JavaScript is disabled in your browser. Please enable JavaScript to view this website.
AB251567

Anti-ZO1 tight junction protein antibody [EPR19945-224] - BSA and Azide free

Be the first to review this product! Submit a review

|

(1 Publication)

Rabbit Recombinant Monoclonal ZO1 tight junction protein antibody. Carrier free. Suitable for IHC-P and reacts with Mouse, Rat, Human samples. Cited in 1 publication.

View Alternative Names

ZO1, TJP1, Tight junction protein ZO-1, Tight junction protein 1, Zona occludens protein 1, Zonula occludens protein 1

6 Images
Immunohistochemistry (Formalin/PFA-fixed paraffin-embedded sections) - Anti-ZO1 tight junction protein antibody [EPR19945-224] - BSA and Azide free (AB251567)
  • IHC-P

Supplier Data

Immunohistochemistry (Formalin/PFA-fixed paraffin-embedded sections) - Anti-ZO1 tight junction protein antibody [EPR19945-224] - BSA and Azide free (AB251567)

This data was developed using ab221546, the same antibody clone in a different buffer formulation.

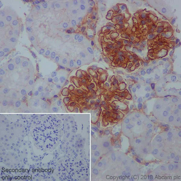
Immunohistochemical analysis of paraffin-embedded human kidney tissue labeling ZO1 tight junction protein with ab221546 at 1/1000 dilution, followed by a ready to use Goat Anti-Rabbit IgG H&L (HRP). Membranous and cytoplasmic in glomerulus of human kidney (PMID : 18618131) is observed. Counterstained with hematoxylin.
Secondary antibody only control : Used PBS instead of primary antibody, secondary antibody is a ready to use Goat Anti-Rabbit IgG H&L (HRP).
Perform heat mediated antigen retrieval using ab93684 (Tris/EDTA buffer, pH 9.0).

Immunohistochemistry (Formalin/PFA-fixed paraffin-embedded sections) - Anti-ZO1 tight junction protein antibody [EPR19945-224] - BSA and Azide free (AB251567)
  • IHC-P

Supplier Data

Immunohistochemistry (Formalin/PFA-fixed paraffin-embedded sections) - Anti-ZO1 tight junction protein antibody [EPR19945-224] - BSA and Azide free (AB251567)

This data was developed using ab221546, the same antibody clone in a different buffer formulation.

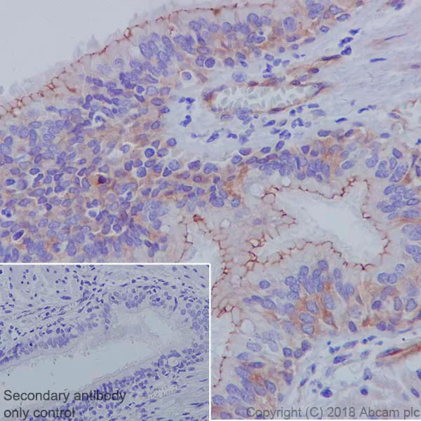
Immunohistochemical analysis of paraffin-embedded human bronchial epithelium tissue labeling ZO1 tight junction protein with ab221546 at 1/1000 dilution, followed by a ready to use Goat Anti-Rabbit IgG H&L (HRP). Membranous staining in epithelial and endothelial cells of human bronchial epithelium (PMID : 17585317) is observed. Counterstained with hematoxylin.
Secondary antibody only control : Used PBS instead of primary antibody, secondary antibody is a ready to use Goat Anti-Rabbit IgG H&L (HRP).
Perform heat mediated antigen retrieval using ab93684 (Tris/EDTA buffer, pH 9.0).

Immunohistochemistry (Formalin/PFA-fixed paraffin-embedded sections) - Anti-ZO1 tight junction protein antibody [EPR19945-224] - BSA and Azide free (AB251567)
  • IHC-P

Supplier Data

Immunohistochemistry (Formalin/PFA-fixed paraffin-embedded sections) - Anti-ZO1 tight junction protein antibody [EPR19945-224] - BSA and Azide free (AB251567)

This data was developed using ab221546, the same antibody clone in a different buffer formulation.

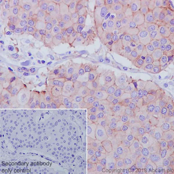
Immunohistochemical analysis of paraffin-embedded human breast cancer tissue labeling ZO1 tight junction protein with ab221546 at 1/1000 dilution, followed by a ready to use Goat Anti-Rabbit IgG H&L (HRP). Membranous and cytoplasmic in breast cancer (PMID : 9846967) is observed. Counterstained with hematoxylin.
Secondary antibody only control : Used PBS instead of primary antibody, secondary antibody is a ready to use Goat Anti-Rabbit IgG H&L (HRP).
Perform heat mediated antigen retrieval using ab93684 (Tris/EDTA buffer, pH 9.0).

