JavaScript is disabled in your browser. Please enable JavaScript to view this website.
AB214356

Anti-ZnT1 antibody

Be the first to review this product! Submit a review

|

(4 Publications)

Rabbit Polyclonal ZNT1 antibody. Suitable for IHC-P and reacts with Mouse samples. Cited in 4 publications. Immunogen corresponding to Synthetic Peptide within Human SLC30A1 aa 250-350 conjugated to Keyhole Limpet Haemocyanin.

View Alternative Names

ZNT1, SLC30A1, Proton-coupled zinc antiporter SLC30A1, Solute carrier family 30 member 1, Zinc transporter 1

3 Images
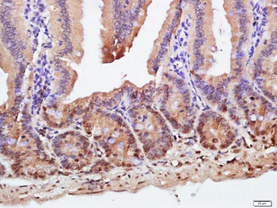
Immunohistochemistry (Formalin/PFA-fixed paraffin-embedded sections) - Anti-ZnT1 antibody (AB214356)
  • IHC-P

Supplier Data

Immunohistochemistry (Formalin/PFA-fixed paraffin-embedded sections) - Anti-ZnT1 antibody (AB214356)

Immunohistochemical analysis of paraformaldehyde-fixed, paraffin-embedded mouse intestine tissue labeling ZnT1 with ab214356 at 1/500 dilution overnight at 4°C followed by a conjugated secondary and DAB staining.

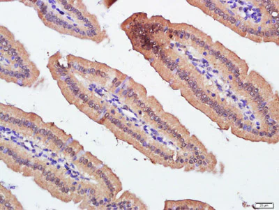
Immunohistochemistry (Formalin/PFA-fixed paraffin-embedded sections) - Anti-ZnT1 antibody (AB214356)
  • IHC-P

Supplier Data

Immunohistochemistry (Formalin/PFA-fixed paraffin-embedded sections) - Anti-ZnT1 antibody (AB214356)

Immunohistochemical analysis of paraformaldehyde-fixed, paraffin-embedded mouse intestine tissue labeling ZnT1 with ab214356 at 1/500 dilution overnight at 4°C followed by a conjugated secondary and DAB staining.

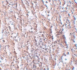
Immunohistochemistry (Formalin/PFA-fixed paraffin-embedded sections) - Anti-ZnT1 antibody (AB214356)
  • IHC-P

Supplier Data

Immunohistochemistry (Formalin/PFA-fixed paraffin-embedded sections) - Anti-ZnT1 antibody (AB214356)

Immunohistochemical analysis of paraformaldehyde-fixed, paraffin-embedded mouse intestine tissue labeling ZnT1 with ab214356 at 1/200 dilution overnight at 4°C followed by a conjugated secondary and DAPI staining.

Key facts

Host species

Rabbit

Clonality

Polyclonal

Isotype

IgG

Carrier free

No

Reacts with

Mouse

Applications

IHC-P

applications

Immunogen

Synthetic Peptide within Human SLC30A1 aa 250-350 conjugated to Keyhole Limpet Haemocyanin. The exact immunogen used to generate this antibody is proprietary information.

Q9Y6M5

Reactivity data

{ "title": "Reactivity Data", "filters": { "stats": ["", "Species", "Dilution Info", "Notes"], "tabs": { "all-applications": {"fullname" : "All Applications", "shortname": "All Applications"}, "IHCP" : {"fullname" : "Immunohistochemistry (Formalin/PFA-fixed paraffin-embedded sections)", "shortname":"IHC-P"} }, "product-promise": { "all": "all", "testedAndGuaranteed": "tested", "guaranteed": "expected", "predicted": "predicted", "notRecommended": "not-recommended" } }, "values": { "Human": { "IHCP-species-checked": "predicted", "IHCP-species-dilution-info": "", "IHCP-species-notes": "" }, "Mouse": { "IHCP-species-checked": "testedAndGuaranteed", "IHCP-species-dilution-info": "1/100 - 1/500", "IHCP-species-notes": "<p>When using a fluorescent probe the recommended dilution is 1/50 – 1/200.</p> Perform heat-mediated antigen retrieval with citrate buffer pH 6 before commencing with IHC staining protocol." }, "Rat": { "IHCP-species-checked": "predicted", "IHCP-species-dilution-info": "", "IHCP-species-notes": "" } } }

Properties and storage information

Form
Liquid
Purification technique
Affinity purification Protein A
Storage buffer
pH: 7.4 Preservative: 0.02% Proclin 300 Constituents: 50% Glycerol (glycerin, glycerine), 48.98% TBS, 1X, 1% BSA
Shipped at conditions
Blue Ice
Appropriate short-term storage duration
1-2 weeks
Appropriate short-term storage conditions
+4°C
Appropriate long-term storage conditions
-20°C
Aliquoting information
Upon delivery aliquot
Storage information
Avoid freeze / thaw cycle

Supplementary information

This supplementary information is collated from multiple sources and compiled automatically.

