JavaScript is disabled in your browser. Please enable JavaScript to view this website.
AB221546

Anti-ZO1 tight junction protein antibody [EPR19945-224]

5

(2 Reviews)

|

(12 Publications)

Rabbit Recombinant Monoclonal ZO1 tight junction protein antibody. Suitable for IHC-P and reacts with Mouse, Rat, Human samples. Cited in 12 publications.

View Alternative Names

ZO1, TJP1, Tight junction protein ZO-1, Tight junction protein 1, Zona occludens protein 1, Zonula occludens protein 1

6 Images
Immunohistochemistry (Formalin/PFA-fixed paraffin-embedded sections) - Anti-ZO1 tight junction protein antibody [EPR19945-224] (AB221546)
  • IHC-P

Supplier Data

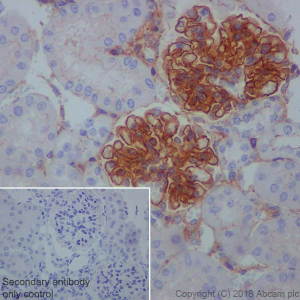
Immunohistochemistry (Formalin/PFA-fixed paraffin-embedded sections) - Anti-ZO1 tight junction protein antibody [EPR19945-224] (AB221546)

Immunohistochemical analysis of paraffin-embedded human kidney tissue labeling ZO1 tight junction protein with ab221546 at 1/1000 dilution followed by a ready to use Goat Anti-Rabbit IgG H&L (HRP). Membranous and cytoplasmic in glomerulus of human kidney (PMID : 18618131) is observed. Counterstained with hematoxylin.
Secondary antibody only control : Used PBS instead of primary antibody secondary antibody is a ready to use Goat Anti-Rabbit IgG H&L (HRP).
Perform heat mediated antigen retrieval using ab93684 (Tris/EDTA buffer pH 9.0).

Immunohistochemistry (Formalin/PFA-fixed paraffin-embedded sections) - Anti-ZO1 tight junction protein antibody [EPR19945-224] (AB221546)
  • IHC-P

Supplier Data

Immunohistochemistry (Formalin/PFA-fixed paraffin-embedded sections) - Anti-ZO1 tight junction protein antibody [EPR19945-224] (AB221546)

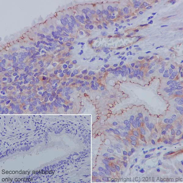
Immunohistochemical analysis of paraffin-embedded human bronchial epithelium tissue labeling ZO1 tight junction protein with ab221546 at 1/1000 dilution followed by a ready to use Goat Anti-Rabbit IgG H&L (HRP). Membranous staining in epithelial and endothelial cells of human bronchial epithelium (PMID : 17585317) is observed. Counterstained with hematoxylin.
Secondary antibody only control : Used PBS instead of primary antibody secondary antibody is a ready to use Goat Anti-Rabbit IgG H&L (HRP).
Perform heat mediated antigen retrieval using ab93684 (Tris/EDTA buffer pH 9.0).

Immunohistochemistry (Formalin/PFA-fixed paraffin-embedded sections) - Anti-ZO1 tight junction protein antibody [EPR19945-224] (AB221546)
  • IHC-P

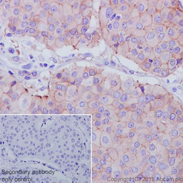
Supplier Data

Immunohistochemistry (Formalin/PFA-fixed paraffin-embedded sections) - Anti-ZO1 tight junction protein antibody [EPR19945-224] (AB221546)

Immunohistochemical analysis of paraffin-embedded human breast cancer tissue labeling ZO1 tight junction protein with ab221546 at 1/1000 dilution followed by a ready to use Goat Anti-Rabbit IgG H&L (HRP). Membranous and cytoplasmic in breast cancer (PMID : 9846967) is observed. Counterstained with hematoxylin.
Secondary antibody only control : Used PBS instead of primary antibody secondary antibody is a ready to use Goat Anti-Rabbit IgG H&L (HRP).
Perform heat mediated antigen retrieval using ab93684 (Tris/EDTA buffer pH 9.0).

