JavaScript is disabled in your browser. Please enable JavaScript to view this website.
AB325498

Anti-ZIP8/SLC39A8 antibody [EPR29194-220]

  • RabMAb
  • Recombinant
  • 20ul selling size
  • KO Validated
  • What is this?

Be the first to review this product! Submit a review

|

(0 Publication)

Rabbit Recombinant Monoclonal antibody. Suitable for IHC-P, WB and reacts with Human samples.
5 Images
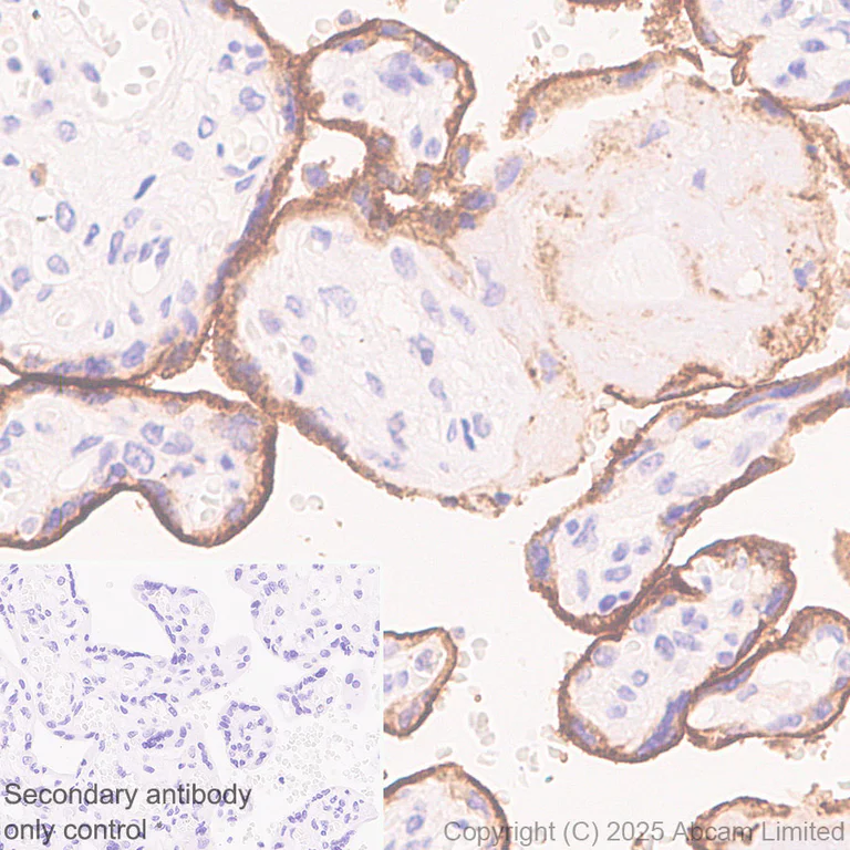
Immunohistochemistry (Formalin/PFA-fixed paraffin-embedded sections) - Anti-ZIP8/SLC39A8 antibody [EPR29194-220] (AB325498)
  • IHC-P

Lab

Immunohistochemistry (Formalin/PFA-fixed paraffin-embedded sections) - Anti-ZIP8/SLC39A8 antibody [EPR29194-220] (AB325498)

Immunohistochemical analysis of paraffin-embedded Human placenta tissue labeling ZIP8/SLC39A8 with ab325498 at 1/100 (5.08 µg/ml) dilution, followed by a ready to use LeicaDS9800 (Bond™ Polymer Refine Detection).

Positive staining on human placenta.

The primary antibody was incubated for 30 mins at room temperature.

The immunostaining was performed on a Leica Biosystems BOND® RX instrument

Counterstained with Hematoxylin.

Secondary antibody only control : Secondary antibody is a ready to use LeicaDS9800 (Bond™ Polymer Refine Detection).

Heat mediated antigen retrieval was performed with Tris-EDTA buffer (pH 9.0, Epitope Retrieval Solution2) for 20 mins

Immunohistochemistry (Formalin/PFA-fixed paraffin-embedded sections) - Anti-ZIP8/SLC39A8 antibody [EPR29194-220] (AB325498)
  • IHC-P

Lab

Immunohistochemistry (Formalin/PFA-fixed paraffin-embedded sections) - Anti-ZIP8/SLC39A8 antibody [EPR29194-220] (AB325498)

Immunohistochemical analysis of paraffin-embedded Human lung tissue labeling ZIP8/SLC39A8 with ab325498 at 1/100 (5.08 µg/ml) dilution, followed by a ready to use LeicaDS9800 (Bond™ Polymer Refine Detection).

Positive staining on human lung.

The primary antibody was incubated for 30 mins at room temperature.

The immunostaining was performed on a Leica Biosystems BOND® RX instrument

Counterstained with Hematoxylin.

Secondary antibody only control : Secondary antibody is a ready to use LeicaDS9800 (Bond™ Polymer Refine Detection).

