JavaScript is disabled in your browser. Please enable JavaScript to view this website.
AB201452

Anti-ZMYND8 antibody [EPR16924]

Be the first to review this product! Submit a review

|

(1 Publication)

Rabbit Recombinant Monoclonal ZMYND8 antibody. Suitable for WB, ICC/IF, Flow Cyt (Intra), IHC-P and reacts with Human samples. Cited in 1 publication.

View Alternative Names

KIAA1125, PRKCBP1, RACK7, ZMYND8, MYND-type zinc finger-containing chromatin reader ZMYND8, Cutaneous T-cell lymphoma-associated antigen se14-3, Protein kinase C-binding protein 1, Rack7, Transcription coregulator ZMYND8, Zinc finger MYND domain-containing protein 8, CTCL-associated antigen se14-3

6 Images
Immunohistochemistry (Formalin/PFA-fixed paraffin-embedded sections) - Anti-ZMYND8 antibody [EPR16924] (AB201452)
  • IHC-P

Supplier Data

Immunohistochemistry (Formalin/PFA-fixed paraffin-embedded sections) - Anti-ZMYND8 antibody [EPR16924] (AB201452)

Immunohistochemical analysis of paraffin-embedded Human pancreas tissue labeling ZMYND8 using ab201452 at 1/500 dilution. A Goat Anti-Rabbit IgG H&L (HRP) (ab97051) was used as secondary at 1/500 dilution. Counterstain : Hematoxylin.
Inset image : negative control obtained using PBS instead of ab201452, and secondary antibody.
Note : Nuclear staining on Human pancreas tissue is observed.

Perform heat mediated antigen retrieval with Tris/EDTA buffer pH 9.0 before commencing with IHC staining protocol.

Immunohistochemistry (Formalin/PFA-fixed paraffin-embedded sections) - Anti-ZMYND8 antibody [EPR16924] (AB201452)
  • IHC-P

Supplier Data

Immunohistochemistry (Formalin/PFA-fixed paraffin-embedded sections) - Anti-ZMYND8 antibody [EPR16924] (AB201452)

Immunohistochemical analysis of paraffin-embedded Human cerebral cortex tissue labeling ZMYND8 using ab201452 at 1/500 dilution. A Goat Anti-Rabbit IgG H&L (HRP) (ab97051) was used as secondary at 1/500 dilution. Counterstain : Hematoxylin.
Inset image : negative control obtained using PBS instead of ab201452, and secondary antibody.
Note : Nuclear staining on Human cerebral cortex tissue was observed.

Perform heat mediated antigen retrieval with Tris/EDTA buffer pH 9.0 before commencing with IHC staining protocol.

Immunohistochemistry (Formalin/PFA-fixed paraffin-embedded sections) - Anti-ZMYND8 antibody [EPR16924] (AB201452)
  • IHC-P

Supplier Data

Immunohistochemistry (Formalin/PFA-fixed paraffin-embedded sections) - Anti-ZMYND8 antibody [EPR16924] (AB201452)

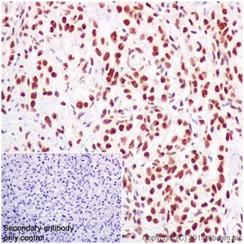
Immunohistochemical analysis of paraffin-embedded human cervix carcinoma tissue labeling ZMYND8 using ab201452 at 1/500 dilution. A Goat Anti-Rabbit IgG H&L (HRP) (ab97051) was used as secondary at 1/500 dilution. Counterstain : Hematoxylin.
Inset image : Negative control obtained using PBS instead of ab201452, and secondary antibody.
Note : Nuclear staining on human cervix carcinoma tissue is observed.

Perform heat mediated antigen retrieval with Tris/EDTA buffer pH 9.0 before commencing with IHC staining protocol.

Immunocytochemistry/ Immunofluorescence - Anti-ZMYND8 antibody [EPR16924] (AB201452)
  • ICC/IF

Supplier Data

Immunocytochemistry/ Immunofluorescence - Anti-ZMYND8 antibody [EPR16924] (AB201452)

Immunofluorescent analysis of 4% paraformaldehyde-fixed, 0.1% Triton X-100 permeabilized HEK293 (Human epithelial cells from embryonic kidney) cells labeling ZMYND8 with ab201452 at 1/500 dilution, followed by Goat anti-rabbit IgG (Alexa Fluor® 488) (ab150077) secondary antibody at 1/500 dilution (green).

Confocal image showing nuclear staining on HEK293 cell line.

