JavaScript is disabled in your browser. Please enable JavaScript to view this website.
AB204231

Anti-Zonula occludens protein 3/ZO3 antibody

Be the first to review this product! Submit a review

|

(2 Publications)

Rabbit Polyclonal Zonula occludens protein 3/ZO3 antibody. Suitable for IHC-P, ICC/IF and reacts with Human samples. Cited in 2 publications. Immunogen corresponding to Recombinant Fragment Protein within Human TJP3 aa 50-150.

View Alternative Names

ZO3, TJP3, Tight junction protein ZO-3, Tight junction protein 3, Zona occludens protein 3, Zonula occludens protein 3

4 Images
Immunocytochemistry/ Immunofluorescence - Anti-Zonula occludens protein 3/ZO3 antibody (AB204231)
  • ICC/IF

Supplier Data

Immunocytochemistry/ Immunofluorescence - Anti-Zonula occludens protein 3/ZO3 antibody (AB204231)

Immunofluorescence analysis of CACO-2 cells labeling Zonula occludens protein 3/ZO3 with ab204231 at 4 μg/ml.

Fixation/Permeabilization : PFA/Triton X-100

Immunohistochemistry (Formalin/PFA-fixed paraffin-embedded sections) - Anti-Zonula occludens protein 3/ZO3 antibody (AB204231)
  • IHC-P

Supplier Data

Immunohistochemistry (Formalin/PFA-fixed paraffin-embedded sections) - Anti-Zonula occludens protein 3/ZO3 antibody (AB204231)

Immunohistochemical analysis of human small intestine labeling Zonula occludens protein 3/ZO3 with ab204231 at a 1/200 dilution.

Negative control : Cerebral cortex

Immunohistochemistry (Formalin/PFA-fixed paraffin-embedded sections) - Anti-Zonula occludens protein 3/ZO3 antibody (AB204231)
  • IHC-P

Supplier Data

Immunohistochemistry (Formalin/PFA-fixed paraffin-embedded sections) - Anti-Zonula occludens protein 3/ZO3 antibody (AB204231)

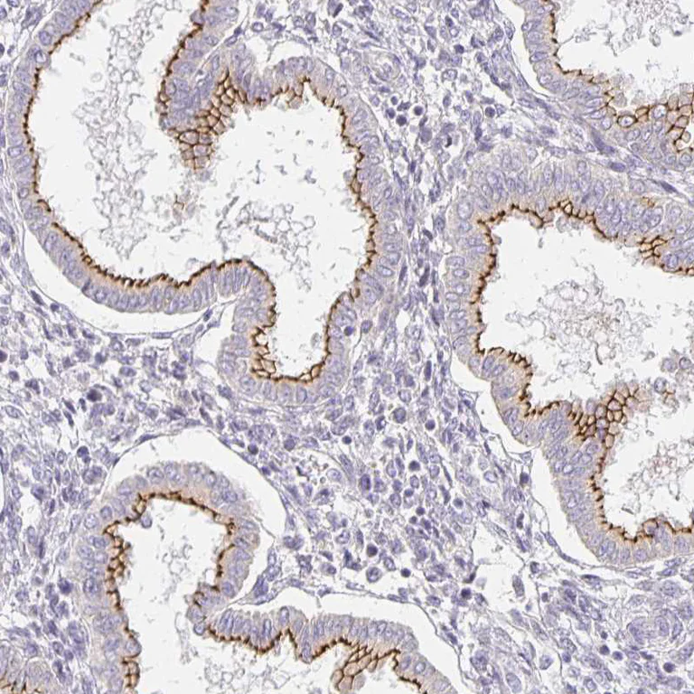
Immunohistochemical analysis of human fallopian tube labeling Zonula occludens protein 3/ZO3 with ab204231 at 1/200 dilution. Strong membranous positivity in glandular cells.

Immunohistochemistry (Formalin/PFA-fixed paraffin-embedded sections) - Anti-Zonula occludens protein 3/ZO3 antibody (AB204231)
  • IHC-P

Supplier Data

Immunohistochemistry (Formalin/PFA-fixed paraffin-embedded sections) - Anti-Zonula occludens protein 3/ZO3 antibody (AB204231)

Immunohistochemical analysis of human endometrium labeling Zonula occludens protein 3/ZO3 with ab204231 at 1/200 dilution. Strong membranous positivity in glandular cells.

Key facts

Host species

Rabbit

Clonality

Polyclonal

Isotype

IgG

Carrier free

No

Reacts with

Human

Applications

IHC-P, ICC/IF

applications

Immunogen

Recombinant Fragment Protein within Human TJP3 aa 50-150. The exact immunogen used to generate this antibody is proprietary information.