Immunohistochemistry (Formalin/PFA-fixed paraffin-embedded sections) - Anti-ZO1 tight junction protein antibody [EPR19945-224] (AB221546)
  • IHC-P

Supplier Data

Immunohistochemistry (Formalin/PFA-fixed paraffin-embedded sections) - Anti-ZO1 tight junction protein antibody [EPR19945-224] (AB221546)

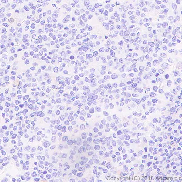
Negative control - Immunohistochemical analysis of paraffin-embedded human liver tissue labeling ZO1 tight junction protein with ab221546 at 1/1000 dilution followed by a ready to use Goat Anti-Rabbit IgG H&L (HRP). Negative staining in lymphocytes of human tonsil (PMID : 17585317) is observed. Counterstained with hematoxylin.
Secondary antibody only control : Used PBS instead of primary antibody secondary antibody is a ready to use Goat Anti-Rabbit IgG H&L (HRP).
Perform heat mediated antigen retrieval using ab93684 (Tris/EDTA buffer pH 9.0).

Immunohistochemistry (Formalin/PFA-fixed paraffin-embedded sections) - Anti-ZO1 tight junction protein antibody [EPR19945-224] (AB221546)
  • IHC-P

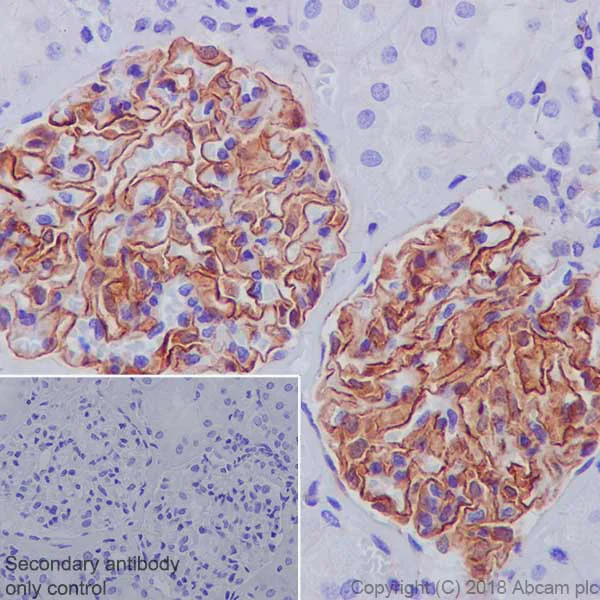
Supplier Data

Immunohistochemistry (Formalin/PFA-fixed paraffin-embedded sections) - Anti-ZO1 tight junction protein antibody [EPR19945-224] (AB221546)

Immunohistochemical analysis of paraffin-embedded mouse kidney tissue labeling ZO1 tight junction protein with ab221546 at 1/1000 dilution followed by a ready to use Goat Anti-Rabbit IgG H&L (HRP). Membranous and cytoplasmic in glomerular of mouse kidney (PMID : 18618131) is observed. Counterstained with hematoxylin.
Secondary antibody only control : Used PBS instead of primary antibody secondary antibody is a ready to use Goat Anti-Rabbit IgG H&L (HRP).
Perform heat mediated antigen retrieval using ab93684 (Tris/EDTA buffer pH 9.0).

Immunohistochemistry (Formalin/PFA-fixed paraffin-embedded sections) - Anti-ZO1 tight junction protein antibody [EPR19945-224] (AB221546)
  • IHC-P

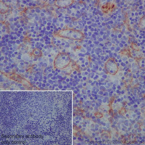
Supplier Data

Immunohistochemistry (Formalin/PFA-fixed paraffin-embedded sections) - Anti-ZO1 tight junction protein antibody [EPR19945-224] (AB221546)

Immunohistochemical analysis of paraffin-embedded rat spleen tissue labeling ZO1 tight junction protein with ab221546 at 1/1000 dilution followed by a ready to use Goat Anti-Rabbit IgG H&L (HRP). Membranous and cytoplasmic in endothelial cells of rat spleen (PMID : 17585317) is observed. Counterstained with hematoxylin.
Secondary antibody only control : Used PBS instead of primary antibody secondary antibody is a ready to use Goat Anti-Rabbit IgG H&L (HRP).
Perform heat mediated antigen retrieval using ab93684 (Tris/EDTA buffer pH 9.0).

