JavaScript is disabled in your browser. Please enable JavaScript to view this website.
AB84367

Anti-ZWINT antibody

Be the first to review this product! Submit a review

|

(5 Publications)

Rabbit Polyclonal ZWINT antibody. Suitable for IHC-P, ICC/IF and reacts with Human samples. Cited in 5 publications. Immunogen corresponding to Synthetic Peptide within Human ZWINT aa 200 to C-terminus.

View Alternative Names

Outer kinetochore KNL1 complex subunit ZWINT, ZW10 interactor, ZW10-interacting protein 1, Zwint-1, ZWINT

2 Images
Immunocytochemistry/ Immunofluorescence - Anti-ZWINT antibody (AB84367)
  • ICC/IF

Unknown

Immunocytochemistry/ Immunofluorescence - Anti-ZWINT antibody (AB84367)

ab84367 at 1/250 dillution staining ZWINT in NBF-fixed asynchronous human Hela cells by Immunocytochemistry / Immunofluorescence.

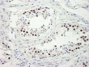
Immunohistochemistry (Formalin/PFA-fixed paraffin-embedded sections) - Anti-ZWINT antibody (AB84367)
  • IHC-P

Unknown

Immunohistochemistry (Formalin/PFA-fixed paraffin-embedded sections) - Anti-ZWINT antibody (AB84367)

Immunohistochemistry analysis of formalin-fixed, paraffin-embedded Human testis tissue using ab84367 at 1/250, followed by DAB staining.

Key facts

Host species

Rabbit

Clonality

Polyclonal

Isotype

IgG

Carrier free

No

Reacts with

Human

Applications

IHC-P, ICC/IF

applications

Immunogen

Synthetic Peptide within Human ZWINT aa 200 to C-terminus. The exact immunogen used to generate this antibody is proprietary information.

O95229

Reactivity data

{ "title": "Reactivity Data", "filters": { "stats": ["", "Species", "Dilution Info", "Notes"], "tabs": { "all-applications": {"fullname" : "All Applications", "shortname": "All Applications"}, "IHCP" : {"fullname" : "Immunohistochemistry (Formalin/PFA-fixed paraffin-embedded sections)", "shortname":"IHC-P"}, "ICCIF" : {"fullname" : "Immunocytochemistry/ Immunofluorescence", "shortname":"ICC/IF"} }, "product-promise": { "all": "all", "testedAndGuaranteed": "tested", "guaranteed": "expected", "predicted": "predicted", "notRecommended": "not-recommended" } }, "values": { "Human": { "IHCP-species-checked": "testedAndGuaranteed", "IHCP-species-dilution-info": "1/100 - 1/500", "IHCP-species-notes": "<p></p>", "ICCIF-species-checked": "testedAndGuaranteed", "ICCIF-species-dilution-info": "1/100 - 1/500", "ICCIF-species-notes": "<p>Fix with PFA do not fix with acetone.</p>" }, "Chimpanzee": { "IHCP-species-checked": "predicted", "IHCP-species-dilution-info": "", "IHCP-species-notes": "", "ICCIF-species-checked": "predicted", "ICCIF-species-dilution-info": "", "ICCIF-species-notes": "" }, "Macaque monkey": { "IHCP-species-checked": "predicted", "IHCP-species-dilution-info": "", "IHCP-species-notes": "", "ICCIF-species-checked": "predicted", "ICCIF-species-dilution-info": "", "ICCIF-species-notes": "" } } }

Properties and storage information

Form
Liquid
Purification technique
Affinity purification Immunogen
Storage buffer
pH: 6.8 - 7.4 Preservative: 0.09% Sodium azide Constituents: Tris buffered saline, 0.1% BSA
Shipped at conditions
Blue Ice
Appropriate short-term storage conditions
+4°C
Appropriate long-term storage conditions
-20°C
Aliquoting information
Upon delivery aliquot
Storage information
Avoid freeze / thaw cycle

Supplementary information

This supplementary information is collated from multiple sources and compiled automatically.

ZWINT also known as ZW10 interactor is a protein that plays an important role in the attachment of kinetochores to the spindle microtubules during mitosis. It has a molecular weight of approximately 35 kDa. This protein is broadly expressed in various tissues with especially high presence in dividing cells reflecting its importance in cell division processes.
Biological function summary

ZWINT functions as a part of the kinetochore complex which is essential for chromosome segregation during mitotic cell division. It interacts with other kinetochore proteins to facilitate the correct attachment of chromosomes to the spindle apparatus. This interaction ensures that chromosomes are accurately distributed to daughter cells maintaining genomic stability.

Pathways

The ZWINT protein is integral in the mitotic spindle checkpoint pathway also known as the spindle assembly checkpoint. It works closely with proteins such as ZW10 and Rod to monitor and regulate the attachment of spindle microtubules to the kinetochores preventing aneuploidy during cell division. This pathway ensures that mitosis does not proceed until all chromosomes are properly aligned and attached contributing to the fidelity of cell division.

