JavaScript is disabled in your browser. Please enable JavaScript to view this website.
AB122301

Anti-ZSWIM6 antibody

5

(1 Review)

|

(1 Publication)

Rabbit Polyclonal ZSWIM6 antibody. Suitable for IHC-P, ICC/IF and reacts with Human samples. Cited in 1 publication. Immunogen corresponding to Recombinant Fragment Protein within Human ZSWIM6 aa 600-700.

View Alternative Names

KIAA1577, ZSWIM6, Zinc finger SWIM domain-containing protein 6

2 Images
Immunocytochemistry/ Immunofluorescence - Anti-ZSWIM6 antibody (AB122301)
  • ICC/IF

Unknown

Immunocytochemistry/ Immunofluorescence - Anti-ZSWIM6 antibody (AB122301)

Immunofluorescent staining of Human cell line A-431 shows positivity in cytoplasm. Recommended concentration of ab122301 1-4 µg/ml. Cells treated with PFA/Triton X-100.

Immunohistochemistry (Formalin/PFA-fixed paraffin-embedded sections) - Anti-ZSWIM6 antibody (AB122301)
  • IHC-P

Unknown

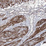
Immunohistochemistry (Formalin/PFA-fixed paraffin-embedded sections) - Anti-ZSWIM6 antibody (AB122301)

ab122301, at 1/75, staining ZSWIM6 in paraffin embedded Human smooth muscle tissue by Immunohistochemistry.

Key facts

Host species

Rabbit

Clonality

Polyclonal

Isotype

IgG

Carrier free

No

Reacts with

Human

Applications

ICC/IF, IHC-P

applications

Immunogen

Recombinant Fragment Protein within Human ZSWIM6 aa 600-700. The exact immunogen used to generate this antibody is proprietary information.

Q9HCJ5

Reactivity data

{ "title": "Reactivity Data", "filters": { "stats": ["", "Species", "Dilution Info", "Notes"], "tabs": { "all-applications": {"fullname" : "All Applications", "shortname": "All Applications"}, "IHCP" : {"fullname" : "Immunohistochemistry (Formalin/PFA-fixed paraffin-embedded sections)", "shortname":"IHC-P"}, "ICCIF" : {"fullname" : "Immunocytochemistry/ Immunofluorescence", "shortname":"ICC/IF"} }, "product-promise": { "all": "all", "testedAndGuaranteed": "tested", "guaranteed": "expected", "predicted": "predicted", "notRecommended": "not-recommended" } }, "values": { "Human": { "IHCP-species-checked": "testedAndGuaranteed", "IHCP-species-dilution-info": "1/50 - 1/200", "IHCP-species-notes": "<p></p> Perform heat-mediated antigen retrieval with citrate buffer pH 6 before commencing with IHC staining protocol.", "ICCIF-species-checked": "testedAndGuaranteed", "ICCIF-species-dilution-info": "0.25-2 µg/mL", "ICCIF-species-notes": "<p></p>" } } }

Properties and storage information

Form
Liquid
Purification technique
Affinity purification Immunogen
Storage buffer
pH: 7.2 Preservative: 0.02% Sodium azide Constituents: PBS, 40% Glycerol (glycerin, glycerine)
Shipped at conditions
Blue Ice
Appropriate short-term storage conditions
+4°C
Appropriate long-term storage conditions
-20°C
Aliquoting information
Upon delivery aliquot
Storage information
Avoid freeze / thaw cycle

Supplementary information

This supplementary information is collated from multiple sources and compiled automatically.

ZSWIM6 also known as Zinc Finger SWIM-type Containing 6 is a protein weighing approximately 117 kDa. This protein contains zinc finger motifs which facilitate its interaction with DNA or other proteins. Recognizing it by its SWIM domain one can find it highly expressed in the brain and other tissues suggesting a role in diverse cellular functions. Its distinct expression pattern indicates its involvement in specific cellular processes such as development and signaling within the nervous system.
Biological function summary

ZSWIM6 participates in developmental processes and possibly influences neuronal activity. As part of specific protein complexes it may interact with DNA and other regulatory proteins to mediate gene expression affecting cellular development and function. Its functionality in growth and neuron communities highlights its potential role in brain development and morphology.

Pathways

ZSWIM6 associates with pathways involved in neurodevelopment like the Wnt signaling pathway influencing cell growth differentiation and migration. It links with other proteins such as Dishevelled (DVL) involved in the Wnt pathway. Another related pathway is the mitogen-activated protein kinase (MAPK) pathway which also has a critical role in transmitting signals from receptors on the cell surface to the DNA in the nucleus affecting cellular responses.

ZSWIM6 has connections to neurological disorders such as autism spectrum disorders and intellectual disabilities. Its mutations or dysregulation can disrupt normal brain development and function. It also shows a relationship with proteins like SHANK3 which are implicated in synaptic function and disorders like autism. This association highlights its importance in maintaining neuronal connectivity and proper cognitive function.

Product protocols

For this product, it's our understanding that no specific protocols are required. You can visit:

Target data

involved in nervous system development, important for striatal morphology and motor regulation.
See full target information ZSWIM6

Publications (1)

Recent publications for all applications. Explore the full list and refine your search

American journal of human genetics 95:235-40 PubMed25105228

2014

Exome sequencing identifies a recurrent de novo ZSWIM6 mutation associated with acromelic frontonasal dysostosis.

Applications

Unspecified application

Species

Unspecified reactive species

Joshua D Smith,Anne V Hing,Christine M Clarke,Nathan M Johnson,Francisco A Perez,Sarah S Park,Jeremy A Horst,Brig Mecham,Lisa Maves,Deborah A Nickerson,Michael L Cunningham
View all publications

Product promise

We are committed to supporting your work with high-quality reagents, and we're here for you every step of the way. In the unlikely event that one of our products does not perform as expected, you're protected by our Product Promise.
For full details, please see our Terms & Conditions

Please note: All products are 'FOR RESEARCH USE ONLY. NOT FOR USE IN DIAGNOSTIC OR THERAPEUTIC PROCEDURES'.

For licensing inquiries, please contact partnerships@abcam.com