  • Carrier free

    Anti-ZO1 tight junction protein antibody [EPR19945-224] - BSA and Azide free

Key facts

Host species

Rabbit

Clonality

Monoclonal

Clone number

EPR19945-224

Isotype

IgG

Carrier free

No

Reacts with

Mouse, Rat, Human

Applications

IHC-P

applications

Immunogen

The exact immunogen used to generate this antibody is proprietary information.

Reactivity data

{ "title": "Reactivity Data", "filters": { "stats": ["", "Species", "Dilution Info", "Notes"], "tabs": { "all-applications": {"fullname" : "All Applications", "shortname": "All Applications"}, "FlowCyt" : {"fullname" : "Flow Cytometry", "shortname":"Flow Cyt"}, "WB" : {"fullname" : "Western blot", "shortname":"WB"}, "ICCIF" : {"fullname" : "Immunocytochemistry/ Immunofluorescence", "shortname":"ICC/IF"}, "IHCFr" : {"fullname" : "Immunohistochemistry (Frozen sections)", "shortname":"IHC-Fr"}, "IHCP" : {"fullname" : "Immunohistochemistry (Formalin/PFA-fixed paraffin-embedded sections)", "shortname":"IHC-P"} }, "product-promise": { "all": "all", "testedAndGuaranteed": "tested", "guaranteed": "expected", "predicted": "predicted", "notRecommended": "not-recommended" } }, "values": { "Human": { "FlowCyt-species-checked": "notRecommended", "FlowCyt-species-dilution-info": "", "FlowCyt-species-notes": "<p></p>", "WB-species-checked": "notRecommended", "WB-species-dilution-info": "", "WB-species-notes": "<p></p>", "ICCIF-species-checked": "notRecommended", "ICCIF-species-dilution-info": "", "ICCIF-species-notes": "<p></p>", "IHCFr-species-checked": "notRecommended", "IHCFr-species-dilution-info": "", "IHCFr-species-notes": "<p></p>", "IHCP-species-checked": "testedAndGuaranteed", "IHCP-species-dilution-info": "1/1000", "IHCP-species-notes": "<p></p>" }, "Mouse": { "FlowCyt-species-checked": "notRecommended", "FlowCyt-species-dilution-info": "", "FlowCyt-species-notes": "<p></p>", "WB-species-checked": "notRecommended", "WB-species-dilution-info": "", "WB-species-notes": "<p></p>", "ICCIF-species-checked": "notRecommended", "ICCIF-species-dilution-info": "", "ICCIF-species-notes": "<p></p>", "IHCFr-species-checked": "notRecommended", "IHCFr-species-dilution-info": "", "IHCFr-species-notes": "<p></p>", "IHCP-species-checked": "testedAndGuaranteed", "IHCP-species-dilution-info": "1/1000", "IHCP-species-notes": "<p></p>" }, "Rat": { "FlowCyt-species-checked": "notRecommended", "FlowCyt-species-dilution-info": "", "FlowCyt-species-notes": "<p></p>", "WB-species-checked": "notRecommended", "WB-species-dilution-info": "", "WB-species-notes": "<p></p>", "ICCIF-species-checked": "notRecommended", "ICCIF-species-dilution-info": "", "ICCIF-species-notes": "<p></p>", "IHCFr-species-checked": "notRecommended", "IHCFr-species-dilution-info": "", "IHCFr-species-notes": "<p></p>", "IHCP-species-checked": "testedAndGuaranteed", "IHCP-species-dilution-info": "1/1000", "IHCP-species-notes": "<p></p>" } } }

Product details

Patented technology
Our RabMAb® technology is a patented hybridoma-based technology for making rabbit monoclonal antibodies. For details on our patents, please refer to RabMAb® patents.

What are the advantages of a recombinant monoclonal antibody?
This product is a recombinant monoclonal antibody, which offers several advantages including:

  • - High batch-to-batch consistency and reproducibility
  • - Improved sensitivity and specificity
  • - Long-term security of supply
  • - Animal-free batch production

For more information, read more on recombinant antibodies.

