JavaScript is disabled in your browser. Please enable JavaScript to view this website.
AB157346

Recombinant E. coli groEL protein

Be the first to review this product! Submit a review

|

(0 Publication)

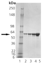
Recombinant E. coli groEL protein is a Escherichia coli CFT073 Full Length protein, in the 2 to 548 aa range, expressed in Escherichia coli, with >99%, suitable for FuncS.

View Alternative Names

groL, mopA, c5227, groEL, Chaperonin GroEL, 60 kDa chaperonin, Chaperonin-60, Cpn60

Key facts

Purity

>99% SDS-PAGE

Expression system

Escherichia coli

Tags

Tag free

Applications

FuncS

applications

Biologically active

Yes

Biological activity

Full activity after short incubation at room temperature.

Accession

P0A6F6

Animal free

No

Carrier free

Yes

Species

Escherichia coli CFT073

Storage buffer

Constituents: 0.79% Tris HCl, 0.095% Magnesium chloride, 0.075% Potassium chloride

storage-buffer

Reactivity data

{ "title": "Reactivity Data", "filters": { "stats": ["", "Reactivity", "Dilution Info", "Notes"] }, "values": { "FuncS": { "reactivity":"TESTED_AND_REACTS", "dilution-info":"", "notes":"<p></p>" } } }

Product details

Full activity after short incubation at room temperature.

Sequence info

[{"sequence":"AAKDVKFGNDARVKMLRGVNVLADAVKVTLGPKGRNVVLDKSFGAPTITKDGVSVAREIELEDKFENMGAQMVKEVASKANDAAGDGTTTATVLAQAIITEGLKAVAAGMNPMDLKRGIDKAVTAAVEELKALSVPCSDSKAIAQVGTISANSDETVGKLIAEAMDKVGKEGVITVEDGTGLQDELDVVEGMQFDRGYLSPYFINKPETGAVELESPFILLADKKISNIREMLPVLEAVAKAGKPLLIIAEDVEGEALATLVVNTMRGIVKVAAVKAPGFGDRRKAMLQDIATLTGGTVISEEIGMELEKATLEDLGQAKRVVINKDTTTIIDGVGEEAAIQGRVAQIRQQIEEATSDYDREKLQERVAKLAGGVAVIKVGAATEVEMKEKKARVEDALHATRAAVEEGVVAGGGVALIRVASKLADLRGQNEDQNVGIKVALRAMEAPLRQIVLNCGEEPSVVANTVKGGDGNYGYNAATEEYGNMIDMGILDPTKVTRSALQYAASVAGLMITTECMVTDLPKNDAADLGAAGGMGGMGGMGGMM","proteinLength":"Full Length","predictedMolecularWeight":"57 kDa","actualMolecularWeight":null,"aminoAcidEnd":548,"aminoAcidStart":2,"nature":"Recombinant","expressionSystem":"Escherichia coli","accessionNumber":"P0A6F6","tags":[]}]

Properties and storage information

Shipped at conditions
Blue Ice
Appropriate short-term storage conditions
-80°C
Appropriate long-term storage conditions
-80°C
Aliquoting information
Upon delivery aliquot
Storage information
Avoid freeze / thaw cycle
True

Supplementary information

This supplementary information is collated from multiple sources and compiled automatically.

The groEL protein often known as 60 kDa chaperonin is a highly conserved molecular chaperone with an approximate mass of 60 kilodaltons. It plays an integral role in assisting the correct folding of nascent or stress-denatured proteins in the cell. Expressed prominently in prokaryotic organisms such as E. coli groEL is an important component of the E. coli expression system due to its ability to maintain protein functionality. By forming a double-ring structure that encapsulates substrates groEL collaborates with its co-chaperonin groES to perform essential protein folding.
Biological function summary

GroEL functions in collaboration with groES as part of a chaperonin complex that stabilizes unfolded proteins and prevents aggregation. It operates by undergoing ATP-dependent conformational changes that create an environment conducive to proper protein folding. E. coli products such as enzymes and structural proteins rely on the folding mechanism orchestrated by groEL to achieve their native conformation. Consequently its role is indispensable for protein homeostasis within E. coli affecting diverse cellular processes.

Pathways

Molecular chaperones including groEL integrate into the protein quality control network which monitors and manages protein integrity and turnover. In particular groEL operates in the folding and stress response pathways. Working closely with other proteins such as DnaK and DnaJ groEL ensures efficient protein folding and repair especially during heat shock conditions. This function maintains cellular viability and is important for cellular adaptation to environmental stressors.

Disruptions in groEL function can lead to protein misfolding-related diseases like Alzheimer's and Parkinson's. Although direct links to groEL are less observed in eukaryotic systems similar chaperone proteins like HSP60 show connections to neurodegenerative disorders. Dysfunctional protein homeostasis due to insufficient chaperone activity highlights the role of molecular chaperones in preventing protein aggregation which is implicated in these diseases.

Specifications

Form

Liquid

General info

Function

Together with its co-chaperonin GroES, plays an essential role in assisting protein folding. The GroEL-GroES system forms a nano-cage that allows encapsulation of the non-native substrate proteins and provides a physical environment optimized to promote and accelerate protein folding.

Sequence similarities

Belongs to the chaperonin (HSP60) family.

Product protocols

Target data

Together with its co-chaperonin GroES, plays an essential role in assisting protein folding. The GroEL-GroES system forms a nano-cage that allows encapsulation of the non-native substrate proteins and provides a physical environment optimized to promote and accelerate protein folding.
See full target information groEL

Product promise

We are committed to supporting your work with high-quality reagents, and we're here for you every step of the way. In the unlikely event that one of our products does not perform as expected, you're protected by our Product Promise.
For full details, please see our Terms & Conditions

Please note: All products are 'FOR RESEARCH USE ONLY. NOT FOR USE IN DIAGNOSTIC OR THERAPEUTIC PROCEDURES'.

For licensing inquiries, please contact partnerships@abcam.com