JavaScript is disabled in your browser. Please enable JavaScript to view this website.
AB87457

Recombinant Human eIF5A protein (Tag Free)

Be the first to review this product! Submit a review

|

(0 Publication)

Recombinant Human eIF5A protein (Tag Free) is a Human Full Length protein, expressed in Escherichia coli, with >95%, suitable for SDS-PAGE.

View Alternative Names

Eukaryotic translation initiation factor 5A-1, eIF-5A-1, eIF-5A1, Eukaryotic initiation factor 5A isoform 1, Rev-binding factor, eIF-4D, eIF-5A, EIF5A

7 Images
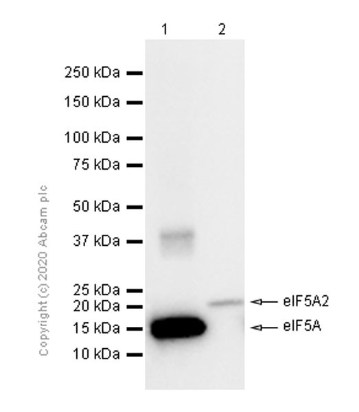
Western blot - Recombinant Human eIF5A protein (Tag Free) (AB87457)
  • WB

Lab

Western blot - Recombinant Human eIF5A protein (Tag Free) (AB87457)

**Blocking buffer : ** 5% NFDM/TBST This data was developed using ab150403, the same antibody clone in a different buffer formulation.

All lanes:

Western blot - Anti-eIF5A2 + eIF5A antibody [EPR7411-105] (<a href='/en-us/products/primary-antibodies/eif5a2-eif5a-antibody-epr7411-105-ab150403'>ab150403</a>) at 1/2000 dilution

Lane 1:

Western blot - Recombinant Human eIF5A protein (Tag Free) (ab87457) at 0.01 µg

Lane 2:

Western blot - Recombinant Human eIF5A2 protein (His tag N-Terminus) (<a href='/en-us/products/proteins-peptides/recombinant-human-eif5a2-protein-ab99140'>ab99140</a>) at 0.01 µg

Secondary

All lanes:

Western blot - Goat Anti-Rabbit IgG H&L (HRP) (<a href='/en-us/products/secondary-antibodies/goat-rabbit-igg-h-l-hrp-ab97051'>ab97051</a>) at 1/20000 dilution

Predicted band size: 17 kDa

Observed band size: 15 kDa,20 kDa

true

Exposure time: 20s

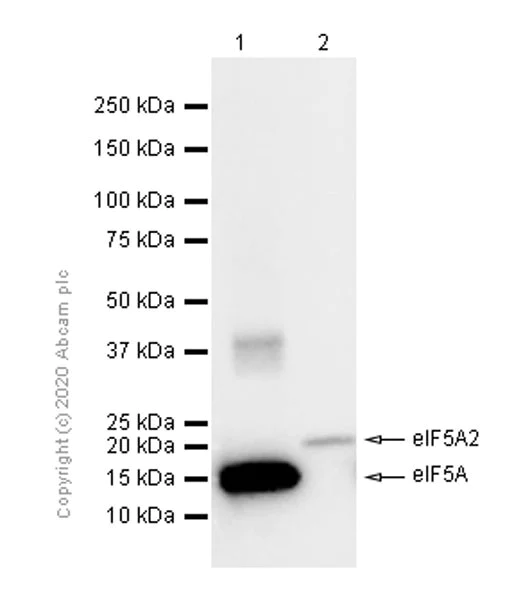
Western blot - Recombinant Human eIF5A protein (Tag Free) (AB87457)
  • WB

Lab

Western blot - Recombinant Human eIF5A protein (Tag Free) (AB87457)

**Blocking buffer : ** 5% NFDM/TBST This data was developed using ab150439, the same antibody clone in a different buffer formulation.

