JavaScript is disabled in your browser. Please enable JavaScript to view this website.
AB252950

Anti-ZWINT antibody [EPR23440-96]

Be the first to review this product! Submit a review

|

(2 Publications)

Rabbit Recombinant Monoclonal ZWINT antibody. Suitable for WB, Flow Cyt (Intra), IHC-P and reacts with Human samples. Cited in 2 publications.

View Alternative Names

Outer kinetochore KNL1 complex subunit ZWINT, ZW10 interactor, ZW10-interacting protein 1, Zwint-1, ZWINT

5 Images
Immunohistochemistry (Formalin/PFA-fixed paraffin-embedded sections) - Anti-ZWINT antibody [EPR23440-96] (AB252950)
  • IHC-P

Unknown

Immunohistochemistry (Formalin/PFA-fixed paraffin-embedded sections) - Anti-ZWINT antibody [EPR23440-96] (AB252950)

Immunohistochemical analysis of paraffin-embedded human testis tissue labeling ZWINT with ab252950 at 1/250 dilution (1.784 μg/ml) dilution followed by ready to use Rabbit specific IHC polymer detection kit HRP/DAB (ab209101). Positive staining in human testis tissue is observed (PMID : 22023800). The section was incubated with ab252950 for 10 mins at room temperature. The immunostaining was performed on a Leica Biosystems BOND® RX instrument. Counterstained with Hematoxylin.

Secondary antibody only control : Secondary antibody is ready to use Rabbit specific IHC polymer detection kit HRP/DAB (ab209101).

Heat mediated antigen retrieval with Tris-EDTA buffer (pH 9.0, epitope retrieval solution2) for 20 mins.

Flow Cytometry (Intracellular) - Anti-ZWINT antibody [EPR23440-96] (AB252950)
  • Flow Cyt (Intra)

Unknown

Flow Cytometry (Intracellular) - Anti-ZWINT antibody [EPR23440-96] (AB252950)

Intracellular flow cytometric analysis of 4% paraformaldehyde-fixed, 90% methanol-permeabilized MOLT-4 (Human lymphoblastic leukemia T lymphoblast) cells labeling ZWINT with ab252950 at 1/500 dilution (0.1μg) (Red) compared with a Rabbit monoclonal IgG (ab172730) (Black) isotype control and an unlabeled control (cells without incubation with primary antibody and secondary antibody) (Blue). A Goat anti rabbit IgG (Alexa Fluor® 488, ab150077) at 1/2000 dilution was used as the secondary antibody.

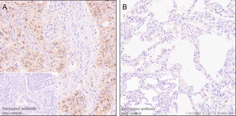
Immunohistochemistry (Formalin/PFA-fixed paraffin-embedded sections) - Anti-ZWINT antibody [EPR23440-96] (AB252950)
  • IHC-P

Unknown

Immunohistochemistry (Formalin/PFA-fixed paraffin-embedded sections) - Anti-ZWINT antibody [EPR23440-96] (AB252950)

Immunohistochemical analysis of paraffin-embedded human lung cancer (Panel A) and its adjacent noncancerous tissue (Panel B) tissue labeling ZWINT with ab252950 at 1/250 dilution (1.784 ug/ml) dilution followed by ready to use Rabbit specific IHC polymer detection kit HRP/DAB (ab209101). Positive staining in human lung cancer tissue is observed (Panel A) while neagtive staining is observed in its adjacent non-cancerous tissue (Panel B) (PMID : 29615843). The section was incubated with ab252950 for 10 mins at room temperature. The immunostaining was performed on a Leica Biosystems BOND® RX instrument. Counterstained with Hematoxylin.

Secondary antibody only control : Secondary antibody is ready to use Rabbit specific IHC polymer detection kit HRP/DAB (ab209101).

Heat mediated antigen retrieval with Tris-EDTA buffer (pH 9.0, epitope retrieval solution2) for 20 mins.