Properties and storage information

Form
Liquid
Purification technique
Affinity purification Protein A
Storage buffer
pH: 7.2 - 7.4 Preservative: 0.01% Sodium azide Constituents: PBS, 40% Glycerol (glycerin, glycerine), 0.05% BSA
Shipped at conditions
Blue Ice
Appropriate short-term storage duration
1-2 weeks
Appropriate short-term storage conditions
+4°C
Appropriate long-term storage conditions
-20°C
Aliquoting information
Upon delivery aliquot
Storage information
Avoid freeze / thaw cycle

Supplementary information

This supplementary information is collated from multiple sources and compiled automatically.

The ZO1 tight junction protein also known as TJP1 is a critical component of tight junctions in epithelial and endothelial cells. It is a 225 kDa protein that plays a mechanical role in stabilizing cell-cell junctions by linking the actin cytoskeleton to tight junction membrane proteins. ZO1 is expressed in various tissues including the liver kidney and brain where it is essential for maintaining cell polarity and permeability barriers. It acts as a scaffold facilitating the organization of other tight junction proteins.
Biological function summary

ZO1 tight junction protein maintains cellular barriers and regulates paracellular permeability. This protein forms part of the tight junction complex with other proteins like occludin and claudins contributing to cellular integrity. ZO1's presence at tight junctions helps control the passage of ions and molecules between cells therefore ensuring selective permeability while protecting tissue function. Its ability to interact with multiple proteins enables it to coordinate complex signaling mechanisms that are important for cell adhesion and communication.

Pathways

The tight junction protein ZO1 participates in important signaling pathways like the epithelial barrier formation pathway and the actin cytoskeleton regulation pathway. It interacts with proteins like ZO2 and ZO3 which are critical for enhancing barrier function and cytoskeletal dynamics. By participating in these pathways ZO1 helps mediate both the structural and signaling functions necessary for maintaining tissue homeostasis and responding to cellular stress or injury.

ZO1 protein plays a role in conditions such as inflammatory bowel disease (IBD) and cancer. In IBD the disruption of ZO1 leads to compromised intestinal barriers contributing to disease pathogenesis. The loss or mislocalization of ZO1 has been associated with tumorigenesis in cancers where its interaction with other junctional proteins like claudins could influence cancer cell invasiveness. Understanding ZO1's involvement in these disorders provides insights into potential therapeutic targets for improving epithelial barrier function.

Product protocols

For this product, it's our understanding that no specific protocols are required. You can visit:

Target data

TJP1, TJP2, and TJP3 are closely related scaffolding proteins that link tight junction (TJ) transmembrane proteins such as claudins, junctional adhesion molecules, and occludin to the actin cytoskeleton (PubMed : 7798316, PubMed : 9792688). The tight junction acts to limit movement of substances through the paracellular space and as a boundary between the compositionally distinct apical and basolateral plasma membrane domains of epithelial and endothelial cells. Necessary for lumenogenesis, and particularly efficient epithelial polarization and barrier formation (By similarity). Plays a role in the regulation of cell migration by targeting CDC42BPB to the leading edge of migrating cells (PubMed : 21240187). Plays an important role in podosome formation and associated function, thus regulating cell adhesion and matrix remodeling (PubMed : 20930113). With TJP2 and TJP3, participates in the junctional retention and stability of the transcription factor DBPA, but is not involved in its shuttling to the nucleus (By similarity). May play a role in mediating cell morphology changes during ameloblast differentiation via its role in tight junctions (By similarity).
See full target information TJP1

Publications (12)

Recent publications for all applications. Explore the full list and refine your search

Scientific reports 15:27159 PubMed40715435

2025

Gentiopicroside improves DSS-induced ulcerative colitis and secondary liver injury in mice by enhancing the intestinal barrier and regulating the gut microbiome.

Applications

Unspecified application

Species

Unspecified reactive species

Liu Cao,Mengyuan Niu,Xiaoqing Tang,Yiting Wang,Xianjing Hu,Weibo Dai

Nature communications 16:3434 PubMed40210868

2025

Balance between bile acid conjugation and hydrolysis activity can alter outcomes of gut inflammation.

