JavaScript is disabled in your browser. Please enable JavaScript to view this website.
AB230099

Anti-ZIP-4 antibody

Be the first to review this product! Submit a review

|

(2 Publications)

Rabbit Polyclonal ZIP-4 antibody. Suitable for WB, IHC-P and reacts with Mouse, Human samples. Cited in 2 publications. Immunogen corresponding to Recombinant Fragment Protein within Human SLC39A4 aa 1-350.

View Alternative Names

ZIP4, SLC39A4, Zinc transporter ZIP4, Solute carrier family 39 member 4, Zrt- and Irt-like protein 4, ZIP-4

2 Images
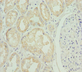
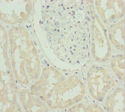
Immunohistochemistry (Formalin/PFA-fixed paraffin-embedded sections) - Anti-ZIP-4 antibody (AB230099)
  • IHC-P

Supplier Data

Immunohistochemistry (Formalin/PFA-fixed paraffin-embedded sections) - Anti-ZIP-4 antibody (AB230099)

Paraffin-embedded human kidney tissue stained for ZIP-4 using ab230099 at 1/100 dilution in immunohistochemical analysis.

Western blot - Anti-ZIP-4 antibody (AB230099)
  • WB

Supplier Data

Western blot - Anti-ZIP-4 antibody (AB230099)

All lanes:

Western blot - Anti-ZIP-4 antibody (ab230099) at 1/1000 dilution

Lane 1:

Mouse stomach lysate

Lane 2:

HEK-293T (human epithelial cell line from embryonic kidney transformed with large T antigen) whole cell lysate

Secondary

All lanes:

Goat polyclonal to rabbit IgG at 1/10000 dilution

Predicted band size: 68 kDa

false

Key facts

Host species

Rabbit

Clonality

Polyclonal

Isotype

IgG

Carrier free

No

Reacts with

Mouse, Human

Applications

WB, IHC-P

applications

Immunogen

Recombinant Fragment Protein within Human SLC39A4 aa 1-350. The exact immunogen used to generate this antibody is proprietary information.

Q6P5W5

Reactivity data

{ "title": "Reactivity Data", "filters": { "stats": ["", "Species", "Dilution Info", "Notes"], "tabs": { "all-applications": {"fullname" : "All Applications", "shortname": "All Applications"}, "WB" : {"fullname" : "Western blot", "shortname":"WB"}, "IHCP" : {"fullname" : "Immunohistochemistry (Formalin/PFA-fixed paraffin-embedded sections)", "shortname":"IHC-P"} }, "product-promise": { "all": "all", "testedAndGuaranteed": "tested", "guaranteed": "expected", "predicted": "predicted", "notRecommended": "not-recommended" } }, "values": { "Human": { "WB-species-checked": "guaranteed", "WB-species-dilution-info": "", "WB-species-notes": "", "IHCP-species-checked": "testedAndGuaranteed", "IHCP-species-dilution-info": "1/20 - 1/200", "IHCP-species-notes": "<p></p>" }, "Mouse": { "WB-species-checked": "testedAndGuaranteed", "WB-species-dilution-info": "1/1000 - 1/5000", "WB-species-notes": "<p></p>", "IHCP-species-checked": "guaranteed", "IHCP-species-dilution-info": "", "IHCP-species-notes": "" } } }

Properties and storage information

Form
Liquid
Purification technique
Affinity purification Immunogen
Storage buffer
pH: 7.3 Preservative: 0.02% Sodium azide Constituents: PBS, 50% Glycerol (glycerin, glycerine)
Shipped at conditions
Blue Ice
Appropriate short-term storage duration
1-2 weeks
Appropriate short-term storage conditions
+4°C
Appropriate long-term storage conditions
-20°C
Aliquoting information
Upon delivery aliquot
Storage information
Avoid freeze / thaw cycle

Supplementary information

This supplementary information is collated from multiple sources and compiled automatically.

ZIP-4 also known as SLC39A4 functions as a zinc transporter responsible for the uptake of zinc ions from the extracellular space into the cytoplasm. It plays a critical role in maintaining zinc homeostasis within the cell. The protein has a molecular mass of approximately 67 kDa. ZIP-4 is predominantly expressed in the small intestine and pancreas where it regulates zinc absorption important for various biological processes.
Biological function summary

ZIP-4 influences the cellular zinc levels by facilitating zinc influx across the plasma membrane. This transport ensures adequate zinc supply for enzymatic reactions and cellular functions. ZIP-4 does not operate as part of a larger complex but acts independently to regulate zinc entry which impacts cell signaling immune responses and cell proliferation.

Pathways

ZIP-4 participates in the regulation of zinc-dependent pathways such as the MAPK signaling pathway and the NF-kB signaling pathway. These pathways are essential for cell growth survival and immune response. ZIP-4 interacts with other transporters like ZIP-1 and ZIP-10 contributing significantly to the intricate network of zinc homeostasis and cellular regulation.

Abnormal ZIP-4 function has links to acrodermatitis enteropathica a rare genetic disorder caused by impaired zinc absorption. This condition causes skin lesions immune dysfunctions and developmental issues. Additionally dysregulation of ZIP-4 has been implicated in certain cancers where increased ZIP-4 expression correlates with tumor growth and metastasis highlighting its relevance in disease pathology and potential as a therapeutic target.

Product protocols

For this product, it's our understanding that no specific protocols are required. You can visit:

Target data

Selective transporter that mediates the uptake of Zn(2+) (PubMed : 17202136, PubMed : 22242765, PubMed : 27321477, PubMed : 28875161, PubMed : 31164399, PubMed : 31914589, PubMed : 31979155, PubMed : 33837739, PubMed : 36473915). Plays an essential role for dietary zinc uptake from small intestine (By similarity). The Zn(2+) uniporter activity is regulated by zinc availability (PubMed : 17202136, PubMed : 32348750). Exhibits also polyspecific binding and transport of Cu(2+), Cd(2+) and possibly Ni(2+) but at higher concentrations (PubMed : 22242765, PubMed : 31914589).
See full target information SLC39A4

Publications (2)

Recent publications for all applications. Explore the full list and refine your search

Nutrients 16: PubMed39599720

2024

Dietary Zinc Restriction and Chronic Restraint Stress Affect Mice Physiology, Immune Organ Morphology, and Liver Function.

Applications

Unspecified application

Species

Unspecified reactive species

Dorota Bederska-Łojewska,Kinga Szczepanik,Justyna Turek,Agata Machaczka,Łukasz Gąsior,Bartłomiej Pochwat,Joanna Piotrowska,Bartłomiej Rospond,Bernadeta Szewczyk

Aging 16:11668-11682 PubMed39133152

2024

Solamargine acts as an antiviral by interacting to MZF1 and targeting the core promoter of the hepatitis B virus gene.

Applications

Unspecified application

Species

Unspecified reactive species

Wenwen Chen,Xinrui Zhao,Yingli Huang,Kai Lu,Yuan Li,Xiaofang Li,Hui Ding,Xiuling Li,Suofeng Sun
View all publications

Product promise

We are committed to supporting your work with high-quality reagents, and we're here for you every step of the way. In the unlikely event that one of our products does not perform as expected, you're protected by our Product Promise.
For full details, please see our Terms & Conditions

Please note: All products are 'FOR RESEARCH USE ONLY. NOT FOR USE IN DIAGNOSTIC OR THERAPEUTIC PROCEDURES'.

For licensing inquiries, please contact partnerships@abcam.com