JavaScript is disabled in your browser. Please enable JavaScript to view this website.
AB227429

Anti-ZNFN1A2/HELIOS antibody

Be the first to review this product! Submit a review

|

(1 Publication)

Rabbit Polyclonal ZNFN1A2/HELIOS antibody. Suitable for WB, IHC-P, ICC/IF and reacts with Human, Mouse samples. Cited in 1 publication. Immunogen corresponding to Recombinant Fragment Protein within Human IKZF2.

View Alternative Names

HELIOS, ZNFN1A2, IKZF2, Zinc finger protein Helios, Ikaros family zinc finger protein 2

3 Images
Immunocytochemistry/ Immunofluorescence - Anti-ZNFN1A2/HELIOS antibody (AB227429)
  • ICC/IF

Supplier Data

Immunocytochemistry/ Immunofluorescence - Anti-ZNFN1A2/HELIOS antibody (AB227429)

HeLa (human epithelial cell line from cervix adenocarcinoma) cells stained for ZNFN1A2/HELIOS (green) using ab227429 at 1/500 dilution in ICC/IF. Cells were fixed in 4% paraformaldehyde/PBS for 15 minutes. Counterstained : Hoechst 33342 (blue).

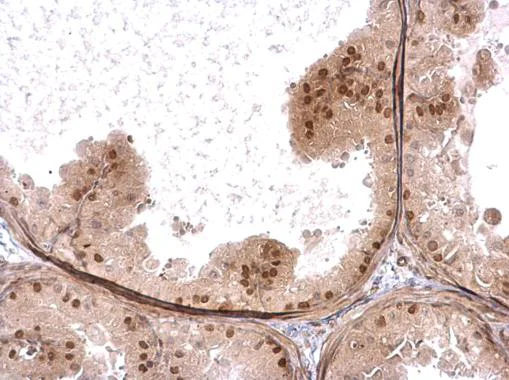
Immunohistochemistry (Formalin/PFA-fixed paraffin-embedded sections) - Anti-ZNFN1A2/HELIOS antibody (AB227429)
  • IHC-P

Supplier Data

Immunohistochemistry (Formalin/PFA-fixed paraffin-embedded sections) - Anti-ZNFN1A2/HELIOS antibody (AB227429)

Paraffin-embedded mouse prostate tissue stained for ZNFN1A2/HELIOS using ab227429 at 1/500 dilution in immunohistochemical analysis.

Western blot - Anti-ZNFN1A2/HELIOS antibody (AB227429)
  • WB

Supplier Data

Western blot - Anti-ZNFN1A2/HELIOS antibody (AB227429)

10% SDS-PAGE

All lanes:

Western blot - Anti-ZNFN1A2/HELIOS antibody (ab227429) at 1/1000 dilution

Lane 1:

Jurkat (human T cell leukemia cell line from peripheral blood) whole cell lysate at 30 µg

Lane 2:

Jurkat nuclear extract lysate at 30 µg

Predicted band size: 60 kDa

true

Key facts

Host species

Rabbit

Clonality

Polyclonal

Isotype

IgG

Carrier free

No

Reacts with

Mouse, Human

Applications

WB, IHC-P, ICC/IF

applications

Immunogen

Recombinant Fragment Protein within Human IKZF2. The exact immunogen used to generate this antibody is proprietary information.

