JavaScript is disabled in your browser. Please enable JavaScript to view this website.
AB121486

Anti-ZNF516 antibody

0

(1 Review)

|

(2 Publications)

Rabbit Polyclonal ZNF516 antibody. Suitable for IHC-P, ICC/IF and reacts with Human samples. Cited in 2 publications. Immunogen corresponding to Recombinant Fragment Protein within Human ZNF516 aa 600-750.

View Alternative Names

KIAA0222, ZNF516, Zinc finger protein 516

2 Images
Immunocytochemistry/ Immunofluorescence - Anti-ZNF516 antibody (AB121486)
  • ICC/IF

Unknown

Immunocytochemistry/ Immunofluorescence - Anti-ZNF516 antibody (AB121486)

Immunofluorescent staining of Human cell line U-251MG shows positivity in nucleus but not nucleoli and cytoplasm. Recommended concentration of ab121486 1-4 µg/ml. Cells treated with PFA/Triton X-100.

Immunohistochemistry (Formalin/PFA-fixed paraffin-embedded sections) - Anti-ZNF516 antibody (AB121486)
  • IHC-P

Unknown

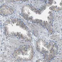
Immunohistochemistry (Formalin/PFA-fixed paraffin-embedded sections) - Anti-ZNF516 antibody (AB121486)

ab121486, at 1/60 dilution, staining ZNF516 in paraffin-embedded Human prostate tissue by Immunohistochemistry, showing granular cytoplasmic positivity in glandular cells.

Key facts

Host species

Rabbit

Clonality

Polyclonal

Isotype

IgG

Carrier free

No

Reacts with

Human

Applications

ICC/IF, IHC-P

applications

Immunogen

Recombinant Fragment Protein within Human ZNF516 aa 600-750. The exact immunogen used to generate this antibody is proprietary information.

Q92618

Reactivity data

{ "title": "Reactivity Data", "filters": { "stats": ["", "Species", "Dilution Info", "Notes"], "tabs": { "all-applications": {"fullname" : "All Applications", "shortname": "All Applications"}, "IHCP" : {"fullname" : "Immunohistochemistry (Formalin/PFA-fixed paraffin-embedded sections)", "shortname":"IHC-P"}, "ICCIF" : {"fullname" : "Immunocytochemistry/ Immunofluorescence", "shortname":"ICC/IF"} }, "product-promise": { "all": "all", "testedAndGuaranteed": "tested", "guaranteed": "expected", "predicted": "predicted", "notRecommended": "not-recommended" } }, "values": { "Human": { "IHCP-species-checked": "testedAndGuaranteed", "IHCP-species-dilution-info": "1/50 - 1/200", "IHCP-species-notes": "<p></p> Perform heat-mediated antigen retrieval with citrate buffer pH 6 before commencing with IHC staining protocol.", "ICCIF-species-checked": "testedAndGuaranteed", "ICCIF-species-dilution-info": "0.25-2 µg/mL", "ICCIF-species-notes": "<p></p>" } } }

Properties and storage information

Form
Liquid
Purification technique
Affinity purification Immunogen
Storage buffer
pH: 7.2 Preservative: 0.02% Sodium azide Constituents: PBS, 40% Glycerol (glycerin, glycerine)
Shipped at conditions
Blue Ice
Appropriate short-term storage conditions
+4°C
Appropriate long-term storage conditions
-20°C
Aliquoting information
Upon delivery aliquot
Storage information
Avoid freeze / thaw cycle

Supplementary information

This supplementary information is collated from multiple sources and compiled automatically.

ZNF516 also known as zinc finger protein 516 is a transcription factor with a molecular weight of approximately 122 kDa. It contains zinc finger motifs that allow it to bind DNA and regulate transcription. ZNF516 expresses widely in human tissues with notable presence in the brain heart and skeletal muscle. Its expression levels suggest its involvement in various cellular processes across different tissue types.
Biological function summary

The zinc finger protein 516 plays a significant role in transcriptional regulation controlling the expression of genes involved in energy metabolism and adipogenesis. This protein acts as part of larger transcription complexes interacting with other proteins to exert its effects on target genes. Proper function of ZNF516 is critical for maintaining cellular energy balance and processes related to fat cell development.

Pathways

Zinc finger protein 516 integrates into the pathways regulating energy metabolism and adipocyte differentiation. It heavily influences the PPARγ pathway essential for fat storage and adipocyte maturation. ZNF516 also interacts with other transcription factors like C/EBPα highlighting its role in adipogenic differentiation and energy homeostasis. Its regulatory actions align it with other key metabolic pathways in the body.

Improper function or expression of ZNF516 may contribute to metabolic disorders such as obesity and type 2 diabetes. Abnormalities in the regulation of this protein could disrupt the balance of energy storage and utilization leading to metabolic dysfunction. ZNF516's interaction with proteins like PPARγ known for its role in metabolic syndrome highlights its potential impact on these conditions. Understanding these connections might offer new therapeutic insights into treating metabolic diseases.

Product protocols

For this product, it's our understanding that no specific protocols are required. You can visit:

Target data

Transcriptional regulator that binds to the promoter and activates the transcription of genes promoting brown adipose tissue (BAT) differentiation. Among brown adipose tissue-specific genes, binds the proximal region of the promoter of the UCP1 gene to activate its transcription and thereby regulate thermogenesis (By similarity). May also play a role in the cellular response to replication stress (PubMed : 23446422).
See full target information ZNF516

Publications (2)

Recent publications for all applications. Explore the full list and refine your search

American journal of cancer research 12:3745-3759 PubMed36119845

2022

ZNF516 suppresses stem cell-like characteristics by regulating the transcription of Sox2 in colorectal cancer.

Applications

Unspecified application

Species

Unspecified reactive species

Jifu E,Zhengchun Kang,Jie Yuan,Zhaoming Wang,Dafeng Tong,Junjie Xing

Archives of gynecology and obstetrics 299:1099-1108 PubMed30564931

2018

Loss of ZNF516 protein expression is related with HR-HPV infection and cervical preneoplastic lesions.

Applications

Unspecified application

Species

Unspecified reactive species

Carmen Ili,Jaime Lopez,Kurt Buchegger,Ismael Riquelme,Javier Retamal,Louise Zanella,Barbara Mora-Lagos,Carolina Vivallo,Juan C Roa,Priscilla Brebi
View all publications

Product promise

We are committed to supporting your work with high-quality reagents, and we're here for you every step of the way. In the unlikely event that one of our products does not perform as expected, you're protected by our Product Promise.
For full details, please see our Terms & Conditions

Please note: All products are 'FOR RESEARCH USE ONLY. NOT FOR USE IN DIAGNOSTIC OR THERAPEUTIC PROCEDURES'.

For licensing inquiries, please contact partnerships@abcam.com