Immunohistochemistry (Formalin/PFA-fixed paraffin-embedded sections) - Anti-ZO1 tight junction protein antibody [EPR19945-224] - BSA and Azide free (AB251567)
  • IHC-P

Supplier Data

Immunohistochemistry (Formalin/PFA-fixed paraffin-embedded sections) - Anti-ZO1 tight junction protein antibody [EPR19945-224] - BSA and Azide free (AB251567)

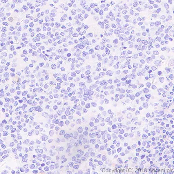
This data was developed using ab221546, the same antibody clone in a different buffer formulation.Negative control - Immunohistochemical analysis of paraffin-embedded human liver tissue labeling ZO1 tight junction protein with ab221546 at 1/1000 dilution, followed by a ready to use Goat Anti-Rabbit IgG H&L (HRP). Negative staining in lymphocytes of human tonsil (PMID : 17585317) is observed. Counterstained with hematoxylin.
Secondary antibody only control : Used PBS instead of primary antibody, secondary antibody is a ready to use Goat Anti-Rabbit IgG H&L (HRP).
Perform heat mediated antigen retrieval using ab93684 (Tris/EDTA buffer, pH 9.0).

Immunohistochemistry (Formalin/PFA-fixed paraffin-embedded sections) - Anti-ZO1 tight junction protein antibody [EPR19945-224] - BSA and Azide free (AB251567)
  • IHC-P

Supplier Data

Immunohistochemistry (Formalin/PFA-fixed paraffin-embedded sections) - Anti-ZO1 tight junction protein antibody [EPR19945-224] - BSA and Azide free (AB251567)

This data was developed using ab221546, the same antibody clone in a different buffer formulation.

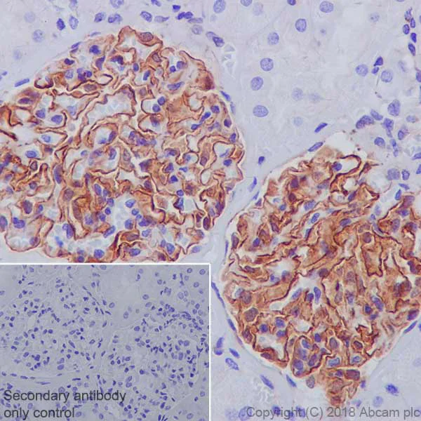
Immunohistochemical analysis of paraffin-embedded mouse kidney tissue labeling ZO1 tight junction protein with ab221546 at 1/1000 dilution, followed by a ready to use Goat Anti-Rabbit IgG H&L (HRP). Membranous and cytoplasmic in glomerular of mouse kidney (PMID : 18618131) is observed. Counterstained with hematoxylin.
Secondary antibody only control : Used PBS instead of primary antibody, secondary antibody is a ready to use Goat Anti-Rabbit IgG H&L (HRP).
Perform heat mediated antigen retrieval using ab93684 (Tris/EDTA buffer, pH 9.0).

Immunohistochemistry (Formalin/PFA-fixed paraffin-embedded sections) - Anti-ZO1 tight junction protein antibody [EPR19945-224] - BSA and Azide free (AB251567)
  • IHC-P

Supplier Data

Immunohistochemistry (Formalin/PFA-fixed paraffin-embedded sections) - Anti-ZO1 tight junction protein antibody [EPR19945-224] - BSA and Azide free (AB251567)

This data was developed using ab221546, the same antibody clone in a different buffer formulation.

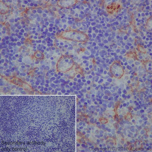
Immunohistochemical analysis of paraffin-embedded rat spleen tissue labeling ZO1 tight junction protein with ab221546 at 1/1000 dilution, followed by a ready to use Goat Anti-Rabbit IgG H&L (HRP). Membranous and cytoplasmic in endothelial cells of rat spleen (PMID : 17585317) is observed. Counterstained with hematoxylin.
Secondary antibody only control : Used PBS instead of primary antibody, secondary antibody is a ready to use Goat Anti-Rabbit IgG H&L (HRP).
Perform heat mediated antigen retrieval using ab93684 (Tris/EDTA buffer, pH 9.0).

  • Unconjugated

    Anti-ZO1 tight junction protein antibody [EPR19945-224]

Key facts

Host species

Rabbit

Clonality

Monoclonal

Clone number

EPR19945-224

Isotype

IgG

Carrier free

Yes

Reacts with

Mouse, Rat, Human

Applications

IHC-P

applications

Immunogen

The exact immunogen used to generate this antibody is proprietary information.

