JavaScript is disabled in your browser. Please enable JavaScript to view this website.
AB275036

Anti-ZNHIT1 antibody [EPR20922-47] - BSA and Azide free

Be the first to review this product! Submit a review

|

(0 Publication)

Rabbit Recombinant Monoclonal ZNHIT1 antibody. Carrier free. Suitable for IP, WB and reacts with Human, Mouse, Rat samples.

View Alternative Names

Zinc finger HIT domain-containing protein 1, p18 Hamlet, Znhit1

3 Images
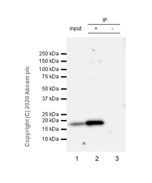
Immunoprecipitation - Anti-ZNHIT1 antibody [EPR20922-47] - BSA and Azide free (AB275036)
  • IP

Unknown

Immunoprecipitation - Anti-ZNHIT1 antibody [EPR20922-47] - BSA and Azide free (AB275036)

This data was developed using ab238125, the same antibody clone in a different buffer formulation.

ZNHIT1 was immunoprecipitated from 0.35 mg HeLa (human cervix adenocarcinoma epithelial cell line) whole cell lysate with ab238125 at 1/30 dilution (2ug in 0.35mg lysates). Western blot was performed on the immunoprecipitate using ab238125 at 1/1000 dilution. VeriBlot for IP Detection Reagent (HRP)(ab131366) was used at 1/5000 dilution.

Lane 1 : HeLa whole cell lysate 10 ug

Lane 2 : ab238125 IP in HeLa whole cell lysate

Lane 3 : Rabbit monoclonal IgG (ab172730) instead of ab238125 in HeLa whole cell lysate

Blocking and dilution buffer and concentration : 5% NFDM/TBST.

Exposure time : 76 seconds.

All lanes:

Immunoprecipitation - Anti-ZNHIT1 antibody [EPR20922-47] (<a href='/en-us/products/primary-antibodies/znhit1-antibody-epr20922-47-ab238125'>ab238125</a>)

Predicted band size: 18 kDa

Observed band size: 18 kDa

false

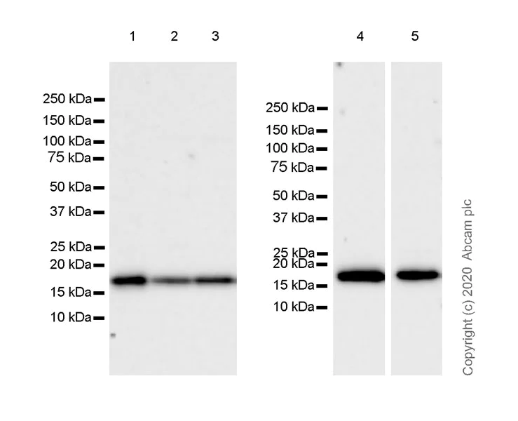
Western blot - Anti-ZNHIT1 antibody [EPR20922-47] - BSA and Azide free (AB275036)
  • WB

Unknown

Western blot - Anti-ZNHIT1 antibody [EPR20922-47] - BSA and Azide free (AB275036)

This data was developed using ab238125, the same antibody clone in a different buffer formulation.

Blocking and dilution buffer : 5% NFDM/TBST.

Exposure time : 70 seconds.

All lanes:

Western blot - Anti-ZNHIT1 antibody [EPR20922-47] (<a href='/en-us/products/primary-antibodies/znhit1-antibody-epr20922-47-ab238125'>ab238125</a>) at 1/1000 dilution

Lane 1:

HeLa (human cervix adenocarcinoma epithelial cell) whole cell lysate at 20 µg

Lane 2:

MEF (mouse embryonic fibroblast (immortalized)) whole cell lysate at 20 µg

Lane 3:

C2C12 (mouse myoblasts myoblast) whole cell lysate at 20 µg

Lane 4:

HEK-293T (human embryonic kidney epithelial cell) whole cell lysate at 20 µg

Lane 5:

PC-12 (rat adrenal gland pheochromocytoma ) whole cell lysate at 20 µg

Secondary

All lanes:

Goat Anti-Rabbit IgG, (H+L), Peroxidase conjugated (<a href='/en-us/products/secondary-antibodies/goat-rabbit-igg-h-l-hrp-ab97051'>ab97051</a>) at 1/100000 dilution

Predicted band size: 18 kDa

Observed band size: 18 kDa

false

Western blot - Anti-ZNHIT1 antibody [EPR20922-47] - BSA and Azide free (AB275036)
  • WB

Unknown

Western blot - Anti-ZNHIT1 antibody [EPR20922-47] - BSA and Azide free (AB275036)

This data was developed using ab238125, the same antibody clone in a different buffer formulation.

