JavaScript is disabled in your browser. Please enable JavaScript to view this website.
AB198449

Recombinant E. coli BirA protein (GST tag N-Terminus)

Be the first to review this product! Submit a review

|

(1 Publication)

Recombinant E. coli BirA protein (GST tag N-Terminus) is a Escherichia coli K-12 Full Length protein, in the 2 to 321 aa range, expressed in Escherichia coli, with >78%, suitable for SDS-PAGE, Purification, Biological Activity, FuncS.

View Alternative Names

bioR, dhbB, b3973, JW3941, birA, Bifunctional ligase/repressor BirA, Biotin operon repressor, Biotin--[acetyl-CoA-carboxylase] ligase, Biotin--protein ligase, Biotin-[acetyl-CoA carboxylase] synthetase, BioR, dhbB, Bio R, Bir A, Dhb B, Biotin ligase, Biotin protein ligase, Biotin operon repressor, Bifunctional protein birA, BirA bifunctional protein, Biotin [acetyl CoA carboxylase] synthetase

2 Images
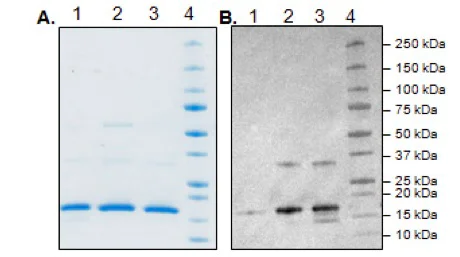
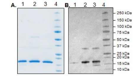
Biological Activity - Recombinant E. coli BirA protein (GST tag N-Terminus) (AB198449)
  • Biological Activity

Supplier Data

Biological Activity - Recombinant E. coli BirA protein (GST tag N-Terminus) (AB198449)

This assay is a biotin-labeling of BRD4-Avi with the Recombinant E. coli BirA protein (ab198449). BirA (16 µg/ml) completely biotinylated 10 µM of Avi-tag substrate at 30°C for 30 minutes in reaction buffer containing 50 mM Bicine pH 8.3, 10 mM ATP, 10 mM MgOAc, and 50 µM d-Biotin.

Image A : SDS-PAGE with Coomassie blue showing :
Lane 1 : Unbiotinylated BRD4-Avi

Lane 2 : Biotin labeling reaction of BRD4Avi with ab198449

Lane 3 : BRD4-Avi-biotin control

Lane 4 : Protein markers

Image B. Shows the corresponding Western blot probed with Streptavidin-HRP and developed with ECL reagent.

SDS-PAGE - Recombinant E. coli BirA protein (GST tag N-Terminus) (AB198449)
  • SDS-PAGE

Supplier Data

SDS-PAGE - Recombinant E. coli BirA protein (GST tag N-Terminus) (AB198449)

10% SDS-PAGE with Coomassie staining : 4 μg ab198449.

Key facts

Purity

>78% SDS-PAGE

Expression system

Escherichia coli

Tags

GST tag N-Terminus

Applications

Purification, Biological Activity, FuncS, SDS-PAGE

applications

Biologically active

Yes

Biological activity

BirA (16 μg/mL) completely biotinlabels 10 μM of Avi-tag substrate at 30˚C for 30 minutes in reaction buffer containing 50 mM Bicine pH 8.3, 10 mM ATP, 10 mM MgOAc, and 50 μM dBiotin.

Accession

P06709

Animal free

No

Carrier free

No

Species

Escherichia coli K-12

Storage buffer

pH: 8 Constituents: 20% Glycerol (glycerin, glycerine), 0.64% Sodium chloride, 0.63% Tris HCl, 0.49% Glutathione, 0.05% (R*,R*)-1,4-Dimercaptobutan-2,3-diol, 0.02% Potassium chloride

storage-buffer

Reactivity data

{ "title": "Reactivity Data", "filters": { "stats": ["", "Reactivity", "Dilution Info", "Notes"] }, "values": { "SDS-PAGE": { "reactivity":"TESTED_AND_REACTS", "dilution-info":"", "notes":"<p></p>" }, "Purification": { "reactivity":"TESTED_AND_REACTS", "dilution-info":"", "notes":"<p></p>" }, "Biological Activity": { "reactivity":"TESTED_AND_REACTS", "dilution-info":"", "notes":"<p>ab198449 (0.16 mg/mL) completely biotinylated 10 μM of Avi-tag substrate at 30°C for 30 minutes in reaction buffer containing 50 mM Bicine pH 8.3, 10 mM ATP, 10 mM MgOAc, and 50 μM d-Biotin.</p>" }, "FuncS": { "reactivity":"TESTED_AND_REACTS", "dilution-info":"", "notes":"<p></p>" } } }

Product details

Useful for covalently biotin-labeling of acceptor proteins for detection and purification assays.

