JavaScript is disabled in your browser. Please enable JavaScript to view this website.
AB198080

Recombinant Human EZH2 + EED protein (DDDDK tag N-Terminus, His tag N-Terminus)

Be the first to review this product! Submit a review

|

(0 Publication)

Recombinant Human EZH2 + EED protein (DDDDK tag N-Terminus, His tag N-Terminus) is a Human Full Length protein, in the 2 to 441 aa range, expressed in Baculovirus infected Sf9 cells, with >90%, suitable for SDS-PAGE.

View Alternative Names

KMT6, EZH2, Histone-lysine N-methyltransferase EZH2, ENX-1, Enhancer of zeste homolog 2, Lysine N-methyltransferase 6, Polycomb protein EED, hEED, Embryonic ectoderm development protein, WD protein associating with integrin cytoplasmic tails 1, WAIT-1, EED

1 Images
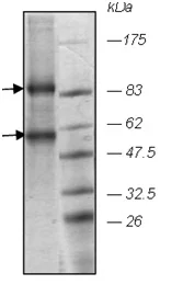
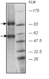
SDS-PAGE - Recombinant Human EZH2 + EED protein (DDDDK tag N-Terminus, His tag N-Terminus) (AB198080)
  • SDS-PAGE

Supplier Data

SDS-PAGE - Recombinant Human EZH2 + EED protein (DDDDK tag N-Terminus, His tag N-Terminus) (AB198080)

10% SDS-PAGE analysis of ab198080.

Key facts

Purity

>90% SDS-PAGE

Expression system

Baculovirus infected Sf9 cells

Tags

Tag free

Applications

SDS-PAGE

applications

Biologically active

No

Accession

Q15910

Animal free

No

Carrier free

No

Species

Human

Storage buffer

pH: 8 Preservative: 1.36% Imidazole Constituents: 20% Glycerol (glycerin, glycerine), 0.64% Sodium chloride, 0.63% Tris HCl, 0.05% (R*,R*)-1,4-Dimercaptobutan-2,3-diol, 0.02% Potassium chloride

storage-buffer

Reactivity data

{ "title": "Reactivity Data", "filters": { "stats": ["", "Reactivity", "Dilution Info", "Notes"] }, "values": { "SDS-PAGE": { "reactivity":"TESTED_AND_REACTS", "dilution-info":"", "notes":"<p></p>" } } }

Sequence info

[{"sequence":"SEREVSTAPAGTDMPAAKKQKLSSDENSNPDLSGDENDDAVSIESGTNTERPDTPTNTPNAPGRKSWGKGKWKSKKCKYSFKCVNSLKEDHNQPLFGVQFNWHSKEGDPLVFATVGSNRVTLYECHSQGEIRLLQSYVDADADENFYTCAWTYDSNTSHPLLAVAGSRGIIRIINPITMQCIKHYVGHGNAINELKFHPRDPNLLLSVSKDHALRLWNIQTDTLVAIFGGVEGHRDEVLSADYDLLGEKIMSCGMDHSLKLWRINSKRMMNAIKESYDYNPNKTNRPFISQKIHFPDFSTRDIHRNYVDCVRWLGDLILSKSCENAIVCWKPGKMEDDIDKIKPSESNVTILGRFDYSQCDIWYMRFSMDFWQKMLALGNQVGKLYVWDLEVEDPHKAKCTTLTHHKCGAAIRQTSFSRDSSILIAVCDDASIWRWDRLR","proteinLength":"Full Length","predictedMolecularWeight":"51 kDa","actualMolecularWeight":null,"aminoAcidEnd":441,"aminoAcidStart":2,"nature":"Recombinant","expressionSystem":"Baculovirus infected Sf9 cells","accessionNumber":"O75530","tags":[{"tag":"DDDDK","terminus":"N-Terminus"}]},{"sequence":"GQTGKKSEKGPVCWRKRVKSEYMRLRQLKRFRRADEVKSMFSSNRQKILERTEILNQEWKQRRIQPVHILTSVSSLRGTRECSVTSDLDFPTQVIPLKTLNAVASVPIMYSWSPLQQNFMVEDETVLHNIPYMGDEVLDQDGTFIEELIKNYDGKVHGDRECGFINDEIFVELVNALGQYNDDDDDDDGDDPEEREEKQKDLEDHRDDKESRPPRKFPSDKIFEAISSMFPDKGTAEELKEKYKELTEQQLPGALPPECTPNIDGPNAKSVQREQSLHSFHTLFCRRCFKYDCFLHRKCNYSFHATPNTYKRKNTETALDNKPCGPQCYQHLEGAKEFAAALTAERIKTPPKRPGGRRRGRLPNNSSRPSTPTINVLESKDTDSDREAGTETGGENNDKEEEEKKDETSSSSEANSRCQTPIKMKPNIEPPENVEWSGAEASMFRVLIGTYYDNFCAIARLIGTKTCRQVYEFRVKESSIIAPAPAEDVDTPPRKKKRKHRLWAAHCRKIQLKKDGSSNHVYNYQPCDHPRQPCDSSCPCVIAQNFCEKFCQCSSECQNRFPGCRCKAQCNTKQCPCYLAVRECDPDLCLTCGAADHWDSKNVSCKNCSIQRGSKKHLLLAPSDVAGWGIFIKDPVQKNEFISEYCGEIISQDEADRRGKVYDKYMCSFLFNLNNDFVVDATRKGNKIRFANHSVNPNCYAKVMMVNGDHRIGIFAKRAIQTGEELFFDYRYSQADALKYVGIEREMEIP","proteinLength":"Full Length","predictedMolecularWeight":"87 kDa","actualMolecularWeight":null,"aminoAcidEnd":751,"aminoAcidStart":2,"nature":"Recombinant","expressionSystem":null,"accessionNumber":"Q15910","tags":[{"tag":"His","terminus":"N-Terminus"}]}]