Blocking and dilution buffer : 5% NFDM/TBST.

Exposure time : 3 minutes.

Lysates were kindly provided by an anonymous collaborator.

All lanes:

Western blot - Anti-ZNHIT1 antibody [EPR20922-47] (<a href='/en-us/products/primary-antibodies/znhit1-antibody-epr20922-47-ab238125'>ab238125</a>) at 1/1000 dilution

Lane 1:

Wild-type mouse E13.5 heart tissue lysate at 20 µL

Lane 2:

ZNHIT1 conditional knockout mouse E13.5 heart tissue lysate at 20 µL

Lane 3:

Wild-type mouse E15.5 heart tissue lysate at 20 µL

Lane 4:

ZNHIT1 conditional knockout mouse E15.5 heart tissue lysate at 20 µL

Lane 5:

Wild-type mouse E18.5 heart tissue lysate at 20 µL

Lane 6:

ZNHIT1 conditional knockout mouse E18.5 heart tissue lysate at 20 µL

Secondary

All lanes:

Goat Anti-Rabbit IgG, (H+L), Peroxidase conjugated (<a href='/en-us/products/secondary-antibodies/goat-rabbit-igg-h-l-hrp-ab97051'>ab97051</a>) at 1/50000 dilution

Predicted band size: 18 kDa

Observed band size: 18 kDa

false

Key facts

Host species

Rabbit

Clonality

Monoclonal

Clone number

EPR20922-47

Isotype

IgG

Carrier free

Yes

Reacts with

Mouse, Rat, Human

Applications

IP, WB

applications

Immunogen

The exact immunogen used to generate this antibody is proprietary information.

Reactivity data

{ "title": "Reactivity Data", "filters": { "stats": ["", "Species", "Dilution Info", "Notes"], "tabs": { "all-applications": {"fullname" : "All Applications", "shortname": "All Applications"}, "ICCIF" : {"fullname" : "Immunocytochemistry/ Immunofluorescence", "shortname":"ICC/IF"}, "IP" : {"fullname" : "Immunoprecipitation", "shortname":"IP"}, "FlowCyt" : {"fullname" : "Flow Cytometry", "shortname":"Flow Cyt"}, "WB" : {"fullname" : "Western blot", "shortname":"WB"}, "IHCP" : {"fullname" : "Immunohistochemistry (Formalin/PFA-fixed paraffin-embedded sections)", "shortname":"IHC-P"}, "IHCFr" : {"fullname" : "Immunohistochemistry (Frozen sections)", "shortname":"IHC-Fr"} }, "product-promise": { "all": "all", "testedAndGuaranteed": "tested", "guaranteed": "expected", "predicted": "predicted", "notRecommended": "not-recommended" } }, "values": { "Human": { "ICCIF-species-checked": "notRecommended", "ICCIF-species-dilution-info": "", "ICCIF-species-notes": "<p></p>", "IP-species-checked": "testedAndGuaranteed", "IP-species-dilution-info": "", "IP-species-notes": "<p></p>", "FlowCyt-species-checked": "notRecommended", "FlowCyt-species-dilution-info": "", "FlowCyt-species-notes": "<p></p>", "WB-species-checked": "testedAndGuaranteed", "WB-species-dilution-info": "", "WB-species-notes": "<p></p>", "IHCP-species-checked": "notRecommended", "IHCP-species-dilution-info": "", "IHCP-species-notes": "<p></p>", "IHCFr-species-checked": "notRecommended", "IHCFr-species-dilution-info": "", "IHCFr-species-notes": "<p></p>" }, "Mouse": { "ICCIF-species-checked": "notRecommended", "ICCIF-species-dilution-info": "", "ICCIF-species-notes": "<p></p>", "IP-species-checked": "testedAndGuaranteed", "IP-species-dilution-info": "", "IP-species-notes": "<p></p>", "FlowCyt-species-checked": "notRecommended", "FlowCyt-species-dilution-info": "", "FlowCyt-species-notes": "<p></p>", "WB-species-checked": "testedAndGuaranteed", "WB-species-dilution-info": "", "WB-species-notes": "<p></p>", "IHCP-species-checked": "notRecommended", "IHCP-species-dilution-info": "", "IHCP-species-notes": "<p></p>", "IHCFr-species-checked": "notRecommended", "IHCFr-species-dilution-info": "", "IHCFr-species-notes": "<p></p>" }, "Rat": { "ICCIF-species-checked": "notRecommended", "ICCIF-species-dilution-info": "", "ICCIF-species-notes": "<p></p>", "IP-species-checked": "guaranteed", "IP-species-dilution-info": "", "IP-species-notes": "", "FlowCyt-species-checked": "notRecommended", "FlowCyt-species-dilution-info": "", "FlowCyt-species-notes": "<p></p>", "WB-species-checked": "testedAndGuaranteed", "WB-species-dilution-info": "", "WB-species-notes": "<p></p>", "IHCP-species-checked": "notRecommended", "IHCP-species-dilution-info": "", "IHCP-species-notes": "<p></p>", "IHCFr-species-checked": "notRecommended", "IHCFr-species-dilution-info": "", "IHCFr-species-notes": "<p></p>" } } }

