain-containing protein 2, Zinc finger antiviral protein, ARTD13, PARP13, ZAP

9 Images
Flow Cytometry (Intracellular) - Anti-Zinc finger antiviral protein antibody [EPR28538-63] - BSA and Azide free (AB314900)
  • Flow Cyt (Intra)

Supplier Data

Flow Cytometry (Intracellular) - Anti-Zinc finger antiviral protein antibody [EPR28538-63] - BSA and Azide free (AB314900)

This data was developed using ab314899, the same antibody clone in a different buffer formulation.

Flow cytometric analysis of 4% paraformaldehyde fixed 90% methanol permeabilized HeLa (human cervical adenocarcinoma epithelial cell) cells labelling Zinc finger antiviral protein with ab314899 at 1/500 dilution (0.1 ug)/Red compared with a Rabbit monoclonal IgG (ab172730) (Black) isotype control and an unlabelled control (cells without incubation with primary antibody and secondary antibody) (Blue). A Goat Anti-Rabbit IgG (Alexa Fluor® 488, ab150081) at 1/5000 dilution was used as the secondary antibody.

Immunohistochemistry (Formalin/PFA-fixed paraffin-embedded sections) - Anti-Zinc finger antiviral protein antibody [EPR28538-63] - BSA and Azide free (AB314900)
  • IHC-P

Supplier Data

Immunohistochemistry (Formalin/PFA-fixed paraffin-embedded sections) - Anti-Zinc finger antiviral protein antibody [EPR28538-63] - BSA and Azide free (AB314900)

This data was developed using ab314899, the same antibody clone in a different buffer formulation.

Immunohistochemical analysis of paraffin-embedded human cerebrum tissue labeling Zinc finger antiviral protein with ab314899 at 1/100 (5.06 ug/ml) followed by a ready to use LeicaDS9800 (Bond™ Polymer Refine Detection). Low expression : weak staining on human cerebrum (PMID : 12215647). The section was incubated with ab314899 for 30 mins at room temperature. The immunostaining was performed on a Leica Biosystems BOND® RX instrument. Counterstained with Hematoxylin.

Secondary antibody only control : Secondary antibody is a ready to use LeicaDS9800 (Bond™ Polymer Refine Detection).

Heat mediated antigen retrieval was performed with Tris-EDTA buffer (pH 9.0, Epitope Retrieval Solution2) for 20 mins.

Immunohistochemistry (Formalin/PFA-fixed paraffin-embedded sections) - Anti-Zinc finger antiviral protein antibody [EPR28538-63] - BSA and Azide free (AB314900)
  • IHC-P

Supplier Data

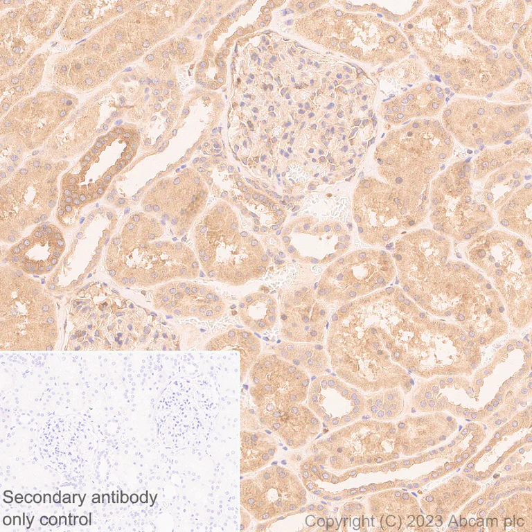
Immunohistochemistry (Formalin/PFA-fixed paraffin-embedded sections) - Anti-Zinc finger antiviral protein antibody [EPR28538-63] - BSA and Azide free (AB314900)

This data was developed using ab314899, the same antibody clone in a different buffer formulation.

Immunohistochemical analysis of paraffin-embedded human kidney tissue labeling Zinc finger antiviral protein with ab314899 at 1/100 (5.06 ug/ml) followed by a ready to use LeicaDS9800 (Bond™ Polymer Refine Detection). Positive staining on human kidney. The section was incubated with ab314899 for 30 mins at room temperature. The immunostaining was performed on a Leica Biosystems BOND® RX instrument. Counterstained with Hematoxylin.

Secondary antibody only control : Secondary antibody is a ready to use LeicaDS9800 (Bond™ Polymer Refine Detection).

Heat mediated antigen retrieval was performed with Tris-EDTA buffer (pH 9.0, Epitope Retrieval Solution2) for 20 mins.

