JavaScript is disabled in your browser. Please enable JavaScript to view this website.
AB134970

Anti-ZPR1 antibody [EPR7595]

Be the first to review this product! Submit a review

|

(4 Publications)

Rabbit Recombinant Monoclonal ZPR1 antibody. Suitable for IHC-P, WB and reacts with Human samples. Cited in 4 publications.

View Alternative Names

ZNF259, ZPR1, Zinc finger protein ZPR1, Zinc finger protein 259

2 Images
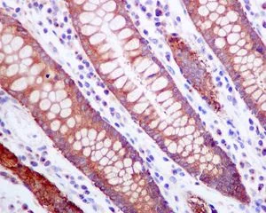
Immunohistochemistry (Formalin/PFA-fixed paraffin-embedded sections) - Anti-ZPR1 antibody [EPR7595] (AB134970)
  • IHC-P

Unknown

Immunohistochemistry (Formalin/PFA-fixed paraffin-embedded sections) - Anti-ZPR1 antibody [EPR7595] (AB134970)

Immunohistochemical analysis of paraffin-embedded Human colon tissue labelling ZPR1 with ab134970 at 1/100 dilution.

Perform heat mediated antigen retrieval with citrate buffer pH 6 before commencing with IHC staining protocol.

Western blot - Anti-ZPR1 antibody [EPR7595] (AB134970)
  • WB

Unknown

Western blot - Anti-ZPR1 antibody [EPR7595] (AB134970)

All lanes:

Western blot - Anti-ZPR1 antibody [EPR7595] (ab134970) at 1/1000 dilution

Lane 1:

Human stomach lysate at 10 µg

Lane 2:

Human fetal liver lysate at 10 µg

Lane 3:

Human colon cancer lysate at 10 µg

Lane 4:

BxPC3 lysate at 10 µg

Lane 5:

HepG2 lysate at 10 µg

Lane 6:

Caco2 lysate at 10 µg

Lane 7:

MCF7 lysate at 10 µg

Lane 8:

Jurkat lysate at 10 µg

Secondary

All lanes:

HRP labelled goat anti-rabbit at 1/2000 dilution

Predicted band size: 51 kDa

Observed band size: 51 kDa

false

  • Carrier free

    Anti-ZPR1 antibody [EPR7595] - BSA and Azide free

Key facts

Host species

Rabbit

Clonality

Monoclonal

Clone number

EPR7595

Isotype

IgG

Carrier free

No

Reacts with

Human

Applications

IHC-P, WB

applications

Immunogen

The exact immunogen used to generate this antibody is proprietary information.

Reactivity data

{ "title": "Reactivity Data", "filters": { "stats": ["", "Species", "Dilution Info", "Notes"], "tabs": { "all-applications": {"fullname" : "All Applications", "shortname": "All Applications"}, "IHCP" : {"fullname" : "Immunohistochemistry (Formalin/PFA-fixed paraffin-embedded sections)", "shortname":"IHC-P"}, "WB" : {"fullname" : "Western blot", "shortname":"WB"} }, "product-promise": { "all": "all", "testedAndGuaranteed": "tested", "guaranteed": "expected", "predicted": "predicted", "notRecommended": "not-recommended" } }, "values": { "Human": { "IHCP-species-checked": "testedAndGuaranteed", "IHCP-species-dilution-info": "1/100 - 1/250", "IHCP-species-notes": "<p></p>", "WB-species-checked": "testedAndGuaranteed", "WB-species-dilution-info": "1/1000 - 1/10000", "WB-species-notes": "<p></p>" }, "Mouse": { "IHCP-species-checked": "predicted", "IHCP-species-dilution-info": "", "IHCP-species-notes": "", "WB-species-checked": "predicted", "WB-species-dilution-info": "", "WB-species-notes": "" }, "Rat": { "IHCP-species-checked": "predicted", "IHCP-species-dilution-info": "", "IHCP-species-notes": "", "WB-species-checked": "predicted", "WB-species-dilution-info": "", "WB-species-notes": "" } } }

Product details

Patented technology
Our RabMAb® technology is a patented hybridoma-based technology for making rabbit monoclonal antibodies. For details on our patents, please refer to RabMAb® patents.

What are the advantages of a recombinant monoclonal antibody?
This product is a recombinant monoclonal antibody, which offers several advantages including:

  • - High batch-to-batch consistency and reproducibility
  • - Improved sensitivity and specificity
  • - Long-term security of supply
  • - Animal-free batch production

For more information, read more on recombinant antibodies.