Western blot - Anti-ZWINT antibody [EPR23440-96] (AB252950)
  • WB

Lab

Western blot - Anti-ZWINT antibody [EPR23440-96] (AB252950)

Blocking and diluting buffer and concentration : 5% NFDM/TBST.

The positive bands are consistent with two isoforms and literature (PMID : 23979716, 29440916).

Exposure time : 3 minutes.

All lanes:

Western blot - Anti-ZWINT antibody [EPR23440-96] (ab252950) at 1/1000 dilution

Lane 1:

Raji (human Burkitts lymphoma B lymphocyte), whole cell lysate at 20 µg

Lane 2:

MOLT-4 (human lymphoblastic leukemia T lymphoblast), whole cell lysate at 20 µg

Lane 3:

PC-3 (human prostate adenocarcinoma epithelial cell), whole cell lysate at 20 µg

Lane 4:

NIH:OVCAR-3 (human ovary adenocarcinoma epithelial cell), whole cell lysate at 20 µg

Lane 5:

SW480 (human colorectal adenocarcinoma epithelial cell), whole cell lysate at 20 µg

Lane 6:

A549 (human lung carcinoma epithelial cell), whole cell lysate at 10 µg

Lane 7:

HeLa (human cervix adenocarcinoma epithelial cell), whole cell lysate at 20 µg

Lane 8:

A431 (human epidermoid carcinoma epithelial cell), whole cell lysate at 20 µg

Secondary

All lanes:

Goat Anti-Rabbit IgG, (H+L), Peroxidase conjugated (<a href='/en-us/products/secondary-antibodies/goat-rabbit-igg-h-l-hrp-ab97051'>ab97051</a>) at 1/100000 dilution

Predicted band size: 31 kDa

Observed band size: 30 kDa,36 kDa

false

Flow Cytometry (Intracellular) - Anti-ZWINT antibody [EPR23440-96] (AB252950)
  • Flow Cyt (Intra)

Unknown

Flow Cytometry (Intracellular) - Anti-ZWINT antibody [EPR23440-96] (AB252950)

Intracellular flow cytometric analysis of 4% paraformaldehyde-fixed, 90% methanol-permeabilized HeLa (Human cervix adenocarcinoma epithelial cell) cells labeling ZWINT with ab252950 at 1/500 dilution (0.1μg) (Red) compared with a Rabbit monoclonal IgG (ab172730) (Black) isotype control and an unlabeled control (cells without incubation with primary antibody and secondary antibody) (Blue). A Goat anti rabbit IgG (Alexa Fluor® 488, ab150077) at 1/2000 dilution was used as the secondary antibody.

  • Carrier free

    Anti-ZWINT antibody [EPR23440-96] - BSA and Azide free

Key facts

Host species

Rabbit

Clonality

Monoclonal

Clone number

EPR23440-96

Isotype

IgG

Carrier free

No

Reacts with

Human

Applications

IHC-P, WB, Flow Cyt (Intra)

applications

Immunogen

The exact immunogen used to generate this antibody is proprietary information.