Immunocytochemistry/ Immunofluorescence - Anti-Zinc finger antiviral protein antibody [EPR28538-63] - BSA and Azide free (AB314900)
  • ICC/IF

Supplier Data

Immunocytochemistry/ Immunofluorescence - Anti-Zinc finger antiviral protein antibody [EPR28538-63] - BSA and Azide free (AB314900)

This data was developed using ab314899, the same antibody clone in a different buffer formulation.

Immunofluorescent analysis of 4% Paraformaldehyde-fixed, 0.1% TritonX-100 permeabilized HeLa (human cervical adenocarcinoma epithelial cell) cells labelling Zinc finger antiviral protein with ab314899 at 1/50 (10.12 ug/ml) dilution, followed by ab150081 Goat Anti-Rabbit IgG H&L (Alexa Fluor® 488) preadsorbed antibody at 1/1000 (2 ug/mL) dilution (Green). Confocal image showing cytoplasmic staining in HeLa cell line. Image was taken with a confocal microscope(Leica-Microsystems, TCS SP8). ab195889 Anti-alpha Tubulin mouse monoclonal antibody - Microtubule Marker (Alexa Fluor® 594) was used to counterstain tubulin at 1/200 (2.5ug/ ml) dilution (Red). The Nuclear counterstain was DAPI (Blue).

Secondary antibody only control : Secondary antibody is ab150081 Goat Anti-Rabbit IgG H&L (Alexa Fluor® 488) preadsorbed at 1/1000 (2 ug/mL) dilution.

Immunohistochemistry (Formalin/PFA-fixed paraffin-embedded sections) - Anti-Zinc finger antiviral protein antibody [EPR28538-63] - BSA and Azide free (AB314900)
  • IHC-P

Supplier Data

Immunohistochemistry (Formalin/PFA-fixed paraffin-embedded sections) - Anti-Zinc finger antiviral protein antibody [EPR28538-63] - BSA and Azide free (AB314900)

This data was developed using ab314899, the same antibody clone in a different buffer formulation.

Immunohistochemical analysis of paraffin-embedded rat cerebrum tissue labeling Zinc finger antiviral protein with ab314899 at 1/100 (5.06 ug/ml) followed by a ready to use LeicaDS9800 (Bond™ Polymer Refine Detection). Low expression : weak staining on rat cerebrum. The section was incubated with ab314899 for 30 mins at room temperature. The immunostaining was performed on a Leica Biosystems BOND® RX instrument. Counterstained with Hematoxylin.

Secondary antibody only control : Secondary antibody is a ready to use LeicaDS9800 (Bond™ Polymer Refine Detection).

Heat mediated antigen retrieval was performed with Tris-EDTA buffer (pH 9.0, Epitope Retrieval Solution2) for 20 mins.

Immunohistochemistry (Formalin/PFA-fixed paraffin-embedded sections) - Anti-Zinc finger antiviral protein antibody [EPR28538-63] - BSA and Azide free (AB314900)
  • IHC-P

Supplier Data

Immunohistochemistry (Formalin/PFA-fixed paraffin-embedded sections) - Anti-Zinc finger antiviral protein antibody [EPR28538-63] - BSA and Azide free (AB314900)

This data was developed using ab314899, the same antibody clone in a different buffer formulation.

Immunohistochemical analysis of paraffin-embedded rat liver tissue labeling Zinc finger antiviral protein with ab314899 at 1/100 (5.06 ug/ml) followed by a ready to use LeicaDS9800 (Bond™ Polymer Refine Detection). Positive staining on rat liver. The section was incubated with ab314899 for 30 mins at room temperature. The immunostaining was performed on a Leica Biosystems BOND® RX instrument. Counterstained with Hematoxylin.

Secondary antibody only control : Secondary antibody is a ready to use LeicaDS9800 (Bond™ Polymer Refine Detection).

Heat mediated antigen retrieval was performed with Tris-EDTA buffer (pH 9.0, Epitope Retrieval Solution2) for 20 mins.

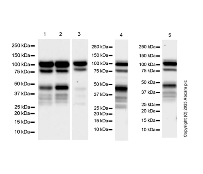
Western blot - Anti-Zinc finger antiviral protein antibody [EPR28538-63] - BSA and Azide free (AB314900)
  • WB

Supplier Data

Western blot - Anti-Zinc finger antiviral protein antibody [EPR28538-63] - BSA and Azide free (AB314900)

This data was developed using ab314899, the same antibody clone in a different buffer formulation.

Blocking and diluting buffer and concentration : 5% NFDM/TBST

Blocking and diluting buffer and concentration : 5% NFDM/TBST

The molecular weight observed is consistent with what has been described in the literature (PMID : 29182509).

