JavaScript is disabled in your browser. Please enable JavaScript to view this website.
AB228946

Anti-ZNF545 antibody

Be the first to review this product! Submit a review

|

(1 Publication)

Rabbit Polyclonal ZNF545 antibody. Suitable for IHC-P, ICC/IF and reacts with Mouse, Rat, Human samples. Cited in 1 publication. Immunogen corresponding to Recombinant Fragment Protein within Human ZFP82.

View Alternative Names

KIAA1948, ZNF545, ZFP82, Zinc finger protein 82 homolog, Zfp-82, Zinc finger protein 545

4 Images
Immunocytochemistry/ Immunofluorescence - Anti-ZNF545 antibody (AB228946)
  • ICC/IF

Supplier Data

Immunocytochemistry/ Immunofluorescence - Anti-ZNF545 antibody (AB228946)

SK-N-SH (human neuroblastoma cell line) cells stained for ZNF545 protein (green) using ab228946 at 1/500 dilution in ICC/IF. Cells were fixed in 4% paraformaldehyde at RT for 15 minutes.

Nuclear counterstain : Hoechst 33342 (blue).

Immunohistochemistry (Formalin/PFA-fixed paraffin-embedded sections) - Anti-ZNF545 antibody (AB228946)
  • IHC-P

Supplier Data

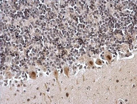
Immunohistochemistry (Formalin/PFA-fixed paraffin-embedded sections) - Anti-ZNF545 antibody (AB228946)

Paraffin-embedded rat hind brain tissue stained for ZNF545 using ab228946 at 1/1000 dilution in immunohistochemical analysis.

Immunohistochemistry (Formalin/PFA-fixed paraffin-embedded sections) - Anti-ZNF545 antibody (AB228946)
  • IHC-P

Supplier Data

Immunohistochemistry (Formalin/PFA-fixed paraffin-embedded sections) - Anti-ZNF545 antibody (AB228946)

Paraffin-embedded mouse forebrain tissue stained for ZNF545 using ab228946 at 1/1000 dilution in immunohistochemical analysis.

Immunohistochemistry (Formalin/PFA-fixed paraffin-embedded sections) - Anti-ZNF545 antibody (AB228946)
  • IHC-P

Supplier Data

Immunohistochemistry (Formalin/PFA-fixed paraffin-embedded sections) - Anti-ZNF545 antibody (AB228946)

Paraffin-embedded mouse colon tissue stained for ZNF545 using ab228946 at 1/1000 dilution in immunohistochemical analysis.

Key facts

Host species

Rabbit

Clonality

Polyclonal

Isotype

IgG

Carrier free

No

Reacts with

Mouse, Rat, Human

Applications

ICC/IF, IHC-P

applications

Immunogen

Recombinant Fragment Protein within Human ZFP82. The exact immunogen used to generate this antibody is proprietary information.

Q8N141

Reactivity data

{ "title": "Reactivity Data", "filters": { "stats": ["", "Species", "Dilution Info", "Notes"], "tabs": { "all-applications": {"fullname" : "All Applications", "shortname": "All Applications"}, "IHCP" : {"fullname" : "Immunohistochemistry (Formalin/PFA-fixed paraffin-embedded sections)", "shortname":"IHC-P"}, "ICCIF" : {"fullname" : "Immunocytochemistry/ Immunofluorescence", "shortname":"ICC/IF"} }, "product-promise": { "all": "all", "testedAndGuaranteed": "tested", "guaranteed": "expected", "predicted": "predicted", "notRecommended": "not-recommended" } }, "values": { "Human": { "IHCP-species-checked": "guaranteed", "IHCP-species-dilution-info": "", "IHCP-species-notes": "", "ICCIF-species-checked": "testedAndGuaranteed", "ICCIF-species-dilution-info": "1/100 - 1/1000", "ICCIF-species-notes": "<p></p>" }, "Mouse": { "IHCP-species-checked": "testedAndGuaranteed", "IHCP-species-dilution-info": "1/100 - 1/1000", "IHCP-species-notes": "<p></p>", "ICCIF-species-checked": "guaranteed", "ICCIF-species-dilution-info": "", "ICCIF-species-notes": "" }, "Rat": { "IHCP-species-checked": "testedAndGuaranteed", "IHCP-species-dilution-info": "1/100 - 1/1000", "IHCP-species-notes": "<p></p>", "ICCIF-species-checked": "guaranteed", "ICCIF-species-dilution-info": "", "ICCIF-species-notes": "" } } }