Mutations or dysregulation in ZWINT have been linked to certain cancers due to its influence on chromosome segregation. Disruptions in ZWINT function might also contribute to chromosomal instability which can lead to tumorigenesis. In cancerous contexts proteins such as Mad2 and BubR1 which are part of the spindle assembly checkpoint pathway also show altered interactions highlighting a complex network of regulatory proteins involved in maintaining cellular homeostasis.

Product protocols

For this product, it's our understanding that no specific protocols are required. You can visit:

Target data

Acts as a component of the outer kinetochore KNL1 complex that serves as a docking point for spindle assembly checkpoint components and mediates microtubule-kinetochore interactions (PubMed : 15094189, PubMed : 15485811, PubMed : 15824131, PubMed : 16732327, PubMed : 24530301, PubMed : 27881301, PubMed : 38459127, PubMed : 38459128). Kinetochores, consisting of a centromere-associated inner segment and a microtubule-contacting outer segment, play a crucial role in chromosome segregation by mediating the physical connection between centromeric DNA and spindle microtubules (PubMed : 15094189, PubMed : 15485811, PubMed : 16732327). The outer kinetochore is made up of the ten-subunit KMN network, comprising the MIS12, NDC80 and KNL1 complexes, and auxiliary microtubule-associated components; together they connect the outer kinetochore with the inner kinetochore, bind microtubules, and mediate interactions with mitotic checkpoint proteins that delay anaphase until chromosomes are bioriented on the spindle (PubMed : 15094189, PubMed : 15485811, PubMed : 15824131, PubMed : 16732327, PubMed : 24530301, PubMed : 38459127, PubMed : 38459128). Targets the RZZ complex to the kinetochore at prometaphase (PubMed : 15485811). Recruits MAD2L1 to the kinetochore, but is not required for BUB1B localization (By similarity). In addition to orienting mitotic chromosomes, it is also essential for alignment of homologous chromosomes during meiotic metaphase I (By similarity). In meiosis I, required to activate the spindle assembly checkpoint at unattached kinetochores to correct erroneous kinetochore-microtubule attachments (PubMed : 15485811).
See full target information ZWINT

Publications (5)

Recent publications for all applications. Explore the full list and refine your search

Prostate cancer and prostatic diseases 28:773-781 PubMed39543244

2024

Enhancing risk stratification models in localized prostate cancer by novel validated tissue biomarkers.

Applications

Unspecified application

Species

Unspecified reactive species

Csilla Olah,Fabian Mairinger,Michael Wessolly,Steven Joniau,Martin Spahn,Marianna Kruithof-de Julio,Boris Hadaschik,Aron Soós,Péter Nyirády,Balázs Győrffy,Henning Reis,Tibor Szarvas

British journal of cancer 116:1166-1176 PubMed28334731

2017

Characterisation of CCT271850, a selective, oral and potent MPS1 inhibitor, used to directly measure in vivo MPS1 inhibition vs therapeutic efficacy.

Applications

Unspecified application

Species

Unspecified reactive species

Amir Faisal,Grace W Y Mak,Mark D Gurden,Cristina P R Xavier,Simon J Anderhub,Paolo Innocenti,Isaac M Westwood,Sébastien Naud,Angela Hayes,Gary Box,Melanie R Valenti,Alexis K De Haven Brandon,Lisa O'Fee,Jessica Schmitt,Hannah L Woodward,Rosemary Burke,Rob L M vanMontfort,Julian Blagg,Florence I Raynaud,Suzanne A Eccles,Swen Hoelder,Spiros Linardopoulos

Oncotarget 9:19525-19542 PubMed29731963

2016

Aurora B prevents premature removal of spindle assembly checkpoint proteins from the kinetochore: A key role for Aurora B in mitosis.

Applications

Unspecified application

Species

Unspecified reactive species

Mark D Gurden,Simon J Anderhub,Amir Faisal,Spiros Linardopoulos

Nature communications 5:5685 PubMed25483024

2014

Mitotic catenation is monitored and resolved by a PKCε-regulated pathway.

Applications

IF

Species

Unspecified reactive species

Nicola Brownlow,Tanya Pike,Daniel Zicha,Lucy Collinson,Peter J Parker

Human molecular genetics 21:5306-17 PubMed22983954

2012

Kinetochore KMN network gene CASC5 mutated in primary microcephaly.

Applications

Unspecified application

Species

Human

Anne Genin,Julie Desir,Nelle Lambert,Martine Biervliet,Nathalie Van Der Aa,Genevieve Pierquin,Audrey Killian,Mario Tosi,Montse Urbina,Anne Lefort,Frederick Libert,Isabelle Pirson,Marc Abramowicz
View all publications

Product promise

We are committed to supporting your work with high-quality reagents, and we're here for you every step of the way. In the unlikely event that one of our products does not perform as expected, you're protected by our Product Promise.
For full details, please see our Terms & Conditions

Please note: All products are 'FOR RESEARCH USE ONLY. NOT FOR USE IN DIAGNOSTIC OR THERAPEUTIC PROCEDURES'.

For licensing inquiries, please contact partnerships@abcam.com