JavaScript is disabled in your browser. Please enable JavaScript to view this website.
AB237486

Anti-ZNF529 antibody

Be the first to review this product! Submit a review

|

(1 Publication)

Rabbit Polyclonal ZNF529 antibody. Suitable for WB, IHC-P, ICC/IF and reacts with Human samples. Cited in 1 publication. Immunogen corresponding to Recombinant Fragment Protein within Human ZNF529 aa 350 to C-terminus.

View Alternative Names

KIAA1615, ZNF529, Zinc finger protein 529

4 Images
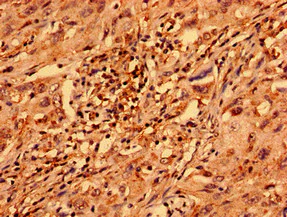
Immunohistochemistry (Formalin/PFA-fixed paraffin-embedded sections) - Anti-ZNF529 antibody (AB237486)
  • IHC-P

Supplier Data

Immunohistochemistry (Formalin/PFA-fixed paraffin-embedded sections) - Anti-ZNF529 antibody (AB237486)

Paraffin-embedded human glioma tissue stained for ZNF529 using ab237486 at 1/100 dilution in immunohistochemical analysis.

Western blot - Anti-ZNF529 antibody (AB237486)
  • WB

Supplier Data

Western blot - Anti-ZNF529 antibody (AB237486)

All lanes:

Western blot - Anti-ZNF529 antibody (ab237486) at 1/500 dilution

Lane 1:

HeLa (human epithelial cell line from cervix adenocarcinoma) whole cell lysate

Lane 2:

MCF7 (human breast adenocarcinoma cell line) whole cell lysate

Secondary

All lanes:

Goat polyclonal to Rabbit IgG at 1/10000 dilution

Predicted band size: 66 kDa

false

Immunocytochemistry/ Immunofluorescence - Anti-ZNF529 antibody (AB237486)
  • ICC/IF

Supplier Data

Immunocytochemistry/ Immunofluorescence - Anti-ZNF529 antibody (AB237486)

A549 (human lung carcinoma cell line) cells stained for ZNF529 (green) using ab237486 at 1/100 dilution in ICC/IF, followed by Alexa Fluor 488-congugated Goat Anti-Rabbit IgG (H+L) secondary antibody.

Immunohistochemistry (Formalin/PFA-fixed paraffin-embedded sections) - Anti-ZNF529 antibody (AB237486)
  • IHC-P

Supplier Data

Immunohistochemistry (Formalin/PFA-fixed paraffin-embedded sections) - Anti-ZNF529 antibody (AB237486)

Paraffin-embedded human lung cancer tissue stained for ZNF529 using ab237486 at 1/100 dilution in immunohistochemical analysis.

Key facts

Host species

Rabbit

Clonality

Polyclonal

Isotype

IgG

Carrier free

No

Reacts with

Human

Applications

IHC-P, ICC/IF, WB

applications

Immunogen

Recombinant Fragment Protein within Human ZNF529 aa 350 to C-terminus. The exact immunogen used to generate this antibody is proprietary information.

Q6P280

Reactivity data

{ "title": "Reactivity Data", "filters": { "stats": ["", "Species", "Dilution Info", "Notes"], "tabs": { "all-applications": {"fullname" : "All Applications", "shortname": "All Applications"}, "WB" : {"fullname" : "Western blot", "shortname":"WB"}, "IHCP" : {"fullname" : "Immunohistochemistry (Formalin/PFA-fixed paraffin-embedded sections)", "shortname":"IHC-P"}, "ICCIF" : {"fullname" : "Immunocytochemistry/ Immunofluorescence", "shortname":"ICC/IF"} }, "product-promise": { "all": "all", "testedAndGuaranteed": "tested", "guaranteed": "expected", "predicted": "predicted", "notRecommended": "not-recommended" } }, "values": { "Human": { "WB-species-checked": "testedAndGuaranteed", "WB-species-dilution-info": "1/500 - 1/5000", "WB-species-notes": "<p></p>", "IHCP-species-checked": "testedAndGuaranteed", "IHCP-species-dilution-info": "1/20 - 1/200", "IHCP-species-notes": "<p></p>", "ICCIF-species-checked": "testedAndGuaranteed", "ICCIF-species-dilution-info": "1/50 - 1/200", "ICCIF-species-notes": "<p></p>" } } }

Properties and storage information

Form
Liquid
Purification technique
Affinity purification Protein G
Purification notes
Purity greater than 95%.
Storage buffer
pH: 7.4 Preservative: 0.03% Proclin 300 Constituents: PBS, 50% Glycerol (glycerin, glycerine)
Shipped at conditions
Blue Ice
Appropriate short-term storage duration
1-2 weeks
Appropriate short-term storage conditions
+4°C
Appropriate long-term storage conditions
-20°C
Aliquoting information
Upon delivery aliquot
Storage information
Avoid freeze / thaw cycle

Supplementary information

This supplementary information is collated from multiple sources and compiled automatically.

ZNF529 also known as Zinc Finger Protein 529 functions as a transcription factor. Its primary role involves binding to specific DNA sequences influencing gene expression. ZNF529 has an approximate molecular weight of 79 kDa. Expression of ZNF529 occurs in several tissues with notable presence in the brain and reproductive organs. Its zinc finger motifs enable it to interact with diverse genetic elements affecting the transcriptional landscape.
Biological function summary

ZNF529 participates in regulating developmental processes and differentiation pathways. The protein acts as part of a transcriptional control complex interacting with other regulatory proteins to modulate specific gene sets. By influencing the expression of genes involved in cell growth and survival ZNF529 plays a critical role in maintaining cellular functions. Researchers have linked these interactions to processes such as neuronal development and tissue-specific gene expression.

Pathways

ZNF529 contributes to key pathways like the Wnt signaling pathway and the Notch signaling pathway. Within these pathways it interacts with significant proteins such as beta-catenin in Wnt signaling and the Notch intracellular domain in Notch signaling. These pathways are essential for processes such as embryonic development and stem cell maintenance. ZNF529 aids in the regulation and balance of these pathways highlighting its role in cellular communication and signaling networks.

Abnormal ZNF529 expression associates with neurological disorders and certain cancers. Dysregulation of ZNF529 may lead to conditions such as schizophrenia where its interplay with proteins like DISC1 has been observed. Additionally ZNF529 may contribute to tumorigenesis through interaction with cancer-associated proteins such as p53. Understanding ZNF529's involvement in these diseases could provide insights into potential therapeutic targets.

Product protocols

For this product, it's our understanding that no specific protocols are required. You can visit:

Target data

May be involved in transcriptional regulation.
See full target information ZNF529

Publications (1)

Recent publications for all applications. Explore the full list and refine your search

Cells 11: PubMed35203325

2022

Proximity Ligation Mapping of Microcephaly Associated SMPD4 Shows Association with Components of the Nuclear Pore Membrane.

Applications

Unspecified application

Species

Unspecified reactive species

Alexandra C A Piët,Marco Post,Dick Dekkers,Jeroen A A Demmers,Maarten Fornerod
View all publications

Product promise

We are committed to supporting your work with high-quality reagents, and we're here for you every step of the way. In the unlikely event that one of our products does not perform as expected, you're protected by our Product Promise.
For full details, please see our Terms & Conditions

Please note: All products are 'FOR RESEARCH USE ONLY. NOT FOR USE IN DIAGNOSTIC OR THERAPEUTIC PROCEDURES'.

For licensing inquiries, please contact partnerships@abcam.com