Properties and storage information

Form
Liquid
Purification technique
Affinity purification Immunogen
Storage buffer
pH: 7 Preservative: 0.01% Thimerosal (merthiolate) Constituents: PBS, 20% Glycerol (glycerin, glycerine)
Shipped at conditions
Blue Ice
Appropriate short-term storage duration
1-2 weeks
Appropriate short-term storage conditions
+4°C
Appropriate long-term storage conditions
-20°C
Aliquoting information
Upon delivery aliquot
Storage information
Avoid freeze / thaw cycle

Supplementary information

This supplementary information is collated from multiple sources and compiled automatically.

ZNF545 also known as Zinc Finger Protein 545 is a transcriptional repressor that plays a role in gene expression regulation. The protein has a mass of approximately 77 kDa and contains typical C2H2 zinc finger domains that facilitate DNA binding. ZNF545 expresses mainly in the nucleus of cells within several tissues including those in the digestive and reproductive systems. It acts by binding to specific DNA sequences blocking the access of transcriptional machinery and downregulating the transcription of target genes.
Biological function summary

ZNF545 involves itself in cellular growth and proliferation processes. It functions as part of a repressive complex that influences the expression of tumor suppressor genes. The complex can modify chromatin structure by recruiting histone deacetylases which contribute to gene silencing. ZNF545's activity helps balance cell cycle progression and prevent unwanted cellular growth making it a candidate for suppressing tumorigenicity within epithelial cells.

Pathways

The protein interacts notably in pathways involved in cell cycle regulation and apoptosis. ZNF545 has a role within the p53 signaling pathway a critical pathway for maintaining cellular integrity and response to DNA damage. It potentially regulates the expression of genes within this pathway by interacting with other proteins like MDM2 which in turn modulate p53 levels and activity. This interaction ensures accurate response to cellular stress or damage preventing proliferation of damaged cells.

ZNF545 has connections to various cancers particularly gastric and nasopharyngeal carcinomas. In many cases the ZNF545 gene undergoes epigenetic silencing which leads to reduced expression and loss of its tumor-suppressing function. Methylation of its promoter region associates with the dysregulation commonly observed in these cancers. ZNF545's interaction with p53 and its impact on tumorigenic pathways highlights its importance as a therapeutic target and biomarker in oncology research.

Product protocols

For this product, it's our understanding that no specific protocols are required. You can visit:

Target data

May be involved in transcriptional regulation.
See full target information ZFP82

Publications (1)

Recent publications for all applications. Explore the full list and refine your search

World journal of gastroenterology 26:3586-3602 PubMed32742128

2020

TBL1XR1 induces cell proliferation and inhibit cell apoptosis by the PI3K/AKT pathway in pancreatic ductal adenocarcinoma.

Applications

Unspecified application

Species

Unspecified reactive species

Jian-Feng Gu,Wei Fu,Hai-Xin Qian,Wen-Xiu Gu,Yang Zong,Qian Chen,Long Lu
View all publications

Product promise

We are committed to supporting your work with high-quality reagents, and we're here for you every step of the way. In the unlikely event that one of our products does not perform as expected, you're protected by our Product Promise.
For full details, please see our Terms & Conditions

Please note: All products are 'FOR RESEARCH USE ONLY. NOT FOR USE IN DIAGNOSTIC OR THERAPEUTIC PROCEDURES'.

For licensing inquiries, please contact partnerships@abcam.com