Properties and storage information

Form
Liquid
Purification technique
Affinity purification Protein A
Storage buffer
pH: 7.2 - 7.4 Preservative: 0.01% Sodium azide Constituents: PBS, 50% Tissue culture supernatant, 40% Glycerol (glycerin, glycerine), 0.05% BSA
Shipped at conditions
Blue Ice
Appropriate short-term storage conditions
+4°C
Appropriate long-term storage conditions
-20°C
Aliquoting information
Upon delivery aliquot
Storage information
Avoid freeze / thaw cycle

Supplementary information

This supplementary information is collated from multiple sources and compiled automatically.

ZPR1 also known as Zinc finger protein 1 is a protein weighing approximately 54 kDa. This protein mainly exists in the cytoplasm and nucleus of cells. ZPR1 interacts with the survival motor neuron (SMN) protein and cellular growth factors playing key roles in signal transduction and cellular proliferation processes. Its expression is highly regulated in a variety of tissues including brain liver and muscle.
Biological function summary

The actions of ZPR1 extend beyond simple binding interactions. ZPR1 assists in the formation and stability of SMN protein complexes critical for the assembly of small nuclear ribonucleoproteins (snRNPs). The protein is essential for proper localization of SMN in the nucleus a function that supports RNA splicing machinery maintenance. ZPR1 acts together with other constituents ensuring cellular communication and growth.

Pathways

ZPR1 operates mainly in pathways related to signal transduction and RNA processing. ZPR1 interacts in the PI3K/AKT pathway which is significant for cell growth and survival. Additionally the protein is linked to the TGF-beta signaling pathway impacting cell differentiation and tissue homeostasis. These interactions involve related proteins such as GRB2 and SMAD3 which further integrate ZPR1's role in these pathways.

The impairment of ZPR1 function shows relevance to neurodegenerative diseases specifically spinal muscular atrophy (SMA). This connection arises from its interaction with the SMN protein which is deficient in SMA patients. Additionally alterations in ZPR1 activity may contribute to certain cancer types due to its influence on cell proliferation pathways. Its pathway associations make ZPR1 a subject of interest in disease research linking to proteins involved in oncogenic processes like PI3K.

Product protocols

For this product, it's our understanding that no specific protocols are required. You can visit:

Target data

Acts as a signaling molecule that communicates proliferative growth signals from the cytoplasm to the nucleus. It is involved in the positive regulation of cell cycle progression (PubMed : 29851065). Plays a role for the localization and accumulation of the survival motor neuron protein SMN1 in sub-nuclear bodies, including gems and Cajal bodies. Induces neuron differentiation and stimulates axonal growth and formation of growth cone in spinal cord motor neurons. Plays a role in the splicing of cellular pre-mRNAs. May be involved in H(2)O(2)-induced neuronal cell death.
See full target information ZPR1

Publications (4)

Recent publications for all applications. Explore the full list and refine your search

Journal of hepatocellular carcinoma 10:1309-1325 PubMed37581094

2023

Pan-Cancer Profiling and Digital Pathology Analysis Reveal Negative Prognostic Biomarker ZPR1 Associated with Immune Infiltration and Treatment Response in Hepatocellular Carcinoma.

Applications

Unspecified application

Species

Unspecified reactive species

Lian He,Yusai Xie,Yusong Qiu,Yong Zhang

Stem cells translational medicine 9:177-188 PubMed31800978

2019

Spinal parenchymal occupation by neural stem cells after subpial delivery in adult immunodeficient rats.

Applications

Unspecified application

Species

Unspecified reactive species

Martin Marsala,Kota Kamizato,Takahiro Tadokoro,Michael Navarro,Stefan Juhas,Jana Juhasova,Silvia Marsala,Hana Studenovska,Vladimir Proks,Tom Hazel,Karl Johe,Manabu Kakinohana,Shawn Driscoll,Thomas Glenn,Samuel Pfaff,Joseph Ciacci

Cancer management and research 10:3159-3168 PubMed30214308

2018

ZNF259 promotes breast cancer cells invasion and migration via ERK/GSK3β/snail signaling.

Applications

Unspecified application

Species

Unspecified reactive species

Bin Liu,Xiaojing Xing,Xiang Li,Qianxue Guo,Tonghong Xu,Ke Xu

Cancer management and research 9:879-889 PubMed29276408

2017

ZNF259 inhibits non-small cell lung cancer cells proliferation and invasion by FAK-AKT signaling.

Applications

Unspecified application

Species

Unspecified reactive species

Yuemei Shan,Wei Cao,Tao Wang,Guiyang Jiang,Yong Zhang,Xianghong Yang
View all publications

Product promise

We are committed to supporting your work with high-quality reagents, and we're here for you every step of the way. In the unlikely event that one of our products does not perform as expected, you're protected by our Product Promise.
For full details, please see our Terms & Conditions

Please note: All products are 'FOR RESEARCH USE ONLY. NOT FOR USE IN DIAGNOSTIC OR THERAPEUTIC PROCEDURES'.

For licensing inquiries, please contact partnerships@abcam.com