Properties and storage information

Shipped at conditions
Dry Ice
Appropriate short-term storage conditions
-80°C
Appropriate long-term storage conditions
-80°C
Storage information
Avoid freeze / thaw cycle
False

Supplementary information

This supplementary information is collated from multiple sources and compiled automatically.

The EZH2 + EED target involves two main components: Enhancer of Zeste Homolog 2 (EZH2) and Embryonic Ectoderm Development (EED) proteins. EZH2 is a part of the polycomb repressive complex 2 (PRC2) and is often referred to as histone-lysine N-methyltransferase. It mediates the trimethylation of histone H3 at lysine 27 (H3K27me3) playing a critical role in gene silencing. EZH2 has a molecular mass of approximately 85 kDa. You can find it expressed in various tissues with high levels in stem cells and certain cancer tissues. EED on the other hand serves as a major binding partner in PRC2 enhancing the activity of EZH2.
Biological function summary

The target of EZH2 + EED plays an essential role in chromatin remodeling and gene expression regulation. As part of the PRC2 complex they are pivotal in maintaining the repression of developmental genes necessary for organismal development and cellular differentiation. These proteins are key in forming a chromatin environment conducive to the silencing of genes by altering chromatin structure impacting processes like embryogenesis stem cell pluripotency and differentiation.

Pathways

The EZH2 + EED target integrates notably within the polycomb group (PcG) and Wnt signaling pathways. These pathways exist to maintain transcriptional repression and regulate gene expression necessary for development and cellular identity. EZH2 is commonly associated with the interaction with other PRC2 components like SUZ12 which works alongside EED to achieve gene repression. Their activity in the Wnt signaling pathway further connects them to stem cell maintenance and self-renewal processes.

The EZH2 + EED target has strong associations with cancer and developmental disorders. Overexpression or mutation of EZH2 occurs in various cancers such as prostate and breast cancer linking it with uncontrolled cell proliferation. EED functions as a PRC2 core component its dysregulation implicates syndromes related to improper epigenetic control. There is evidence showing interaction with the tumor suppressor gene p53 in cancer pathways where altered methylation affects tumor progression and response to therapy.

Specifications

Form

Liquid

Additional notes

Affinity purified.

