JavaScript is disabled in your browser. Please enable JavaScript to view this website.
AB230219

Anti-ZP2 antibody

Be the first to review this product! Submit a review

|

(0 Publication)

Rabbit Polyclonal ZP2 antibody. Suitable for WB, IHC-P and reacts with Human samples. Immunogen corresponding to Recombinant Fragment Protein within Human ZP2 aa 650 to C-terminus.

View Alternative Names

ZPA, ZP2, Zona pellucida sperm-binding protein 2, Zona pellucida glycoprotein 2, Zona pellucida protein A, Zp-2

3 Images
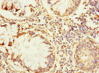
Immunohistochemistry (Formalin/PFA-fixed paraffin-embedded sections) - Anti-ZP2 antibody (AB230219)
  • IHC-P

Supplier Data

Immunohistochemistry (Formalin/PFA-fixed paraffin-embedded sections) - Anti-ZP2 antibody (AB230219)

Paraffin-embedded human placenta tissue stained for ZP2 using ab230219 at 1/100 dilution in immunohistochemical analysis.

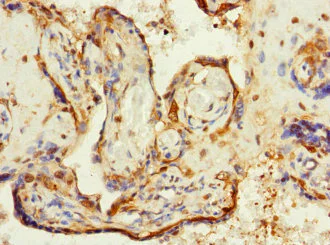
Immunohistochemistry (Formalin/PFA-fixed paraffin-embedded sections) - Anti-ZP2 antibody (AB230219)
  • IHC-P

Supplier Data

Immunohistochemistry (Formalin/PFA-fixed paraffin-embedded sections) - Anti-ZP2 antibody (AB230219)

Paraffin-embedded human colon cancer tissue stained for ZP2 using ab230219 at 1/100 dilution in immunohistochemical analysis.

Western blot - Anti-ZP2 antibody (AB230219)
  • WB

Supplier Data

Western blot - Anti-ZP2 antibody (AB230219)

All lanes:

Western blot - Anti-ZP2 antibody (ab230219) at 1/1000 dilution

Lane 1:

HEK-293T (human epithelial cell line from embryonic kidney transformed with large T antigen) whole cell lysate

Lane 2:

HeLa (human epithelial cell line from cervix adenocarcinoma) whole cell lysate

Lane 3:

Jurkat (human T cell leukemia cell line from peripheral blood) whole cell lysate

Lane 4:

HepG2 (human liver hepatocellular carcinoma cell line) whole cell lysate

Secondary

All lanes:

Goat anti-rabbit IgG at 1/10000 dilution

Predicted band size: 82 kDa

Observed band size: 82 kDa

true

Key facts

Host species

Rabbit

Clonality

Polyclonal

Isotype

IgG

Carrier free

No

Reacts with

Human

Applications

WB, IHC-P

applications

Immunogen

Recombinant Fragment Protein within Human ZP2 aa 650 to C-terminus. The exact immunogen used to generate this antibody is proprietary information.

Q05996

Reactivity data

{ "title": "Reactivity Data", "filters": { "stats": ["", "Species", "Dilution Info", "Notes"], "tabs": { "all-applications": {"fullname" : "All Applications", "shortname": "All Applications"}, "WB" : {"fullname" : "Western blot", "shortname":"WB"}, "IHCP" : {"fullname" : "Immunohistochemistry (Formalin/PFA-fixed paraffin-embedded sections)", "shortname":"IHC-P"} }, "product-promise": { "all": "all", "testedAndGuaranteed": "tested", "guaranteed": "expected", "predicted": "predicted", "notRecommended": "not-recommended" } }, "values": { "Human": { "WB-species-checked": "testedAndGuaranteed", "WB-species-dilution-info": "1/1000 - 1/5000", "WB-species-notes": "<p></p>", "IHCP-species-checked": "testedAndGuaranteed", "IHCP-species-dilution-info": "1/20 - 1/200", "IHCP-species-notes": "<p></p>" }, "Macaque monkey": { "WB-species-checked": "predicted", "WB-species-dilution-info": "", "WB-species-notes": "", "IHCP-species-checked": "predicted", "IHCP-species-dilution-info": "", "IHCP-species-notes": "" } } }

Properties and storage information

Form
Liquid
Purification technique
Affinity purification Immunogen
Storage buffer
pH: 7.3 Preservative: 0.02% Sodium azide Constituents: PBS, 50% Glycerol (glycerin, glycerine)
Shipped at conditions
Blue Ice
Appropriate short-term storage duration
1-2 weeks
Appropriate short-term storage conditions
+4°C
Appropriate long-term storage conditions
-20°C
Aliquoting information
Upon delivery aliquot
Storage information
Avoid freeze / thaw cycle

Supplementary information

This supplementary information is collated from multiple sources and compiled automatically.

ZP2 also known as zona pellucida glycoprotein 2 is a structural protein critical to the protective coat surrounding oocytes called the zona pellucida. The protein is approximately 68 kDa in mass. ZP2 is highly expressed in the ovary. This glycoprotein specifically contributes to the matrix of the zona pellucida with other related proteins forming a structure that enables various reproductive events like sperm binding and prevention of polyspermy.
Biological function summary

ZP2 interacts with other zona pellucida proteins particularly ZP1 and ZP3 to form the zona pellucida matrix. This matrix allows the binding of sperm to the oocyte facilitating fertilization. The stability and integrity of this structure determine reproductive success and embryo development. ZP2 undergoes proteolytic cleavage during the fertilization process which is an important event for proper egg-sperm interaction.

Pathways

ZP2 forms an integral part of the fertilization pathway where it directly interacts with proteins ZP1 and ZP3. These proteins create a framework critical for sperm recognition and binding. Once ZP2 undergoes cleavage it assists in the progression of the acrosome reaction an important biological pathway for sperm penetration of the zona pellucida. The interactions and modifications of ZP2 within these pathways highlight the importance of precise regulation in reproduction.

Mutations or abnormalities in ZP2 are linked to reproductive conditions such as infertility. These changes can lead to disrupted zona pellucida integrity which affects sperm binding and fertilization ability. Additionally abnormalities in ZP2 relate to oocyte maturation defects impacting reproductive health. The protein also shows interplay with ZP3 in these conditions underlining its collaborative role in maintaining fertility.

Product protocols

For this product, it's our understanding that no specific protocols are required. You can visit:

Target data

Component of the zona pellucida, an extracellular matrix surrounding oocytes which mediates sperm binding, induction of the acrosome reaction and prevents post-fertilization polyspermy (PubMed : 29895852). The zona pellucida is composed of 3 to 4 glycoproteins, ZP1, ZP2, ZP3, and ZP4. ZP2 may act as a secondary sperm receptor (PubMed : 29895852).
See full target information ZP2

Product promise

We are committed to supporting your work with high-quality reagents, and we're here for you every step of the way. In the unlikely event that one of our products does not perform as expected, you're protected by our Product Promise.
For full details, please see our Terms & Conditions

Please note: All products are 'FOR RESEARCH USE ONLY. NOT FOR USE IN DIAGNOSTIC OR THERAPEUTIC PROCEDURES'.

For licensing inquiries, please contact partnerships@abcam.com