All lanes:

Western blot - Anti-eIF5A2 + eIF5A antibody [EPR7412-50] (<a href='/en-us/products/primary-antibodies/eif5a2-eif5a-antibody-epr7412-50-ab150439'>ab150439</a>) at 1/1000 dilution

Lane 1:

Western blot - Recombinant Human eIF5A protein (Tag Free) (ab87457) at 0.01 µg

Lane 2:

Western blot - Recombinant Human eIF5A2 protein (His tag N-Terminus) (<a href='/en-us/products/proteins-peptides/recombinant-human-eif5a2-protein-ab99140'>ab99140</a>) at 0.01 µg

Secondary

All lanes:

Western blot - Goat Anti-Rabbit IgG H&L (HRP) (<a href='/en-us/products/secondary-antibodies/goat-rabbit-igg-h-l-hrp-ab97051'>ab97051</a>) at 1/20000 dilution

Predicted band size: 17 kDa

Observed band size: 15 kDa,20 kDa

true

Exposure time: 7s

Western blot - Recombinant Human eIF5A protein (Tag Free) (AB87457)
  • WB

Supplier Data

Western blot - Recombinant Human eIF5A protein (Tag Free) (AB87457)

**Blocking buffer : ** 5% NFDM/TBST This data was developed using ab32407, the same antibody clone in a different buffer formulation.

All lanes:

Western blot - Anti-eIF5A antibody [EP527Y] (<a href='/en-us/products/primary-antibodies/eif5a-antibody-ep527y-ab32407'>ab32407</a>) at 1/1000 dilution

Lane 1:

Western blot - Recombinant Human eIF5A protein (Tag Free) (ab87457) at 0.01 µg

Lane 2:

Western blot - Recombinant Human eIF5A2 protein (His tag N-Terminus) (<a href='/en-us/products/proteins-peptides/recombinant-human-eif5a2-protein-ab99140'>ab99140</a>) at 0.01 µg

Secondary

All lanes:

Western blot - Goat Anti-Rabbit IgG H&L (HRP) (<a href='/en-us/products/secondary-antibodies/goat-rabbit-igg-h-l-hrp-ab97051'>ab97051</a>) at 1/20000 dilution

Predicted band size: 16 kDa

Observed band size: 16 kDa

true

Exposure time: 20s

Western blot - Recombinant Human eIF5A protein (Tag Free) (AB87457)
  • WB

Lab

Western blot - Recombinant Human eIF5A protein (Tag Free) (AB87457)

This data was developed using ab32443, the same antibody clone in a different buffer formulation. **Blocking buffer : ** 5% NFDM/TBST This antibody shows low affinity in recognizing eIF5A2 recombinant protein.

All lanes:

Western blot - Anti-eIF5A antibody [EP526Y] (<a href='/en-us/products/primary-antibodies/eif5a-antibody-ep526y-ab32443'>ab32443</a>) at 1/2000 dilution

Lane 1:

Western blot - Recombinant Human eIF5A protein (Tag Free) (ab87457) at 0.01 µg

Lane 2:

Western blot - Recombinant Human eIF5A2 protein (His tag N-Terminus) (<a href='/en-us/products/proteins-peptides/recombinant-human-eif5a2-protein-ab99140'>ab99140</a>) at 0.01 µg

Secondary

All lanes:

Western blot - Goat Anti-Rabbit IgG H&L (HRP) (<a href='/en-us/products/secondary-antibodies/goat-rabbit-igg-h-l-hrp-ab97051'>ab97051</a>) at 1/20000 dilution

Predicted band size: 16 kDa

Observed band size: 15 kDa,20 kDa

true

Exposure time: 20s

Western blot - Recombinant Human eIF5A protein (Tag Free) (AB87457)
  • WB

Lab

Western blot - Recombinant Human eIF5A protein (Tag Free) (AB87457)

**Blocking buffer : ** 5% NFDM/TBST This data was developed using ab126735, the same antibody clone in a different buffer formulation.

All lanes:

Western blot - Anti-eIF5A2 + eIF5A antibody [EPR7411-6] (<a href='/en-us/products/primary-antibodies/eif5a2-eif5a-antibody-epr7411-6-ab126735'>ab126735</a>) at 1/2000 dilution

Lane 1:

Western blot - Recombinant Human eIF5A protein (Tag Free) (ab87457) at 0.01 µg

Lane 2:

Western blot - Recombinant Human eIF5A2 protein (His tag N-Terminus) (<a href='/en-us/products/proteins-peptides/recombinant-human-eif5a2-protein-ab99140'>ab99140</a>) at 0.01 µg

Secondary

All lanes:

Western blot - Goat Anti-Rabbit IgG H&L (HRP) (<a href='/en-us/products/secondary-antibodies/goat-rabbit-igg-h-l-hrp-ab97051'>ab97051</a>) at 1/20000 dilution

Predicted band size: 17 kDa

Observed band size: 15 kDa,20 kDa

false

Exposure time: 20s

Western blot - Recombinant Human eIF5A protein (Tag Free) (AB87457)
  • WB

Lab

Western blot - Recombinant Human eIF5A protein (Tag Free) (AB87457)

**Blocking buffer : ** 5% NFDM/TBST This data was developed using ab126733, the same antibody clone in a different buffer formulation.

