JavaScript is disabled in your browser. Please enable JavaScript to view this website.
AB251519

Anti-ZIP Kinase antibody [EPR18809-86] - BSA and Azide free

Be the first to review this product! Submit a review

|

(1 Publication)

Rabbit Recombinant Monoclonal ZIP Kinase antibody. Carrier free. Suitable for ICC/IF, WB, Flow Cyt (Intra) and reacts with Mouse, Human, Rat, Recombinant fragment - Human samples. Cited in 1 publication.

View Alternative Names

ZIPK, DAPK3, Death-associated protein kinase 3, DAP kinase 3, DAP-like kinase, MYPT1 kinase, Zipper-interacting protein kinase, Dlk, ZIP-kinase

9 Images
Immunocytochemistry/ Immunofluorescence - Anti-ZIP Kinase antibody [EPR18809-86] - BSA and Azide free (AB251519)
  • ICC/IF

Supplier Data

Immunocytochemistry/ Immunofluorescence - Anti-ZIP Kinase antibody [EPR18809-86] - BSA and Azide free (AB251519)

This data was developed using ab210528, the same antibody clone in a different buffer formulation.

Immunofluorescent analysis of 4% paraformaldehyde-fixed, 0.1% Triton X-100 permeabilized HeLa (Human epithelial cell line from cervix adenocarcinoma) cells labeling ZIP Kinase with ab210528 at 1/100 dilution, followed by Goat Anti-Rabbit IgG (Alexa Fluor® 488) (ab150077) secondary antibody at 1/1000 dilution (green). Confocal image showing cytoplasm and nuclear staining on HeLa cell line. The nuclear counter stain is DAPI (blue).

Tubulin is detected with Anti-alpha Tubulin antibody [DM1A] - Loading Control (ab7291) at 1/1000 dilution and Goat Anti-Mouse IgG H&L (Alexa Fluor® 594) preadsorbed (ab150120) at 1/1000 dilution (red).

The negative controls are as follows :

-ve control 1 : ab210528 at 1/100 dilution followed by ab150120 at 1/1000 dilution.
-ve control 2 : ab7291 at 1/1000 dilution followed by ab150077 at 1/1000 dilution.

Immunocytochemistry/ Immunofluorescence - Anti-ZIP Kinase antibody [EPR18809-86] - BSA and Azide free (AB251519)
  • ICC/IF

Supplier Data

Immunocytochemistry/ Immunofluorescence - Anti-ZIP Kinase antibody [EPR18809-86] - BSA and Azide free (AB251519)

This data was developed using ab210528, the same antibody clone in a different buffer formulation.

Immunofluorescent analysis of 4% paraformaldehyde-fixed, 0.1% Triton X-100 permeabilized NIH/3T3 (Mouse embryonic fibroblast cell line) cells labeling ZIP Kinase with ab210528 at 1/100 dilution, followed by Goat anti-rabbit IgG (Alexa Fluor® 488) (ab150077) secondary antibody at 1/1000 dilution (green). Confocal image showing cytoplasm and nuclear staining on NIH/3T3 cell line. The nuclear counter stain is DAPI (blue).

Tubulin is detected with Anti-alpha Tubulin antibody [DM1A] - Loading Control (ab7291) at 1/1000 dilution and Goat Anti-Mouse IgG H&L (Alexa Fluor® 594) preadsorbed (ab150120) at 1/1000 dilution (red).

The negative controls are as follows :

-ve control 1 : ab210528 at 1/100 dilution followed by ab150120 at 1/1000 dilution.
-ve control 2 : ab7291 at 1/1000 dilution followed by ab150077 at 1/1000 dilution.

Flow Cytometry (Intracellular) - Anti-ZIP Kinase antibody [EPR18809-86] - BSA and Azide free (AB251519)
  • Flow Cyt (Intra)

Supplier Data

Flow Cytometry (Intracellular) - Anti-ZIP Kinase antibody [EPR18809-86] - BSA and Azide free (AB251519)

This data was developed using ab210528, the same antibody clone in a different buffer formulation.

