JavaScript is disabled in your browser. Please enable JavaScript to view this website.
AB126486

Anti-ZNF717 antibody

Be the first to review this product! Submit a review

|

(1 Publication)

Rabbit Polyclonal ZNF717 antibody. Suitable for IHC-P, ICC/IF and reacts with Human samples. Cited in 1 publication. Immunogen corresponding to Recombinant Fragment Protein within Human ZNF717 aa 50-150.

View Alternative Names

Zinc finger protein 717, Krueppel-like factor X17, ZNF717

2 Images
Immunocytochemistry/ Immunofluorescence - Anti-ZNF717 antibody (AB126486)
  • ICC/IF

Unknown

Immunocytochemistry/ Immunofluorescence - Anti-ZNF717 antibody (AB126486)

Immunofluorescent staining of human cell line U-2 OS shows positivity in nucleus but excluded from the nucleoli.

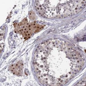
Immunohistochemistry (Formalin/PFA-fixed paraffin-embedded sections) - Anti-ZNF717 antibody (AB126486)
  • IHC-P

Unknown

Immunohistochemistry (Formalin/PFA-fixed paraffin-embedded sections) - Anti-ZNF717 antibody (AB126486)

ab126486 at a 1/10 dilution staining ZNF717 in paraffin embedded Human testis tissue by immunohistochemistry.

Key facts

Host species

Rabbit

Clonality

Polyclonal

Isotype

IgG

Carrier free

No

Reacts with

Human

Applications

ICC/IF, IHC-P

applications

Immunogen

Recombinant Fragment Protein within Human ZNF717 aa 50-150. The exact immunogen used to generate this antibody is proprietary information.

Q9BY31

Reactivity data

{ "title": "Reactivity Data", "filters": { "stats": ["", "Species", "Dilution Info", "Notes"], "tabs": { "all-applications": {"fullname" : "All Applications", "shortname": "All Applications"}, "IHCP" : {"fullname" : "Immunohistochemistry (Formalin/PFA-fixed paraffin-embedded sections)", "shortname":"IHC-P"}, "ICCIF" : {"fullname" : "Immunocytochemistry/ Immunofluorescence", "shortname":"ICC/IF"} }, "product-promise": { "all": "all", "testedAndGuaranteed": "tested", "guaranteed": "expected", "predicted": "predicted", "notRecommended": "not-recommended" } }, "values": { "Human": { "IHCP-species-checked": "testedAndGuaranteed", "IHCP-species-dilution-info": "", "IHCP-species-notes": "<p></p>", "ICCIF-species-checked": "testedAndGuaranteed", "ICCIF-species-dilution-info": "", "ICCIF-species-notes": "<p></p>" } } }

Properties and storage information

Form
Liquid
Purification technique
Affinity purification Immunogen
Storage buffer
pH: 7.2 Preservative: 0.02% Sodium azide Constituents: PBS, 40% Glycerol (glycerin, glycerine)
Shipped at conditions
Blue Ice
Appropriate short-term storage conditions
+4°C
Appropriate long-term storage conditions
-20°C
Aliquoting information
Upon delivery aliquot
Storage information
Avoid freeze / thaw cycle

Supplementary information

This supplementary information is collated from multiple sources and compiled automatically.

ZNF717 also known as zinc finger protein 717 is a transcription factor characterized by the presence of C2H2-type zinc finger motifs which facilitate DNA binding. This protein weighs approximately 85 kDa and is encoded by the ZNF717 gene. ZNF717 is mainly expressed in the nucleus of human cells where it interacts with specific DNA sequences to regulate gene transcription. Due to its multiple zinc finger domains ZNF717 has the potential to modulate the expression of a wide array of target genes.
Biological function summary

Zinc finger proteins like ZNF717 play roles in the regulation of various cellular processes. ZNF717 acts as a transcriptional regulator influencing the expression of genes involved in cell proliferation and differentiation. As a zinc finger protein ZNF717 often operates as part of larger protein complexes participating alongside other transcription factors to fine-tune cellular functions. These activities indicate that ZNF717 may have an impact on critical biological mechanisms.

Pathways

ZNF717 participates in gene regulation and development pathways. It not only adjusts expressions of genes directly linked to cellular growth but also interacts with proteins like SP1 and REST which are notable transcription factors in regulatory networks. The involvement of ZNF717 in these pathways suggests it could influence processes such as embryonic development and cell cycle control although the exact details of these interactions require further studies to clarify.

ZNF717 has been linked to certain cancers and neurological conditions. Overexpression or malfunction of ZNF717 may contribute to tumorigenesis as its role in gene regulation can disrupt normal cell growth. Researchers have also observed connections between ZNF717 and neurodevelopmental disorders with dysregulation potentially leading to abnormal brain development. ZNF717 interacts with disease-related proteins such as PAX5 in cancer and MECP2 in neurological disorders indicating its potential as a target for therapeutic interventions.

Product protocols

For this product, it's our understanding that no specific protocols are required. You can visit:

Target data

May be involved in transcriptional regulation.
See full target information ZNF717

Publications (1)

Recent publications for all applications. Explore the full list and refine your search

Heliyon 9:e22280 PubMed38034706

2023

Expression of the kidney anion exchanger 1 affects WNK4 and SPAK phosphorylation and results in claudin-4 phosphorylation.

Applications

Unspecified application

Species

Unspecified reactive species

Rawad Lashhab,Grace Essuman,Maria Chavez-Canales,R Todd Alexander,Emmanuelle Cordat
View all publications

Product promise

We are committed to supporting your work with high-quality reagents, and we're here for you every step of the way. In the unlikely event that one of our products does not perform as expected, you're protected by our Product Promise.
For full details, please see our Terms & Conditions

Please note: All products are 'FOR RESEARCH USE ONLY. NOT FOR USE IN DIAGNOSTIC OR THERAPEUTIC PROCEDURES'.

For licensing inquiries, please contact partnerships@abcam.com