Lysates were freshly made and used for Western blotting immediately to minimize protein degradation.

Exposure time : Lanes 1-3 : 81 seconds; Lanes 4-5 : 59 seconds.

All lanes:

Western blot - Anti-Zinc finger antiviral protein antibody [EPR28538-63] (<a href='/en-us/products/primary-antibodies/zinc-finger-antiviral-protein-antibody-epr28538-63-ab314899'>ab314899</a>) at 1/1000 dilution

Lane 1:

HeLa (human cervical adenocarcinoma epithelial cell) whole cell lysate at 20 µg

Lane 2:

293T (human embryonic kidney epithelial cell) whole cell lysate at 20 µg

Lane 3:

PC-12 (rat adrenal gland pheochromocytoma cell) whole cell lysate at 20 µg

Lane 4:

A431 (human epidermoid carcinoma epithelial cell) whole cell lysate at 20 µg

Lane 5:

HCT 116 (human colorectal carcinoma epithelial cell) whole cell lysate at 20 µg

Secondary

All lanes:

Western blot - Goat Anti-Rabbit IgG H&L (HRP) (<a href='/en-us/products/secondary-antibodies/goat-rabbit-igg-h-l-hrp-ab97051'>ab97051</a>) at 1/100000 dilution

Observed band size: 101 kDa,78 kDa,40 kDa

false

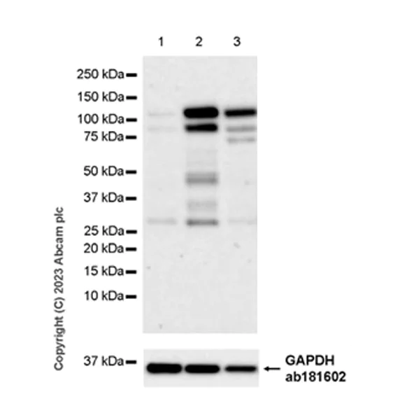
Western blot - Anti-Zinc finger antiviral protein antibody [EPR28538-63] - BSA and Azide free (AB314900)
  • WB

Supplier Data

Western blot - Anti-Zinc finger antiviral protein antibody [EPR28538-63] - BSA and Azide free (AB314900)

This data was developed using ab314899, the same antibody clone in a different buffer formulation.

Blocking and diluting buffer and concentration : 5% NFDM/TBST

The molecular weight observed is consistent with what has been described in the literature (PMID : 29182509).

In Western blot, Anti-GAPDH antibody [EPR16891] - Loading Control (ab181602) staining at 1/200000 dilution.

All lanes:

Western blot - Anti-Zinc finger antiviral protein antibody [EPR28538-63] (<a href='/en-us/products/primary-antibodies/zinc-finger-antiviral-protein-antibody-epr28538-63-ab314899'>ab314899</a>) at 1/1000 dilution

Lane 1:

HeLa (human cervical adenocarcinoma epithelial cell) transfected with scrambled siRNA control whole cell lysate at 20 µg

Lane 2:

HeLa transfected with siRNA specifically targeting ZC3HAV1 whole cell lysate at 20 µg

Secondary

All lanes:

Western blot - Goat Anti-Rabbit IgG H&L (HRP) (<a href='/en-us/products/secondary-antibodies/goat-rabbit-igg-h-l-hrp-ab97051'>ab97051</a>) at 1/100000 dilution

Observed band size: 101 kDa,78 kDa,40 kDa,36 kDa

false

Exposure time: 81s

Western blot - Anti-Zinc finger antiviral protein antibody [EPR28538-63] - BSA and Azide free (AB314900)
  • WB

Supplier Data

Western blot - Anti-Zinc finger antiviral protein antibody [EPR28538-63] - BSA and Azide free (AB314900)

This data was developed using ab314899, the same antibody clone in a different buffer formulation.

Blocking and diluting buffer and concentration : 5% NFDM/TBST

Low expression : brain (PMID : 12215647).

The molecular weight observed is consistent with what has been described in the literature (PMID : 29182509).

Lysates were freshly made and used for Western blotting immediately to minimize protein degradation.

In Western blot, Anti-GAPDH antibody [EPR16891] - Loading Control (ab181602) staining at 1/200000 dilution.