Intracellular flow cytometric analysis of 4% paraformaldehyde-fixed NIH/3T3 (Mouse embryonic fibroblast cell line) cells labeling ZIP Kinase with ab210528 at 1/600 dilution (red) compared with a Rabbit IgG,monoclonal [EPR25A] - Isotype Control (ab172730) (black) and an unlabelled control (cells without incubation with primary antibody and secondary antibody) (blue). Goat anti Rabbit IgG (Alexa Fluor® 488) at 1/500 dilution was used as the secondary antibody.

Note : Cells were permeabilised with 90% methanol -1XPBS (-20°C, 30min).

Flow Cytometry (Intracellular) - Anti-ZIP Kinase antibody [EPR18809-86] - BSA and Azide free (AB251519)
  • Flow Cyt (Intra)

Supplier Data

Flow Cytometry (Intracellular) - Anti-ZIP Kinase antibody [EPR18809-86] - BSA and Azide free (AB251519)

This data was developed using ab210528, the same antibody clone in a different buffer formulation.

Intracellular flow cytometric analysis of 4% paraformaldehyde-fixed C2C12 (Mouse myoblast cell line) cells labeling ZIP Kinase with ab210528 at 1/120 dilution (red) compared with a Rabbit IgG,monoclonal [EPR25A] - Isotype Control (ab172730) (black) and an unlabelled control (cells without incubation with primary antibody and secondary antibody) (blue). Goat anti Rabbit IgG (Alexa Fluor® 488) at 1/500 dilution was used as the secondary antibody.

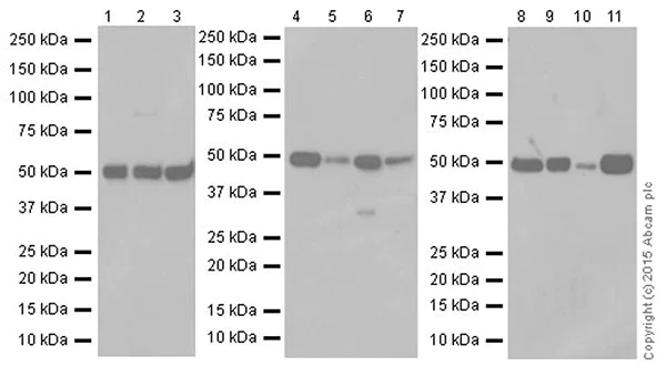
Western blot - Anti-ZIP Kinase antibody [EPR18809-86] - BSA and Azide free (AB251519)
  • WB

Supplier Data

Western blot - Anti-ZIP Kinase antibody [EPR18809-86] - BSA and Azide free (AB251519)

This data was developed using ab210528, the same antibody clone in a different buffer formulation.

Blocking and dilution buffer : 5% NFDM/TBST.

Exposure times : Lanes 1-7 : 30 seconds; Lane 8 : 5 seconds.

The molecular weight observed is consistent with what has been described in the literature (PMID : 20124481).

All lanes:

Western blot - Anti-ZIP Kinase antibody [EPR18809-86] (<a href='/en-us/products/primary-antibodies/zip-kinase-antibody-epr18809-86-ab210528'>ab210528</a>) at 1/1000 dilution

Lane 1:

Jurkat (Human T cell leukemia cell line from peripheral blood) whole cell lysate at 20 µg

Lane 2:

A431 (Human epidermoid carcinoma cell line) whole cell lysate at 20 µg

Lane 3:

HeLa (Human epithelial cell line from cervix adenocarcinoma) whole cell lysate at 20 µg

Lane 4:

C2C12 (Mouse myoblast cell line) whole cell lysate at 20 µg

Lane 5:

L6 (Rat skeletal muscle cell line) whole cell lysate at 20 µg

Lane 6:

Mouse bladder lysate at 20 µg

Lane 7:

Rat bladder lysate at 20 µg

Lane 8:

A549 (Human lung carcinoma cell line) whole cell lysate at 20 µg

Secondary

All lanes:

Western blot - Goat Anti-Rabbit IgG H&L (HRP) (<a href='/en-us/products/secondary-antibodies/goat-rabbit-igg-h-l-hrp-ab97051'>ab97051</a>) at 1/100000 dilution

Predicted band size: 53 kDa

Observed band size: 50 kDa

false

Western blot - Anti-ZIP Kinase antibody [EPR18809-86] - BSA and Azide free (AB251519)
  • WB

Supplier Data

Western blot - Anti-ZIP Kinase antibody [EPR18809-86] - BSA and Azide free (AB251519)

This data was developed using ab210528, the same antibody clone in a different buffer formulation.