O95049

Reactivity data

{ "title": "Reactivity Data", "filters": { "stats": ["", "Species", "Dilution Info", "Notes"], "tabs": { "all-applications": {"fullname" : "All Applications", "shortname": "All Applications"}, "IHCP" : {"fullname" : "Immunohistochemistry (Formalin/PFA-fixed paraffin-embedded sections)", "shortname":"IHC-P"}, "ICCIF" : {"fullname" : "Immunocytochemistry/ Immunofluorescence", "shortname":"ICC/IF"} }, "product-promise": { "all": "all", "testedAndGuaranteed": "tested", "guaranteed": "expected", "predicted": "predicted", "notRecommended": "not-recommended" } }, "values": { "Human": { "IHCP-species-checked": "testedAndGuaranteed", "IHCP-species-dilution-info": "1/200 - 1/500", "IHCP-species-notes": "<p></p> Perform heat-mediated antigen retrieval with citrate buffer pH 6 before commencing with IHC staining protocol.", "ICCIF-species-checked": "testedAndGuaranteed", "ICCIF-species-dilution-info": "0.25-2 µg/mL", "ICCIF-species-notes": "<p></p>" } } }

Properties and storage information

Form
Liquid
Purification technique
Affinity purification Immunogen
Storage buffer
pH: 7.2 Preservative: 0.02% Sodium azide Constituents: 59% PBS, 40% Glycerol (glycerin, glycerine)
Shipped at conditions
Blue Ice
Appropriate short-term storage duration
1-2 weeks
Appropriate short-term storage conditions
+4°C
Appropriate long-term storage conditions
-20°C
Aliquoting information
Upon delivery aliquot
Storage information
Avoid freeze / thaw cycle

Supplementary information

This supplementary information is collated from multiple sources and compiled automatically.

Zonula occludens protein 3 (ZO-3) also known as Tight junction protein 3 is a component of tight junction complexes located in epithelial and endothelial cells. ZO-3 exhibits a molecular mass of approximately 130 kDa. Within the cellular environment ZO-3 serves as a scaffold protein anchoring transmembrane proteins to the actin cytoskeleton maintaining tight junction integrity. Expressions of ZO-3 occur in tissues where tight junctions are present including the intestinal epithelium and blood-brain barrier.
Biological function summary

ZO-3 participates with other proteins in maintaining cellular polarity and regulating paracellular permeability. It forms a part of the tight junction complex where it interacts with proteins like ZO-1 and occludin. Through these interactions ZO-3 contributes to the junctional barrier between adjacent cells playing an essential role in controlling the passage of molecules and ions through these cellular layers. ZO-3 also helps in signal transduction pathways linked to cellular proliferation and differentiation.

Pathways

ZO-3 plays a significant role in tight junction signaling and the establishment of epithelial cell adhesion. Within these pathways ZO-3 collaborates with ZO-1 and other junctional proteins forming a network that regulates cellular responses to extracellular stimuli. These associations reinforce the epithelial barrier and help manage processes such as inflammation and tissue repair important for maintaining tissue homeostasis.

Zonula occludens protein 3 has a connection to conditions like inflammatory bowel disease (IBD) and certain cancers. Variations or disruptions in ZO-3 expression can weaken the intestinal barrier having potentially contributing effects on the development of IBD. Furthermore ZO-3 has an association with tumor suppressor proteins like ZO-1 suggesting that its dysfunction might play a role in the progression of cancerous growths by altering barrier properties and influencing cell proliferation.

Product protocols

For this product, it's our understanding that no specific protocols are required. You can visit:

Target data

TJP1, TJP2, and TJP3 are closely related scaffolding proteins that link tight junction (TJ) transmembrane proteins such as claudins, junctional adhesion molecules, and occludin to the actin cytoskeleton (PubMed : 16129888). The tight junction acts to limit movement of substances through the paracellular space and as a boundary between the compositionally distinct apical and basolateral plasma membrane domains of epithelial and endothelial cells. Binds and recruits PATJ to tight junctions where it connects and stabilizes apical and lateral components of tight junctions (PubMed : 16129888). Promotes cell-cycle progression through the sequestration of cyclin D1 (CCND1) at tight junctions during mitosis which prevents CCND1 degradation during M-phase and enables S-phase transition (PubMed : 21411630). With TJP1 and TJP2, participates in the junctional retention and stability of the transcription factor DBPA, but is not involved in its shuttling to the nucleus (By similarity). Contrary to TJP2, TJP3 is dispensable for individual viability, embryonic development, epithelial differentiation, and the establishment of TJs, at least in the laboratory environment (By similarity).
See full target information TJP3

Publications (2)

Recent publications for all applications. Explore the full list and refine your search

International journal of molecular sciences 25: PubMed39456818

2024

Cadmium Induces Vascular Endothelial Cell Detachment by Downregulating Claudin-5 and ZO-1 Levels.

Applications

Unspecified application

Species

Unspecified reactive species

Takato Hara,Mayuka Asatsu,Tatsuya Yamagishi,Chinami Ohata,Hitomi Funatsu,Yuzuki Takahashi,Misaki Shirai,Chiaki Nakata,Haruka Katayama,Toshiyuki Kaji,Tomoya Fujie,Chika Yamamoto

Cancers 15: PubMed37046668

2023

Reticulocalbin 3 Is a Novel Mediator of Glioblastoma Progression.

Applications

Unspecified application

Species

Unspecified reactive species

Yi He,Salvador Alejo,Jessica D Johnson,Sridharan Jayamohan,Gangadhara R Sareddy
View all publications

Product promise

We are committed to supporting your work with high-quality reagents, and we're here for you every step of the way. In the unlikely event that one of our products does not perform as expected, you're protected by our Product Promise.
For full details, please see our Terms & Conditions

Please note: All products are 'FOR RESEARCH USE ONLY. NOT FOR USE IN DIAGNOSTIC OR THERAPEUTIC PROCEDURES'.

For licensing inquiries, please contact partnerships@abcam.com