All lanes:

Western blot - Anti-eIF5A2 + eIF5A antibody [EPR7412-47] (<a href='/en-us/products/primary-antibodies/eif5a2-eif5a-antibody-epr7412-47-ab126733'>ab126733</a>) at 1/1000 dilution

Lane 1:

Western blot - Recombinant Human eIF5A protein (Tag Free) (ab87457) at 0.01 µg

Lane 2:

Western blot - Recombinant Human eIF5A2 protein (His tag N-Terminus) (<a href='/en-us/products/proteins-peptides/recombinant-human-eif5a2-protein-ab99140'>ab99140</a>) at 0.01 µg

Secondary

All lanes:

Western blot - Goat Anti-Rabbit IgG H&L (HRP) (<a href='/en-us/products/secondary-antibodies/goat-rabbit-igg-h-l-hrp-ab97051'>ab97051</a>) at 1/20000 dilution

Predicted band size: 17 kDa

Observed band size: 15 kDa,20 kDa

true

Exposure time: 3min

SDS-PAGE - Recombinant Human eIF5A protein (Tag Free) (AB87457)
  • SDS-PAGE

Unknown

SDS-PAGE - Recombinant Human eIF5A protein (Tag Free) (AB87457)

ab87457 on 15% SDS-PAGE (3μg)

Key facts

Purity

>95% SDS-PAGE

Expression system

Escherichia coli

Tags

Tag free

Applications

SDS-PAGE

applications

Biologically active

No

Accession

P63241

Animal free

No

Carrier free

No

Species

Human

Storage buffer

pH: 7.5 Constituents: 10% Glycerol (glycerin, glycerine), 0.79% Tris HCl

storage-buffer

Reactivity data

{ "title": "Reactivity Data", "filters": { "stats": ["", "Reactivity", "Dilution Info", "Notes"] }, "values": { "SDS-PAGE": { "reactivity":"TESTED_AND_REACTS", "dilution-info":"", "notes":"<p></p>" } } }

Sequence info

[{"sequence":"MADDLDFETGDAGASATFPMQCSALRKNGFVVLKGRPCKIVEMSTSKTGKHGHAKVHLVGIDIFTGKKYEDICPSTHNMDVPNIKRNDFQLIGIQDGYLSLLQDSGEVREDLRLPEGDLGKEIEQKYDCGEEILITVLSAMTEEAAVAIKAMAK","proteinLength":"Full Length","predictedMolecularWeight":null,"actualMolecularWeight":null,"aminoAcidEnd":0,"aminoAcidStart":0,"nature":"Recombinant","expressionSystem":"Escherichia coli","accessionNumber":"P63241","tags":[]}]

Properties and storage information

Shipped at conditions
Blue Ice
Appropriate short-term storage duration
1-2 weeks
Appropriate short-term storage conditions
+4°C
Appropriate long-term storage conditions
-20°C
Aliquoting information
Upon delivery aliquot
Storage information
Avoid freeze / thaw cycle
False

Supplementary information

This supplementary information is collated from multiple sources and compiled automatically.

EIF5A also known as eukaryotic translation initiation factor 5A is a small protein with a molecular mass of approximately 18 kDa. It plays a significant mechanical role in the translation process by facilitating the formation of the first peptide bond in protein synthesis. eIF5A is expressed ubiquitously across various tissues and is noted for being the only protein known to undergo the unique post-translational modification called hypusination which is necessary for its function.
Biological function summary

EIF5A participates in regulating translation cell proliferation and apoptosis. eIF5A functions as part of a complex involved in ribosome-associated protein synthesis supporting the elongation of polyproline-containing peptides. It helps in maintaining cellular homeostasis by modulating the translation of specific sets of mRNAs that are critical for various cellular responses.

Pathways

EIF5A's role is particularly relevant in translation elongation and mRNA turnover pathways. It interacts closely with the elongation factors eEF2 and eEF1A to promote efficient protein synthesis. In the mRNA turnover pathway eIF5A has connections with proteins such as Dcp2 and Xrn1 which play a role in the degradation of mRNA thereby influencing mRNA stability and turnover.

