JavaScript is disabled in your browser. Please enable JavaScript to view this website.
AB96587

Anti-ZO1 tight junction protein antibody

3

(4 Reviews)

|

(249 Publications)

Anti-ZO1 tight junction protein antibody (ab96587) is a rabbit polyclonal antibody detecting ZO1 tight junction protein in Western Blot, ICC/IF. Suitable for Human, Mouse.

- Over 180 publications
- Trusted since 2010

View Alternative Names

ZO1, TJP1, Tight junction protein ZO-1, Tight junction protein 1, Zona occludens protein 1, Zonula occludens protein 1

6 Images
Western blot - Anti-ZO1 tight junction protein antibody (AB96587)
  • WB

Supplier Data

Western blot - Anti-ZO1 tight junction protein antibody (AB96587)

5% SDS-PAGE

All lanes:

Western blot - Anti-ZO1 tight junction protein antibody (ab96587) at 1/500 dilution

All lanes:

Mouse testis tissue lysate at 50 µg

Secondary

All lanes:

HRP-conjugated anti-rabbit IgG antibody

Predicted band size: 195 kDa

false

Immunocytochemistry/ Immunofluorescence - Anti-ZO1 tight junction protein antibody (AB96587)
  • ICC/IF

Supplier Data

Immunocytochemistry/ Immunofluorescence - Anti-ZO1 tight junction protein antibody (AB96587)

Immunofluorescence analysis of ice-cold methanol-fixed (5 min) NTERA-2 cl.D1 [NT2/D1] (human malignant pluripotent embryonic carcinoma cell line) cells labeling ZO1 tight junction protein at cell membrane (green) with ab96587 at 1/200 dilution. Blue : Hoechst 33342 staining.

Immunocytochemistry/ Immunofluorescence - Anti-ZO1 tight junction protein antibody (AB96587)
  • ICC/IF

Supplier Data

Immunocytochemistry/ Immunofluorescence - Anti-ZO1 tight junction protein antibody (AB96587)

Immunofluorescence analysis of ice-cold MeOH fixed for 5 mins A431 cells labelling ZO-1 protein at cell membrane using ab96587 at a 1/500 dilution (Green).

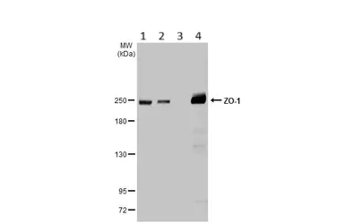
Western blot - Anti-ZO1 tight junction protein antibody (AB96587)
  • WB

Supplier Data

Western blot - Anti-ZO1 tight junction protein antibody (AB96587)

Samples were separated by 5% SDS-PAGE.

All lanes:

Western blot - Anti-ZO1 tight junction protein antibody (ab96587) at 1/1000 dilution

Lane 1:

293T Whole cell extract at 30 µg

Lane 2:

A431 Whole cell extract at 30 µg

Lane 3:

HeLa Whole cell extract at 30 µg

Lane 4:

HepG2 Whole cell extract at 30 µg

Secondary

All lanes:

HRP-conjugated anti-rabbit IgG antibody

Predicted band size: 187 kDa

false

Western blot - Anti-ZO1 tight junction protein antibody (AB96587)
  • WB

Supplier Data

Western blot - Anti-ZO1 tight junction protein antibody (AB96587)

Samples were separated by 5% SDS-PAGE.

All lanes:

Western blot - Anti-ZO1 tight junction protein antibody (ab96587) at 1/1000 dilution

Lane 1:

PC12 whole cell extracts at 30 µg

Lane 2:

Rat2 whole cell extracts at 30 µg

Secondary

All lanes:

HRP-conjugated anti-rabbit IgG antibody

Predicted band size: 187 kDa

false

Western blot - Anti-ZO1 tight junction protein antibody (AB96587)
  • WB

Supplier Data

Western blot - Anti-ZO1 tight junction protein antibody (AB96587)

Samples were separated by 5% SDS-PAGE.

All lanes:

Western blot - Anti-ZO1 tight junction protein antibody (ab96587) at 1/500 dilution

Lane 1:

Neuro2A whole cell extracts at 30 µg

Lane 2:

NIH-3T3 whole cell extracts at 30 µg

Lane 3:

Raw264.7 whole cell extracts at 30 µg

Lane 4:

C2C12 whole cell extracts at 30 µg

Secondary

All lanes:

HRP-conjugated anti-rabbit IgG antibody

Predicted band size: 187 kDa

false

Key facts

Host species

Rabbit

Clonality

Polyclonal

Isotype

IgG

Carrier free

No

Reacts with

Mouse, Human, Rat

Applications

ICC/IF, WB

applications

Immunogen

Recombinant Fragment Protein within Human TJP1 aa 1-300. The exact immunogen used to generate this antibody is proprietary information.