Sequence info

[{"sequence":"MSPILGYWKIKGLVQPTRLLLEYLEEKYEEHLYERDEGDKWRNKKFELGLEFPNLPYYIDGDVKLTQSMAIIRYIADKHNMLGGCPKERAEISMLEGAVLDIRYGVSRIAYSKDFETLKVDFLSKLPEMLKMFEDRLCHKTYLNGDHVTHPDFMLYDALDVVLYMDPMCLDAFPKLVCFKKRIEAIPQIDKYLKSSKYIAWPLQGWQATFGGGDHPPKSDLVPRGSKDNTVPLKLIALLANGEFHSGEQLGETLGMSRAAINKHIQTLRDWGVDVFTVPGKGYSLPEPIQLLNAKQILGQLDGGSVAVLPVIDSTNQYLLDRIGELKSGDACIAEYQQAGRGRRGRKWFSPFGANLYLSMFWRLEQGPAAAIGLSLVIGIVMAEVLRKLGADKVRVKWPNDLYLQDRKLAGILVELTGKTGDAAQIVIGAGINMAMRRVEESVVNQGWITLQEAGINLDRNTLAAMLIRELRAALELFEQEGLAPYLSRWEKLDNFINRPVKLIIGDKEIFGISRGIDKQGALLLEQDGIIKPWMGGEISLRSAEK","proteinLength":"Full Length","predictedMolecularWeight":"61 kDa","actualMolecularWeight":null,"aminoAcidEnd":321,"aminoAcidStart":2,"nature":"Recombinant","expressionSystem":"Escherichia coli","accessionNumber":"P06709","tags":[{"tag":"GST","terminus":"N-Terminus"}]}]

Properties and storage information

Shipped at conditions
Dry Ice
Appropriate short-term storage conditions
-80°C
Appropriate long-term storage conditions
-80°C
Storage information
Avoid freeze / thaw cycle
True

Supplementary information

This supplementary information is collated from multiple sources and compiled automatically.

The protein BirA also known as the biotin protein ligase (BPL) serves an important role in biotinylation. Mechanically BirA activates biotin through ATP-dependent reactions linking it to proteins. The BirA protein has an approximate molecular weight of 35 kDa a characteristic referred to as the BirA molecular weight or BirA protein size. BirA is typically expressed in bacterial cells with Escherichia coli being a primary model organism for studying its activity. In its active form BirA functions as a homodimer a stable complex required for its catalytic activity.
Biological function summary

BirA adds biotin to specific lysine residues on target proteins a modification important for protein function. This process often regulates proteins involved in metabolism and gene expression. BirA does not operate as a part of a larger protein complex but acts on its own enzyme-substrate interactions. Its distribution is notable in prokaryotic cells where it plays essential roles in microbial biotin metabolism.

Pathways

BirA significantly interacts in the biotin metabolic pathway vital for fatty acid synthesis and gluconeogenesis. The protein's ability to biotinylate targets is vital in pathways where it helps regulate enzymes like acetyl-CoA carboxylase and pyruvate carboxylase which are critical for lipid and carbohydrate metabolism. In the biotin regulation network BirA interacts with other proteins including the biotin repressor protein BioR for controlling gene expression related to biotin and related pathways.

Deficiencies in biotin metabolism pathways where BirA activity is central can lead to conditions such as biotinidase deficiency and phenylketonuria (PKU). Disruptions in these pathways often result from inadequate biotinylation where BirA plays a critical role. Although not directly linked to human diseases the homologs of BirA studied in human cells are relevant for understanding the molecular basis of metabolic disorders.

Specifications

Form

Liquid

General info

Function

Acts both as a biotin--[acetyl-CoA-carboxylase] ligase and a biotin-operon repressor. In the presence of ATP, BirA activates biotin to form the BirA-biotinyl-5'-adenylate (BirA-bio-5'-AMP or holoBirA) complex. HoloBirA can either transfer the biotinyl moiety to the biotin carboxyl carrier protein (BCCP) subunit of acetyl-CoA carboxylase, or bind to the biotin operator site and inhibit transcription of the operon.

Sequence similarities

Belongs to the biotin--protein ligase family.

Product protocols

Target data

Acts both as a biotin--[acetyl-CoA-carboxylase] ligase and a biotin-operon repressor. In the presence of ATP, BirA activates biotin to form the BirA-biotinyl-5'-adenylate (BirA-bio-5'-AMP or holoBirA) complex. HoloBirA can either transfer the biotinyl moiety to the biotin carboxyl carrier protein (BCCP) subunit of acetyl-CoA carboxylase, or bind to the biotin operator site and inhibit transcription of the operon.
See full target information birA

Additional targets

BirA

Publications (1)

Recent publications for all applications. Explore the full list and refine your search

Nature protocols 18:530-554 PubMed36323865

2022

A bifunctional molecule-assisted synthesis of mimics for use in probing the ubiquitination system.

Applications

Unspecified application

Species

Unspecified reactive species

Qingyun Zheng,Tian Wang,Junxiong Mao,Guochao Chu,Lujun Liang,Yangwode Jing,Chong Zuo,Yuanyuan Yu,Honggang Hu,Man Pan
View all publications

Product promise

We are committed to supporting your work with high-quality reagents, and we're here for you every step of the way. In the unlikely event that one of our products does not perform as expected, you're protected by our Product Promise.
For full details, please see our Terms & Conditions

Please note: All products are 'FOR RESEARCH USE ONLY. NOT FOR USE IN DIAGNOSTIC OR THERAPEUTIC PROCEDURES'.

For licensing inquiries, please contact partnerships@abcam.com