EIF5A is linked to cancer and neurodegenerative diseases. Alterations in its function and expression levels have been observed in several cancer types highlighting its role in tumor progression. The protein's connection to apoptosis pathways suggests its involvement in neurodegenerative disorders such as Alzheimer's disease where cell death and tissue degeneration are prevalent. eIF5A associates with proteins like Bcl-2 in cancer and Tau in neurodegeneration indicating its varied impact on disease processes.

Specifications

Form

Liquid

Additional notes

Purified using conventional chromatography techniques.

General info

Function

Translation factor that promotes translation elongation and termination, particularly upon ribosome stalling at specific amino acid sequence contexts (PubMed : 33547280). Binds between the exit (E) and peptidyl (P) site of the ribosome and promotes rescue of stalled ribosome : specifically required for efficient translation of polyproline-containing peptides as well as other motifs that stall the ribosome (By similarity). Acts as a ribosome quality control (RQC) cofactor by joining the RQC complex to facilitate peptidyl transfer during CAT tailing step (By similarity). Also involved in actin dynamics and cell cycle progression, mRNA decay and probably in a pathway involved in stress response and maintenance of cell wall integrity (PubMed : 16987817). With syntenin SDCBP, functions as a regulator of p53/TP53 and p53/TP53-dependent apoptosis (PubMed : 15371445). Regulates also TNF-alpha-mediated apoptosis (PubMed : 15452064, PubMed : 17187778). Mediates effects of polyamines on neuronal process extension and survival (PubMed : 17360499). Is required for autophagy by assisting the ribosome in translating the ATG3 protein at a specific amino acid sequence, the 'ASP-ASP-Gly' motif, leading to the increase of the efficiency of ATG3 translation and facilitation of LC3B lipidation and autophagosome formation (PubMed : 29712776).. (Microbial infection) Cellular cofactor of human T-cell leukemia virus type I (HTLV-1) Rex protein and of human immunodeficiency virus type 1 (HIV-1) Rev protein, essential for mRNA export of retroviral transcripts.

Sequence similarities

Belongs to the eIF-5A family.

Post-translational modifications

Acetylated by PCAF/KAT2B, regulating its subcellular localization (PubMed:19379712, PubMed:22771473). Deacetylated by SIRT2 (PubMed:22771473).. Lys-50 undergoes hypusination, a unique post-translational modification that consists in the addition of a butylamino group from spermidine to lysine side chain, leading to the formation of the unusual amino acid hypusine. eIF-5As are the only known proteins to undergo this modification, which is essential for their function.

Subcellular localisation

Nucleus

Product protocols

Target data

Translation factor that promotes translation elongation and termination, particularly upon ribosome stalling at specific amino acid sequence contexts (PubMed : 33547280). Binds between the exit (E) and peptidyl (P) site of the ribosome and promotes rescue of stalled ribosome : specifically required for efficient translation of polyproline-containing peptides as well as other motifs that stall the ribosome (By similarity). Acts as a ribosome quality control (RQC) cofactor by joining the RQC complex to facilitate peptidyl transfer during CAT tailing step (By similarity). Also involved in actin dynamics and cell cycle progression, mRNA decay and probably in a pathway involved in stress response and maintenance of cell wall integrity (PubMed : 16987817). With syntenin SDCBP, functions as a regulator of p53/TP53 and p53/TP53-dependent apoptosis (PubMed : 15371445). Regulates also TNF-alpha-mediated apoptosis (PubMed : 15452064, PubMed : 17187778). Mediates effects of polyamines on neuronal process extension and survival (PubMed : 17360499). Is required for autophagy by assisting the ribosome in translating the ATG3 protein at a specific amino acid sequence, the 'ASP-ASP-Gly' motif, leading to the increase of the efficiency of ATG3 translation and facilitation of LC3B lipidation and autophagosome formation (PubMed : 29712776).. (Microbial infection) Cellular cofactor of human T-cell leukemia virus type I (HTLV-1) Rex protein and of human immunodeficiency virus type 1 (HIV-1) Rev protein, essential for mRNA export of retroviral transcripts.
See full target information EIF5A

Product promise

We are committed to supporting your work with high-quality reagents, and we're here for you every step of the way. In the unlikely event that one of our products does not perform as expected, you're protected by our Product Promise.
For full details, please see our Terms & Conditions

Please note: All products are 'FOR RESEARCH USE ONLY. NOT FOR USE IN DIAGNOSTIC OR THERAPEUTIC PROCEDURES'.

For licensing inquiries, please contact partnerships@abcam.com