JavaScript is disabled in your browser. Please enable JavaScript to view this website.
AB63191

Recombinant human DAP Kinase 1 protein

Be the first to review this product! Submit a review

|

(1 Publication)

Recombinant human DAP Kinase 1 protein is a Human Fragment protein, in the 1 to 363 aa range, expressed in Baculovirus infected Sf9 cells, with >80%, suitable for SDS-PAGE, FuncS.

View Alternative Names

DAPK, DAPK1, Death-associated protein kinase 1, DAP kinase 1

4 Images
Functional Studies - Recombinant human DAP Kinase 1 protein (AB63191)
  • FuncS

Unknown

Functional Studies - Recombinant human DAP Kinase 1 protein (AB63191)

The specific activity of DAP Kinase 1 (ab63191) was determined to be 42 nmol/min/mg as per activity assay protocol

Functional Studies - Recombinant human DAP Kinase 1 protein (AB63191)
  • FuncS

Unknown

Functional Studies - Recombinant human DAP Kinase 1 protein (AB63191)

Sample Kinase Activity Plot.

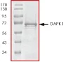
SDS-PAGE - Recombinant human DAP Kinase 1 protein (AB63191)
  • SDS-PAGE

Unknown

SDS-PAGE - Recombinant human DAP Kinase 1 protein (AB63191)

ab63191 on SDS-PAGE. Molecular Weight : ~71 kDa.

SDS-PAGE - Recombinant human DAP Kinase 1 protein (AB63191)
  • SDS-PAGE

Unknown

SDS-PAGE - Recombinant human DAP Kinase 1 protein (AB63191)

SDS PAGE analysis of ab63191

Key facts

Purity

>80% Densitometry

Expression system

Baculovirus infected Sf9 cells

Tags

Tag free

Applications

SDS-PAGE, FuncS

applications

Biologically active

Yes

Biological activity

Specific activity: 49 nmol/min/mg.

Accession

P53355

Animal free

No

Carrier free

No

Species

Human

Storage buffer

pH: 7.5 Constituents: 25% Glycerol (glycerin, glycerine), 0.87% Sodium chloride, 0.79% Tris HCl, 0.00385% (R*,R*)-1,4-Dimercaptobutan-2,3-diol, 0.0038% EGTA, 0.00292% EDTA, 0.00174% PMSF

storage-buffer

Reactivity data

{ "title": "Reactivity Data", "filters": { "stats": ["", "Reactivity", "Dilution Info", "Notes"] }, "values": { "SDS-PAGE": { "reactivity":"TESTED_AND_REACTS", "dilution-info":"", "notes":"<p></p>" }, "FuncS": { "reactivity":"TESTED_AND_REACTS", "dilution-info":"", "notes":"<p></p>" } } }

Product details

ab64311 (Myelin Basic Protein protein) can be utilized as a substrate for assessing kinase activity

Sequence info

[{"sequence":"","proteinLength":"Fragment","predictedMolecularWeight":null,"actualMolecularWeight":null,"aminoAcidEnd":363,"aminoAcidStart":1,"nature":"Recombinant","expressionSystem":null,"accessionNumber":"P53355","tags":[]}]

Properties and storage information

Shipped at conditions
Dry Ice
Appropriate short-term storage conditions
-80°C
Appropriate long-term storage conditions
-80°C
Aliquoting information
Upon delivery aliquot
Storage information
Avoid freeze / thaw cycle
True

Specifications

Form

Liquid

Additional notes

Affinity purified.

General info

Function

Calcium/calmodulin-dependent serine/threonine kinase involved in multiple cellular signaling pathways that trigger cell survival, apoptosis, and autophagy. Regulates both type I apoptotic and type II autophagic cell deaths signal, depending on the cellular setting. The former is caspase-dependent, while the latter is caspase-independent and is characterized by the accumulation of autophagic vesicles. Phosphorylates PIN1 resulting in inhibition of its catalytic activity, nuclear localization, and cellular function. Phosphorylates TPM1, enhancing stress fiber formation in endothelial cells. Phosphorylates STX1A and significantly decreases its binding to STXBP1. Phosphorylates PRKD1 and regulates JNK signaling by binding and activating PRKD1 under oxidative stress. Phosphorylates BECN1, reducing its interaction with BCL2 and BCL2L1 and promoting the induction of autophagy. Phosphorylates TSC2, disrupting the TSC1-TSC2 complex and stimulating mTORC1 activity in a growth factor-dependent pathway. Phosphorylates RPS6, MYL9 and DAPK3. Acts as a signaling amplifier of NMDA receptors at extrasynaptic sites for mediating brain damage in stroke. Cerebral ischemia recruits DAPK1 into the NMDA receptor complex and it phosphorylates GRINB at Ser-1303 inducing injurious Ca(2+) influx through NMDA receptor channels, resulting in an irreversible neuronal death. Required together with DAPK3 for phosphorylation of RPL13A upon interferon-gamma activation which is causing RPL13A involvement in transcript-selective translation inhibition.. Isoform 2 cannot induce apoptosis but can induce membrane blebbing.

