JavaScript is disabled in your browser. Please enable JavaScript to view this website.
AB107699

Recombinant Human KMT3C / SMYD2 protein

Be the first to review this product! Submit a review

|

(0 Publication)

Recombinant Human KMT3C / SMYD2 protein is a Human Full Length protein, in the 1 to 371 aa range, expressed in Baculovirus infected Sf9 cells, with >85%, suitable for SDS-PAGE, WB.

View Alternative Names

KMT3C, SMYD2, N-lysine methyltransferase SMYD2, HSKM-B, Histone methyltransferase SMYD2, Lysine N-methyltransferase 3C, SET and MYND domain-containing protein 2

1 Images
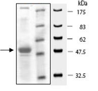
SDS-PAGE - Recombinant Human KMT3C / SMYD2 protein (AB107699)
  • SDS-PAGE

Unknown

SDS-PAGE - Recombinant Human KMT3C / SMYD2 protein (AB107699)

SDS-PAGE analysis of ab107699

Key facts

Purity

>85% SDS-PAGE

Expression system

Baculovirus infected Sf9 cells

Tags

Tag free

Applications

WB, SDS-PAGE

applications

Biologically active

No

Accession

Q9NRG4

Animal free

No

Carrier free

No

Species

Human

Storage buffer

pH: 7.5 Constituents: 25% Glycerol (glycerin, glycerine), 0.79% Tris HCl, 0.307% Glutathione, 0.29% Sodium chloride, 0.00385% (R*,R*)-1,4-Dimercaptobutan-2,3-diol, 0.00292% EDTA, 0.00174% PMSF

storage-buffer

Reactivity data

{ "title": "Reactivity Data", "filters": { "stats": ["", "Reactivity", "Dilution Info", "Notes"] }, "values": { "SDS-PAGE": { "reactivity":"TESTED_AND_REACTS", "dilution-info":"", "notes":"<p></p>" }, "WB": { "reactivity":"TESTED_AND_REACTS", "dilution-info":"", "notes":"<p></p>" } } }

Sequence info

[{"sequence":"","proteinLength":"Full Length","predictedMolecularWeight":"70 kDa","actualMolecularWeight":null,"aminoAcidEnd":371,"aminoAcidStart":1,"nature":"Recombinant","expressionSystem":null,"accessionNumber":"Q9NRG4","tags":[]}]

Properties and storage information

Shipped at conditions
Dry Ice
Appropriate long-term storage conditions
-80°C
Aliquoting information
Upon delivery aliquot
Storage information
Avoid freeze / thaw cycle
False

Supplementary information

This supplementary information is collated from multiple sources and compiled automatically.

KMT3C also known as SMYD2 is a lysine methyltransferase enzyme that possesses a unique SET domain responsible for catalyzing the methylation of lysine residues on histone and non-histone proteins. The enzyme has a molecular mass of approximately 52 kDa. SMYD2 shows expression in various tissues including heart skeletal muscle and also liver. It methylates histone H3 on lysine 36 (H3K36) and several non-histone proteins influencing gene expression regulation and protein function.
Biological function summary

KMT3C/SMYD2 plays important roles in gene regulation and cellular processes. It functions as a part of a protein complex affecting transcriptional activation and repression via chromatin remodeling. The methylation activity of SMYD2 extends to p53 an important tumor suppressor linking it to the regulation of cell cycle and apoptosis. This enzymatic activity impacts cellular growth and differentiation interfacing with the larger network of cellular gene expression control and protein function modulation.

Pathways

Research shows KMT3C/SMYD2 being active in the p53 and AKT signaling pathways fundamental to cell survival proliferation and apoptosis. In the context of the p53 pathway SMYD2 methylates p53 which may impact its tumor suppressor functions. SMYD2 also interacts with proteins like RB1 and HDAC1 integrating into broader cell regulatory networks. These interactions facilitate SMYD2's influence on pathways that govern important cellular processes such as growth and DNA damage response.

Mutations and overexpression of KMT3C/SMYD2 associate with various cancers including breast and esophageal cancer. In the case of breast cancer SMYD2 modulates p53 and RB1 activity contributing to tumorigenesis. Furthermore its interaction with HDAC1 connects it with epigenetic dysregulation seen in cancer progression. Altered activity or expression of SMYD2 disrupts normal cellular function providing a link between its biological activity and oncogenic processes.

Specifications

Form

Liquid

Additional notes

The purity was determined to be >85% by densitometry. Affinity purified.

General info

Function

Protein-lysine N-methyltransferase that methylates both histones and non-histone proteins, including p53/TP53 and RB1. Specifically trimethylates histone H3 'Lys-4' (H3K4me3) in vivo. The activity requires interaction with HSP90alpha. Shows even higher methyltransferase activity on p53/TP53. Monomethylates 'Lys-370' of p53/TP53, leading to decreased DNA-binding activity and subsequent transcriptional regulation activity of p53/TP53. Monomethylates RB1 at 'Lys-860'.

Sequence similarities

Belongs to the class V-like SAM-binding methyltransferase superfamily.

Subcellular localisation

Nucleus

Product protocols

Target data

Protein-lysine N-methyltransferase that methylates both histones and non-histone proteins, including p53/TP53 and RB1. Specifically trimethylates histone H3 'Lys-4' (H3K4me3) in vivo. The activity requires interaction with HSP90alpha. Shows even higher methyltransferase activity on p53/TP53. Monomethylates 'Lys-370' of p53/TP53, leading to decreased DNA-binding activity and subsequent transcriptional regulation activity of p53/TP53. Monomethylates RB1 at 'Lys-860'.
See full target information SMYD2

Product promise

We are committed to supporting your work with high-quality reagents, and we're here for you every step of the way. In the unlikely event that one of our products does not perform as expected, you're protected by our Product Promise.
For full details, please see our Terms & Conditions

Please note: All products are 'FOR RESEARCH USE ONLY. NOT FOR USE IN DIAGNOSTIC OR THERAPEUTIC PROCEDURES'.

For licensing inquiries, please contact partnerships@abcam.com