Heat mediated antigen retrieval was performed with Tris-EDTA buffer (pH 9.0, Epitope Retrieval Solution2) for 20 mins

Immunohistochemistry (Formalin/PFA-fixed paraffin-embedded sections) - Anti-ZIP8/SLC39A8 antibody [EPR29194-220] (AB325498)
  • IHC-P

Lab

Immunohistochemistry (Formalin/PFA-fixed paraffin-embedded sections) - Anti-ZIP8/SLC39A8 antibody [EPR29194-220] (AB325498)

Immunohistochemical analysis of paraffin-embedded Human skeletal muscle tissue labeling ZIP8/SLC39A8 with ab325498 at 1/100 (5.08 µg/ml) dilution, followed by a ready to use LeicaDS9800 (Bond™ Polymer Refine Detection).

Low expression : nearly no staining on human skeletal muscle.

The primary antibody was incubated for 30 mins at room temperature.

The immunostaining was performed on a Leica Biosystems BOND® RX instrument

Counterstained with Hematoxylin.

Secondary antibody only control : Secondary antibody is a ready to use LeicaDS9800 (Bond™ Polymer Refine Detection).

Heat mediated antigen retrieval was performed with Tris-EDTA buffer (pH 9.0, Epitope Retrieval Solution2) for 20 mins

Western blot - Anti-ZIP8/SLC39A8 antibody [EPR29194-220] (AB325498)
  • WB

Lab

Western blot - Anti-ZIP8/SLC39A8 antibody [EPR29194-220] (AB325498)

Blocking and diluting buffer and concentration : 5% NFDM/TBST.

Low expression : skeletal muscle (PMID : 12504855).

In Western blot, Anti-GAPDH antibody [EPR16891] - Loading Control (ab181602) (1 : 200000) (36KDa).

All lanes:

Western blot - Anti-ZIP8/SLC39A8 antibody [EPR29194-220] (ab325498) at 1/1000 dilution

Lane 1:

Human lung tissue lysate at 80 µg

Lane 2:

Human skeletal muscle tissue lysate at 80 µg

Secondary

All lanes:

Goat Anti-Rabbit IgG (HRP) with minimal cross-reactivity with human IgG at 1/2000 dilution

Observed band size: 150 kDa,36 kDa

false

Exposure time: 180s

Western blot - Anti-ZIP8/SLC39A8 antibody [EPR29194-220] (AB325498)
  • WB

Lab

Western blot - Anti-ZIP8/SLC39A8 antibody [EPR29194-220] (AB325498)

Blocking and diluting buffer and concentration : 5% NFDM/TBST.

In Western blot, ab325498 was shown to bind specifically to ZIP8/SLC39A8. Target of interest was observed at 150 kDa in wild-type HCT 166 cell lysates (lane 4) with no signal observed at this size in SLC39A8 knockout cell line (lane 5). The lysates were kindly provided by the collaborator.

The expression profile/ molecular weight observed is consistent with what has been described in the literature (PMID : 31261654).

In Western blot, Anti-GAPDH antibody [EPR16891] - Loading Control (ab181602) (1 : 200000) (36KDa).

All lanes:

Western blot - Anti-ZIP8/SLC39A8 antibody [EPR29194-220] (ab325498) at 1/1000 dilution

Lane 1:

PC-3 (human prostate adenocarcinoma epithelial cell) whole cell lysate at 80 µg

Lane 2:

HEK-293 (human embryonic kidney epithelial cell) whole cell lysate at 80 µg

Lane 3:

U-937 (human histiocytic lymphoma monocyte) whole cell lysate at 80 µg

Lane 4:

Wilde-type HCT 116 (human colorectal carcinoma epithelial cell) whole cell lysate at 80 µg

Lane 5:

SLC39A8 knockout HCT 116 whole cell lysate at 80 µg

Secondary

All lanes:

Western blot - Goat Anti-Rabbit IgG H&L (HRP) (<a href='/en-us/products/secondary-antibodies/goat-rabbit-igg-h-l-hrp-ab97051'>ab97051</a>) at 1/20000 dilution

Observed band size: 50 kDa,150 kDa,36 kDa

false

Exposure time: 180s

Key facts

Host species

Rabbit

Clonality

Monoclonal

Clone number

EPR29194-220

Isotype

IgG

Carrier free

No

Reacts with

Human

Applications

WB, IHC-P

applications

Immunogen

The exact immunogen used to generate this antibody is proprietary information.

