JavaScript is disabled in your browser. Please enable JavaScript to view this website.
AB91123

Native human Cathepsin D protein

Be the first to review this product! Submit a review

|

(2 Publications)

Native human Cathepsin D protein is a Human Full Length protein, expressed in Native, with >95%, suitable for SDS-PAGE, FuncS, WB.

View Alternative Names

CPSD, CTSD, Cathepsin D

2 Images
Western blot - Native human Cathepsin D protein (AB91123)
  • WB

Unknown

Western blot - Native human Cathepsin D protein (AB91123)

All lanes:

Anti-Cathepsin D antibody [4G2] (<a href='/en-us/products/unavailable/cathepsin-d-antibody-4g2-ab40697'>ab40697</a>) at 1/500 dilution

All lanes:

Western blot - Native human Cathepsin D protein (ab91123) at 0.1 µg

Secondary

All lanes:

Western blot - Goat Anti-Mouse IgG H&L (HRP) preadsorbed (<a href='/en-us/products/secondary-antibodies/goat-mouse-igg-h-l-hrp-preadsorbed-ab97040'>ab97040</a>) at 1/5000 dilution

true

Exposure time: 30s

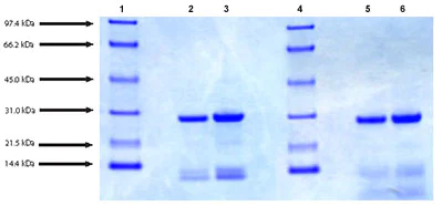
SDS-PAGE - Native human Cathepsin D protein (AB91123)
  • SDS-PAGE

Unknown

SDS-PAGE - Native human Cathepsin D protein (AB91123)

SDS-PAGE : 4-12% Bis-Tris NuPAGE gel
Lane 1. Molecular weight markers
Lane 2. 4 μg Cathepsin D (non-reduced/no heat)
Lane 3. 7 μg Cathepsin D (non-reduced/no heat)
Lane 4. Molecular weight markers
Lane 5. 4 μg Cathepsin D (reduced/heated)
Lane 6. 7 μg Cathepsin D (reduced/heated)

Key facts

Purity

>95% SDS-PAGE

Expression system

Native

Tags

Tag free

Applications

WB, SDS-PAGE, FuncS

applications

Biologically active

Yes

Biological activity

>=300 units per mg protein. One unit is defined as the amount of enzyme that digests hemoglobin-releasing peptides which are soluble in 10% TCA. The reaction is measured by an increase of an A280 of 1.0 per 60 minutes at 37°C . Substrate: acid denatured hemoglobin, pH 1.8 (0.2% in reaction mixture). Buffer: 100 mM formate, pH 3.3.

Accession

P07339

Animal free

No

Carrier free

No

Species

Human

Reconstitution

Resuspend a 25ug vial with 71.4uL of deionized H2O to give a protein concentration of 0.350mg/mL, which is the original protein concentration of the lot when it was finished. This should then be aliquotted into suitable amounts in a screw top vial to prevent sublimation and stored at <70 deg C. Aliquots should be diluted to appropriate concentration once thawed. We recommend 2mM NaP pH 6.5 to make dilutions.

Storage buffer

pH: 6.5 Constituents: 0.0328% Sodium phosphate

storage-buffer

Reactivity data

{ "title": "Reactivity Data", "filters": { "stats": ["", "Reactivity", "Dilution Info", "Notes"] }, "values": { "SDS-PAGE": { "reactivity":"TESTED_AND_REACTS", "dilution-info":"", "notes":"<p></p>" }, "FuncS": { "reactivity":"TESTED_AND_REACTS", "dilution-info":"", "notes":"<p></p>" }, "WB": { "reactivity":"TESTED_AND_REACTS", "dilution-info":"", "notes":"<p>ab91123 can be used as a WB positive control in conjunction with <a href='/en-us/products/unavailable/cathepsin-d-antibody-4g2-ab40697'>ab40697</a>.</p>" } } }

Product details

Lyophilized from 2 mM Na phosphate, pH 6.5.

Protein Determination: Extinction Coefficient (E) 0.1% at 280nm, 1cm pathway = 1.0 Prepared from tissue shown to be non reactive for HBsAg, anti-HCV, anti-HBc, and negative for anti-HIV 1 & 2 by FDA approved tests.