Q07157

Reactivity data

{ "title": "Reactivity Data", "filters": { "stats": ["", "Species", "Dilution Info", "Notes"], "tabs": { "all-applications": {"fullname" : "All Applications", "shortname": "All Applications"}, "WB" : {"fullname" : "Western blot", "shortname":"WB"}, "IHCP" : {"fullname" : "Immunohistochemistry (Formalin/PFA-fixed paraffin-embedded sections)", "shortname":"IHC-P"}, "ICCIF" : {"fullname" : "Immunocytochemistry/ Immunofluorescence", "shortname":"ICC/IF"} }, "product-promise": { "all": "all", "testedAndGuaranteed": "tested", "guaranteed": "expected", "predicted": "predicted", "notRecommended": "not-recommended" } }, "values": { "Human": { "WB-species-checked": "testedAndGuaranteed", "WB-species-dilution-info": "1/500 - 1/3000", "WB-species-notes": "<p>5% gel. Blocking condition: 5% non-fat milk in TBST, RT, 60min. Primary antibody incubation: 4°C overnight.</p><p> </p><p>Molecular weight shift may be caused by post-translation modification, there are multiple phosphorylation sites on ZO-1. It has been reported the detected molecular weight shifts to a higher size around 220-230 kDa (PMID: 26359454, PMID: 19117052).</p>", "IHCP-species-checked": "notRecommended", "IHCP-species-dilution-info": "1/100 - 1/1000", "IHCP-species-notes": "<p>High background was observed in images.</p>", "ICCIF-species-checked": "testedAndGuaranteed", "ICCIF-species-dilution-info": "1/100 - 1/1000", "ICCIF-species-notes": "<p>Fix cells in ice-cold MeOH</p>" }, "Mouse": { "WB-species-checked": "testedAndGuaranteed", "WB-species-dilution-info": "1/500 - 1/3000", "WB-species-notes": "<p>5% gel. Blocking condition: 5% non-fat milk in TBST, RT, 60min. Primary antibody incubation: 4°C overnight.</p><p> </p><p>Molecular weight shift may be caused by post-translation modification, there are multiple phosphorylation sites on ZO-1. It has been reported the detected molecular weight shifts to a higher size around 220-230 kDa (PMID: 26359454, PMID: 19117052).</p>", "IHCP-species-checked": "notRecommended", "IHCP-species-dilution-info": "1/100 - 1/1000", "IHCP-species-notes": "<p>High background was observed in images.</p>", "ICCIF-species-checked": "guaranteed", "ICCIF-species-dilution-info": "", "ICCIF-species-notes": "" }, "Rat": { "WB-species-checked": "testedAndGuaranteed", "WB-species-dilution-info": "1/500 - 1/3000", "WB-species-notes": "<p>5% gel. Blocking condition: 5% non-fat milk in TBST, RT, 60min. Primary antibody incubation: 4°C overnight.</p><p> </p><p>Molecular weight shift may be caused by post-translation modification, there are multiple phosphorylation sites on ZO-1. It has been reported the detected molecular weight shifts to a higher size around 220-230 kDa (PMID: 26359454, PMID: 19117052).</p>", "IHCP-species-checked": "notRecommended", "IHCP-species-dilution-info": "", "IHCP-species-notes": "", "ICCIF-species-checked": "guaranteed", "ICCIF-species-dilution-info": "", "ICCIF-species-notes": "" } } }

Product details

Product Specifications
Anti-ZO1 tight junction protein antibody (ab96587) is a rabbit polyclonal antibody and is validated for use in ICC/IF, WB in human, mouse samples.
Anti-ZO1 tight junction protein antibody (ab96587) specifically detects ZO1 tight junction protein (UniProt ID: Q07157; Molecular weight: 195kDa) and is sold in 50 µL selling sizes.

Quality and Validation
Abcam's high quality validation processes ensure Anti-ZO1 tight junction protein antibody (ab96587) has high sensitivity and specificity.
Anti-ZO1 tight junction protein antibody (ab96587) has been cited over 185 times in peer reviewed journals and is trusted by the scientific community.
Anti-ZO1 tight junction protein antibody (ab96587) has 4 independent reviews from customers.