Reactivity data

{ "title": "Reactivity Data", "filters": { "stats": ["", "Species", "Dilution Info", "Notes"], "tabs": { "all-applications": {"fullname" : "All Applications", "shortname": "All Applications"}, "IHCP" : {"fullname" : "Immunohistochemistry (Formalin/PFA-fixed paraffin-embedded sections)", "shortname":"IHC-P"}, "WB" : {"fullname" : "Western blot", "shortname":"WB"}, "ICCIF" : {"fullname" : "Immunocytochemistry/ Immunofluorescence", "shortname":"ICC/IF"} }, "product-promise": { "all": "all", "testedAndGuaranteed": "tested", "guaranteed": "expected", "predicted": "predicted", "notRecommended": "not-recommended" } }, "values": { "Human": { "IHCP-species-checked": "testedAndGuaranteed", "IHCP-species-dilution-info": "1/100", "IHCP-species-notes": "<p></p> Perform heat-mediated antigen retrieval with Tris/EDTA buffer pH 9.0 before commencing with IHC staining protocol.", "WB-species-checked": "testedAndGuaranteed", "WB-species-dilution-info": "1/1000", "WB-species-notes": "<p></p>", "ICCIF-species-checked": "notRecommended", "ICCIF-species-dilution-info": "", "ICCIF-species-notes": "<p></p>" }, "Mouse": { "IHCP-species-checked": "notRecommended", "IHCP-species-dilution-info": "", "IHCP-species-notes": "<p></p>", "WB-species-checked": "notRecommended", "WB-species-dilution-info": "", "WB-species-notes": "<p></p>", "ICCIF-species-checked": "notRecommended", "ICCIF-species-dilution-info": "", "ICCIF-species-notes": "<p></p>" }, "Rat": { "IHCP-species-checked": "notRecommended", "IHCP-species-dilution-info": "", "IHCP-species-notes": "<p></p>", "WB-species-checked": "notRecommended", "WB-species-dilution-info": "", "WB-species-notes": "<p></p>", "ICCIF-species-checked": "notRecommended", "ICCIF-species-dilution-info": "", "ICCIF-species-notes": "<p></p>" } } }

Product details

Patented technology
Our RabMAb® technology is a patented hybridoma-based technology for making rabbit monoclonal antibodies. For details on our patents, please refer to RabMAb® patents.

What are the advantages of a recombinant monoclonal antibody?
This product is a recombinant monoclonal antibody, which offers several advantages including:

  • - High batch-to-batch consistency and reproducibility
  • - Improved sensitivity and specificity
  • - Long-term security of supply
  • - Animal-free batch production

For more information, read more on recombinant antibodies.

Properties and storage information

Form
Liquid
Purification technique
Affinity purification Protein A
Storage buffer
pH: 7.2 - 7.4 Preservative: 0.01% Sodium azide Constituents: PBS, 40% Glycerol (glycerin, glycerine), 0.05% BSA
Shipped at conditions
Blue Ice
Appropriate short-term storage duration
1-2 weeks
Appropriate short-term storage conditions
+4°C
Appropriate long-term storage conditions
-20°C
Aliquoting information
Upon delivery aliquot
Storage information
Avoid freeze / thaw cycle

Product protocols

For this product, it's our understanding that no specific protocols are required. You can visit:

Target data

Electroneutral divalent metal cation:bicarbonate symporter of the plasma membrane mediating the cellular uptake of zinc and manganese, two divalent metal cations important for development, tissue homeostasis and immunity (PubMed:12504855, PubMed:22898811, PubMed:23403290, PubMed:26637978, PubMed:29337306, PubMed:29453449). Transports an electroneutral complex composed of a divalent metal cation and two bicarbonate anions or alternatively a bicarbonate and a selenite anion (PubMed:27166256, PubMed:31699897). Thereby, it also contributes to the cellular uptake of selenium, an essential trace metal and micronutrient (PubMed:27166256). Also imports cadmium a non-essential metal which is cytotoxic and carcinogenic (PubMed:27466201). May also transport iron and cobalt through membranes (PubMed:22898811). Through zinc import, indirectly regulates the metal-dependent transcription factor MTF1 and the expression of some metalloproteases involved in cartilage catabolism and also probably heart development (PubMed:29337306). Also indirectly regulates the expression of proteins involved in cell morphology and cytoskeleton organization (PubMed:29927450). Indirectly controls innate immune function and inflammatory response by regulating zinc cellular uptake which in turn modulates the expression of genes specific of these processes (PubMed:23403290, PubMed:28056086). Protects, for instance, cells from injury and death at the onset of inflammation (PubMed:18390834). By regulating zinc influx into monocytes also directly modulates their adhesion to endothelial cells and arteries (By similarity). Reclaims manganese from the bile at the apical membrane of hepatocytes, thereby regulating the activity of the manganese-dependent enzymes through the systemic levels of the nutrient (PubMed:28481222). Also participates in manganese reabsorption in the proximal tubule of the kidney (PubMed:26637978). By mediating the extracellular uptake of manganese by cells of the blood-brain barrier, may also play a role in the transport of the micronutrient to the brain (PubMed:26637978, PubMed:31699897). With manganese cellular uptake also participates in mitochondrial proper function (PubMed:29453449). Finally, also probably functions intracellularly, translocating zinc from lysosome to cytosol to indirectly enhance the expression of specific genes during TCR-mediated T cell activation (PubMed:19401385).

Product promise

We are committed to supporting your work with high-quality reagents, and we're here for you every step of the way. In the unlikely event that one of our products does not perform as expected, you're protected by our Product Promise.
For full details, please see our Terms & Conditions

Please note: All products are 'FOR RESEARCH USE ONLY. NOT FOR USE IN DIAGNOSTIC OR THERAPEUTIC PROCEDURES'.

For licensing inquiries, please contact partnerships@abcam.com