Q9UKS7

Reactivity data

{ "title": "Reactivity Data", "filters": { "stats": ["", "Species", "Dilution Info", "Notes"], "tabs": { "all-applications": {"fullname" : "All Applications", "shortname": "All Applications"}, "WB" : {"fullname" : "Western blot", "shortname":"WB"}, "IHCP" : {"fullname" : "Immunohistochemistry (Formalin/PFA-fixed paraffin-embedded sections)", "shortname":"IHC-P"}, "ICCIF" : {"fullname" : "Immunocytochemistry/ Immunofluorescence", "shortname":"ICC/IF"} }, "product-promise": { "all": "all", "testedAndGuaranteed": "tested", "guaranteed": "expected", "predicted": "predicted", "notRecommended": "not-recommended" } }, "values": { "Human": { "WB-species-checked": "testedAndGuaranteed", "WB-species-dilution-info": "1/500 - 1/3000", "WB-species-notes": "<p></p>", "IHCP-species-checked": "guaranteed", "IHCP-species-dilution-info": "", "IHCP-species-notes": "", "ICCIF-species-checked": "testedAndGuaranteed", "ICCIF-species-dilution-info": "1/100 - 1/1000", "ICCIF-species-notes": "<p></p>" }, "Mouse": { "WB-species-checked": "guaranteed", "WB-species-dilution-info": "", "WB-species-notes": "", "IHCP-species-checked": "testedAndGuaranteed", "IHCP-species-dilution-info": "1/100 - 1/1000", "IHCP-species-notes": "<p></p>", "ICCIF-species-checked": "guaranteed", "ICCIF-species-dilution-info": "", "ICCIF-species-notes": "" }, "Rat": { "WB-species-checked": "predicted", "WB-species-dilution-info": "", "WB-species-notes": "", "IHCP-species-checked": "predicted", "IHCP-species-dilution-info": "", "IHCP-species-notes": "", "ICCIF-species-checked": "predicted", "ICCIF-species-dilution-info": "", "ICCIF-species-notes": "" }, "Rhesus monkey": { "WB-species-checked": "predicted", "WB-species-dilution-info": "", "WB-species-notes": "", "IHCP-species-checked": "predicted", "IHCP-species-dilution-info": "", "IHCP-species-notes": "", "ICCIF-species-checked": "predicted", "ICCIF-species-dilution-info": "", "ICCIF-species-notes": "" } } }

Properties and storage information

Form
Liquid
Purification technique
Affinity purification Immunogen
Storage buffer
pH: 7 Preservative: 0.01% Thimerosal (merthiolate) Constituents: PBS, 20% Glycerol (glycerin, glycerine)
Shipped at conditions
Blue Ice
Appropriate short-term storage duration
1-2 weeks
Appropriate short-term storage conditions
+4°C
Appropriate long-term storage conditions
-20°C
Aliquoting information
Upon delivery aliquot
Storage information
Avoid freeze / thaw cycle

Supplementary information

This supplementary information is collated from multiple sources and compiled automatically.

ZNFN1A2 also known as HELIOS is a transcription factor with an estimated mass of approximately 65 to 70 kDa. It is a member of the Ikaros family of zinc finger proteins which are essential in regulating gene expression. HELIOS is expressed mainly in the thymus with significant levels also found in peripheral T cells. This protein plays a role in lymphocyte development and differentiation influencing the function and survival of T cells.
Biological function summary

ZNFN1A2 performs critical functions in maintaining T cell homeostasis and promoting regulatory T cell development. It forms part of transcriptional complexes that regulate gene expression necessary for immune response modulation. ZNFN1A2 interacts with other members of the Ikaros family sharing overlapping roles in immune cell regulation which highlights its importance in immune regulation.

Pathways

ZNFN1A2 integrates into critical signaling networks related to T cell regulation particularly the T cell receptor (TCR) signaling pathway. Within these pathways HELIOS collaborates with proteins such as FOXP3 and GATA3 to mediate immune tolerance and maintain immune system balance. These interactions underline the protein's involvement in modulating immune responses and preventing autoimmunity.

ZNFN1A2 demonstrates significant associations with autoimmune diseases such as systemic lupus erythematosus (SLE) where dysregulation leads to improper T cell function. Furthermore it is implicated in leukemias particularly T-cell acute lymphoblastic leukemia (T-ALL) due to altered expression affecting T cell maturation. In these diseases ZNFN1A2 often interacts with proteins like AIRE and BCL11B influencing disease progression and clinical outcomes.

Product protocols

For this product, it's our understanding that no specific protocols are required. You can visit:

Target data

Associates with Ikaros at centromeric heterochromatin.
See full target information IKZF2

Publications (1)

Recent publications for all applications. Explore the full list and refine your search

Molecular medicine reports 24: PubMed34396443

2021

miR‑125a‑5p and miR‑7 inhibits the proliferation, migration and invasion of vascular smooth muscle cell by targeting EGFR.

Applications

Unspecified application

Species

Unspecified reactive species

Hualan Zhou,Sen Lin,Youdong Hu,Dianxuan Guo,Yun Wang,Xia Li
View all publications

Product promise

We are committed to supporting your work with high-quality reagents, and we're here for you every step of the way. In the unlikely event that one of our products does not perform as expected, you're protected by our Product Promise.
For full details, please see our Terms & Conditions

Please note: All products are 'FOR RESEARCH USE ONLY. NOT FOR USE IN DIAGNOSTIC OR THERAPEUTIC PROCEDURES'.

For licensing inquiries, please contact partnerships@abcam.com