Blocking and dilution buffer : 5% NFDM/TBST.

The molecular weight observed is consistent with what has been described in the literature (PMID : 20124481).

All lanes:

Western blot - Anti-ZIP Kinase antibody [EPR18809-86] (<a href='/en-us/products/primary-antibodies/zip-kinase-antibody-epr18809-86-ab210528'>ab210528</a>) at 1/1000 dilution

Lane 1:

Human fetal liver lysate at 10 µg

Lane 2:

Human fetal heart lysate at 10 µg

Lane 3:

Human fetal kidney lysate at 10 µg

Lane 4:

Human bladder lysate at 10 µg

Secondary

All lanes:

Goat Anti-Rabbit IgG Peroxidase Conjugate, specific to the non-reduced form of IgG at 1/10000 dilution

Predicted band size: 53 kDa

Observed band size: 50 kDa

false

Exposure time: 3min

Western blot - Anti-ZIP Kinase antibody [EPR18809-86] - BSA and Azide free (AB251519)
  • WB

Lab

Western blot - Anti-ZIP Kinase antibody [EPR18809-86] - BSA and Azide free (AB251519)

This data was developed using ab210528, the same antibody clone in a different buffer formulation.

Lane 1 : Wild type HAP1 whole cell lysate (20 μg)

Lane 2 : ZIP Kinase knockout HAP1 whole cell lysate (20 μg)

Lane 3 : HeLa whole cell lysate (20 μg)

Lane 4 : A431 whole cell lysate (20 μg)

Lanes 1 - 4 : Merged signal (red and green). Green - ab210528 observed at 53 kDa. Red - loading control, ab9484, observed at 37 kDa.

ab210528 was shown to specifically react with ZIP Kinase in wild type cells as signal was lost in ZIP Kinase knockout cells. Wild-type and ZIP Kinase knockout samples were subjected to SDS-PAGE. ab210528 and ab9484 (Mouse anti GAPDH loading control) were incubated overnight at 4°C at a 1/1000 dilution and 1/20000 dilution respectively. Blots were developed with Goat anti-Rabbit IgG H&L (IRDye® 800CW) preabsorbed ab216773 and Goat anti-Mouse IgG H&L (IRDye® 680RD) preabsorbed ab216776 secondary antibodies at 1/20000 dilution for 1 hour at room temperature before imaging.

All lanes:

Western blot - Anti-ZIP Kinase antibody [EPR18809-86] (<a href='/en-us/products/primary-antibodies/zip-kinase-antibody-epr18809-86-ab210528'>ab210528</a>)

Predicted band size: 53 kDa

false

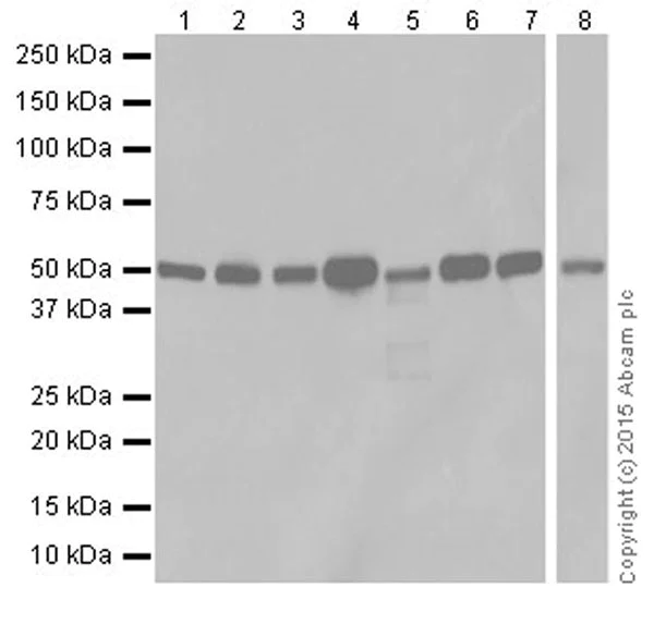
Western blot - Anti-ZIP Kinase antibody [EPR18809-86] - BSA and Azide free (AB251519)
  • WB

Supplier Data

Western blot - Anti-ZIP Kinase antibody [EPR18809-86] - BSA and Azide free (AB251519)

This data was developed using ab210528, the same antibody clone in a different buffer formulation.

