JavaScript is disabled in your browser. Please enable JavaScript to view this website.
AB184598

Recombinant Human Apo-D protein

Be the first to review this product! Submit a review

|

(1 Publication)

Recombinant Human Apo-D protein is a Human Full Length protein, in the 21 to 189 aa range, expressed in HEK 293 cells, with >95%, < 1 EU/µg endotoxin level, suitable for SDS-PAGE, ELISA, WB, Mass Spec, FuncS.

View Alternative Names

Apolipoprotein D, Apo-D, ApoD, APOD

1 Images
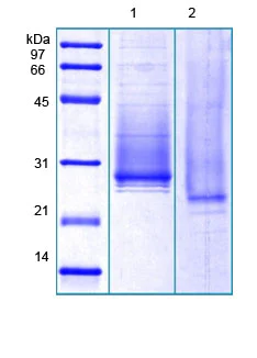
SDS-PAGE - Recombinant Human Apo-D protein (AB184598)
  • SDS-PAGE

Supplier Data

SDS-PAGE - Recombinant Human Apo-D protein (AB184598)

SDS PAGE of ab184598 on 12% SDS PAGE gel showing 1. Reduced and boiled sample 2. Non-reduced and non-boiled sample. 2.5 μg per lane.

Key facts

Purity

>95% SDS-PAGE

Endotoxin level

< 1 EU/µg

Expression system

HEK 293 cells

Tags

His tag C-Terminus

Applications

WB, Mass Spec, ELISA, FuncS, SDS-PAGE

applications

Biologically active

No

Accession

P05090

Animal free

No

Carrier free

No

Species

Human

Reconstitution

Reconstitute in 200 µL of water

Storage buffer

pH: 7.4 Constituents: 99% Phosphate Buffer, 0.43% Sodium chloride

storage-buffer

Reactivity data

{ "title": "Reactivity Data", "filters": { "stats": ["", "Reactivity", "Dilution Info", "Notes"] }, "values": { "SDS-PAGE": { "reactivity":"TESTED_AND_REACTS", "dilution-info":"", "notes":"<p></p>" }, "ELISA": { "reactivity":"TESTED_AND_REACTS", "dilution-info":"", "notes":"<p></p>" }, "WB": { "reactivity":"TESTED_AND_REACTS", "dilution-info":"", "notes":"<p></p>" }, "Mass Spec": { "reactivity":"TESTED_AND_REACTS", "dilution-info":"", "notes":"<p></p>" }, "FuncS": { "reactivity":"TESTED_AND_REACTS", "dilution-info":"", "notes":"<p></p>" } } }

Product details

Previously labelled as Apolipoprotein D.

Sequence info

[{"sequence":"QAFHLGKCPNPPVQENFDVNKYLGRWYEIEKIPTTFENGRCIQANYSLMENGKIKVLNQELRADGTVNQIEGEATPVNLTEPAKLEVKFSWFMPSAPYWILATDYENYALVYSCTCIIQLFHVDFAWILARNPNLPPETVDSLKNILTSNNIDVKKMTVTDQVNCPKLSHHHHHH","proteinLength":"Full Length","predictedMolecularWeight":"20.1 kDa","actualMolecularWeight":null,"aminoAcidEnd":189,"aminoAcidStart":21,"nature":"Recombinant","expressionSystem":"HEK 293 cells","accessionNumber":"P05090","tags":[{"tag":"His","terminus":"C-Terminus"}]}]

Properties and storage information

Shipped at conditions
Blue Ice
Appropriate short-term storage conditions
-80°C
Appropriate long-term storage conditions
-80°C
Aliquoting information
Upon delivery aliquot
Storage information
Avoid freeze / thaw cycle
False

Supplementary information

This supplementary information is collated from multiple sources and compiled automatically.

Apo-D also known as apolipoprotein D is a glycoprotein with an approximate mass of 29 kilodaltons. As an apolipoprotein Apo-D is part of the lipocalin family which participates in the transport of small hydrophobic molecules. It is widely expressed in human tissues particularly in the brain liver and adrenal glands. The expression of Apo-D in these tissues suggests important roles in diverse physiological processes and lipid metabolism. Scientists often study Apo-D to understand its involvement in lipid transport and its biological activities.
Biological function summary

Apo-D interacts with various molecules affecting lipid and cholesterol transport and metabolism. Apo-D operates as part of a protein complex and binds ligands such as progesterone and arachidonic acid. These interactions suggest it might modulate their availability and activity in biological systems. Furthermore the role of Apo-D in protecting cells against oxidative stress emerges as an important mechanism of action contributing to its protective properties in neural and other tissues.

Pathways

Apo-D plays significant roles by influencing the HDL (high-density lipoprotein) metabolism pathway and the arachidonic acid pathway. Within the HDL pathway Apo-D associates with other apolipoproteins like apoA-I to regulate cholesterol transport and anti-inflammatory responses. Its involvement in the arachidonic acid pathway suggests a possible regulatory effect on inflammation and cellular stress responses highlighting the complex interaction of Apo-D with other proteins like cyclooxygenases which are key players in inflammation.

Researchers have linked Apo-D to conditions such as Alzheimer's disease and schizophrenia. In Alzheimer's disease its altered expression in the brain suggests a protective response or involvement in disease progression possibly through interaction with amyloid precursor proteins or influencing cholesterol metabolism. In schizophrenia abnormal levels of Apo-D in cerebrospinal fluid mark potential disturbance in lipid metabolism making it a protein of interest in the disease's complex pathophysiology. Understanding these connections provides insight into therapeutic strategies that target the biological functions of Apo-D.

Specifications

Form

Lyophilized

Additional notes

Filtered (0.4µm)

General info

Function

APOD occurs in the macromolecular complex with lecithin-cholesterol acyltransferase. It is probably involved in the transport and binding of bilin. Appears to be able to transport a variety of ligands in a number of different contexts.

Sequence similarities

Belongs to the calycin superfamily. Lipocalin family.

Post-translational modifications

N-glycosylated. N-glycan heterogeneity at Asn-65: Hex5HexNAc4 (major) and Hex6HexNAc5 (minor); at Asn-98: Hex5HexNAc4 (minor), dHex1Hex5HexNAc4 (major), dHex1Hex6HexNAc5 (minor) and dHex1Hex7HexNAc6 (minor).

Product protocols

Target data

APOD occurs in the macromolecular complex with lecithin-cholesterol acyltransferase. It is probably involved in the transport and binding of bilin. Appears to be able to transport a variety of ligands in a number of different contexts.
See full target information Apolipoprotein D

Publications (1)

Recent publications for all applications. Explore the full list and refine your search

Molecular & cellular proteomics : MCP 22:100600 PubMed37343697

2023

Cross-Linking Mass Spectrometry Uncovers Interactions Between High-Density Lipoproteins and the SARS-CoV-2 Spike Glycoprotein.

Applications

Unspecified application

Species

Unspecified reactive species

Sean A Burnap,Ana Maria Ortega-Prieto,Jose M Jimenez-Guardeño,Hashim Ali,Kaloyan Takov,Matthew Fish,Manu Shankar-Hari,Mauro Giacca,Michael H Malim,Manuel Mayr
View all publications

Product promise

We are committed to supporting your work with high-quality reagents, and we're here for you every step of the way. In the unlikely event that one of our products does not perform as expected, you're protected by our Product Promise.
For full details, please see our Terms & Conditions

Please note: All products are 'FOR RESEARCH USE ONLY. NOT FOR USE IN DIAGNOSTIC OR THERAPEUTIC PROCEDURES'.

For licensing inquiries, please contact partnerships@abcam.com