Reactivity data

{ "title": "Reactivity Data", "filters": { "stats": ["", "Species", "Dilution Info", "Notes"], "tabs": { "all-applications": {"fullname" : "All Applications", "shortname": "All Applications"}, "IP" : {"fullname" : "Immunoprecipitation", "shortname":"IP"}, "WB" : {"fullname" : "Western blot", "shortname":"WB"}, "ICCIF" : {"fullname" : "Immunocytochemistry/ Immunofluorescence", "shortname":"ICC/IF"}, "FlowCytIntra" : {"fullname" : "Flow Cytometry (Intracellular)", "shortname":"Flow Cyt (Intra)"}, "IHCP" : {"fullname" : "Immunohistochemistry (Formalin/PFA-fixed paraffin-embedded sections)", "shortname":"IHC-P"} }, "product-promise": { "all": "all", "testedAndGuaranteed": "tested", "guaranteed": "expected", "predicted": "predicted", "notRecommended": "not-recommended" } }, "values": { "Human": { "IP-species-checked": "notRecommended", "IP-species-dilution-info": "", "IP-species-notes": "<p></p> Perform heat-mediated antigen retrieval with Tris/EDTA buffer pH 9.0 before commencing with IHC staining protocol.", "WB-species-checked": "testedAndGuaranteed", "WB-species-dilution-info": "1/1000", "WB-species-notes": "<p></p>", "ICCIF-species-checked": "notRecommended", "ICCIF-species-dilution-info": "", "ICCIF-species-notes": "<p></p>", "FlowCytIntra-species-checked": "testedAndGuaranteed", "FlowCytIntra-species-dilution-info": "1/500", "FlowCytIntra-species-notes": "<p></p>", "IHCP-species-checked": "testedAndGuaranteed", "IHCP-species-dilution-info": "1/250", "IHCP-species-notes": "<p></p> Perform heat-mediated antigen retrieval with Tris/EDTA buffer pH 9.0 before commencing with IHC staining protocol." }, "Mouse": { "IP-species-checked": "notRecommended", "IP-species-dilution-info": "", "IP-species-notes": "", "WB-species-checked": "notRecommended", "WB-species-dilution-info": "1/1000", "WB-species-notes": "<p></p>", "ICCIF-species-checked": "notRecommended", "ICCIF-species-dilution-info": "", "ICCIF-species-notes": "", "FlowCytIntra-species-checked": "notRecommended", "FlowCytIntra-species-dilution-info": "", "FlowCytIntra-species-notes": "", "IHCP-species-checked": "notRecommended", "IHCP-species-dilution-info": "", "IHCP-species-notes": "" }, "Rat": { "IP-species-checked": "notRecommended", "IP-species-dilution-info": "", "IP-species-notes": "", "WB-species-checked": "notRecommended", "WB-species-dilution-info": "1/1000", "WB-species-notes": "<p></p>", "ICCIF-species-checked": "notRecommended", "ICCIF-species-dilution-info": "", "ICCIF-species-notes": "", "FlowCytIntra-species-checked": "notRecommended", "FlowCytIntra-species-dilution-info": "", "FlowCytIntra-species-notes": "", "IHCP-species-checked": "notRecommended", "IHCP-species-dilution-info": "", "IHCP-species-notes": "" } } }

Product details

Patented technology
Our RabMAb® technology is a patented hybridoma-based technology for making rabbit monoclonal antibodies. For details on our patents, please refer to RabMAb® patents.

What are the advantages of a recombinant monoclonal antibody?
This product is a recombinant monoclonal antibody, which offers several advantages including:

  • - High batch-to-batch consistency and reproducibility
  • - Improved sensitivity and specificity
  • - Long-term security of supply
  • - Animal-free batch production

For more information, read more on recombinant antibodies.

Properties and storage information

Form
Liquid
Purification technique
Affinity purification Protein A
Storage buffer
pH: 7.2 - 7.4 Preservative: 0.01% Sodium azide Constituents: PBS, 40% Glycerol (glycerin, glycerine), 0.05% BSA
Shipped at conditions
Blue Ice
Appropriate short-term storage duration
1-2 weeks
Appropriate short-term storage conditions
+4°C
Appropriate long-term storage conditions
-20°C
Aliquoting information
Upon delivery aliquot
Storage information
Avoid freeze / thaw cycle

Supplementary information

This supplementary information is collated from multiple sources and compiled automatically.

ZWINT also known as ZW10 interactor is a protein that plays an important role in the attachment of kinetochores to the spindle microtubules during mitosis. It has a molecular weight of approximately 35 kDa. This protein is broadly expressed in various tissues with especially high presence in dividing cells reflecting its importance in cell division processes.
Biological function summary

ZWINT functions as a part of the kinetochore complex which is essential for chromosome segregation during mitotic cell division. It interacts with other kinetochore proteins to facilitate the correct attachment of chromosomes to the spindle apparatus. This interaction ensures that chromosomes are accurately distributed to daughter cells maintaining genomic stability.