Blocking and dilution buffer : 5% NFDM/TBST.

Exposure times : Lanes 1-3 : 30 seconds; Lanes 4-7 : 3 minutes; Lanes 8-11 : 30 seconds.

The molecular weight observed is consistent with what has been described in the literature (PMID : 20124481)

All lanes:

Western blot - Anti-ZIP Kinase antibody [EPR18809-86] (<a href='/en-us/products/primary-antibodies/zip-kinase-antibody-epr18809-86-ab210528'>ab210528</a>) at 1/1000 dilution

Lane 1:

Mouse brain tissue lysate at 10 µg

Lane 2:

Mouse kidney tissue lysate at 10 µg

Lane 3:

Mouse spleen tissue lysate at 10 µg

Lane 4:

Rat brain tissue lysate at 10 µg

Lane 5:

Rat heart tissue lysate at 10 µg

Lane 6:

Rat kidney tissue lysate at 10 µg

Lane 7:

Rat spleen tissue lysate at 10 µg

Lane 8:

C6 (Rat glial tumor cell line) whole cell lysate at 20 µg

Lane 9:

RAW 264.7 (Mouse macrophage cell line transformed with Abelson murine leukemia virus) whole cell lysate at 10 µg

Lane 10:

PC-12 (Rat adrenal gland pheochromocytoma cell line) whole cell lysate at 10 µg

Lane 11:

NIH/3T3 (Mouse embryonic fibroblast cell line) whole cell lysate at 10 µg

Secondary

All lanes:

Western blot - Goat Anti-Rabbit IgG H&L (HRP) (<a href='/en-us/products/secondary-antibodies/goat-rabbit-igg-h-l-hrp-ab97051'>ab97051</a>) at 1/100000 dilution

Predicted band size: 53 kDa

Observed band size: 50 kDa

false

Western blot - Anti-ZIP Kinase antibody [EPR18809-86] - BSA and Azide free (AB251519)
  • WB

Supplier Data

Western blot - Anti-ZIP Kinase antibody [EPR18809-86] - BSA and Azide free (AB251519)

This data was developed using ab210528, the same antibody clone in a different buffer formulation.

Blocking and dilution buffer : 5% NFDM/TBST.

Human ZIP Kinase fragment recombinant protein contain aa13-275 with a His-Tag®. Human DAP Kinase 2 fragment recombinant protein contain aa23-285 with a His-Tag®. Human DAP Kinase 1 fragment recombinant protein contain aa13-275 with a His-Tag®. All three recombinant human fragment proteins were made in-house.

The antibody reacts weakly with DAP kinase 1 and DAP kinase 2; however bands of their appropriate MW (159 kD, 42 kD) are not detected in the tissue lysates.

All lanes:

Western blot - Anti-ZIP Kinase antibody [EPR18809-86] (<a href='/en-us/products/primary-antibodies/zip-kinase-antibody-epr18809-86-ab210528'>ab210528</a>) at 1/1000 dilution

Lane 1:

Human ZIP Kinase fragment recombinant protein at 0.01 µg

Lane 2:

Human DAP Kinase 2 fragment recombinant protein at 0.01 µg

Lane 3:

Human DAP Kinase 1 fragment recombinant protein at 0.01 µg

Secondary

All lanes:

Western blot - Goat Anti-Rabbit IgG H&L (HRP) (<a href='/en-us/products/secondary-antibodies/goat-rabbit-igg-h-l-hrp-ab97051'>ab97051</a>) at 1/100000 dilution

Predicted band size: 53 kDa

Observed band size: 29 kDa

false

Exposure time: 1s

Key facts

Host species

Rabbit

Clonality

Monoclonal

Clone number

EPR18809-86

Isotype

IgG

Carrier free

Yes

Reacts with

Mouse, Rat, Human

Applications

Flow Cyt (Intra), WB, ICC/IF

applications

Immunogen

The exact immunogen used to generate this antibody is proprietary information.