Applications

Unspecified application

Species

Unspecified reactive species

Yousi Fu,Douglas V Guzior,Maxwell Okros,Christopher Bridges,Sabrina L Rosset,Cely T González,Christian Martin,Hansani Karunarathne,Victoria E Watson,Robert A Quinn

Frontiers in nutrition 11:1383658 PubMed38988853

2024

Intermittent protein restriction before but not after the onset of diabetic kidney disease attenuates disease progression in mice.

Applications

Unspecified application

Species

Unspecified reactive species

Xiaoyue Peng,Min Liu,Yijie Wu,Wenying Fan,Yi Hou,Yan Kong,Yajin Liu,Xuejiao Zhang,Chunyan Shan,Haipeng Sun,Yanhui Yang

PloS one 18:e0291022 PubMed37656700

2023

Irisin ameliorates myocardial ischemia-reperfusion injury by modulating gut microbiota and intestinal permeability in rats.

Applications

Unspecified application

Species

Unspecified reactive species

Qingqing Liu,Yu Zhu,Guangyao Li,Tiantian Guo,Mengtong Jin,Duan Xi,Shuai Wang,Xuezhi Liu,Shuming Guo,Hui Liu,Jiamao Fan,Ronghua Liu

Open medicine (Warsaw, Poland) 18:20230714 PubMed37273916

2023

Vitamin D protects intestines from liver cirrhosis-induced inflammation and oxidative stress by inhibiting the TLR4/MyD88/NF-κB signaling pathway.

Applications

Unspecified application

Species

Unspecified reactive species

Mei Luo,Yuanhong Xu,Jike Li,Dongxia Luo,Li Zhu,Yanxi Wu,Xiaodong Liu,Pengfei Wu

BioMed research international 2022:4801695 PubMed35837380

2022

Intervention of Shugan Xiaozhi Decoction on Nonalcoholic Fatty Liver Disease via Mediating Gut-Liver Axis.

Applications

Unspecified application

Species

Unspecified reactive species

Huili Yang,Lian Feng,Linyi Xu,Dansheng Jiang,Fenfen Zhai,Guangdong Tong,Yufeng Xing

Foods (Basel, Switzerland) 11: PubMed35681301

2022

Protective Effects of a Novel Probiotic on the Intestinal Barrier of Colitis Mice via Modulating the Pparγ/STAT3 Pathway and Intestinal Microbiota.

Applications

Unspecified application

Species

Unspecified reactive species

Weiling Guo,Bingyong Mao,Shumao Cui,Xin Tang,Qiuxiang Zhang,Jianxin Zhao,Hao Zhang

Frontiers in veterinary science 9:830073 PubMed35425830

2022

Assessment of Antimicrobial Effects on Broiler Gut Barrier Through Histopathology and Immunohistochemistry of Tight-Junction Proteins.

Applications

Unspecified application

Species

Unspecified reactive species

Matteo Cuccato,Frine Eleonora Scaglione,Cinzia Centelleghe,Sara Divari,Bartolomeo Biolatti,Paola Pregel,Francesca Tiziana Cannizzo

Frontiers in physiology 13:778479 PubMed35309056

2022

Inhibition of PI3K/AKT/mTOR Signalling Pathway Activates Autophagy and Suppresses Peritoneal Fibrosis in the Process of Peritoneal Dialysis.

Applications

Unspecified application

Species

Unspecified reactive species

Miao Jia,Hong Qiu,Lihua Lin,Shun Zhang,Damei Li,Donghua Jin

Frontiers in immunology 13:762580 PubMed35185872

2022

Indole-3-Acetic Acid Alters Intestinal Microbiota and Alleviates Ankylosing Spondylitis in Mice.

Applications

Unspecified application

Species

Unspecified reactive species

Jun Shen,Lianjun Yang,Ke You,Tao Chen,Zhihai Su,Zhifei Cui,Min Wang,Weicong Zhang,Bin Liu,Kai Zhou,Hai Lu
View all publications

Product promise

We are committed to supporting your work with high-quality reagents, and we're here for you every step of the way. In the unlikely event that one of our products does not perform as expected, you're protected by our Product Promise.
For full details, please see our Terms & Conditions

Please note: All products are 'FOR RESEARCH USE ONLY. NOT FOR USE IN DIAGNOSTIC OR THERAPEUTIC PROCEDURES'.

For licensing inquiries, please contact partnerships@abcam.com