The nuclear counter stain is DAPI (blue). Tubulin is detected with ab7291 (anti-Tubulin mouse mAb) at 1/1000 dilution and ab150120 (AlexaFluor®594 Goat anti-Mouse secondary) at 1/500 dilution (red).
The negative controls are as follows :
1. ab201452 at 1/500 dilution followed by ab150120 (AlexaFluor®594 Goat anti-Mouse secondary) at 1/500 dilution.
2. ab7291 (anti-Tubulin mouse mAb) at 1/1000 dilution followed by ab150077 (Alexa Fluor®488 Goat Anti-Rabbit IgG H&L) at 1/500 dilution.

Flow Cytometry (Intracellular) - Anti-ZMYND8 antibody [EPR16924] (AB201452)
  • Flow Cyt (Intra)

Supplier Data

Flow Cytometry (Intracellular) - Anti-ZMYND8 antibody [EPR16924] (AB201452)

Intracellular Flow Cytometry analysis of HEK293 (Human epithelial cells from embryonic kidney) cells labeling ZMYND8 using ab201452 at 1/150 dilution (Red). A Goat anti rabbit IgG (FITC) at 1/150 dilution was used as secondary antibody. Cells were fixed with 2% paraformaldehyde. Cells without incubation with primary antibody and secondary antibody (Blue). Rabbit monoclonal IgG was used as isotype control (Black).

Western blot - Anti-ZMYND8 antibody [EPR16924] (AB201452)
  • WB

Supplier Data

Western blot - Anti-ZMYND8 antibody [EPR16924] (AB201452)

5% NFDM/TBST : Blocking and diluting buffer.

All lanes:

Western blot - Anti-ZMYND8 antibody [EPR16924] (ab201452) at 1/1000 dilution

Lane 1:

HEK293 (Human epithelial cells from embryonic kidney) whole cell lysate at 20 µg

Lane 2:

Jurkat (Human T cell leukemia cells from peripheral blood) whole cell lysate at 20 µg

Lane 3:

Human fetal kidney lysate at 20 µg

Secondary

All lanes:

Goat Anti-Rabbit IgG, (H+L), Peroxidase conjugated at 1/1000 dilution

Predicted band size: 132 kDa

Observed band size: 132 kDa

false

Exposure time: 3min

  • Carrier free

    Anti-ZMYND8 antibody [EPR16924] - BSA and Azide free

Key facts

Host species

Rabbit

Clonality

Monoclonal

Clone number

EPR16924

Isotype

IgG

Carrier free

No

Reacts with

Human

Applications

WB, Flow Cyt (Intra), IHC-P, ICC/IF

applications

Immunogen

The exact immunogen used to generate this antibody is proprietary information.

Reactivity data

{ "title": "Reactivity Data", "filters": { "stats": ["", "Species", "Dilution Info", "Notes"], "tabs": { "all-applications": {"fullname" : "All Applications", "shortname": "All Applications"}, "WB" : {"fullname" : "Western blot", "shortname":"WB"}, "ICCIF" : {"fullname" : "Immunocytochemistry/ Immunofluorescence", "shortname":"ICC/IF"}, "FlowCytIntra" : {"fullname" : "Flow Cytometry (Intracellular)", "shortname":"Flow Cyt (Intra)"}, "IHCP" : {"fullname" : "Immunohistochemistry (Formalin/PFA-fixed paraffin-embedded sections)", "shortname":"IHC-P"} }, "product-promise": { "all": "all", "testedAndGuaranteed": "tested", "guaranteed": "expected", "predicted": "predicted", "notRecommended": "not-recommended" } }, "values": { "Human": { "WB-species-checked": "testedAndGuaranteed", "WB-species-dilution-info": "1/1000", "WB-species-notes": "<p></p>", "ICCIF-species-checked": "testedAndGuaranteed", "ICCIF-species-dilution-info": "1/500", "ICCIF-species-notes": "<p></p>", "FlowCytIntra-species-checked": "testedAndGuaranteed", "FlowCytIntra-species-dilution-info": "1/150", "FlowCytIntra-species-notes": "<p></p>", "IHCP-species-checked": "testedAndGuaranteed", "IHCP-species-dilution-info": "1/500", "IHCP-species-notes": "<p></p> Perform heat-mediated antigen retrieval with Tris/EDTA buffer pH 9.0 before commencing with IHC staining protocol." } } }

Product details

Patented technology
Our RabMAb® technology is a patented hybridoma-based technology for making rabbit monoclonal antibodies. For details on our patents, please refer to RabMAb® patents.

What are the advantages of a recombinant monoclonal antibody?
This product is a recombinant monoclonal antibody, which offers several advantages including:

  • - High batch-to-batch consistency and reproducibility
  • - Improved sensitivity and specificity
  • - Long-term security of supply
  • - Animal-free batch production

For more information, read more on recombinant antibodies.