Reactivity data

{ "title": "Reactivity Data", "filters": { "stats": ["", "Species", "Dilution Info", "Notes"], "tabs": { "all-applications": {"fullname" : "All Applications", "shortname": "All Applications"}, "ICCIF" : {"fullname" : "Immunocytochemistry/ Immunofluorescence", "shortname":"ICC/IF"}, "WB" : {"fullname" : "Western blot", "shortname":"WB"}, "FlowCytIntra" : {"fullname" : "Flow Cytometry (Intracellular)", "shortname":"Flow Cyt (Intra)"} }, "product-promise": { "all": "all", "testedAndGuaranteed": "tested", "guaranteed": "expected", "predicted": "predicted", "notRecommended": "not-recommended" } }, "values": { "Human": { "ICCIF-species-checked": "testedAndGuaranteed", "ICCIF-species-dilution-info": "", "ICCIF-species-notes": "<p></p>", "WB-species-checked": "testedAndGuaranteed", "WB-species-dilution-info": "", "WB-species-notes": "<p></p>", "FlowCytIntra-species-checked": "guaranteed", "FlowCytIntra-species-dilution-info": "", "FlowCytIntra-species-notes": "" }, "Mouse": { "ICCIF-species-checked": "testedAndGuaranteed", "ICCIF-species-dilution-info": "", "ICCIF-species-notes": "<p></p>", "WB-species-checked": "testedAndGuaranteed", "WB-species-dilution-info": "", "WB-species-notes": "<p></p>", "FlowCytIntra-species-checked": "testedAndGuaranteed", "FlowCytIntra-species-dilution-info": "", "FlowCytIntra-species-notes": "<p></p>" }, "Rat": { "ICCIF-species-checked": "guaranteed", "ICCIF-species-dilution-info": "", "ICCIF-species-notes": "", "WB-species-checked": "testedAndGuaranteed", "WB-species-dilution-info": "", "WB-species-notes": "<p></p>", "FlowCytIntra-species-checked": "guaranteed", "FlowCytIntra-species-dilution-info": "", "FlowCytIntra-species-notes": "" }, "Recombinant fragment - Human": { "ICCIF-species-checked": "notRecommended", "ICCIF-species-dilution-info": "", "ICCIF-species-notes": "", "WB-species-checked": "testedAndGuaranteed", "WB-species-dilution-info": "", "WB-species-notes": "<p></p>", "FlowCytIntra-species-checked": "notRecommended", "FlowCytIntra-species-dilution-info": "", "FlowCytIntra-species-notes": "" } } }

Product details

ab251519 is the carrier-free version of ab210528.

Patented technology
Our RabMAb® technology is a patented hybridoma-based technology for making rabbit monoclonal antibodies. For details on our patents, please refer to RabMAb® patents.

What are the advantages of a recombinant monoclonal antibody?
This product is a recombinant monoclonal antibody, which offers several advantages including:

  • - High batch-to-batch consistency and reproducibility
  • - Improved sensitivity and specificity
  • - Long-term security of supply
  • - Animal-free batch production

For more information, read more on recombinant antibodies.

Conjugation ready
Our carrier-free antibodies are typically supplied in a PBS-only formulation, purified and free of BSA, sodium azide and glycerol. This conjugation-ready format is designed for use with fluorochromes, metal isotopes, oligonucleotides, and enzymes, which makes them ideal for antibody labelling, functional and cell-based assays, flow-based assays (e.g. mass cytometry) and Multiplex Imaging applications.

Use our conjugation kits for antibody conjugates that are ready-to-use in as little as 20 minutes with 1 minute hands-on-time and 100% antibody recovery: available for fluorescent dyes, HRP, biotin and gold.

Compatibility
This product is compatible with the Maxpar® Antibody Labeling Kit from Fluidigm, without the need for antibody preparation. Maxpar® is a trademark of Fluidigm Canada Inc.

Properties and storage information

Form
Liquid
Purification technique
Affinity purification Protein A
Storage buffer
pH: 7.2 - 7.4 Constituents: PBS
Shipped at conditions
Blue Ice
Appropriate short-term storage conditions
+4°C
Appropriate long-term storage conditions
+4°C
Storage information
Do Not Freeze

Supplementary information

This supplementary information is collated from multiple sources and compiled automatically.

