JavaScript is disabled in your browser. Please enable JavaScript to view this website.
AB114269

Recombinant Human CRMP2 protein (GST tag N-Terminus)

Be the first to review this product! Submit a review

|

(0 Publication)

Recombinant Human CRMP2 protein (GST tag N-Terminus) is a Human Full Length protein, in the 1 to 572 aa range, expressed in Wheat germ, suitable for SDS-PAGE, ELISA, WB.

View Alternative Names

CRMP2, ULIP2, DPYSL2, Dihydropyrimidinase-related protein 2, DRP-2, Collapsin response mediator protein 2, N2A3, Unc-33-like phosphoprotein 2, CRMP-2, ULIP-2

2 Images
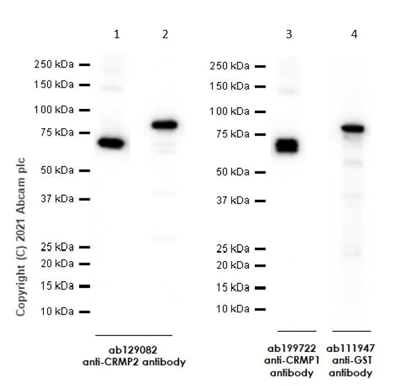
Western blot - Recombinant Human CRMP2 protein (GST tag N-Terminus) (AB114269)
  • WB

Lab

Western blot - Recombinant Human CRMP2 protein (GST tag N-Terminus) (AB114269)

Blocking and dilution buffer : 5% NFDM /TBST

All lanes:

Western blot - Anti-CRMP1 + CRMP2 antibody [EPR7792] (<a href='/en-us/products/primary-antibodies/crmp1-crmp2-antibody-epr7792-ab129082'>ab129082</a>) at 1/1000 dilution

Lanes 1 and 3:

Western blot - Recombinant Human CRMP1 protein (His tag N-Terminus) (<a href='/en-us/products/proteins-peptides/recombinant-human-crmp1-protein-ab202599'>ab202599</a>)

Lanes 2 and 4:

Western blot - Recombinant Human CRMP2 protein (GST tag N-Terminus) (ab114269)

Secondary

All lanes:

Western blot - Goat Anti-Rabbit IgG H&L (HRP) (<a href='/en-us/products/secondary-antibodies/goat-rabbit-igg-h-l-hrp-ab97051'>ab97051</a>) at 1/20000 dilution

false

Exposure time: 3s

SDS-PAGE - Recombinant Human CRMP2 protein (GST tag N-Terminus) (AB114269)
  • SDS-PAGE

Unknown

SDS-PAGE - Recombinant Human CRMP2 protein (GST tag N-Terminus) (AB114269)

12.5% SDS-PAGE analysis of ab114269.
Stained with Coomassie Blue.

Key facts

Expression system

Wheat germ

Tags

GST tag N-Terminus

Applications

ELISA, SDS-PAGE, WB

applications

Biologically active

No

Accession

Q16555

Animal free

No

Carrier free

No

Species

Human

Storage buffer

pH: 8 Constituents: 0.79% Tris HCl, 0.3% Glutathione

storage-buffer

Reactivity data

{ "title": "Reactivity Data", "filters": { "stats": ["", "Reactivity", "Dilution Info", "Notes"] }, "values": { "SDS-PAGE": { "reactivity":"TESTED_AND_REACTS", "dilution-info":"", "notes":"<p></p>" }, "ELISA": { "reactivity":"TESTED_AND_REACTS", "dilution-info":"", "notes":"<p></p>" }, "WB": { "reactivity":"TESTED_AND_REACTS", "dilution-info":"", "notes":"<p>(for recombinant protein)</p>" } } }

Sequence info

[{"sequence":"MSYQGKKNIPRITSDRLLIKGGKIVNDDQSFYADIYMEDGLIKQIGENLIVPGGVKTIEAHSRMVIPGGIDVHTRFQMPDQGMTSADDFFQGTKAALAGGTTMIIDHVVPEPGTSLLAAFDQWREWADSKSCCDYSLHVDISEWHKGIQEEMEALVKDHGVNSFLVYMAFKDRFQLTDCQIYEVLSVIRDIGAIAQVHAENGDIIAEEQQRILDLGITGPEGHVLSRPEEVEAEAVNRAITIANQTNCPLYITKVMSKSSAEVIAQARKKGTVVYGEPITASLGTDGSHYWSKNWAKAAAFVTSPPLSPDPTTPDFLNSLLSCGDLQVTGSAHCTFNTAQKAVGKDNFTLIPEGTNGTEERMSVIWDKAVVTGKMDENQFVAVTSTNAAKVFNLYPRKGRIAVGSDADLVIWDPDSVKTISAKTHNSSLEYNIFEGMECRGSPLVVISQGKIVLEDGTLHVTEGSGRYIPRKPFPDFVYKRIKARSRLAELRGVPRGLYDGPVCEVSVTPKTVTPASSAKTSPAKQQAPPVRNLHQSGFSLSGAQIDDNIPRRTTQRIVAPPGGRANITSLG","proteinLength":"Full Length","predictedMolecularWeight":"88.99 kDa","actualMolecularWeight":null,"aminoAcidEnd":572,"aminoAcidStart":1,"nature":"Recombinant","expressionSystem":"Wheat germ","accessionNumber":"Q16555","tags":[{"tag":"GST","terminus":"N-Terminus"}]}]

Properties and storage information

Shipped at conditions
Dry Ice
Appropriate short-term storage conditions
-80°C
Appropriate long-term storage conditions
-80°C
Aliquoting information
Upon delivery aliquot
Storage information
Avoid freeze / thaw cycle
False

Specifications

Form

Liquid

General info

Function

Plays a role in neuronal development and polarity, as well as in axon growth and guidance, neuronal growth cone collapse and cell migration. Necessary for signaling by class 3 semaphorins and subsequent remodeling of the cytoskeleton. May play a role in endocytosis.

Sequence similarities

Belongs to the metallo-dependent hydrolases superfamily. Hydantoinase/dihydropyrimidinase family.

Post-translational modifications

3F4, a monoclonal antibody which strongly stains neurofibrillary tangles in Alzheimer disease brains, specifically labels DPYSL2 when phosphorylated on Ser-518, Ser-522 and Thr-509.. Phosphorylation at Thr-514 by GSK3B abolishes tubulin-binding leading to destabilization of microtubule assembly in axons and neurodegeneration (By similarity). Phosphorylation by DYRK2 at Ser-522 is required for subsequent phosphorylation by GSK3B.

Product protocols

Target data

Plays a role in neuronal development and polarity, as well as in axon growth and guidance, neuronal growth cone collapse and cell migration. Necessary for signaling by class 3 semaphorins and subsequent remodeling of the cytoskeleton. May play a role in endocytosis.
See full target information DPYSL2

Product promise

We are committed to supporting your work with high-quality reagents, and we're here for you every step of the way. In the unlikely event that one of our products does not perform as expected, you're protected by our Product Promise.
For full details, please see our Terms & Conditions

Please note: All products are 'FOR RESEARCH USE ONLY. NOT FOR USE IN DIAGNOSTIC OR THERAPEUTIC PROCEDURES'.

For licensing inquiries, please contact partnerships@abcam.com