ZnT1 also known as SLC30A1 is a critical protein responsible for the export of zinc ions out of cells. This transporter plays an important role in maintaining intracellular zinc homeostasis. The protein has a molecular mass of approximately 52 kDa. ZnT1 is expressed in a wide range of tissues including the brain liver and intestines indicating its significant role in various physiological processes. The protein is located in the cell plasma membrane which aligns with its function of mediating zinc efflux.
Biological function summary

ZnT1 is essential for regulating the cellular zinc levels and protecting against zinc toxicity. It does not form part of a larger complex; instead it operates as an individual unit to ensure that excess zinc does not accumulate to harmful levels within the cell. By controlling zinc efflux ZnT1 influences processes such as cell signaling and apoptosis which rely on zinc as a cofactor or structural component.

Pathways

Homeostasis of zinc ions in cells connects ZnT1 to the cellular zinc transport pathway and the metal ion transport pathway. ZnT1 coordinates with intracellular zinc-binding proteins like metallothioneins to modulate zinc availability and transportation within the cell. Proteins such as ZIP4 which facilitate zinc uptake operate in a complementary manner to ZnT1 balancing zinc influx and efflux to maintain cellular function.

Misregulation of ZnT1 has been linked to conditions such as cancer and neurodegenerative diseases. In cancer changes in zinc transport influence tumor growth and progression partly involving interactions with proteins like p53 a critical tumor suppressor modulated by zinc availability. In neurodegenerative diseases abnormal zinc levels can contribute to neuronal damage where ZnT1 interacts with Amyloid Beta plaques affecting the pathology of Alzheimer's disease.

Product protocols

For this product, it's our understanding that no specific protocols are required. You can visit:

Target data

Zinc ion : proton antiporter that could function at the plasma membrane mediating zinc efflux from cells against its electrochemical gradient protecting them from intracellular zinc accumulation and toxicity (PubMed : 31471319). Alternatively, could prevent the transport to the plasma membrane of CACNB2, the L-type calcium channels regulatory subunit, through a yet to be defined mechanism. By modulating the expression of these channels at the plasma membrane, could prevent calcium and zinc influx into cells. By the same mechanism, could also prevent L-type calcium channels-mediated heavy metal influx into cells (By similarity). In some cells, could also function as a zinc ion : proton antiporter mediating zinc entry into the lumen of cytoplasmic vesicles. In macrophages, can increase zinc ions concentration into the lumen of cytoplasmic vesicles containing engulfed bacteria and could help inactivate them (PubMed : 32441444). Forms a complex with TMC6/EVER1 and TMC8/EVER2 at the ER membrane of keratynocytes which facilitates zinc uptake into the ER (PubMed : 18158319). Down-regulates the activity of transcription factors induced by zinc and cytokines (PubMed : 18158319).
See full target information SLC30A1

Publications (4)

Recent publications for all applications. Explore the full list and refine your search

Journal of animal science 102: PubMed39031082

2024

Zinc proteinate with moderate chelation strength enhances zinc absorption by upregulating the expression of zinc and amino acid transporters in primary cultured duodenal epithelial cells of broiler embryos.

Applications

Unspecified application

Species

Unspecified reactive species

Yun Hu,Wei Wu,Liang Huang,Liyang Zhang,Chunyu Cao,Weiyun Zhang,Yangyang Hu,Xiaoyan Cui,Tingting Li,Shengchen Wang,Xugang Luo

Poultry science 102:102477 PubMed36680861

2023

The organic zinc with moderate chelation strength enhances the expression of related transporters in the jejunum and ileum of broilers.

Applications

Unspecified application

Species

Unspecified reactive species

Yun Hu,Yanhui Huang,Chuanlong Wang,Weiyun Zhang,Yicheng Qu,Ding Li,Wei Wu,Feiyu Gao,Ling Zhu,Bingxin Wu,Liyang Zhang,Xiaoyan Cui,Tingting Li,Yanqiang Geng,Xiudong Liao,Xugang Luo

Frontiers in physiology 13:952941 PubMed35936908

2022

Organic zinc with moderate chelation strength enhances zinc absorption in the small intestine and expression of related transporters in the duodenum of broilers.

Applications

Unspecified application

Species

Unspecified reactive species

Yun Hu,Chuanlong Wang,Wei Wu,Yicheng Qu,Weiyun Zhang,Ding Li,Ling Zhu,Feiyu Gao,Bingxin Wu,Liyang Zhang,Xiaoyan Cui,Tingting Li,Yanqiang Geng,Xugang Luo

Frontiers in pharmacology 11:520486 PubMed33101012

2020

Circular RNA Involved in the Protective Effect of L. on Myocardial Ischemic/Re-Perfused Injury.

Applications

Unspecified application

Species

Unspecified reactive species

Yongzhi Xiao,Diafara Boureima Oumarou,Shuang Wang,Yingzhe Liu
View all publications

Product promise

We are committed to supporting your work with high-quality reagents, and we're here for you every step of the way. In the unlikely event that one of our products does not perform as expected, you're protected by our Product Promise.
For full details, please see our Terms & Conditions

Please note: All products are 'FOR RESEARCH USE ONLY. NOT FOR USE IN DIAGNOSTIC OR THERAPEUTIC PROCEDURES'.

For licensing inquiries, please contact partnerships@abcam.com