ZIP Kinase also known as DAPK3 is a serine/threonine protein kinase with a molecular mass of approximately 52 kDa. It is expressed in a variety of tissues including the heart liver and skeletal muscle indicating its broad physiological importance. ZIP Kinase shows activity in phosphorylating specific substrates that influence cell structure and function playing a role in cellular processes.
Biological function summary

ZIP Kinase regulates apoptosis and autophagy impacting cell survival and homeostasis. It does not act in isolation but is part of a complex with other kinases and regulatory proteins. ZIP Kinase interacts with cytoskeletal proteins to mediate cell contraction and motility indicating its involvement in both normal cellular dynamics and stress responses.

Pathways

ZIP Kinase is involved in the apoptosis and autophagy pathways. Within the apoptosis pathway ZIP Kinase partners with proteins like DAPK1 influencing stress and injury responses. In the autophagy pathway it helps in regulating cellular degradation processes. These pathways allow ZIP Kinase to integrate signals that manage cell fate decisions collaboratively modulating cellular life and death.

ZIP Kinase associates with hypertension and certain types of cancer. In hypertension ZIP Kinase dysregulation may impact vascular smooth muscle cell contractility due to its connection with myosin light chain phosphorylation. In cancer altered ZIP Kinase activity may affect apoptosis linking it to aberrant cell proliferation. Its interaction with proteins like DAPK1 in both contexts underlines its role in pathological states where cell death and survival are disrupted.

Product protocols

For this product, it's our understanding that no specific protocols are required. You can visit:

Target data

Serine/threonine kinase which is involved in the regulation of apoptosis, autophagy, transcription, translation and actin cytoskeleton reorganization. Involved in the regulation of smooth muscle contraction. Regulates both type I (caspase-dependent) apoptotic and type II (caspase-independent) autophagic cell deaths signal, depending on the cellular setting. Involved in regulation of starvation-induced autophagy. Regulates myosin phosphorylation in both smooth muscle and non-muscle cells. In smooth muscle, regulates myosin either directly by phosphorylating MYL12B and MYL9 or through inhibition of smooth muscle myosin phosphatase (SMPP1M) via phosphorylation of PPP1R12A; the inhibition of SMPP1M functions to enhance muscle responsiveness to Ca(2+) and promote a contractile state. Phosphorylates MYL12B in non-muscle cells leading to reorganization of actin cytoskeleton. Isoform 2 can phosphorylate myosin, PPP1R12A and MYL12B. Overexpression leads to condensation of actin stress fibers into thick bundles. Involved in actin filament focal adhesion dynamics. The function in both reorganization of actin cytoskeleton and focal adhesion dissolution is modulated by RhoD. Positively regulates canonical Wnt/beta-catenin signaling through interaction with NLK and TCF7L2. Phosphorylates RPL13A on 'Ser-77' upon interferon-gamma activation which is causing RPL13A release from the ribosome, RPL13A association with the GAIT complex and its subsequent involvement in transcript-selective translation inhibition. Enhances transcription from AR-responsive promoters in a hormone- and kinase-dependent manner. Involved in regulation of cell cycle progression and cell proliferation. May be a tumor suppressor.
See full target information DAPK3

Publications (1)

Recent publications for all applications. Explore the full list and refine your search

Oncology letters 18:545-552 PubMed31289526

2019

Lymphoepithelioma-like gastric carcinoma treated with partial gastrectomy: Two case reports.

Applications

Unspecified application

Species

Unspecified reactive species

Huihua Cao,Jun Xie,Yongxiang Qian,Yugang Wu,Zhaoqing Tang
View all publications

Product promise

We are committed to supporting your work with high-quality reagents, and we're here for you every step of the way. In the unlikely event that one of our products does not perform as expected, you're protected by our Product Promise.
For full details, please see our Terms & Conditions

Please note: All products are 'FOR RESEARCH USE ONLY. NOT FOR USE IN DIAGNOSTIC OR THERAPEUTIC PROCEDURES'.

For licensing inquiries, please contact partnerships@abcam.com