JavaScript is disabled in your browser. Please enable JavaScript to view this website.
AB117556

Anti-ZIP-10 antibody

Be the first to review this product! Submit a review

|

(1 Publication)

Rabbit Polyclonal ZIP-10 antibody. Suitable for IHC-P and reacts with Human samples. Cited in 1 publication. Immunogen corresponding to Synthetic Peptide within Human SLC39A10 conjugated to Keyhole Limpet Haemocyanin.

View Alternative Names

KIAA1265, ZIP10, SLC39A10, Zinc transporter ZIP10, Solute carrier family 39 member 10, Zrt- and Irt-like protein 10, ZIP-10

2 Images
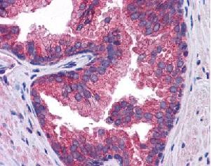
Immunohistochemistry (Formalin/PFA-fixed paraffin-embedded sections) - Anti-ZIP-10 antibody (AB117556)
  • IHC-P

Unknown

Immunohistochemistry (Formalin/PFA-fixed paraffin-embedded sections) - Anti-ZIP-10 antibody (AB117556)

ab117556, at 5μg/ml, staining ZIP-10 in formalin-fixed, paraffin-embedded Human Prostate tissue by Immunohistochemistry.

Immunohistochemistry (Formalin/PFA-fixed paraffin-embedded sections) - Anti-ZIP-10 antibody (AB117556)
  • IHC-P

Unknown

Immunohistochemistry (Formalin/PFA-fixed paraffin-embedded sections) - Anti-ZIP-10 antibody (AB117556)

ab117556, at 5μg/ml, staining ZIP-10 in formalin-fixed, paraffin-embedded Human Kidney tissue by Immunohistochemistry.

Key facts

Host species

Rabbit

Clonality

Polyclonal

Isotype

IgG

Carrier free

No

Reacts with

Human

Applications

IHC-P

applications

Immunogen

Synthetic Peptide within Human SLC39A10 conjugated to Keyhole Limpet Haemocyanin. The exact immunogen used to generate this antibody is proprietary information.

Q9ULF5

Reactivity data

{ "title": "Reactivity Data", "filters": { "stats": ["", "Species", "Dilution Info", "Notes"], "tabs": { "all-applications": {"fullname" : "All Applications", "shortname": "All Applications"}, "IHCP" : {"fullname" : "Immunohistochemistry (Formalin/PFA-fixed paraffin-embedded sections)", "shortname":"IHC-P"} }, "product-promise": { "all": "all", "testedAndGuaranteed": "tested", "guaranteed": "expected", "predicted": "predicted", "notRecommended": "not-recommended" } }, "values": { "Human": { "IHCP-species-checked": "testedAndGuaranteed", "IHCP-species-dilution-info": "5 µg/mL", "IHCP-species-notes": "<p></p>" }, "Mouse": { "IHCP-species-checked": "predicted", "IHCP-species-dilution-info": "", "IHCP-species-notes": "" }, "Rat": { "IHCP-species-checked": "predicted", "IHCP-species-dilution-info": "", "IHCP-species-notes": "" } } }

Properties and storage information

Form
Liquid
Purification technique
Affinity purification Immunogen
Storage buffer
pH: 7.4 Preservative: 0.02% Sodium azide Constituents: PBS
Shipped at conditions
Blue Ice
Appropriate short-term storage duration
1-2 weeks
Appropriate short-term storage conditions
+4°C
Appropriate long-term storage conditions
-20°C
Storage information
Avoid freeze / thaw cycle

Supplementary information

This supplementary information is collated from multiple sources and compiled automatically.

ZIP-10 also known as SLC39A10 acts as a zinc transporter which redistributes zinc across cellular membranes. It plays a role in maintaining zinc homeostasis by absorbing zinc from extracellular spaces into the cell. The molecular weight of ZIP-10 is approximately 85 kDa. Expression occurs mainly in kidneys liver and the brain where zinc plays important roles in physiological processes.
Biological function summary

ZIP-10 regulated zinc uptake influences cellular functions significantly including growth apoptosis and immune responses. It functions as part of the ZIP family of zinc transporters involved in importing zinc into the cell. ZIP-10 works in concert with other zinc transporters and requires coordination with other metal transport systems for effective metal ion equilibrium within the cells.

Pathways

Zinc transport by ZIP-10 fits into cellular ion homeostasis and signaling pathways. It plays a role in the oxidative stress response pathway and MAPK signaling pathway assisting in signaling transduction related to growth and stress responses. ZIP-10 interacts with related proteins like ZIP1 and ZIP3 within these pathways facilitating cellular adaptation to changes in zinc availability.

ZIP-10 dysregulation has connections to neurological diseases and liver disorders. Elevated or reduced ZIP-10 expression can affect zinc-dependent mechanisms leading to diseases like Alzheimer's disease and nonalcoholic steatohepatitis. It also relates to proteins such as metallothioneins in managing zinc buffering capacity impacting disease progression and severity.

Product protocols

For this product, it's our understanding that no specific protocols are required. You can visit:

Target data

Zinc-influx transporter (PubMed : 17359283, PubMed : 27274087, PubMed : 30520657). When associated with SLC39A6, the heterodimer formed by SLC39A10 and SLC39A6 mediates cellular zinc uptake to trigger cells to undergo epithelial-to-mesenchymal transition (EMT) (PubMed : 23186163). SLC39A10-SLC39A6 heterodimers play also an essentiel role in initiating mitosis by importing zinc into cells to initiate a pathway resulting in the onset of mitosis (PubMed : 32797246). Plays an important for both mature B-cell maintenance and humoral immune responses (By similarity). When associated with SLC39A10, the heterodimer controls NCAM1 phosphorylation and integration into focal adhesion complexes during EMT (By similarity).
See full target information SLC39A10

Publications (1)

Recent publications for all applications. Explore the full list and refine your search

The Journal of clinical investigation 127:3075-3089 PubMed28737508

2017

Targeting NEK2 attenuates glioblastoma growth and radioresistance by destabilizing histone methyltransferase EZH2.

Applications

Unspecified application

Species

Unspecified reactive species

Jia Wang,Peng Cheng,Marat S Pavlyukov,Hai Yu,Zhuo Zhang,Sung-Hak Kim,Mutsuko Minata,Ahmed Mohyeldin,Wanfu Xie,Dongquan Chen,Violaine Goidts,Brendan Frett,Wenhao Hu,Hongyu Li,Yong Jae Shin,Yeri Lee,Do-Hyun Nam,Harley I Kornblum,Maode Wang,Ichiro Nakano
View all publications

Product promise

We are committed to supporting your work with high-quality reagents, and we're here for you every step of the way. In the unlikely event that one of our products does not perform as expected, you're protected by our Product Promise.
For full details, please see our Terms & Conditions

Please note: All products are 'FOR RESEARCH USE ONLY. NOT FOR USE IN DIAGNOSTIC OR THERAPEUTIC PROCEDURES'.

For licensing inquiries, please contact partnerships@abcam.com