Product details

ab275036 is the carrier-free version of ab238125.

Patented technology
Our RabMAb® technology is a patented hybridoma-based technology for making rabbit monoclonal antibodies. For details on our patents, please refer to RabMAb® patents.

What are the advantages of a recombinant monoclonal antibody?
This product is a recombinant monoclonal antibody, which offers several advantages including:

  • - High batch-to-batch consistency and reproducibility
  • - Improved sensitivity and specificity
  • - Long-term security of supply
  • - Animal-free batch production

For more information, read more on recombinant antibodies.

Conjugation ready
Our carrier-free antibodies are typically supplied in a PBS-only formulation, purified and free of BSA, sodium azide and glycerol. This conjugation-ready format is designed for use with fluorochromes, metal isotopes, oligonucleotides, and enzymes, which makes them ideal for antibody labelling, functional and cell-based assays, flow-based assays (e.g. mass cytometry) and Multiplex Imaging applications.

Use our conjugation kits for antibody conjugates that are ready-to-use in as little as 20 minutes with 1 minute hands-on-time and 100% antibody recovery: available for fluorescent dyes, HRP, biotin and gold.

Compatibility
This product is compatible with the Maxpar® Antibody Labeling Kit from Fluidigm, without the need for antibody preparation. Maxpar® is a trademark of Fluidigm Canada Inc.

Properties and storage information

Form
Liquid
Purification technique
Affinity purification Protein A
Storage buffer
Constituents: PBS
Shipped at conditions
Blue Ice
Appropriate short-term storage conditions
+4°C
Appropriate long-term storage conditions
+4°C
Storage information
Do Not Freeze

Supplementary information

This supplementary information is collated from multiple sources and compiled automatically.

ZNHIT1 also known as Zinc finger HIT-type containing 1 is a protein that plays a role in the assembly of multiprotein complexes. It has a molecular mass of approximately 29 kDa. This protein is found expressed in various tissues including the brain heart and liver suggesting its involvement in a range of biological functions. ZNHIT1 contains zinc finger motifs which are key for its interaction with other proteins facilitating its mechanical role in cellular processes.
Biological function summary

The interaction of ZNHIT1 with other protein units forms part of the histone and transcription machinery. It is a component of the U3 small nucleolar ribonucleoprotein (snoRNP) complex which is essential for the biogenesis of ribosomes. Through its zinc finger domains ZNHIT1 interacts with proteins such as NOLC1 aiding in the functional assembly of ribosome-related structures. The activity of ZNHIT1 within this context points to its importance in maintaining protein synthesis and gene regulation.

Pathways

ZNHIT1 is involved in the metabolic and cellular processes of ribosome assembly and gene expression. In the context of these pathways its interaction with NOLC1 facilitates alterations in nucleolar activity which can impact protein synthesis. ZNHIT1 can influence pathways such as the assembly of the pre-rRNA complex and is also linked to transcriptional regulation alongside proteins like SMARCC1 within epigenetic modification routes.