Reactivity data

{ "title": "Reactivity Data", "filters": { "stats": ["", "Species", "Dilution Info", "Notes"], "tabs": { "all-applications": {"fullname" : "All Applications", "shortname": "All Applications"}, "IHCP" : {"fullname" : "Immunohistochemistry (Formalin/PFA-fixed paraffin-embedded sections)", "shortname":"IHC-P"}, "FlowCyt" : {"fullname" : "Flow Cytometry", "shortname":"Flow Cyt"}, "WB" : {"fullname" : "Western blot", "shortname":"WB"}, "ICCIF" : {"fullname" : "Immunocytochemistry/ Immunofluorescence", "shortname":"ICC/IF"}, "IHCFr" : {"fullname" : "Immunohistochemistry (Frozen sections)", "shortname":"IHC-Fr"} }, "product-promise": { "all": "all", "testedAndGuaranteed": "tested", "guaranteed": "expected", "predicted": "predicted", "notRecommended": "not-recommended" } }, "values": { "Human": { "IHCP-species-checked": "testedAndGuaranteed", "IHCP-species-dilution-info": "", "IHCP-species-notes": "<p></p>", "FlowCyt-species-checked": "notRecommended", "FlowCyt-species-dilution-info": "", "FlowCyt-species-notes": "<p></p>", "WB-species-checked": "notRecommended", "WB-species-dilution-info": "", "WB-species-notes": "<p></p>", "ICCIF-species-checked": "notRecommended", "ICCIF-species-dilution-info": "", "ICCIF-species-notes": "<p></p>", "IHCFr-species-checked": "notRecommended", "IHCFr-species-dilution-info": "", "IHCFr-species-notes": "" }, "Mouse": { "IHCP-species-checked": "testedAndGuaranteed", "IHCP-species-dilution-info": "", "IHCP-species-notes": "<p></p>", "FlowCyt-species-checked": "notRecommended", "FlowCyt-species-dilution-info": "", "FlowCyt-species-notes": "<p></p>", "WB-species-checked": "notRecommended", "WB-species-dilution-info": "", "WB-species-notes": "<p></p>", "ICCIF-species-checked": "notRecommended", "ICCIF-species-dilution-info": "", "ICCIF-species-notes": "<p></p>", "IHCFr-species-checked": "notRecommended", "IHCFr-species-dilution-info": "", "IHCFr-species-notes": "<p></p>" }, "Rat": { "IHCP-species-checked": "testedAndGuaranteed", "IHCP-species-dilution-info": "", "IHCP-species-notes": "<p></p>", "FlowCyt-species-checked": "notRecommended", "FlowCyt-species-dilution-info": "", "FlowCyt-species-notes": "<p></p>", "WB-species-checked": "notRecommended", "WB-species-dilution-info": "", "WB-species-notes": "<p></p>", "ICCIF-species-checked": "notRecommended", "ICCIF-species-dilution-info": "", "ICCIF-species-notes": "<p></p>", "IHCFr-species-checked": "notRecommended", "IHCFr-species-dilution-info": "", "IHCFr-species-notes": "" } } }

Product details

ab251567 is the carrier-free version of ab221546.

Patented technology
Our RabMAb® technology is a patented hybridoma-based technology for making rabbit monoclonal antibodies. For details on our patents, please refer to RabMAb® patents.

What are the advantages of a recombinant monoclonal antibody?
This product is a recombinant monoclonal antibody, which offers several advantages including:

  • - High batch-to-batch consistency and reproducibility
  • - Improved sensitivity and specificity
  • - Long-term security of supply
  • - Animal-free batch production

For more information, read more on recombinant antibodies.

Conjugation ready
Our carrier-free antibodies are typically supplied in a PBS-only formulation, purified and free of BSA, sodium azide and glycerol. This conjugation-ready format is designed for use with fluorochromes, metal isotopes, oligonucleotides, and enzymes, which makes them ideal for antibody labelling, functional and cell-based assays, flow-based assays (e.g. mass cytometry) and Multiplex Imaging applications.

Use our conjugation kits for antibody conjugates that are ready-to-use in as little as 20 minutes with 1 minute hands-on-time and 100% antibody recovery: available for fluorescent dyes, HRP, biotin and gold.

Compatibility
This product is compatible with the Maxpar® Antibody Labeling Kit from Fluidigm, without the need for antibody preparation. Maxpar® is a trademark of Fluidigm Canada Inc.

