JavaScript is disabled in your browser. Please enable JavaScript to view this website.
AB214186

Anti-ZNF312/FEZF2 antibody

Be the first to review this product! Submit a review

|

(2 Publications)

Rabbit Polyclonal ZNF312/FEZF2 antibody. Suitable for IHC-P and reacts with Rat samples. Cited in 2 publications. Immunogen corresponding to Synthetic Peptide within Human FEZF2 aa 1-50 conjugated to Keyhole Limpet Haemocyanin.

View Alternative Names

FEZL, ZNF312, FKSG36, FEZF2, Fez family zinc finger protein 2, Forebrain embryonic zinc finger-like protein 2, Zinc finger protein 312, Zinc finger protein Fez-like

1 Images
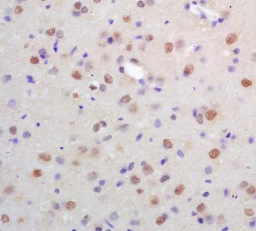
Immunohistochemistry (Formalin/PFA-fixed paraffin-embedded sections) - Anti-ZNF312/FEZF2 antibody (AB214186)
  • IHC-P

Supplier Data

Immunohistochemistry (Formalin/PFA-fixed paraffin-embedded sections) - Anti-ZNF312/FEZF2 antibody (AB214186)

Immunohistochemical analysis of formalin fixed, paraffin-embedded rat brain tissue sections labeling ZNF312/FEZF2 using ab214186 at a 1/200 dilution. DAB staining.

Key facts

Host species

Rabbit

Clonality

Polyclonal

Isotype

IgG

Carrier free

No

Reacts with

Rat

Applications

IHC-P

applications

Immunogen

Synthetic Peptide within Human FEZF2 aa 1-50 conjugated to Keyhole Limpet Haemocyanin. The exact immunogen used to generate this antibody is proprietary information.

Q8TBJ5

Reactivity data

{ "title": "Reactivity Data", "filters": { "stats": ["", "Species", "Dilution Info", "Notes"], "tabs": { "all-applications": {"fullname" : "All Applications", "shortname": "All Applications"}, "IHCP" : {"fullname" : "Immunohistochemistry (Formalin/PFA-fixed paraffin-embedded sections)", "shortname":"IHC-P"} }, "product-promise": { "all": "all", "testedAndGuaranteed": "tested", "guaranteed": "expected", "predicted": "predicted", "notRecommended": "not-recommended" } }, "values": { "Human": { "IHCP-species-checked": "predicted", "IHCP-species-dilution-info": "", "IHCP-species-notes": "" }, "Mouse": { "IHCP-species-checked": "predicted", "IHCP-species-dilution-info": "", "IHCP-species-notes": "" }, "Rat": { "IHCP-species-checked": "testedAndGuaranteed", "IHCP-species-dilution-info": "1/100 - 1/500", "IHCP-species-notes": "<p></p>" } } }

Properties and storage information

Form
Liquid
Purification technique
Affinity purification Protein A
Storage buffer
pH: 7.2 - 7.6 Preservative: 0.09% Sodium azide Constituents: 50% Glycerol (glycerin, glycerine), 1% BSA
Shipped at conditions
Blue Ice
Appropriate short-term storage duration
1-2 weeks
Appropriate short-term storage conditions
+4°C
Appropriate long-term storage conditions
-20°C
Aliquoting information
Upon delivery aliquot
Storage information
Avoid freeze / thaw cycle

Supplementary information

This supplementary information is collated from multiple sources and compiled automatically.

ZNF312 also known as FEZF2 (Forebrain Embryonic Zinc Finger-Like Protein 2) is a transcription factor with a mass of approximately 68 kDa. This protein features zinc finger motifs that interact with specific DNA sequences. ZNF312/FEZF2 promotes transcriptional regulation by binding to DNA and influencing gene expression. Researchers have observed expression of this protein mainly in the brain especially in the cerebral cortex of humans and other mammals where it plays an important role in neural development.
Biological function summary

ZNF312/FEZF2 regulates important neuronal differentiation processes. It is part of a transcriptional network that influences cell fate decisions in cortical progenitors. ZNF312/FEZF2 acts as a transcriptional repressor and works in synergy with other transcription factors and co-factors although not a direct part of a stable complex. This regulation supports the proper development of the frontal cortex impacting motor neuron identity and connectivity.

Pathways

ZNF312/FEZF2 fits into pathways such as the Wnt signaling pathway and the Notch signaling cascade which control neurodevelopment and neuronal patterning. ZNF312/FEZF2 interacts with paths involving other proteins like TCF4 and Delta-like ligands coordinating the balance between neural progenitor proliferation and differentiation. This orchestrates the spatial and temporal sequences of cortical neuron generation impacting neuronal network formation.

ZNF312/FEZF2 relates to neurodevelopmental disorders such as autism spectrum disorder and schizophrenia. Altered expression or mutations of FEZF2 can disrupt neural circuit formation affecting mental processes and behavior. FEZF2 ties to other proteins like Disrupted-in-Schizophrenia 1 (DISC1) with evidence that mutations or dysfunctional interactions impact schizophrenia progression suggesting their role in neuronal tissue morphogenesis.

Product protocols

For this product, it's our understanding that no specific protocols are required. You can visit:

Target data

Transcription repressor. Required for the specification of corticospinal motor neurons and other subcerebral projection neurons. May play a role in layer and neuronal subtype-specific patterning of subcortical projections and axonal fasciculation. Controls the development of dendritic arborization and spines of large layer V pyramidal neurons. May be involved in innate immunity (By similarity).
See full target information FEZF2

Publications (2)

Recent publications for all applications. Explore the full list and refine your search

Nature neuroscience 28:949-963 PubMed40259073

2025

Integrated analysis of molecular atlases unveils modules driving developmental cell subtype specification in the human cortex.

Applications

Unspecified application

Species

Unspecified reactive species

Patricia R Nano,Elisa Fazzari,Daria Azizad,Antoni Martija,Claudia V Nguyen,Sean Wang,Vanna Giang,Ryan L Kan,Juyoun Yoo,Brittney Wick,Maximilian Haeussler,Aparna Bhaduri

Laboratory investigation; a journal of technical m 98:1225-1236 PubMed29925938

2018

Loss of Fezf2 promotes malignant progression of bladder cancer by regulating the NF-κB signaling pathway.

Applications

Unspecified application

Species

Unspecified reactive species

Zhaohui Chen,Lijie Zhou,Xuehan Liu,Longwang Wang,Gallina Kazobinka,Xiaoping Zhang,Teng Hou
View all publications

Product promise

We are committed to supporting your work with high-quality reagents, and we're here for you every step of the way. In the unlikely event that one of our products does not perform as expected, you're protected by our Product Promise.
For full details, please see our Terms & Conditions

Please note: All products are 'FOR RESEARCH USE ONLY. NOT FOR USE IN DIAGNOSTIC OR THERAPEUTIC PROCEDURES'.

For licensing inquiries, please contact partnerships@abcam.com