Sequence info

[{"sequence":"MQPSSLLPLALCLLAAPASALVRIPLHKFTSIRRTMSEVGGSVEDLIAKGPVSKYSQAVPAVTEGPIPEVLKNYMDAQYYGEIGIGTPPQCFTVVFDTGSSNLWVPSIHCKLLDIACWIHHKYNSDKSSTYVKNGTSFDIHYGSGSLSGYLSQDTVSVPCQSASSASALGGVKVERQVFGEATKQPGITFIAAKFDGILGMAYPRISVNNVLPVFDNLMQQKLVDQNIFSFYLSRDPDAQPGGELMLGGTDSKYYKGSLSYLNVTRKAYWQVHLDQVEVASGLTLCKEGCEAIVDTGTSLMVGPVDEVRELQKAIGAVPLIQGEYMIPCEKVSTLPAITLKLGGKGYKLSPEDYTLKVSQAGKTLCLSGFMGMDIPPPSGPLWILGDVFIGRYYTVFDRDNNRVGFAEAARL","proteinLength":"Full Length","predictedMolecularWeight":"42 kDa","actualMolecularWeight":null,"aminoAcidEnd":0,"aminoAcidStart":0,"nature":"Native","expressionSystem":"Native","accessionNumber":"P07339","tags":[]}]

Properties and storage information

Shipped at conditions
Blue Ice
Appropriate short-term storage conditions
+4°C
Appropriate long-term storage conditions
-80°C
True

Supplementary information

This supplementary information is collated from multiple sources and compiled automatically.

Cathepsin D also known as CTSD is a protein with a mass of approximately 45 kDa. It functions as an aspartyl protease and is expressed in lysosomes across various tissues including the liver and kidneys. This enzyme acts by cleaving peptide bonds within proteins which is essential for protein degradation and turnover. Cathepsin D exists as precursor forms that become activated in the acidic environment of the lysosome. It plays a critical role in normal cellular processes by maintaining protein homeostasis.
Biological function summary

The enzymatic activity of Cathepsin D is important for cellular maintenance and apoptosis. This protease does not act within larger protein complexes but contributes to the degradation of extracellular and intracellular proteins. It mediates processes like antigen processing where it deconstructs proteins into peptides that are presented on major histocompatibility complex (MHC) molecules. ELISA tests can quantify its expression levels sometimes termed as CTSD activity in various biological samples offering insights into its role within cellular environments.

Pathways

Cathepsin D involvement includes the lysosomal degradation pathway and the apoptotic signaling pathway. In the lysosomal degradation pathway Cathepsin D breaks down proteins and peptides a process important for cellular recycling and energy release. It interacts with other lysosomal enzymes such as Cathepsin B in this pathway ensuring comprehensive breakdown of cellular waste. The apoptotic signaling pathway involves the regulation of programmed cell death where Cathepsin D can influence the activation of downstream proteins like Bcl-2 and Bax which control cell survival.

The overexpression of Cathepsin D links to breast cancer and Alzheimer's disease. In breast cancer increased Cathepsin D expression correlates with tumor progression and metastasis influencing tumor behavior through interactions with other proteins involved in cell proliferation. Alzheimer's disease features the involvement of Cathepsin D in the breakdown of amyloid precursor protein which relates to amyloid beta plaque accumulation. The abnormal activity of Cathepsin D in these disorders makes it a potential target for therapeutic antibodies such as CTSD antibodies which aim to regulate its function.

Specifications

Form

Lyophilized

General info

Function

Acid protease active in intracellular protein breakdown. Plays a role in APP processing following cleavage and activation by ADAM30 which leads to APP degradation (PubMed : 27333034). Involved in the pathogenesis of several diseases such as breast cancer and possibly Alzheimer disease.

Sequence similarities

Belongs to the peptidase A1 family.

Post-translational modifications

N- and O-glycosylated.. Undergoes proteolytic cleavage and activation by ADAM30.. As well as the major heavy chain which starts at Leu-169, 2 minor forms starting at Gly-170 and Gly-171 have been identified (PubMed:1426530). An additional form starting at Ala-168 has also been identified (PubMed:27333034).

Subcellular localisation

Lysosome

Product protocols

Target data

Acid protease active in intracellular protein breakdown. Plays a role in APP processing following cleavage and activation by ADAM30 which leads to APP degradation (PubMed : 27333034). Involved in the pathogenesis of several diseases such as breast cancer and possibly Alzheimer disease.
See full target information CTSD

Publications (2)

Recent publications for all applications. Explore the full list and refine your search

Cell reports. Medicine 5:101568 PubMed38754419

2024

scRank infers drug-responsive cell types from untreated scRNA-seq data using a target-perturbed gene regulatory network.

Applications

Unspecified application

Species

Unspecified reactive species

Chengyu Li,Xin Shao,Shujing Zhang,Yingchao Wang,Kaiyu Jin,Penghui Yang,Xiaoyan Lu,Xiaohui Fan,Yi Wang

Journal of diabetes and its complications 34:107648 PubMed32532588

2020

Urinary cathepsin L is predictive of changes in albuminuria and correlates with glucosepane in patients with type 2 diabetes in a closed-cohort study.

Applications

Unspecified application

Species

Unspecified reactive species

Sebastian Brings,Thomas Fleming,Stephan Herzig,Peter P Nawroth,Stefan Kopf
View all publications

Product promise

We are committed to supporting your work with high-quality reagents, and we're here for you every step of the way. In the unlikely event that one of our products does not perform as expected, you're protected by our Product Promise.
For full details, please see our Terms & Conditions

Please note: All products are 'FOR RESEARCH USE ONLY. NOT FOR USE IN DIAGNOSTIC OR THERAPEUTIC PROCEDURES'.

For licensing inquiries, please contact partnerships@abcam.com