Properties and storage information

Form
Liquid
Purification technique
Affinity purification Protein A
Storage buffer
pH: 7.2 - 7.4 Constituents: PBS
Shipped at conditions
Blue Ice
Appropriate short-term storage conditions
+4°C
Appropriate long-term storage conditions
+4°C
Storage information
Do Not Freeze

Supplementary information

This supplementary information is collated from multiple sources and compiled automatically.

The ZO1 tight junction protein also known as TJP1 is a critical component of tight junctions in epithelial and endothelial cells. It is a 225 kDa protein that plays a mechanical role in stabilizing cell-cell junctions by linking the actin cytoskeleton to tight junction membrane proteins. ZO1 is expressed in various tissues including the liver kidney and brain where it is essential for maintaining cell polarity and permeability barriers. It acts as a scaffold facilitating the organization of other tight junction proteins.
Biological function summary

ZO1 tight junction protein maintains cellular barriers and regulates paracellular permeability. This protein forms part of the tight junction complex with other proteins like occludin and claudins contributing to cellular integrity. ZO1's presence at tight junctions helps control the passage of ions and molecules between cells therefore ensuring selective permeability while protecting tissue function. Its ability to interact with multiple proteins enables it to coordinate complex signaling mechanisms that are important for cell adhesion and communication.

Pathways

The tight junction protein ZO1 participates in important signaling pathways like the epithelial barrier formation pathway and the actin cytoskeleton regulation pathway. It interacts with proteins like ZO2 and ZO3 which are critical for enhancing barrier function and cytoskeletal dynamics. By participating in these pathways ZO1 helps mediate both the structural and signaling functions necessary for maintaining tissue homeostasis and responding to cellular stress or injury.

ZO1 protein plays a role in conditions such as inflammatory bowel disease (IBD) and cancer. In IBD the disruption of ZO1 leads to compromised intestinal barriers contributing to disease pathogenesis. The loss or mislocalization of ZO1 has been associated with tumorigenesis in cancers where its interaction with other junctional proteins like claudins could influence cancer cell invasiveness. Understanding ZO1's involvement in these disorders provides insights into potential therapeutic targets for improving epithelial barrier function.

Product protocols

For this product, it's our understanding that no specific protocols are required. You can visit:

Target data

TJP1, TJP2, and TJP3 are closely related scaffolding proteins that link tight junction (TJ) transmembrane proteins such as claudins, junctional adhesion molecules, and occludin to the actin cytoskeleton (PubMed : 7798316, PubMed : 9792688). The tight junction acts to limit movement of substances through the paracellular space and as a boundary between the compositionally distinct apical and basolateral plasma membrane domains of epithelial and endothelial cells. Necessary for lumenogenesis, and particularly efficient epithelial polarization and barrier formation (By similarity). Plays a role in the regulation of cell migration by targeting CDC42BPB to the leading edge of migrating cells (PubMed : 21240187). Plays an important role in podosome formation and associated function, thus regulating cell adhesion and matrix remodeling (PubMed : 20930113). With TJP2 and TJP3, participates in the junctional retention and stability of the transcription factor DBPA, but is not involved in its shuttling to the nucleus (By similarity). May play a role in mediating cell morphology changes during ameloblast differentiation via its role in tight junctions (By similarity).
See full target information TJP1

Publications (1)

Recent publications for all applications. Explore the full list and refine your search

Cancer cell 39:1479-1496.e18 PubMed34653364

2021

Signatures of plasticity, metastasis, and immunosuppression in an atlas of human small cell lung cancer.

Applications

Unspecified application

Species

Unspecified reactive species

Joseph M Chan,Álvaro Quintanal-Villalonga,Vianne Ran Gao,Yubin Xie,Viola Allaj,Ojasvi Chaudhary,Ignas Masilionis,Jacklynn Egger,Andrew Chow,Thomas Walle,Marissa Mattar,Dig V K Yarlagadda,James L Wang,Fathema Uddin,Michael Offin,Metamia Ciampricotti,Besnik Qeriqi,Amber Bahr,Elisa de Stanchina,Umesh K Bhanot,W Victoria Lai,Matthew J Bott,David R Jones,Arvin Ruiz,Marina K Baine,Yanyun Li,Natasha Rekhtman,John T Poirier,Tal Nawy,Triparna Sen,Linas Mazutis,Travis J Hollmann,Dana Pe'er,Charles M Rudin
View all publications

Product promise

We are committed to supporting your work with high-quality reagents, and we're here for you every step of the way. In the unlikely event that one of our products does not perform as expected, you're protected by our Product Promise.
For full details, please see our Terms & Conditions

Please note: All products are 'FOR RESEARCH USE ONLY. NOT FOR USE IN DIAGNOSTIC OR THERAPEUTIC PROCEDURES'.

For licensing inquiries, please contact partnerships@abcam.com