Pathways

The ZWINT protein is integral in the mitotic spindle checkpoint pathway also known as the spindle assembly checkpoint. It works closely with proteins such as ZW10 and Rod to monitor and regulate the attachment of spindle microtubules to the kinetochores preventing aneuploidy during cell division. This pathway ensures that mitosis does not proceed until all chromosomes are properly aligned and attached contributing to the fidelity of cell division.

Mutations or dysregulation in ZWINT have been linked to certain cancers due to its influence on chromosome segregation. Disruptions in ZWINT function might also contribute to chromosomal instability which can lead to tumorigenesis. In cancerous contexts proteins such as Mad2 and BubR1 which are part of the spindle assembly checkpoint pathway also show altered interactions highlighting a complex network of regulatory proteins involved in maintaining cellular homeostasis.

Product protocols

For this product, it's our understanding that no specific protocols are required. You can visit:

Target data

Acts as a component of the outer kinetochore KNL1 complex that serves as a docking point for spindle assembly checkpoint components and mediates microtubule-kinetochore interactions (PubMed : 15094189, PubMed : 15485811, PubMed : 15824131, PubMed : 16732327, PubMed : 24530301, PubMed : 27881301, PubMed : 38459127, PubMed : 38459128). Kinetochores, consisting of a centromere-associated inner segment and a microtubule-contacting outer segment, play a crucial role in chromosome segregation by mediating the physical connection between centromeric DNA and spindle microtubules (PubMed : 15094189, PubMed : 15485811, PubMed : 16732327). The outer kinetochore is made up of the ten-subunit KMN network, comprising the MIS12, NDC80 and KNL1 complexes, and auxiliary microtubule-associated components; together they connect the outer kinetochore with the inner kinetochore, bind microtubules, and mediate interactions with mitotic checkpoint proteins that delay anaphase until chromosomes are bioriented on the spindle (PubMed : 15094189, PubMed : 15485811, PubMed : 15824131, PubMed : 16732327, PubMed : 24530301, PubMed : 38459127, PubMed : 38459128). Targets the RZZ complex to the kinetochore at prometaphase (PubMed : 15485811). Recruits MAD2L1 to the kinetochore, but is not required for BUB1B localization (By similarity). In addition to orienting mitotic chromosomes, it is also essential for alignment of homologous chromosomes during meiotic metaphase I (By similarity). In meiosis I, required to activate the spindle assembly checkpoint at unattached kinetochores to correct erroneous kinetochore-microtubule attachments (PubMed : 15485811).
See full target information ZWINT

Publications (2)

Recent publications for all applications. Explore the full list and refine your search

Experimental and therapeutic medicine 25:304 PubMed37229326

2023

Role of the TPX2/NCOA5 axis in regulating proliferation, migration, invasion and angiogenesis of breast cancer cells.

Applications

Unspecified application

Species

Unspecified reactive species

Tian Wang,Fulin Zhang,Peirong Zhang

BMC women's health 22:184 PubMed35585523

2022

Diagnostic gene biomarkers for predicting immune infiltration in endometriosis.

Applications

Unspecified application

Species

Unspecified reactive species

Chengmao Xie,Chang Lu,Yong Liu,Zhaohui Liu
View all publications

Product promise

We are committed to supporting your work with high-quality reagents, and we're here for you every step of the way. In the unlikely event that one of our products does not perform as expected, you're protected by our Product Promise.
For full details, please see our Terms & Conditions

Please note: All products are 'FOR RESEARCH USE ONLY. NOT FOR USE IN DIAGNOSTIC OR THERAPEUTIC PROCEDURES'.

For licensing inquiries, please contact partnerships@abcam.com