Properties and storage information

Form
Liquid
Purification technique
Affinity purification Protein A
Storage buffer
pH: 7.2 - 7.4 Preservative: 0.01% Sodium azide Constituents: PBS, 40% Glycerol (glycerin, glycerine), 0.05% BSA
Shipped at conditions
Blue Ice
Appropriate short-term storage duration
1-2 weeks
Appropriate short-term storage conditions
+4°C
Appropriate long-term storage conditions
-20°C
Aliquoting information
Upon delivery aliquot
Storage information
Avoid freeze / thaw cycle

Supplementary information

This supplementary information is collated from multiple sources and compiled automatically.

ZMYND8 also known by its alternate names such as RACK7 and PRKCBP1 acts as a transcriptional regulator that interacts with histone motifs. It functions as a chromatin reader with a molecular mass of approximately 135 kDa. ZMYND8 shows expression in various tissues and researchers have observed particularly high levels in the brain and kidneys. Its role centers on modulating gene expression by reading post-translational modifications on histone tails influencing gene silencing.
Biological function summary

In its role as a critical transcriptional regulator ZMYND8 participates in controlling the expression of genes involved in cellular differentiation and proliferation. ZMYND8 often associates with the NURD complex a multi-protein complex that functions in chromatin remodeling and transcription repression. As a member of this complex ZMYND8 contributes to the modulation of DNA accessibility affecting how transcription factors and other proteins engage with DNA.

Pathways

Researchers recognize ZMYND8's involvement in the DNA damage response pathway and the Wnt signaling pathway. It interacts with proteins such as BRCA1 an important player in genome stability within the DNA damage response pathway. In the context of Wnt signaling ZMYND8 modulates gene expression linked to cell fate decisions. Its role within these pathways highlights its importance in maintaining cellular function and response to cellular stress.

Mutations or dysregulation of ZMYND8 have associations with certain cancers such as breast cancer and neurodevelopmental disorders. In breast cancer ZMYND8's ability to influence chromatin structure and gene expression often becomes compromised affecting cellular proliferation and tumor progression. Additionally it may interact with proteins like BRCA1 known for its role in breast cancer susceptibility. Regarding neurodevelopmental disorders altered ZMYND8 expression impacts normal brain development and function linking it with disorders that affect neural function and cognition.

Product protocols

For this product, it's our understanding that no specific protocols are required. You can visit:

Target data

Chromatin reader that recognizes dual histone modifications such as histone H3.1 dimethylated at 'Lys-36' and histone H4 acetylated at 'Lys-16' (H3.1K36me2-H4K16ac) and histone H3 methylated at 'Lys-4' and histone H4 acetylated at 'Lys-14' (H3K4me1-H3K14ac) (PubMed : 26655721, PubMed : 27477906, PubMed : 31965980, PubMed : 36064715). May act as a transcriptional corepressor for KDM5D by recognizing the dual histone signature H3K4me1-H3K14ac (PubMed : 27477906). May also act as a transcriptional corepressor for KDM5C and EZH2 (PubMed : 33323928). Recognizes acetylated histone H4 and recruits the NuRD chromatin remodeling complex to damaged chromatin for transcriptional repression and double-strand break repair by homologous recombination (PubMed : 25593309, PubMed : 27732854, PubMed : 30134174). Also activates transcription elongation by RNA polymerase II through recruiting the P-TEFb complex to target promoters (PubMed : 26655721, PubMed : 30134174). Localizes to H3.1K36me2-H4K16ac marks at all-trans-retinoic acid (ATRA)-responsive genes and positively regulates their expression (PubMed : 26655721). Promotes neuronal differentiation by associating with regulatory regions within the MAPT gene, to enhance transcription of a protein-coding MAPT isoform and suppress the non-coding MAPT213 isoform (PubMed : 30134174, PubMed : 35916866, PubMed : 36064715). Suppresses breast cancer, and prostate cancer cell invasion and metastasis (PubMed : 27477906, PubMed : 31965980, PubMed : 33323928).
See full target information ZMYND8

Publications (1)

Recent publications for all applications. Explore the full list and refine your search

The Journal of biological chemistry 300:107958 PubMed39510176

2024

STAG2 promotes naive-primed transition via activating Lin28a transcription in mouse embryonic stem cells.

Applications

Unspecified application

Species

Unspecified reactive species

Bo Chen,Mingkang Jia,Gan Zhao,Yumin Liu,Yihong Song,Mengjie Sun,Wangfei Chi,Xiangyang Wang,Qing Jiang,Guangwei Xin,Chuanmao Zhang
View all publications

Product promise

We are committed to supporting your work with high-quality reagents, and we're here for you every step of the way. In the unlikely event that one of our products does not perform as expected, you're protected by our Product Promise.
For full details, please see our Terms & Conditions

Please note: All products are 'FOR RESEARCH USE ONLY. NOT FOR USE IN DIAGNOSTIC OR THERAPEUTIC PROCEDURES'.

For licensing inquiries, please contact partnerships@abcam.com