Sequence similarities

Belongs to the protein kinase superfamily. CAMK Ser/Thr protein kinase family. DAP kinase subfamily.

Post-translational modifications

Ubiquitinated by the BCR(KLHL20) E3 ubiquitin ligase complex, leading to its degradation by the proteasome.. Removal of the C-terminal tail of isoform 2 (corresponding to amino acids 296-337 of isoform 2) by proteolytic cleavage stimulates maximally its membrane-blebbing function.. In response to mitogenic stimulation (PMA or EGF), phosphorylated at Ser-289; phosphorylation suppresses DAPK1 pro-apoptotic function. Autophosphorylation at Ser-308 inhibits its catalytic activity. Phosphorylation at Ser-734 by MAPK1 increases its catalytic activity and promotes cytoplasmic retention of MAPK1. Endoplasmic-stress can cause dephosphorylation at Ser-308.

Subcellular localisation

Cytoskeleton

Product protocols

Target data

Calcium/calmodulin-dependent serine/threonine kinase involved in multiple cellular signaling pathways that trigger cell survival, apoptosis, and autophagy. Regulates both type I apoptotic and type II autophagic cell deaths signal, depending on the cellular setting. The former is caspase-dependent, while the latter is caspase-independent and is characterized by the accumulation of autophagic vesicles. Phosphorylates PIN1 resulting in inhibition of its catalytic activity, nuclear localization, and cellular function. Phosphorylates TPM1, enhancing stress fiber formation in endothelial cells. Phosphorylates STX1A and significantly decreases its binding to STXBP1. Phosphorylates PRKD1 and regulates JNK signaling by binding and activating PRKD1 under oxidative stress. Phosphorylates BECN1, reducing its interaction with BCL2 and BCL2L1 and promoting the induction of autophagy. Phosphorylates TSC2, disrupting the TSC1-TSC2 complex and stimulating mTORC1 activity in a growth factor-dependent pathway. Phosphorylates RPS6, MYL9 and DAPK3. Acts as a signaling amplifier of NMDA receptors at extrasynaptic sites for mediating brain damage in stroke. Cerebral ischemia recruits DAPK1 into the NMDA receptor complex and it phosphorylates GRINB at Ser-1303 inducing injurious Ca(2+) influx through NMDA receptor channels, resulting in an irreversible neuronal death. Required together with DAPK3 for phosphorylation of RPL13A upon interferon-gamma activation which is causing RPL13A involvement in transcript-selective translation inhibition.. Isoform 2 cannot induce apoptosis but can induce membrane blebbing.
See full target information DAPK1

Publications (1)

Recent publications for all applications. Explore the full list and refine your search

Molecular neurodegeneration 15:62 PubMed33115519

2020

Trem2 Y38C mutation and loss of Trem2 impairs neuronal synapses in adult mice.

Applications

Unspecified application

Species

Unspecified reactive species

Vaishnavi S Jadhav,Peter B C Lin,Taylor Pennington,Gonzalo Viana Di Prisco,Asha Jacob Jannu,Guixiang Xu,Miguel Moutinho,Jie Zhang,Brady K Atwood,Shweta S Puntambekar,Stephanie J Bissel,Adrian L Oblak,Gary E Landreth,Bruce T Lamb
View all publications

Product promise

We are committed to supporting your work with high-quality reagents, and we're here for you every step of the way. In the unlikely event that one of our products does not perform as expected, you're protected by our Product Promise.
For full details, please see our Terms & Conditions

Please note: All products are 'FOR RESEARCH USE ONLY. NOT FOR USE IN DIAGNOSTIC OR THERAPEUTIC PROCEDURES'.

For licensing inquiries, please contact partnerships@abcam.com