All lanes:

Western blot - Anti-Zinc finger antiviral protein antibody [EPR28538-63] (<a href='/en-us/products/primary-antibodies/zinc-finger-antiviral-protein-antibody-epr28538-63-ab314899'>ab314899</a>) at 1/1000 dilution

Lane 1:

Rat brain tissue lysate at 20 µg

Lane 2:

Rat liver tissue lysate at 20 µg

Lane 3:

Rat testis tissue lysate at 20 µg

Secondary

All lanes:

Western blot - Goat Anti-Rabbit IgG H&L (HRP) (<a href='/en-us/products/secondary-antibodies/goat-rabbit-igg-h-l-hrp-ab97051'>ab97051</a>) at 1/100000 dilution

Observed band size: 101 kDa,78 kDa,40 kDa,36 kDa

false

Exposure time: 180s

Key facts

Host species

Rabbit

Clonality

Monoclonal

Clone number

EPR28538-63

Isotype

IgG

Carrier free

Yes

Reacts with

Human, Rat

Applications

IHC-P, ICC/IF, Flow Cyt (Intra), WB

applications

Immunogen

The exact immunogen used to generate this antibody is proprietary information.

Reactivity data

{ "title": "Reactivity Data", "filters": { "stats": ["", "Species", "Dilution Info", "Notes"], "tabs": { "all-applications": {"fullname" : "All Applications", "shortname": "All Applications"}, "IHCP" : {"fullname" : "Immunohistochemistry (Formalin/PFA-fixed paraffin-embedded sections)", "shortname":"IHC-P"}, "FlowCytIntra" : {"fullname" : "Flow Cytometry (Intracellular)", "shortname":"Flow Cyt (Intra)"}, "WB" : {"fullname" : "Western blot", "shortname":"WB"}, "ICCIF" : {"fullname" : "Immunocytochemistry/ Immunofluorescence", "shortname":"ICC/IF"}, "IP" : {"fullname" : "Immunoprecipitation", "shortname":"IP"} }, "product-promise": { "all": "all", "testedAndGuaranteed": "tested", "guaranteed": "expected", "predicted": "predicted", "notRecommended": "not-recommended" } }, "values": { "Human": { "IHCP-species-checked": "testedAndGuaranteed", "IHCP-species-dilution-info": "", "IHCP-species-notes": "<p></p>", "FlowCytIntra-species-checked": "testedAndGuaranteed", "FlowCytIntra-species-dilution-info": "", "FlowCytIntra-species-notes": "<p></p>", "WB-species-checked": "testedAndGuaranteed", "WB-species-dilution-info": "", "WB-species-notes": "<p></p>", "ICCIF-species-checked": "testedAndGuaranteed", "ICCIF-species-dilution-info": "", "ICCIF-species-notes": "<p></p>", "IP-species-checked": "notRecommended", "IP-species-dilution-info": "", "IP-species-notes": "<p></p>" }, "Mouse": { "IHCP-species-checked": "notRecommended", "IHCP-species-dilution-info": "", "IHCP-species-notes": "<p></p>", "FlowCytIntra-species-checked": "notRecommended", "FlowCytIntra-species-dilution-info": "", "FlowCytIntra-species-notes": "", "WB-species-checked": "notRecommended", "WB-species-dilution-info": "", "WB-species-notes": "<p></p>", "ICCIF-species-checked": "notRecommended", "ICCIF-species-dilution-info": "", "ICCIF-species-notes": "", "IP-species-checked": "notRecommended", "IP-species-dilution-info": "", "IP-species-notes": "" }, "Rat": { "IHCP-species-checked": "testedAndGuaranteed", "IHCP-species-dilution-info": "", "IHCP-species-notes": "<p></p>", "FlowCytIntra-species-checked": "guaranteed", "FlowCytIntra-species-dilution-info": "", "FlowCytIntra-species-notes": "", "WB-species-checked": "testedAndGuaranteed", "WB-species-dilution-info": "", "WB-species-notes": "<p></p>", "ICCIF-species-checked": "guaranteed", "ICCIF-species-dilution-info": "", "ICCIF-species-notes": "", "IP-species-checked": "notRecommended", "IP-species-dilution-info": "", "IP-species-notes": "" } } }

Product details

ab314900 is the carrier-free version of ab314899.

Patented technology
Our RabMAb® technology is a patented hybridoma-based technology for making rabbit monoclonal antibodies. For details on our patents, please refer to RabMAb® patents.

What are the advantages of a recombinant monoclonal antibody?
This product is a recombinant monoclonal antibody, which offers several advantages including:

  • - High batch-to-batch consistency and reproducibility
  • - Improved sensitivity and specificity
  • - Long-term security of supply
  • - Animal-free batch production

For more information, read more on recombinant antibodies.