Properties and storage information

Form
Liquid
Purification technique
Affinity purification Immunogen
Storage buffer
pH: 7 Preservative: 0.025% Proclin 300 Constituents: PBS, 20% Glycerol (glycerin, glycerine)
Shipped at conditions
Blue Ice
Appropriate short-term storage duration
1-2 weeks
Appropriate short-term storage conditions
+4°C
Appropriate long-term storage conditions
-20°C
Aliquoting information
Upon delivery aliquot
Storage information
Avoid freeze / thaw cycle

Supplementary information

This supplementary information is collated from multiple sources and compiled automatically.

The ZO1 tight junction protein also known as TJP1 is a critical component of tight junctions in epithelial and endothelial cells. It is a 225 kDa protein that plays a mechanical role in stabilizing cell-cell junctions by linking the actin cytoskeleton to tight junction membrane proteins. ZO1 is expressed in various tissues including the liver kidney and brain where it is essential for maintaining cell polarity and permeability barriers. It acts as a scaffold facilitating the organization of other tight junction proteins.
Biological function summary

ZO1 tight junction protein maintains cellular barriers and regulates paracellular permeability. This protein forms part of the tight junction complex with other proteins like occludin and claudins contributing to cellular integrity. ZO1's presence at tight junctions helps control the passage of ions and molecules between cells therefore ensuring selective permeability while protecting tissue function. Its ability to interact with multiple proteins enables it to coordinate complex signaling mechanisms that are important for cell adhesion and communication.

Pathways

The tight junction protein ZO1 participates in important signaling pathways like the epithelial barrier formation pathway and the actin cytoskeleton regulation pathway. It interacts with proteins like ZO2 and ZO3 which are critical for enhancing barrier function and cytoskeletal dynamics. By participating in these pathways ZO1 helps mediate both the structural and signaling functions necessary for maintaining tissue homeostasis and responding to cellular stress or injury.

ZO1 protein plays a role in conditions such as inflammatory bowel disease (IBD) and cancer. In IBD the disruption of ZO1 leads to compromised intestinal barriers contributing to disease pathogenesis. The loss or mislocalization of ZO1 has been associated with tumorigenesis in cancers where its interaction with other junctional proteins like claudins could influence cancer cell invasiveness. Understanding ZO1's involvement in these disorders provides insights into potential therapeutic targets for improving epithelial barrier function.

Product protocols

For this product, it's our understanding that no specific protocols are required. You can visit:

Target data

TJP1, TJP2, and TJP3 are closely related scaffolding proteins that link tight junction (TJ) transmembrane proteins such as claudins, junctional adhesion molecules, and occludin to the actin cytoskeleton (PubMed : 7798316, PubMed : 9792688). The tight junction acts to limit movement of substances through the paracellular space and as a boundary between the compositionally distinct apical and basolateral plasma membrane domains of epithelial and endothelial cells. Necessary for lumenogenesis, and particularly efficient epithelial polarization and barrier formation (By similarity). Plays a role in the regulation of cell migration by targeting CDC42BPB to the leading edge of migrating cells (PubMed : 21240187). Plays an important role in podosome formation and associated function, thus regulating cell adhesion and matrix remodeling (PubMed : 20930113). With TJP2 and TJP3, participates in the junctional retention and stability of the transcription factor DBPA, but is not involved in its shuttling to the nucleus (By similarity). May play a role in mediating cell morphology changes during ameloblast differentiation via its role in tight junctions (By similarity).
See full target information TJP1

Publications (249)

Recent publications for all applications. Explore the full list and refine your search

Frontiers in physiology 16:1643482 PubMed41059495

2025

Development of a refined neonatal rabbit model of necrotizing enterocolitis with relatively longer survival.

Applications

Unspecified application

Species

Unspecified reactive species

Qing-Qing Guo,Hao Lin,Zhi-Xin Wang,Jian-Bo Wen,Juan-Juan Yang,Shi-Yun Lu

Research (Washington, D.C.) 8:0864 PubMed40904624

2025

Ligustilide Suppresses Macrophage-Mediated Intestinal Inflammation and Restores Gut Barrier via EGR1-ADAM17-TNF-α Pathway in Colitis Mice.