General info

Function

Catalytic subunit of the PRC2/EED-EZH2 complex, a Polycomb group (PcG) complex that methylates 'Lys-9' (H3K9me) and 'Lys-27' (H3K27me) of histone H3, leading to transcriptional repression of the affected target gene (PubMed : 14532106, PubMed : 15225548, PubMed : 15385962, PubMed : 16618801, PubMed : 16936726, PubMed : 17344414, PubMed : 22323599, PubMed : 24474760, PubMed : 26581166, PubMed : 30026490, PubMed : 30923826). Able to mono-, di- and trimethylate 'Lys-27' of histone H3 to form H3K27me1, H3K27me2 and H3K27me3, respectively (PubMed : 15231737, PubMed : 17210787, PubMed : 18285464, PubMed : 22323599, PubMed : 30923826). Displays a preference for substrates with less methylation, loses activity when progressively more methyl groups are incorporated into H3K27, H3K27me0 > H3K27me1 > H3K27me2 (PubMed : 22323599, PubMed : 30923826). Compared to EZH1-containing complexes, it is more abundant in embryonic stem cells and plays a major role in forming H3K27me3, which is required for embryonic stem cell identity and proper differentiation (PubMed : 19026781). The PRC2/EED-EZH2 complex may also serve as a recruiting platform for DNA methyltransferases, thereby linking two epigenetic repression systems (PubMed : 16357870, PubMed : 17200670). Genes repressed by the PRC2/EED-EZH2 complex include HOXC8, HOXA9, MYT1, CDKN2A and retinoic acid target genes (PubMed : 16179254, PubMed : 18086877, PubMed : 20935635). EZH2 can also methylate non-histone proteins such as the transcription factor GATA4 and the nuclear receptor RORA (PubMed : 23063525). Regulates the circadian clock via histone methylation at the promoter of the circadian genes (PubMed : 16717091). Essential for the CRY1/2-mediated repression of the transcriptional activation of PER1/2 by the CLOCK-BMAL1 heterodimer; involved in the di and trimethylation of 'Lys-27' of histone H3 on PER1/2 promoters which is necessary for the CRY1/2 proteins to inhibit transcription (By similarity).

Sequence similarities

Belongs to the class V-like SAM-binding methyltransferase superfamily. Histone-lysine methyltransferase family. EZ subfamily.

Post-translational modifications

Phosphorylated by AKT1. Phosphorylation by AKT1 reduces methyltransferase activity. Phosphorylation at Thr-345 by CDK1 and CDK2 promotes maintenance of H3K27me3 levels at EZH2-target loci, thus leading to epigenetic gene silencing.. Sumoylated.. Glycosylated: O-GlcNAcylation at Ser-75 by OGT increases stability of EZH2 and facilitates the formation of H3K27me3 by the PRC2/EED-EZH2 complex.

Product protocols

Target data

Catalytic subunit of the PRC2/EED-EZH2 complex, a Polycomb group (PcG) complex that methylates 'Lys-9' (H3K9me) and 'Lys-27' (H3K27me) of histone H3, leading to transcriptional repression of the affected target gene (PubMed : 14532106, PubMed : 15225548, PubMed : 15385962, PubMed : 16618801, PubMed : 16936726, PubMed : 17344414, PubMed : 22323599, PubMed : 24474760, PubMed : 26581166, PubMed : 30026490, PubMed : 30923826). Able to mono-, di- and trimethylate 'Lys-27' of histone H3 to form H3K27me1, H3K27me2 and H3K27me3, respectively (PubMed : 15231737, PubMed : 17210787, PubMed : 18285464, PubMed : 22323599, PubMed : 30923826). Displays a preference for substrates with less methylation, loses activity when progressively more methyl groups are incorporated into H3K27, H3K27me0 > H3K27me1 > H3K27me2 (PubMed : 22323599, PubMed : 30923826). Compared to EZH1-containing complexes, it is more abundant in embryonic stem cells and plays a major role in forming H3K27me3, which is required for embryonic stem cell identity and proper differentiation (PubMed : 19026781). The PRC2/EED-EZH2 complex may also serve as a recruiting platform for DNA methyltransferases, thereby linking two epigenetic repression systems (PubMed : 16357870, PubMed : 17200670). Genes repressed by the PRC2/EED-EZH2 complex include HOXC8, HOXA9, MYT1, CDKN2A and retinoic acid target genes (PubMed : 16179254, PubMed : 18086877, PubMed : 20935635). EZH2 can also methylate non-histone proteins such as the transcription factor GATA4 and the nuclear receptor RORA (PubMed : 23063525). Regulates the circadian clock via histone methylation at the promoter of the circadian genes (PubMed : 16717091). Essential for the CRY1/2-mediated repression of the transcriptional activation of PER1/2 by the CLOCK-BMAL1 heterodimer; involved in the di and trimethylation of 'Lys-27' of histone H3 on PER1/2 promoters which is necessary for the CRY1/2 proteins to inhibit transcription (By similarity).
See full target information EZH2

Additional targets

EED

Product promise

We are committed to supporting your work with high-quality reagents, and we're here for you every step of the way. In the unlikely event that one of our products does not perform as expected, you're protected by our Product Promise.
For full details, please see our Terms & Conditions

Please note: All products are 'FOR RESEARCH USE ONLY. NOT FOR USE IN DIAGNOSTIC OR THERAPEUTIC PROCEDURES'.

For licensing inquiries, please contact partnerships@abcam.com