JavaScript is disabled in your browser. Please enable JavaScript to view this website.
AB121173

Anti-ZNF589 antibody

Be the first to review this product! Submit a review

|

(1 Publication)

Rabbit Polyclonal ZNF589 antibody. Suitable for IHC-P, ICC/IF and reacts with Human samples. Cited in 1 publication. Immunogen corresponding to Recombinant Fragment Protein within Human ZNF589 aa 1-200.

View Alternative Names

SZF1, ZNF589, Zinc finger protein 589, Stem cell zinc finger protein 1

2 Images
Immunocytochemistry/ Immunofluorescence - Anti-ZNF589 antibody (AB121173)
  • ICC/IF

Unknown

Immunocytochemistry/ Immunofluorescence - Anti-ZNF589 antibody (AB121173)

Immunofluorescent staining of Human cell line A-431 shows positivity in nuclei and cytoplasm. Recommended concentration of ab121173 1-4 µg/ml. Cells treated with PFA/Triton X-100.

Immunohistochemistry (Formalin/PFA-fixed paraffin-embedded sections) - Anti-ZNF589 antibody (AB121173)
  • IHC-P

Unknown

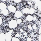
Immunohistochemistry (Formalin/PFA-fixed paraffin-embedded sections) - Anti-ZNF589 antibody (AB121173)

ab121173 at 1/100 dilution staining ZNF589 in Paraffin-emebedded Human bone marrow tissue by Immunohistochemistry.

Key facts

Host species

Rabbit

Clonality

Polyclonal

Isotype

IgG

Carrier free

No

Reacts with

Human

Applications

ICC/IF, IHC-P

applications

Immunogen

Recombinant Fragment Protein within Human ZNF589 aa 1-200. The exact immunogen used to generate this antibody is proprietary information.

Q86UQ0

Reactivity data

{ "title": "Reactivity Data", "filters": { "stats": ["", "Species", "Dilution Info", "Notes"], "tabs": { "all-applications": {"fullname" : "All Applications", "shortname": "All Applications"}, "IHCP" : {"fullname" : "Immunohistochemistry (Formalin/PFA-fixed paraffin-embedded sections)", "shortname":"IHC-P"}, "ICCIF" : {"fullname" : "Immunocytochemistry/ Immunofluorescence", "shortname":"ICC/IF"} }, "product-promise": { "all": "all", "testedAndGuaranteed": "tested", "guaranteed": "expected", "predicted": "predicted", "notRecommended": "not-recommended" } }, "values": { "Human": { "IHCP-species-checked": "testedAndGuaranteed", "IHCP-species-dilution-info": "1/50 - 1/200", "IHCP-species-notes": "<p></p> Perform heat-mediated antigen retrieval with citrate buffer pH 6 before commencing with IHC staining protocol.", "ICCIF-species-checked": "testedAndGuaranteed", "ICCIF-species-dilution-info": "0.25-2 µg/mL", "ICCIF-species-notes": "<p></p>" } } }

Properties and storage information

Form
Liquid
Purification technique
Affinity purification Immunogen
Storage buffer
pH: 7.2 Preservative: 0.02% Sodium azide Constituents: PBS, 40% Glycerol (glycerin, glycerine)
Shipped at conditions
Blue Ice
Appropriate short-term storage conditions
+4°C
Appropriate long-term storage conditions
-20°C
Aliquoting information
Upon delivery aliquot
Storage information
Avoid freeze / thaw cycle

Supplementary information

This supplementary information is collated from multiple sources and compiled automatically.

ZNF589 also known as Zinc Finger Protein 589 is a protein coding gene with an estimated molecular weight of approximately 73 kDa. This target functions as a transcription factor by using its C2H2-type zinc finger domains to bind specific DNA sequences. It plays a regulatory role in gene expression. ZNF589 shows expression in hematopoietic cells and evidence indicates its presence in other cell types of the immune system as well.
Biological function summary

Zinc finger proteins like ZNF589 regulate many genes involved in cell differentiation and proliferation. ZNF589 is involved in the control of hematopoietic stem and progenitor cells. It may be part of larger protein-DNA complexes that modulate transcriptional programs essential for maintaining stem cell properties. Such functions ensure proper balance and renewal of blood cells.

Pathways

The actions of ZNF589 involve specific signaling cascades such as hematopoiesis and immune response pathways. This protein interacts with others like GATA-2 which is known to be important in hematopoietic stem cell regulation and with components of the Notch signaling pathway facilitating communication between stem cells and their microenvironment.

Disturbances in ZNF589 activity have been linked to hematological disorders including certain leukemias. Aberrant expression or mutation in ZNF589 may contribute to unregulated cell proliferation and differentiation leading to malignancies. Additionally its interaction with proteins such as RUNX1 which is involved in acute myeloid leukemia provides insight into the protein's role in these conditions emphasizing its significance in maintaining normal blood cell development and function.

Product protocols

For this product, it's our understanding that no specific protocols are required. You can visit:

Target data

May play a role in hematopoietic stem/progenitor cell differentiation. May play a role as a DNA binding-dependent transcriptional repressor.
See full target information ZNF589

Publications (1)

Recent publications for all applications. Explore the full list and refine your search

Cell cycle (Georgetown, Tex.) 21:1058-1076 PubMed35184686

2022

Ultrasound-targeted microbubble destruction-mediated miR-144-5p overexpression enhances the anti-tumor effect of paclitaxel on thyroid carcinoma by targeting STON2.

Applications

Unspecified application

Species

Unspecified reactive species

Xuefeng Chen,Xinyuan Zhang,Yangyang Qian,Enhui Xia,Yu Wang,Qi Zhou
View all publications

Product promise

We are committed to supporting your work with high-quality reagents, and we're here for you every step of the way. In the unlikely event that one of our products does not perform as expected, you're protected by our Product Promise.
For full details, please see our Terms & Conditions

Please note: All products are 'FOR RESEARCH USE ONLY. NOT FOR USE IN DIAGNOSTIC OR THERAPEUTIC PROCEDURES'.

For licensing inquiries, please contact partnerships@abcam.com