Applications

Unspecified application

Species

Unspecified reactive species

Yanyang Li,Yequn Wu,Jing Liang,Peiqi Chen,Shihua Xu,Yumei Wang,Zhi Jiang,Xudong Zhu,Chaozhan Lin,Yang Yu,Hailin Tang

Journal of thoracic disease 17:5024-5043 PubMed40809237

2025

Sivelestat sodium: a novel therapeutic agent in a mouse model of acute exacerbation pulmonary fibrosis through multiple mechanisms.

Applications

Unspecified application

Species

Unspecified reactive species

Wanwan Xie,Xi Chen,Qiange Wang,Cong Yan,Yanan Liu,Maowei Zhang,Yitian Sun,Xianliang Yan,Bingnan Guo,Bi Chen

Frontiers in immunology 16:1600035 PubMed40799647

2025

Hypobaric hypoxia aggravates neuroinflammation in ligature-induced periodontitis mice via the STAT3 signaling pathway.

Applications

Unspecified application

Species

Unspecified reactive species

Lu Chen,Jiayi Zhang,Xuechao Fei,Jiajing Wang,Jiayue Gao,Xiangpei Yue,Yaqun Jiang,Zibi Shi,Shaojie Zhang,Xiufang Jiang,Wenyue Chang,Zhonghua Dai,Jianjun Guo,Tong Zhao,Xiaoxia Jiang,Lingling Zhu

Histology and histopathology :18968 PubMed40740145

2025

Mechanism of the protective effect of 2,3,5,4'-Tetrahydroxy stilbene-2-O-β-D-glucoside on MPTP-induced Parkinson's disease mice.

Applications

Unspecified application

Species

Unspecified reactive species

Gang Wu,Xiaolin Dong,Qingyun Li,Yanping Li,Furong Jin,Jingting Lu,Chengda Han,Lianbing Lin

Molecular neurodegeneration 20:84 PubMed40702549

2025

Endothelium-specific endoglin triggers astrocyte reactivity via extracellular vesicles in a mouse model of Alzheimer's disease.

Applications

Unspecified application

Species

Unspecified reactive species

Pingao Zhang,Chenghuan Song,Jiyun Shi,Zijie Wei,Jing Wang,Wanying Huang,Rui Zhang,Jintao Wang,Xiaoli Yang,Gang Wang,Xiaoling Gao,Yongfang Zhang,Hongzhuan Chen,Hao Wang

Scientific reports 15:26781 PubMed40702072

2025

RUNX2 mediated epithelial mesenchymal transition induced by TGF beta and Smad signaling promotes malignant progression in glioma.

Applications

Unspecified application

Species

Unspecified reactive species

Peng Zhou,Qianfeng Wei,Haoqian Wang,Tao Yu,Lin Chen,Qiliang Huang,Li Wei,Jingting Jiang

Fluids and barriers of the CNS 22:77 PubMed40696390

2025

Neuroprotective role of pyrroloquinoline quinone in folate deficiency-induced blood-brain barrier disruption.

Applications

Unspecified application

Species

Unspecified reactive species

Sara Aboulhassane,Vishal Sangha,Md Tozammel Hoque,Reina Bendayan

Journal of neuroinflammation 22:174 PubMed40618163

2025

LAG3 limits regulatory T cell proliferation in α-synuclein gut-to-brain transmission model.

Applications

Unspecified application

Species

Unspecified reactive species

Wei-Xin Kong,Zhi-Ling Zhang,Jin Li,Si Zhu,Chong Li,Xiao-Li Dong,Ting-Ting Gan,Di Hu,Feng-Chu Liang,Ping-Yi Xu,Wen-Yuan Guo

Journal of nanobiotechnology 23:445 PubMed40524151

2025

Biosynthesized nanoparticles of Tibetan medicine mercuric sulfide preparation to promote endocytosis and realize drug crossing through blood brain barrier.

Applications

Unspecified application

Species

Unspecified reactive species

Wenjing Jia,Huilan Yue,Liying Liu,Luya Wang,Lin Zhang,Jihong Tao,Guoying Zhou,Lixin Wei,Hongxin Dong,Rinchen Dhondrup,Xiaohui Zhao
View all publications

Product promise

We are committed to supporting your work with high-quality reagents, and we're here for you every step of the way. In the unlikely event that one of our products does not perform as expected, you're protected by our Product Promise.
For full details, please see our Terms & Conditions

Please note: All products are 'FOR RESEARCH USE ONLY. NOT FOR USE IN DIAGNOSTIC OR THERAPEUTIC PROCEDURES'.

For licensing inquiries, please contact partnerships@abcam.com