Conjugation ready
Our carrier-free antibodies are typically supplied in a PBS-only formulation, purified and free of BSA, sodium azide and glycerol. This conjugation-ready format is designed for use with fluorochromes, metal isotopes, oligonucleotides, and enzymes, which makes them ideal for antibody labelling, functional and cell-based assays, flow-based assays (e.g. mass cytometry) and Multiplex Imaging applications.

Use our conjugation kits for antibody conjugates that are ready-to-use in as little as 20 minutes with 1 minute hands-on-time and 100% antibody recovery: available for fluorescent dyes, HRP, biotin and gold.

Compatibility
This product is compatible with the Maxpar® Antibody Labeling Kit from Fluidigm, without the need for antibody preparation. Maxpar® is a trademark of Fluidigm Canada Inc.

Properties and storage information

Form
Liquid
Purification technique
Affinity purification Protein A
Storage buffer
pH: 7.2 - 7.4 Constituents: PBS
Shipped at conditions
Blue Ice
Appropriate short-term storage conditions
+4°C
Appropriate long-term storage conditions
+4°C

Supplementary information

This supplementary information is collated from multiple sources and compiled automatically.

Zinc finger antiviral protein (ZAP) also known as zinc antiviral is a cellular protein that plays an important role in antiviral defense. ZAP recognizes and binds to the CpG dinucleotide-rich regions of viral RNA targeting them for degradation and preventing viral replication. This protein has a molecular mass of around 100 kDa and is encoded by the ZC3HAV1 gene. ZAP predominantly expresses in the cytoplasm of various cells notably in immune cells where it carries out its antiviral function against a wide range of viruses.
Biological function summary

Zinc finger antiviral protein serves a critical role in the innate immune response. ZAP is part of a complex involving several cofactors that facilitate its antiviral activity. This protein collaborates with TRIM25 and AGO2 to recruit RNA degradation machinery targeting viral mRNA for decay. ZAP's interactions highlight its importance in the cellular response to viral infection making it an attractive target for developing antiviral therapies.

Pathways

Zinc finger antiviral protein is integral to the interferon signaling and viral RNA degradation pathways. Interferon signaling initiates the expression of ZAP linking it with other interferon-stimulated genes to enhance the antiviral response. Within the RNA degradation pathway ZAP coordinates with proteins like TRIM25 augmenting the destruction of viral genetic material. These pathways highlight the protein's role in suppressing viral replication and promoting cell survival during infections.

Zinc finger antiviral protein plays a significant role in conditions associated with viral infections and autoimmune disorders. ZAP confers protection against diseases like Hepatitis B and C by inhibiting viral RNA. Apart from infectious diseases ZAP interacts with proteins like HRAS and IRF3 suggesting its involvement in autoimmune conditions where viral components trigger immune responses. This relationship opens possibilities for therapeutic intervention by modulating ZAP activity in disease contexts.

Product protocols

For this product, it's our understanding that no specific protocols are required. You can visit:

Target data

Antiviral protein which inhibits the replication of viruses by recruiting the cellular RNA degradation machineries to degrade the viral mRNAs. Binds to a ZAP-responsive element (ZRE) present in the target viral mRNA, recruits cellular poly(A)-specific ribonuclease PARN to remove the poly(A) tail, and the 3'-5' exoribonuclease complex exosome to degrade the RNA body from the 3'-end. It also recruits the decapping complex DCP1-DCP2 through RNA helicase p72 (DDX17) to remove the cap structure of the viral mRNA to initiate its degradation from the 5'-end. Its target viruses belong to families which include retroviridae : human immunodeficiency virus type 1 (HIV-1), moloney and murine leukemia virus (MoMLV) and xenotropic MuLV-related virus (XMRV), filoviridae : ebola virus (EBOV) and marburg virus (MARV), togaviridae : sindbis virus (SINV) and Ross river virus (RRV). Specifically targets the multiply spliced but not unspliced or singly spliced HIV-1 mRNAs for degradation. Isoform 1 is a more potent viral inhibitor than isoform 2. Isoform 2 acts as a positive regulator of RIGI signaling resulting in activation of the downstream effector IRF3 leading to the expression of type I IFNs and IFN stimulated genes (ISGs).
See full target information ZC3HAV1

Product promise

We are committed to supporting your work with high-quality reagents, and we're here for you every step of the way. In the unlikely event that one of our products does not perform as expected, you're protected by our Product Promise.
For full details, please see our Terms & Conditions

Please note: All products are 'FOR RESEARCH USE ONLY. NOT FOR USE IN DIAGNOSTIC OR THERAPEUTIC PROCEDURES'.

For licensing inquiries, please contact partnerships@abcam.com