ZNHIT1 has connections with certain cancers and neurodegenerative conditions. Its regulatory roles in gene expression and ribosome production can contribute to pathologies like hepatocellular carcinoma where aberrations in protein synthesis are common. Altered function or expression of ZNHIT1 can also associate with neurological disorders interconnected through proteins such as AATF which is implicated in neuronal survival. Understanding ZNHIT1’s involvement in these pathways can offer insights into potential therapeutic strategies.

Product protocols

For this product, it's our understanding that no specific protocols are required. You can visit:

Target data

Plays a role in chromatin remodeling by promoting the incorporation of histone variant H2AZ1/H2A.Z into the genome to regulate gene expression (PubMed : 29138493, PubMed : 30842416, PubMed : 32694618, PubMed : 33913477, PubMed : 35167494, PubMed : 35413238). Promotes SRCAP complex-mediated deposition of histone variant H2AZ1 to lymphoid fate regulator genes, enhancing lymphoid lineage commitment (PubMed : 29138493). Recruited to the promoter of the transcriptional activator MYOG at the early stages of muscle differentiation where it mediates binding of histone variant H2AZ1 to chromatin and induces muscle-specific gene expression (By similarity). Maintains hematopoietic stem cell (HSC) quiescence by determining the chromatin accessibility at distal enhancers of HSC quiescence genes such as PTEN, FSTL1 and KLF4, enhancing deposition of H2AZ1 to promote their sustained transcription and restricting PI3K-AKT signaling inhibition (PubMed : 32694618). Plays a role in intestinal stem cell maintenance by promoting H2AZ1 deposition at the transcription start sites of genes involved in intestinal stem cell fate determination including LGR5, TGFB1 and TGFBR2, thereby contributing to gene transcription (PubMed : 30842416). Promotes phosphorylation of the H2AZ1 chaperone VPS72/YL1 which enhances the interaction between HZAZ1 and VPS72 (PubMed : 30842416). Regulates the entry of male germ cells into meiosis by controlling histone H2AZ1 deposition which facilitates the expression of meiotic genes such as MEIOSIN, leading to the initiation of meiosis (PubMed : 35413238). Required for postnatal heart function through its role in maintenance of cardiac Ca(2+) homeostasis by modulating the expression of Ca(2+)-regulating proteins CASQ1 and ATP2A2/SERCA2A via deposition of histone H2AZ1 at their promoters (PubMed : 35167494). During embryonic heart development, required for mitochondrial maturation and oxidative metabolism by functioning through H2AZ1 deposition to activate transcription of metabolic genes and is also required to maintain the stability of the respiratory complex (PubMed : 33913477). In neural cells, increases deposition of the H2AZ1 histone variant and promotes neurite growth (By similarity). Plays a role in TP53/p53-mediated apoptosis induction by stimulating the transcriptional activation of several proapoptotic p53 target genes such as PMAIP1/NOXA and BBC3/PUMA (By similarity). Mediates cell cycle arrest induced in response to gamma-irradiation by enhancing recruitment of TP53/p53 to the promoter of the cell cycle inhibitor CDKN1A, leading to its transcriptional activation (By similarity). Recruited to the promoter of cyclin-dependent kinase CDK6 and inhibits its transcription, possibly by decreasing the acetylation level of histone H4, leading to cell cycle arrest at the G1 phase (PubMed : 19501046). Plays a role in lens fiber cell differentiation by regulating the expression of cell cycle regulator CDKN1A/p21Cip1 (PubMed : 35472217). Binds to transcriptional repressor NR1D2 and relieves it of its inhibitory effect on the transcription of apolipoprotein APOC3 without affecting its DNA-binding activity (By similarity).
See full target information Zinc finger HIT domain-containing protein 1

Product promise

We are committed to supporting your work with high-quality reagents, and we're here for you every step of the way. In the unlikely event that one of our products does not perform as expected, you're protected by our Product Promise.
For full details, please see our Terms & Conditions

Please note: All products are 'FOR RESEARCH USE ONLY. NOT FOR USE IN DIAGNOSTIC OR THERAPEUTIC PROCEDURES'.

For licensing inquiries, please contact partnerships@abcam.com